JavaScript is disabled in your browser. Please enable JavaScript to view this website.
AB12331

Anti-JLP antibody

3

(1 Review)

|

(22 Publications)

Rabbit Polyclonal JLP antibody. Suitable for IHC-P, IP, WB and reacts with Human, Mouse samples. Cited in 22 publications. Immunogen corresponding to Synthetic Peptide within Human SPAG9 aa 1-50.

View Alternative Names

HSS, KIAA0516, MAPK8IP4, SYD1, HLC6, SPAG9, C-Jun-amino-terminal kinase-interacting protein 4, JIP-4, JNK-interacting protein 4, Cancer/testis antigen 89, Human lung cancer oncogene 6 protein, JNK-associated leucine-zipper protein, Mitogen-activated protein kinase 8-interacting protein 4, Proliferation-inducing protein 6, Protein highly expressed in testis, Sperm surface protein, Sperm-associated antigen 9, Sperm-specific protein, Sunday driver 1, CT89, HLC-6, JLP, PHET

3 Images
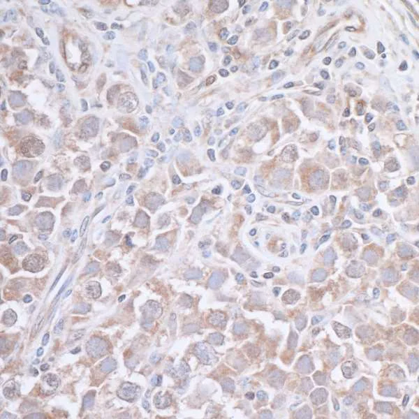
Immunohistochemistry (Formalin/PFA-fixed paraffin-embedded sections) - Anti-JLP antibody (AB12331)
  • IHC-P

Supplier Data

Immunohistochemistry (Formalin/PFA-fixed paraffin-embedded sections) - Anti-JLP antibody (AB12331)

Immunohistochemistry (Formalin/PFA-fixed paraffin-embedded sections) of Human seminoma using ab12331 at 1/1000 with and HRP- conjugated goat anti-rabbit secondary antibody.

Immunoprecipitation - Anti-JLP antibody (AB12331)
  • IP

Supplier Data

Immunoprecipitation - Anti-JLP antibody (AB12331)

Immunoprecipitation analysis of HeLa whole cell lysate (1 mg for IP, 20% of IP loaded). ab12331 was used for immunoprecipitation at 3 μg/mg lysate and used for western blot at 1 μg/ml. Lanes 1 and 2 - ab12331 IP, Lane 3 - control IgG.

All lanes:

Immunoprecipitation - Anti-JLP antibody (ab12331)

Predicted band size: 146 kDa

false

Western blot - Anti-JLP antibody (AB12331)
  • WB

Supplier Data

Western blot - Anti-JLP antibody (AB12331)

All lanes:

Western blot - Anti-JLP antibody (ab12331) at 0.1 µg/mL

Lane 2:

293T cell lysate at 50 µg

Lane 3:

Jurkat cell lysate at 50 µg

Lane 4:

3T3 cell lysate at 50 µg

Predicted band size: 146 kDa

false

Key facts

Host species

Rabbit

Clonality

Polyclonal

Isotype

IgG

Carrier free

No

Reacts with

Mouse, Human

Applications

IHC-P, IP, WB

applications

Immunogen

Synthetic Peptide within Human SPAG9 aa 1-50. The exact immunogen used to generate this antibody is proprietary information.

