JavaScript is disabled in your browser. Please enable JavaScript to view this website.
AB211296

Anti-JAKMIP1 antibody

Be the first to review this product! Submit a review

|

(1 Publication)

Rabbit Polyclonal JAKMIP1 antibody. Suitable for IHC-P, WB and reacts with Human, Rat samples. Cited in 1 publication. Immunogen corresponding to Synthetic Peptide within Human JAKMIP1.

View Alternative Names

GABABRBP, JAMIP1, MARLIN1, JAKMIP1, Janus kinase and microtubule-interacting protein 1, GABA-B receptor-binding protein, Multiple alpha-helices and RNA-linker protein 1, Marlin-1

2 Images
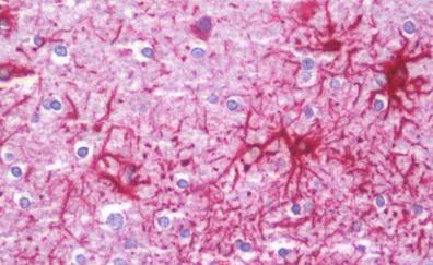
Immunohistochemistry (Formalin/PFA-fixed paraffin-embedded sections) - Anti-JAKMIP1 antibody (AB211296)
  • IHC-P

Supplier Data

Immunohistochemistry (Formalin/PFA-fixed paraffin-embedded sections) - Anti-JAKMIP1 antibody (AB211296)

Immunohistochemical analysis of formalin fixed paraffin-embedded human brain (cortex) tissue labeling JAKMIP1 with ab211296 at 10 μg/mL.

Western blot - Anti-JAKMIP1 antibody (AB211296)
  • WB

Supplier Data

Western blot - Anti-JAKMIP1 antibody (AB211296)

Lane 1:

Western blot - Anti-JAKMIP1 antibody (ab211296) at 1 µg/mL

Lane 2:

Western blot - Anti-JAKMIP1 antibody (ab211296) at 2 µg/mL

All lanes:

Rat brain whole cell lysate

Predicted band size: 73 kDa

false

Key facts

Host species

Rabbit

Clonality

Polyclonal

Isotype

IgG

Carrier free

No

Reacts with

Rat, Human

Applications

WB, IHC-P

applications

Immunogen

Synthetic Peptide within Human JAKMIP1. The exact immunogen used to generate this antibody is proprietary information.

Q96N16

Specificity

ab211296 is not predicted to cross-react with JAKMIP2.

Reactivity data

{ "title": "Reactivity Data", "filters": { "stats": ["", "Species", "Dilution Info", "Notes"], "tabs": { "all-applications": {"fullname" : "All Applications", "shortname": "All Applications"}, "IHCP" : {"fullname" : "Immunohistochemistry (Formalin/PFA-fixed paraffin-embedded sections)", "shortname":"IHC-P"}, "WB" : {"fullname" : "Western blot", "shortname":"WB"} }, "product-promise": { "all": "all", "testedAndGuaranteed": "tested", "guaranteed": "expected", "predicted": "predicted", "notRecommended": "not-recommended" } }, "values": { "Human": { "IHCP-species-checked": "testedAndGuaranteed", "IHCP-species-dilution-info": "10 µg/mL", "IHCP-species-notes": "<p></p> Perform heat-mediated antigen retrieval before commencing with IHC staining protocol.", "WB-species-checked": "guaranteed", "WB-species-dilution-info": "", "WB-species-notes": "" }, "Mouse": { "IHCP-species-checked": "predicted", "IHCP-species-dilution-info": "", "IHCP-species-notes": "", "WB-species-checked": "predicted", "WB-species-dilution-info": "", "WB-species-notes": "" }, "Rat": { "IHCP-species-checked": "guaranteed", "IHCP-species-dilution-info": "", "IHCP-species-notes": "", "WB-species-checked": "testedAndGuaranteed", "WB-species-dilution-info": "1-2 µg/mL", "WB-species-notes": "<p></p>" } } }

Properties and storage information

Form
Liquid
Purification technique
Affinity purification Immunogen
Storage buffer
pH: 7.4 Preservative: 0.02% Sodium azide Constituents: 99% PBS
Shipped at conditions
Blue Ice
Appropriate short-term storage duration
1-2 weeks
Appropriate short-term storage conditions
+4°C
Appropriate long-term storage conditions
-20°C
Aliquoting information
Upon delivery aliquot
Storage information
Avoid freeze / thaw cycle

Supplementary information

This supplementary information is collated from multiple sources and compiled automatically.

The JAKMIP1 protein also known as Janus kinase and microtubule interacting protein 1 plays an important mechanical role in the cell. It has a mass of approximately 140 kDa and is expressed in various tissues with significant levels detected in brain and immune cells. Mechanically JAKMIP1 interacts with microtubules and regulates cytoskeletal dynamics therefore impacting processes such as cell shape and movement.
Biological function summary

JAKMIP1 influences cellular functions and behaviors in different ways. It is part of a complex network controlling immune cell signaling and neuronal function. In neurons JAKMIP1 modulates neurotransmitter release contributing to synaptic communication. In immune cells it affects cytokine signaling influencing immune responses. These activities highlight the dual role that JAKMIP1 plays in both the nervous and immune systems.

Pathways

JAKMIP1 is involved in the JAK-STAT signaling pathway a critical pathway for transmitting information from extracellular chemical signals to the cell nucleus. In this pathway it works with proteins such as Janus kinase 1 (JAK1) to regulate gene expression influencing cell proliferation differentiation and apoptosis. By modulating these processes JAKMIP1 affects the overall cellular response to external stimuli marking its role in signaling dynamics.

JAKMIP1 connects to neurological and autoimmune conditions. Changes or disruptions in JAKMIP1 functions have associations with disorders like schizophrenia and multiple sclerosis. In schizophrenia altered JAK-STAT signaling due to LNK mutations impacts neurotransmitter systems while in multiple sclerosis altered cytokine signaling affects immune response. Together these connections highlight JAKMIP1's contribution to disease pathways and its potential as a therapeutic target.

Product protocols

For this product, it's our understanding that no specific protocols are required. You can visit:

Target data

Associates with microtubules and may play a role in the microtubule-dependent transport of the GABA-B receptor. May play a role in JAK1 signaling and regulate microtubule cytoskeleton rearrangements.
See full target information JAKMIP1

Publications (1)

Recent publications for all applications. Explore the full list and refine your search

Cancers 13: PubMed33670870

2021

Apoptotic Blocks in Primary Non-Hodgkin B Cell Lymphomas Identified by BH3 Profiling.

Applications

Unspecified application

Species

Unspecified reactive species

Ryan N Rys,Claudia M Wever,Dominique Geoffrion,Christophe Goncalves,Artin Ghassemian,Eugene Brailovski,Jeremy Ryan,Liliana Stoica,Josée Hébert,Tina Petrogiannis-Haliotis,Svetlana Dmitrienko,Saul Frenkiel,Annette Staiger,German Ott,Christian Steidl,David W Scott,Pierre Sesques,Sonia Del Rincon,Koren K Mann,Anthony Letai,Nathalie A Johnson
View all publications

Product promise

We are committed to supporting your work with high-quality reagents, and we're here for you every step of the way. In the unlikely event that one of our products does not perform as expected, you're protected by our Product Promise.
For full details, please see our Terms & Conditions

Please note: All products are 'FOR RESEARCH USE ONLY. NOT FOR USE IN DIAGNOSTIC OR THERAPEUTIC PROCEDURES'.

For licensing inquiries, please contact partnerships@abcam.com