JavaScript is disabled in your browser. Please enable JavaScript to view this website.
AB232005

Anti-JAK3 antibody [EP909Y] - BSA and Azide free

Be the first to review this product! Submit a review

|

(0 Publication)

Rabbit Recombinant Monoclonal JAK3 antibody. Carrier free. Suitable for IP, WB, IHC-P, ICC/IF, Flow Cyt (Intra) and reacts with Human samples.

View Alternative Names

Tyrosine-protein kinase JAK3, Janus kinase 3, Leukocyte janus kinase, JAK-3, L-JAK, JAK3

5 Images
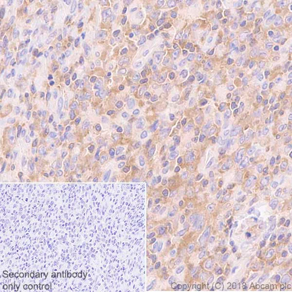
Immunohistochemistry (Formalin/PFA-fixed paraffin-embedded sections) - Anti-JAK3 antibody [EP909Y] - BSA and Azide free (AB232005)
  • IHC-P

Unknown

Immunohistochemistry (Formalin/PFA-fixed paraffin-embedded sections) - Anti-JAK3 antibody [EP909Y] - BSA and Azide free (AB232005)

Immunohistochemistry (Formalin/PFA-fixed paraffin embedded sections) analysis of Human NK cell lymphoma tissue sections labeling JAK3 using purified ab45141. Samples were incubated the primary antibody at 1 : 2000 dilution (0.60 μg/ml). Hematoxylin was used as a counterstain. PBS instead of primary antibody was used for negative control. A ready to use ImmunoHistoProbe one step HRP Polymer at 1 : 0 dilution was used as the secondary antibody. Heat mediated antigen retrieval was performed using ab93684 (Tris/EDTA buffer, pH 9.0).

This data was developed using the same antibody clone in a different buffer formulation containing PBS, BSA, glycerol, and sodium azide (ab45141).

Flow Cytometry (Intracellular) - Anti-JAK3 antibody [EP909Y] - BSA and Azide free (AB232005)
  • Flow Cyt (Intra)

Lab

Flow Cytometry (Intracellular) - Anti-JAK3 antibody [EP909Y] - BSA and Azide free (AB232005)

Overlay histogram showing Jurkat (Human T cell leukemia cell line from peripheral blood) cells stained with ab45141 (red line). The cells were fixed with 80% methanol (5 minutes) and then permeabilized with 0.1% PBS-Tween for 20 minutes. The cells were then incubated in 1x PBS / 10% normal goat serum / 0.3M glycine to block non-specific protein-protein interactions. The cells were then incubated with the antibody (ab45141, 1/100 dilution) for 30 minutes at 22°C. The secondary antibody used was DyLight® 488 goat anti-rabbit IgG (H+L) (ab96899) at 1/500 dilution for 30 minutes at 22°C. Isotype control antibody (black line) was rabbit IgG (1μg/1x106 cells) used under the same conditions. Acquisition of >5,000 events was performed. This antibody gave a positive signal in Jurkat cells fixed with 4% paraformaldehyde (10 minutes)/permeabilized in 0.1% PBS-Tween used under the same conditions.

This data was developed using the same antibody clone in a different buffer formulation containing PBS, BSA, glycerol, and sodium azide (ab45141).

Immunocytochemistry/ Immunofluorescence - Anti-JAK3 antibody [EP909Y] - BSA and Azide free (AB232005)
  • ICC/IF

Unknown

Immunocytochemistry/ Immunofluorescence - Anti-JAK3 antibody [EP909Y] - BSA and Azide free (AB232005)

Immunocytochemistry/Immunofluorescence analysis of KARPAS-299 (human anaplastic large cell lymphoma) labelling JAK3 with ab45141 at a dilution of 1 : 100 dilution (12 µg/ml). Cells were fixed with 100% Methanol. Goat anti rabbit IgG (Alexa Fluor® 488, ab150077) (1 : 1000 dilution (2 µg/ml)) was used as the secondary antibody. The cells were co-stained with ab195889 Anti-alpha Tubulin antibody [DM1A] - Microtubule Marker (Alexa Fluor® 594) 1 : 200 (2.5 µg/ml). Nuclei counterstained with DAPI (blue). Control : PBS instead of the primary antibody.