O60271

Reactivity data

{ "title": "Reactivity Data", "filters": { "stats": ["", "Species", "Dilution Info", "Notes"], "tabs": { "all-applications": {"fullname" : "All Applications", "shortname": "All Applications"}, "IHCP" : {"fullname" : "Immunohistochemistry (Formalin/PFA-fixed paraffin-embedded sections)", "shortname":"IHC-P"}, "IP" : {"fullname" : "Immunoprecipitation", "shortname":"IP"}, "WB" : {"fullname" : "Western blot", "shortname":"WB"} }, "product-promise": { "all": "all", "testedAndGuaranteed": "tested", "guaranteed": "expected", "predicted": "predicted", "notRecommended": "not-recommended" } }, "values": { "Human": { "IHCP-species-checked": "testedAndGuaranteed", "IHCP-species-dilution-info": "1/1000 - 1/5000", "IHCP-species-notes": "<p></p> Perform heat-mediated antigen retrieval with citrate buffer pH 6 before commencing with IHC staining protocol.", "IP-species-checked": "testedAndGuaranteed", "IP-species-dilution-info": "2-5 µg/mL", "IP-species-notes": "<p></p>", "WB-species-checked": "testedAndGuaranteed", "WB-species-dilution-info": "1/1000 - 1/10000", "WB-species-notes": "<p></p>" }, "Mouse": { "IHCP-species-checked": "guaranteed", "IHCP-species-dilution-info": "", "IHCP-species-notes": "", "IP-species-checked": "guaranteed", "IP-species-dilution-info": "", "IP-species-notes": "", "WB-species-checked": "testedAndGuaranteed", "WB-species-dilution-info": "1/1000 - 1/10000", "WB-species-notes": "<p></p>" }, "Chimpanzee": { "IHCP-species-checked": "predicted", "IHCP-species-dilution-info": "", "IHCP-species-notes": "", "IP-species-checked": "predicted", "IP-species-dilution-info": "", "IP-species-notes": "", "WB-species-checked": "predicted", "WB-species-dilution-info": "", "WB-species-notes": "" }, "Dog": { "IHCP-species-checked": "predicted", "IHCP-species-dilution-info": "", "IHCP-species-notes": "", "IP-species-checked": "predicted", "IP-species-dilution-info": "", "IP-species-notes": "", "WB-species-checked": "predicted", "WB-species-dilution-info": "", "WB-species-notes": "" }, "Elephant": { "IHCP-species-checked": "predicted", "IHCP-species-dilution-info": "", "IHCP-species-notes": "", "IP-species-checked": "predicted", "IP-species-dilution-info": "", "IP-species-notes": "", "WB-species-checked": "predicted", "WB-species-dilution-info": "", "WB-species-notes": "" }, "Guinea pig": { "IHCP-species-checked": "predicted", "IHCP-species-dilution-info": "", "IHCP-species-notes": "", "IP-species-checked": "predicted", "IP-species-dilution-info": "", "IP-species-notes": "", "WB-species-checked": "predicted", "WB-species-dilution-info": "", "WB-species-notes": "" }, "Opossum": { "IHCP-species-checked": "predicted", "IHCP-species-dilution-info": "", "IHCP-species-notes": "", "IP-species-checked": "predicted", "IP-species-dilution-info": "", "IP-species-notes": "", "WB-species-checked": "predicted", "WB-species-dilution-info": "", "WB-species-notes": "" }, "Orangutan": { "IHCP-species-checked": "predicted", "IHCP-species-dilution-info": "", "IHCP-species-notes": "", "IP-species-checked": "predicted", "IP-species-dilution-info": "", "IP-species-notes": "", "WB-species-checked": "predicted", "WB-species-dilution-info": "", "WB-species-notes": "" }, "Pig": { "IHCP-species-checked": "predicted", "IHCP-species-dilution-info": "", "IHCP-species-notes": "", "IP-species-checked": "predicted", "IP-species-dilution-info": "", "IP-species-notes": "", "WB-species-checked": "predicted", "WB-species-dilution-info": "", "WB-species-notes": "" }, "Rhesus monkey": { "IHCP-species-checked": "predicted", "IHCP-species-dilution-info": "", "IHCP-species-notes": "", "IP-species-checked": "predicted", "IP-species-dilution-info": "", "IP-species-notes": "", "WB-species-checked": "predicted", "WB-species-dilution-info": "", "WB-species-notes": "" } } }

