JavaScript is disabled in your browser. Please enable JavaScript to view this website.
AB213679

Anti-Jarid2 antibody

Be the first to review this product! Submit a review

|

(1 Publication)

Rabbit Polyclonal Jarid2 antibody. Suitable for IHC-P and reacts with Rat samples. Cited in 1 publication. Immunogen corresponding to Synthetic Peptide within Human JARID2 aa 300-400 conjugated to Keyhole Limpet Haemocyanin.

View Alternative Names

JMJ, JARID2, Protein Jumonji, Jumonji/ARID domain-containing protein 2

1 Images
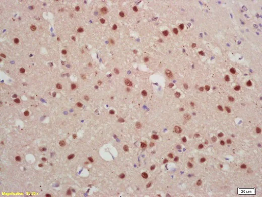
Immunohistochemistry (Formalin/PFA-fixed paraffin-embedded sections) - Anti-Jarid2 antibody (AB213679)
  • IHC-P

Supplier Data

Immunohistochemistry (Formalin/PFA-fixed paraffin-embedded sections) - Anti-Jarid2 antibody (AB213679)

Immunohistochemical analysis of formalin-fixed, paraffin-embedded rat brain tissue labeling Jarid2 with ab213679 at a 1/200 dilution, followed by conjugation to the secondary antibody and DAB staining.

Key facts

Host species

Rabbit

Clonality

Polyclonal

Isotype

IgG

Carrier free

No

Reacts with

Rat

Applications

IHC-P

applications

Immunogen

Synthetic Peptide within Human JARID2 aa 300-400 conjugated to Keyhole Limpet Haemocyanin. The exact immunogen used to generate this antibody is proprietary information.

Q92833

Reactivity data

{ "title": "Reactivity Data", "filters": { "stats": ["", "Species", "Dilution Info", "Notes"], "tabs": { "all-applications": {"fullname" : "All Applications", "shortname": "All Applications"}, "IHCP" : {"fullname" : "Immunohistochemistry (Formalin/PFA-fixed paraffin-embedded sections)", "shortname":"IHC-P"} }, "product-promise": { "all": "all", "testedAndGuaranteed": "tested", "guaranteed": "expected", "predicted": "predicted", "notRecommended": "not-recommended" } }, "values": { "Human": { "IHCP-species-checked": "predicted", "IHCP-species-dilution-info": "", "IHCP-species-notes": "" }, "Mouse": { "IHCP-species-checked": "predicted", "IHCP-species-dilution-info": "", "IHCP-species-notes": "" }, "Rat": { "IHCP-species-checked": "testedAndGuaranteed", "IHCP-species-dilution-info": "1/100 - 1/500", "IHCP-species-notes": "<p></p>" } } }

Properties and storage information

Form
Liquid
Purification technique
Affinity purification Protein A
Storage buffer
pH: 7.4 Preservative: 0.02% Proclin 300 Constituents: 50% Glycerol (glycerin, glycerine), 48.98% TBS, 1X, 1% BSA
Shipped at conditions
Blue Ice
Appropriate short-term storage duration
1-2 weeks
Appropriate short-term storage conditions
+4°C
Appropriate long-term storage conditions
-20°C
Aliquoting information
Upon delivery aliquot
Storage information
Avoid freeze / thaw cycle

Supplementary information

This supplementary information is collated from multiple sources and compiled automatically.

Jarid2 also known as Jumonji or Jumonji AT-rich interactive domain 2 serves important functions in chromatin dynamics. It is a protein with a mass of approximately 125 kDa and plays a role as a regulatory factor in gene expression. Jarid2 expresses across several tissues particularly in those undergoing developmental processes such as the heart and central nervous system. The protein helps to recruit other proteins to chromatin impacting the regulation of gene activity.
Biological function summary

Jarid2 interacts with the polycomb repressive complex 2 (PRC2) which modulates chromatin structure to suppress gene transcription. This interaction is key for the protein's role in epigenetic regulation. As a component of PRC2 Jarid2 influences the methylation of histone H3 at lysine 27 (H3K27) a modification critical for controlling developmental genes' expression. Its function ensures proper regulation of gene programs that affect cell fate decisions during embryogenesis.

Pathways

Jarid2 integrates into the gene silencing pathways involving PRC2 influencing pathways like the Wnt/β-catenin signaling pathway. This influence occurs by modulating target genes that PRC2 controls such as those involved in cellular differentiation. Additionally it relates to proteins such as Ezh2 another PRC2 member. Together these components maintain repression of genes impacting cell proliferation and differentiation.

Jarid2 proves significant in conditions like cardiac hypertrophy and certain cancers. Its deregulation may lead to altered expression of genes necessary for cardiac muscle cell size and function contributing to hypertrophy. In cancer changes in Jarid2 expression or function can disrupt normal growth control as seen in interactions with proteins like Suz12 another PRC2 associate. Understanding these connections helps to outline potential therapeutic targets for intervention.

Product protocols

For this product, it's our understanding that no specific protocols are required. You can visit:

Target data

Regulator of histone methyltransferase complexes that plays an essential role in embryonic development, including heart and liver development, neural tube fusion process and hematopoiesis (PubMed : 20075857). Acts as an accessory subunit for the core PRC2 (Polycomb repressive complex 2) complex, which mediates histone H3K27 (H3K27me3) trimethylation on chromatin (PubMed : 20075857, PubMed : 29499137, PubMed : 31959557). Binds DNA and mediates the recruitment of the PRC2 complex to target genes in embryonic stem cells, thereby playing a key role in stem cell differentiation and normal embryonic development (PubMed : 20075857). In cardiac cells, it is required to repress expression of cyclin-D1 (CCND1) by activating methylation of 'Lys-9' of histone H3 (H3K9me) by the GLP1/EHMT1 and G9a/EHMT2 histone methyltransferases (By similarity). Also acts as a transcriptional repressor of ANF via its interaction with GATA4 and NKX2-5 (By similarity). Participates in the negative regulation of cell proliferation signaling (By similarity). Does not have histone demethylase activity (By similarity).
See full target information JARID2

Publications (1)

Recent publications for all applications. Explore the full list and refine your search

International journal of molecular medicine 56: PubMed40709382

2025

Dulaglutide markedly prevents peritoneal fibrosis in a rodent model of chronic kidney disease: Insights into the pathogenesis.

Applications

Unspecified application

Species

Unspecified reactive species

Chih-Chao Yang,Ya Yue,Yi-Ting Wang,John Y Chiang,Ben-Chung Cheng,Tsuen-Wei Hsu,Yi-Ling Chen,Yi-Chen Li,Hon-Kan Yip
View all publications

Product promise

We are committed to supporting your work with high-quality reagents, and we're here for you every step of the way. In the unlikely event that one of our products does not perform as expected, you're protected by our Product Promise.
For full details, please see our Terms & Conditions

Please note: All products are 'FOR RESEARCH USE ONLY. NOT FOR USE IN DIAGNOSTIC OR THERAPEUTIC PROCEDURES'.

For licensing inquiries, please contact partnerships@abcam.com