This data was developed using the same antibody clone in a different buffer formulation containing PBS, BSA, glycerol, and sodium azide (ab45141).

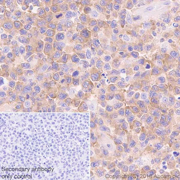
Immunohistochemistry (Formalin/PFA-fixed paraffin-embedded sections) - Anti-JAK3 antibody [EP909Y] - BSA and Azide free (AB232005)
  • IHC-P

Unknown

Immunohistochemistry (Formalin/PFA-fixed paraffin-embedded sections) - Anti-JAK3 antibody [EP909Y] - BSA and Azide free (AB232005)

Immunohistochemistry (Formalin/PFA-fixed paraffin embedded sections) analysis of Human large B cell lymphoma tissue sections labeling JAK3 using purified ab45141. Samples were incubated the primary antibody at 1 : 2000 dilution (0.60 μg/ml). Hematoxylin was used as a counterstain. PBS instead of primary anitbody was used for negative control. A ready to use ImmunoHistoProbe one step HRP Polymer at 1 : 0 dilution was used as the secondary antibody. Heat mediated antigen retrieval was performed using ab93684 (Tris/EDTA buffer, pH 9.0).

This data was developed using the same antibody clone in a different buffer formulation containing PBS, BSA, glycerol, and sodium azide (ab45141).

Immunoprecipitation - Anti-JAK3 antibody [EP909Y] - BSA and Azide free (AB232005)
  • IP

Unknown

Immunoprecipitation - Anti-JAK3 antibody [EP909Y] - BSA and Azide free (AB232005)

Lane 1 (input) : TF-1( Human Erythroleukemia erythroblast) whole cell lysate, 10μg
Lane 2 (+) : TF-1 whole cell lysate
Lane 3 (-) : Rabbit monoclonal IgG (ab172730) instead of ab45141 in TF-1 whole cell lysate.

ab45141 immunoprecipitating JAK3 in TF-1 whole cell lysate. For western blotting, ab45141 was used as a primary antibody at 1 : 500 dilution (2.42 μg/ml). VeriBlot for IP Detection Reagent (HRP) (ab131366), was used for detection at 1/1,000 dilution. Blocking and diluting buffer used was 5% NFDM/TBST.

This data was developed using the same antibody clone in a different buffer formulation containing PBS, BSA, glycerol, and sodium azide (ab45141).

All lanes:

Immunoprecipitation - Anti-JAK3 antibody [EP909Y] (<a href='/en-us/products/primary-antibodies/jak3-antibody-ep909y-ab45141'>ab45141</a>)

Predicted band size: 125 kDa

false

Key facts

Host species

Rabbit

Clonality

Monoclonal

Clone number

EP909Y

Isotype

IgG

Carrier free

Yes

Reacts with

Human

Applications

IHC-P, IP, WB, ICC/IF, Flow Cyt (Intra)

applications

Immunogen

The exact immunogen used to generate this antibody is proprietary information.

Reactivity data

{ "title": "Reactivity Data", "filters": { "stats": ["", "Species", "Dilution Info", "Notes"], "tabs": { "all-applications": {"fullname" : "All Applications", "shortname": "All Applications"}, "IP" : {"fullname" : "Immunoprecipitation", "shortname":"IP"}, "WB" : {"fullname" : "Western blot", "shortname":"WB"}, "IHCP" : {"fullname" : "Immunohistochemistry (Formalin/PFA-fixed paraffin-embedded sections)", "shortname":"IHC-P"}, "ICCIF" : {"fullname" : "Immunocytochemistry/ Immunofluorescence", "shortname":"ICC/IF"}, "FlowCytIntra" : {"fullname" : "Flow Cytometry (Intracellular)", "shortname":"Flow Cyt (Intra)"} }, "product-promise": { "all": "all", "testedAndGuaranteed": "tested", "guaranteed": "expected", "predicted": "predicted", "notRecommended": "not-recommended" } }, "values": { "Human": { "IP-species-checked": "testedAndGuaranteed", "IP-species-dilution-info": "", "IP-species-notes": "<p></p>", "WB-species-checked": "guaranteed", "WB-species-dilution-info": "", "WB-species-notes": "<p></p>", "IHCP-species-checked": "testedAndGuaranteed", "IHCP-species-dilution-info": "1/2000", "IHCP-species-notes": "<p>Perform heat mediated antigen retrieval using <a href='/en-us/products/buffers/antigen-retrieval-buffer-100x-tris-edta-buffer-ph-90-ab93684'>ab93684</a> (Tris/EDTA buffer, pH 9.0).</p>", "ICCIF-species-checked": "testedAndGuaranteed", "ICCIF-species-dilution-info": "1/100", "ICCIF-species-notes": "<p></p>", "FlowCytIntra-species-checked": "testedAndGuaranteed", "FlowCytIntra-species-dilution-info": "", "FlowCytIntra-species-notes": "<p><a href='/en-us/products/primary-antibodies/rabbit-igg-monoclonal-epr25a-isotype-control-low-endotoxin-azide-free-ab199376'>ab199376</a> - Rabbit monoclonal IgG, is suitable for use as an isotype control with this antibody.</p>" } } }

