JavaScript is disabled in your browser. Please enable JavaScript to view this website.
AB26950

Anti-Japanese encephalitis virus antibody

Be the first to review this product! Submit a review

|

(1 Publication)

Rabbit Polyclonal Japanese encephalitis virus antibody. Suitable for ICC/IF and reacts with Japanese encephalitis virus samples. Cited in 1 publication. Immunogen corresponding to Virus preparation containing Japanese encephalitis virus protein.

View Alternative Names

JE, JEV, Japanese encephalitis

1 Images
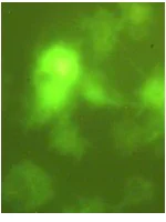
Immunocytochemistry/ Immunofluorescence - Anti-Japanese encephalitis virus antibody (AB26950)
  • ICC/IF

Unknown

Immunocytochemistry/ Immunofluorescence - Anti-Japanese encephalitis virus antibody (AB26950)

Immunofluorescent analysis of Japanese encephalitis virus infected BHK21 cells using 10 µg/ml ab26950. Note that not every cell is infected.

Key facts

Host species

Rabbit

Clonality

Polyclonal

Isotype

IgG

Carrier free

No

Reacts with

Japanese encephalitis virus

Applications

ICC/IF

applications

Immunogen

The exact immunogen used to generate this antibody is proprietary information.

Reactivity data

{ "title": "Reactivity Data", "filters": { "stats": ["", "Species", "Dilution Info", "Notes"], "tabs": { "all-applications": {"fullname" : "All Applications", "shortname": "All Applications"}, "ICCIF" : {"fullname" : "Immunocytochemistry/ Immunofluorescence", "shortname":"ICC/IF"} }, "product-promise": { "all": "all", "testedAndGuaranteed": "tested", "guaranteed": "expected", "predicted": "predicted", "notRecommended": "not-recommended" } }, "values": { "Japanese encephalitis virus": { "ICCIF-species-checked": "testedAndGuaranteed", "ICCIF-species-dilution-info": "1/100", "ICCIF-species-notes": "<p></p>" } } }

Properties and storage information

Form
Liquid
Purity
Whole antiserum
Storage buffer
Constituents: Whole serum
Shipped at conditions
Blue Ice
Appropriate short-term storage duration
1-2 weeks
Appropriate short-term storage conditions
+4°C
Appropriate long-term storage conditions
-20°C
Aliquoting information
Upon delivery aliquot

Supplementary information

This supplementary information is collated from multiple sources and compiled automatically.

The Japanese encephalitis virus often abbreviated as JEV is a flavivirus with a genome mass of approximately 11000 bases. Viral particles typically consist of several structural proteins such as the envelope (E) protein which is about 53 kDa in size. These proteins are expressed in host cells that become infected with the virus particularly in mosquito vectors and vertebrate hosts like birds and pigs. In these organisms the virus targets neurons where it replicates and causes cellular damage.
Biological function summary

The Japanese encephalitis virus impacts the central nervous system by invading human and animal neurons. During infection the virus forms a complex with the host cell machinery using it for viral replication and protein synthesis. It also causes an immune response involving immune cells that are trying to eliminate the virus further contributing to neural damage and inflammation.

Pathways

The Japanese encephalitis virus participates in the interferon signaling pathway and the Toll-like receptor signaling pathway. These pathways are critical for the host's antiviral defense. The virus can alter these pathways to favor its own survival and replication by interacting with host proteins such as STAT1 and STAT2 in the interferon pathway. Its ability to interfere with these pathways results in evasion of the host's immune response leading to prolonged infection.

The Japanese encephalitis virus is primarily associated with Japanese encephalitis disease a serious neurological condition. Additionally it relates to other encephalitic conditions like West Nile virus infection affecting the brain and nerves. The virus's E protein interacts with host proteins like CD21 which can exacerbate immune system-related diseases due to cross-reactive immune responses.

Product protocols

For this product, it's our understanding that no specific protocols are required. You can visit:

Publications (1)

Recent publications for all applications. Explore the full list and refine your search

Journal of virology 91: PubMed28053106

2017

GRP78 Is an Important Host Factor for Japanese Encephalitis Virus Entry and Replication in Mammalian Cells.

Applications

Unspecified application

Species

Unspecified reactive species

Minu Nain,Sriparna Mukherjee,Sonali Porey Karmakar,Adrienne W Paton,James C Paton,M Z Abdin,Anirban Basu,Manjula Kalia,Sudhanshu Vrati
View all publications

Product promise

We are committed to supporting your work with high-quality reagents, and we're here for you every step of the way. In the unlikely event that one of our products does not perform as expected, you're protected by our Product Promise.
For full details, please see our Terms & Conditions

Please note: All products are 'FOR RESEARCH USE ONLY. NOT FOR USE IN DIAGNOSTIC OR THERAPEUTIC PROCEDURES'.

For licensing inquiries, please contact partnerships@abcam.com