Properties and storage information

Form
Liquid
Purification technique
Affinity purification Immunogen
Purification notes
This antibody is affinity purified.
Storage buffer
pH: 7 - 8 Preservative: 0.09% Sodium azide Constituents: PBS, 1.815% Tris, 1.764% Sodium citrate
Shipped at conditions
Blue Ice
Appropriate short-term storage conditions
+4°C
Appropriate long-term storage conditions
-20°C
Aliquoting information
Upon delivery aliquot
Storage information
Avoid freeze / thaw cycle

Supplementary information

This supplementary information is collated from multiple sources and compiled automatically.

JLP also known as JNK-associated leucine zipper protein is a scaffolding protein involved in the regulation of several signaling pathways. It has a molecular weight of approximately 155 kDa. JLP is widely expressed throughout various tissues including brain heart and skeletal muscle. It plays a role in directing components of signaling pathways to specific subcellular locations and works closely with other signaling proteins such as JIP4 (C-jun N-terminal kinase-interacting protein 4).
Biological function summary

JLP helps organize and maintain signaling complexes within the cell. It serves as a scaffold that brings together MAPK signaling components facilitating signal transduction and enhancing specificity in cell signaling events. By doing so it alters cellular responses to external stimuli. JLP often functions alongside other scaffold proteins within larger signaling groups promoting efficient signal cascade transmission and enabling precise regulation of cellular activities.

Pathways

JLP is particularly important within the mitogen-activated protein kinase (MAPK) pathway and the c-Jun N-terminal kinase (JNK) pathway. It aids in the organization and activation of these pathways by binding to specific kinases and other scaffolding proteins. JLP interacts with proteins like JNK and JIP1 to oversee the transmission of stress-related signals affecting processes such as apoptosis and inflammation.

JLP has connections to cancer and neurological disorders. Its involvement in cell signaling makes it a critical player in cancer progression as it can influence cellular growth and survival mechanisms. Alterations in JLP expression or function can disturb normal signaling balance therefore contributing to tumorigenesis. Additionally JLP’s function in neuronal signaling pathways links it to neurodegenerative diseases where dysregulated signaling could lead to disease pathology. Its interactions with proteins like JNK highlight its potential role in disease development offering a target for therapeutic interventions.

Product protocols

For this product, it's our understanding that no specific protocols are required. You can visit:

Target data

The JNK-interacting protein (JIP) group of scaffold proteins selectively mediates JNK signaling by aggregating specific components of the MAPK cascade to form a functional JNK signaling module (PubMed : 14743216). Regulates lysosomal positioning by acting as an adapter protein which links PIP4P1-positive lysosomes to the dynein-dynactin complex (PubMed : 29146937). Assists PIKFYVE selective functionality in microtubule-based endosome-to-TGN trafficking (By similarity).
See full target information SPAG9

Publications (22)

Recent publications for all applications. Explore the full list and refine your search

iScience 26:106396 PubMed37013185

2023

JLP/Foxk1/N-cadherin axis fosters a partial epithelial-mesenchymal transition state in epithelial tubular cells.

Applications

Unspecified application

Species

Unspecified reactive species

Maoqing Tian,Lu Zhang,Meng Zhang,Liwen Qiao,Bingqing Xu,Chen Li,Shan Liu,Yuan Song,Zhongping Wei,Yujuan Wang,Huiming Wang

Kidney diseases (Basel, Switzerland) 8:168-179 PubMed35527988

2022

Loss of JNK-Associated Leucine Zipper Protein Promotes Peritoneal Dialysis-Related Peritoneal Fibrosis.

Applications

Unspecified application

Species

Unspecified reactive species

Maoqing Tian,Lu Zhang,Yujuan Wang,Meili Deng,Cancan Peng,Wei Liang,Guohua Ding,Bo Shen,Huiming Wang

Scientific reports 11:20880 PubMed34686700

2021

ZSWIM8 is a myogenic protein that partly prevents C2C12 differentiation.