Product details

ab232005 is the carrier-free version of ab45141.

Species reactivity
Mouse, Rat: We have preliminary internal testing data to indicate this antibody may not react with these species.
Please contact us for more information.

Patented technology
Our RabMAb® technology is a patented hybridoma-based technology for making rabbit monoclonal antibodies. For details on our patents, please refer to RabMAb® patents.

What are the advantages of a recombinant monoclonal antibody?
This product is a recombinant monoclonal antibody, which offers several advantages including:

  • - High batch-to-batch consistency and reproducibility
  • - Improved sensitivity and specificity
  • - Long-term security of supply
  • - Animal-free batch production

For more information, read more on recombinant antibodies.

Conjugation ready
Our carrier-free antibodies are typically supplied in a PBS-only formulation, purified and free of BSA, sodium azide and glycerol. This conjugation-ready format is designed for use with fluorochromes, metal isotopes, oligonucleotides, and enzymes, which makes them ideal for antibody labelling, functional and cell-based assays, flow-based assays (e.g. mass cytometry) and Multiplex Imaging applications.

Use our conjugation kits for antibody conjugates that are ready-to-use in as little as 20 minutes with 1 minute hands-on-time and 100% antibody recovery: available for fluorescent dyes, HRP, biotin and gold.

Compatibility
This product is compatible with the Maxpar® Antibody Labeling Kit from Fluidigm, without the need for antibody preparation. Maxpar® is a trademark of Fluidigm Canada Inc.

Properties and storage information

Form
Liquid
Purification technique
Affinity purification
Storage buffer
pH: 7.2 - 7.4 Constituents: PBS
Shipped at conditions
Blue Ice
Appropriate short-term storage conditions
+4°C
Appropriate long-term storage conditions
+4°C
Storage information
Do Not Freeze

Supplementary information

This supplementary information is collated from multiple sources and compiled automatically.

JAK3 also known as Janus kinase 3 is a protein with a molecular mass of approximately 125 kDa. It belongs to the Janus kinase family and plays an important role in the signal transduction pathways. JAK3 is expressed mainly in hematopoietic cells which include white blood cells and related precursor cells. Its primary function involves mediating signaling by associating with the common gamma chain used by cytokine receptors.
Biological function summary

JAK3 is instrumental in the signaling mechanism of the immune system. It participates in the activation of various interleukins specifically those that signal through the common gamma chain receptor complex. JAK3's role is essential in the proper functioning and development of immune cells such as T cells and natural killer cells. Within this framework JAK3 pairs with cytokine receptors transmitting signals that regulate both proliferation and differentiation of these immune cells.

Pathways

JAK3 integrates into JAK-STAT signaling pathways. This protein works alongside STAT proteins including STAT5 to facilitate the transcription of genes involved in cell survival and proliferation. It also interacts with JAK1 another member of the Janus kinase family to form functional complexes. These interactions are pivotal in maintaining normal immune responses and ensuring that signaling pathways are activated appropriately in response to extracellular cues.

Abnormal JAK3 function can lead to immune-related conditions. Severe combined immunodeficiency (SCID) is one such disorder arising from JAK3 mutations that impair immune cell function. Additionally JAK3 dysregulation links to malignancies such as T-cell acute lymphoblastic leukemia. Relating to these disorders JAK3 affects proteins like IL-7R and gamma chains which are important for cytokine signaling contributing to pathologies when malfunctioning.

Product protocols

For this product, it's our understanding that no specific protocols are required. You can visit:

Target data

Non-receptor tyrosine kinase involved in various processes such as cell growth, development, or differentiation. Mediates essential signaling events in both innate and adaptive immunity and plays a crucial role in hematopoiesis during T-cells development. In the cytoplasm, plays a pivotal role in signal transduction via its association with type I receptors sharing the common subunit gamma such as IL2R, IL4R, IL7R, IL9R, IL15R and IL21R. Following ligand binding to cell surface receptors, phosphorylates specific tyrosine residues on the cytoplasmic tails of the receptor, creating docking sites for STATs proteins. Subsequently, phosphorylates the STATs proteins once they are recruited to the receptor. Phosphorylated STATs then form homodimer or heterodimers and translocate to the nucleus to activate gene transcription. For example, upon IL2R activation by IL2, JAK1 and JAK3 molecules bind to IL2R beta (IL2RB) and gamma chain (IL2RG) subunits inducing the tyrosine phosphorylation of both receptor subunits on their cytoplasmic domain. Then, STAT5A and STAT5B are recruited, phosphorylated and activated by JAK1 and JAK3. Once activated, dimerized STAT5 translocates to the nucleus and promotes the transcription of specific target genes in a cytokine-specific fashion.
See full target information JAK3

Product promise

We are committed to supporting your work with high-quality reagents, and we're here for you every step of the way. In the unlikely event that one of our products does not perform as expected, you're protected by our Product Promise.
For full details, please see our Terms & Conditions

Associated Products

Select an associated product type
Alternative Product
Primary Antibodies

AB61102

Anti-JAK3 (phospho Y785) antibody

primary-antibodies

jak3-phospho-y785-antibody-ab61102

0

(0 reviews)

Alternative Product
Primary Antibodies

AB203611

Anti-JAK3 antibody

primary-antibodies

jak3-antibody-ab203611

0

(0 reviews)

Alternative Version
Primary Antibodies

AB306063

PE Anti-JAK3 antibody [EP909Y]

primary-antibodies

pe-jak3-antibody-ep909y-ab306063

0

(0 reviews)

Alternative Version
Primary Antibodies

AB306065

HRP Anti-JAK3 antibody [EP909Y]

primary-antibodies

hrp-jak3-antibody-ep909y-ab306065

0

(0 reviews)

Alternative Version
Primary Antibodies

AB310467

Alexa Fluor® 594 Anti-JAK3 antibody [EP909Y]

primary-antibodies

alexa-fluor-594-jak3-antibody-ep909y-ab310467

0

(0 reviews)

Alternative Version
Primary Antibodies

AB309704

Alexa Fluor® 488 Anti-JAK3 antibody [EP909Y]

primary-antibodies

alexa-fluor-488-jak3-antibody-ep909y-ab309704

0

(0 reviews)

Alternative Version
Primary Antibodies

AB312473

Alexa Fluor® 568 Anti-JAK3 antibody [EP909Y]

primary-antibodies

alexa-fluor-568-jak3-antibody-ep909y-ab312473

0

(0 reviews)

Alternative Version
Primary Antibodies

AB311997

Alexa Fluor® 555 Anti-JAK3 antibody [EP909Y]

primary-antibodies

alexa-fluor-555-jak3-antibody-ep909y-ab311997

0

(0 reviews)

Alternative Version
Primary Antibodies

AB306064

APC Anti-JAK3 antibody [EP909Y]

primary-antibodies

apc-jak3-antibody-ep909y-ab306064

0

(0 reviews)

Alternative Version
Primary Antibodies

AB310070

Alexa Fluor® 647 Anti-JAK3 antibody [EP909Y]

primary-antibodies

alexa-fluor-647-jak3-antibody-ep909y-ab310070

0

(0 reviews)

Please note: All products are 'FOR RESEARCH USE ONLY. NOT FOR USE IN DIAGNOSTIC OR THERAPEUTIC PROCEDURES'.

For licensing inquiries, please contact partnerships@abcam.com