Applications

Unspecified application

Species

Unspecified reactive species

Fumihiko Okumura,Nodoka Oki,Yuha Fujiki,Rio Ikuta,Kana Osaki,Shun Hamada,Kunio Nakatsukasa,Naoki Hisamoto,Taichi Hara,Takumi Kamura

Communications biology 3:288 PubMed32504044

2020

A negative feedback loop between JNK-associated leucine zipper protein and TGF-β1 regulates kidney fibrosis.

Applications

Unspecified application

Species

Unspecified reactive species

Qi Yan,Kai Zhu,Lu Zhang,Qiang Fu,Zhaowei Chen,Shan Liu,Dou Fu,Ryota Nakazato,Katsuji Yoshioka,Bo Diao,Guohua Ding,Xiaogang Li,Huiming Wang

International journal of oncology 55:988-1002 PubMed31485599

2019

LncRNA NEAT1 enhances the resistance of anaplastic thyroid carcinoma cells to cisplatin by sponging miR‑9‑5p and regulating SPAG9 expression.

Applications

Unspecified application

Species

Unspecified reactive species

Pei Yan,Zijie Su,Zhenhua Zhang,Teng Gao

Oncology reports 41:2329-2336 PubMed30720101

2019

SPAG9/MKK3/p38 axis is a novel therapeutic target for liver cancer.

Applications

Unspecified application

Species

Unspecified reactive species

Shudi Luo,Biqiong Ren,Guoying Zou,Junlong Liu,Wei Chen,Yiran Huang,Xing Chen,Yin Fu

Molecular and cellular biology 38: PubMed30275345

2018

Hsp70 Interacts with Mitogen-Activated Protein Kinase (MAPK)-Activated Protein Kinase 2 To Regulate p38MAPK Stability and Myoblast Differentiation during Skeletal Muscle Regeneration.

Applications

Unspecified application

Species

Unspecified reactive species

Wei Fan,Xiu Kui Gao,Xi Sheng Rao,Yin Pu Shi,Xiao Ceng Liu,Fei Ya Wang,Yu Fen Liu,Xiao Xia Cong,Min Yi He,Shui Bo Xu,Wei Liang Shen,Yue Shen,Shi Gui Yan,Yan Luo,Boon Chuan Low,Hongwei Ouyang,Zhang Bao,Li Ling Zheng,Yi Ting Zhou

Oncology reports 40:895-901 PubMed29901164

2018

Curcumin inhibits liver cancer by inhibiting DAMP molecule HSP70 and TLR4 signaling.

Applications

Unspecified application

Species

Unspecified reactive species

Biqiong Ren,Shudi Luo,Xuefei Tian,Zhichao Jiang,Guoying Zou,Fei Xu,Tieqiu Yin,Yiran Huang,Junlong Liu

Oncology letters 15:415-422 PubMed29391885

2018

Sperm-associated antigen 9 is upregulated in hepatocellular carcinoma tissue and enhances QGY cell proliferation and invasion .

Applications

Unspecified application

Species

Unspecified reactive species

Biqiong Ren,Guoying Zou,Junyu He,Yiran Huang,Guoan Ma,Guofeng Xu,Yong Li,Ping Yu

Molecular and cellular biology 37: PubMed27920253

2017

Bmp Induces Osteoblast Differentiation through both Smad4 and mTORC1 Signaling.

Applications

WB

Species

Mouse

Courtney M Karner,Seung-Yon Lee,Fanxin Long
View all publications

Product promise

We are committed to supporting your work with high-quality reagents, and we're here for you every step of the way. In the unlikely event that one of our products does not perform as expected, you're protected by our Product Promise.
For full details, please see our Terms & Conditions

Please note: All products are 'FOR RESEARCH USE ONLY. NOT FOR USE IN DIAGNOSTIC OR THERAPEUTIC PROCEDURES'.

For licensing inquiries, please contact partnerships@abcam.com