JavaScript is disabled in your browser. Please enable JavaScript to view this website.
AB307426

Anti-JLP antibody [EPR25121-32]

Be the first to review this product! Submit a review

|

(0 Publication)

Rabbit Recombinant Monoclonal JLP antibody. Suitable for IP, WB and reacts with Human, Rat, Mouse samples.

View Alternative Names

HSS, KIAA0516, MAPK8IP4, SYD1, HLC6, SPAG9, C-Jun-amino-terminal kinase-interacting protein 4, JIP-4, JNK-interacting protein 4, Cancer/testis antigen 89, Human lung cancer oncogene 6 protein, JNK-associated leucine-zipper protein, Mitogen-activated protein kinase 8-interacting protein 4, Proliferation-inducing protein 6, Protein highly expressed in testis, Sperm surface protein, Sperm-associated antigen 9, Sperm-specific protein, Sunday driver 1, CT89, HLC-6, JLP, PHET

4 Images
Immunoprecipitation - Anti-JLP antibody [EPR25121-32] (AB307426)
  • IP

Supplier Data

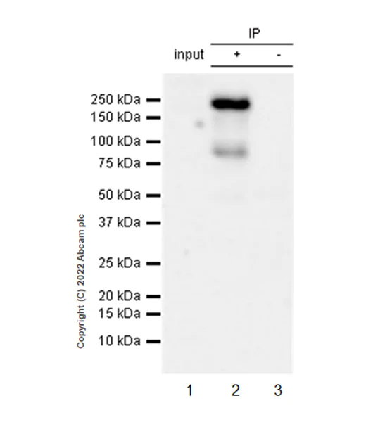
Immunoprecipitation - Anti-JLP antibody [EPR25121-32] (AB307426)

JLP was immunoprecipitated from 0.35 mg 293T (human embryonic kidney epithelial cell) whole cell lysate 10 ug with ab307426 at 1/30 dilution (2ug in 0.35mg lysates). Western blot was performed on the immunoprecipitate using ab307426 at 1/1000 dilution. VeriBlot for IP secondary antibody(HRP)(ab131366) was used at 1/5000 dilution. Lane 1 : 293T (human embryonic kidney epithelial cell) whole cell lysate 10 ug Lane 2 : ABAB307426 IP in 293T whole cell lysate Lane 3 : RABbit monoclonal IgG (ab172730) instead of ab307426 in 293T whole cell lysate Blocking and dilution buffer and concentration : 5% NFDM/TBST. Exposure time : 3 seconds Lysates were freshly made and used for IP immediately to minimize protein degradation.

All lanes:

Immunoprecipitation - Anti-JLP antibody [EPR25121-32] (ab307426) at 1/1000 dilution

Lane 1:

293T (human embryonic kidney epithelial cell) whole cell lysate 10 μg

Lane 2:

293T whole cell lysate

Secondary

All lanes:

Immunoprecipitation - VeriBlot for IP Detection Reagent (HRP) (<a href='/en-us/products/reagents/veriblot-for-ip-detection-reagent-hrp-ab131366'>ab131366</a>) at 1/5000 dilution

Observed band size: 190 kDa

false

Exposure time: 3s

Western blot - Anti-JLP antibody [EPR25121-32] (AB307426)
  • WB

Supplier Data

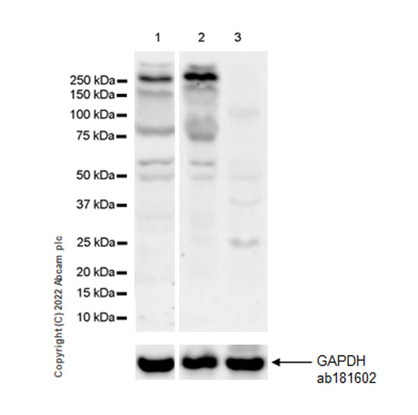
Western blot - Anti-JLP antibody [EPR25121-32] (AB307426)

Blocking and diluting buffer and concentration : 5% NFDM/TBSTNegative control : A-172 (PMID : 23696027). Exposure time : 70 seconds

All lanes:

Western blot - Anti-JLP antibody [EPR25121-32] (ab307426) at 1/1000 dilution

Lane 1:

HeLa (human cervical adenocarcinoma epithelial cell) whole cell lysate 20 μg

Lane 2:

293T (human embryonic kidney epithelial cell) whole cell lysate 20 μg

Lane 3:

A-172 (human brain glioblastoma cell ) whole cell lysate 20 μg

Secondary

All lanes:

Western blot - Goat Anti-Rabbit IgG H&L (HRP) (<a href='/en-us/products/secondary-antibodies/goat-rabbit-igg-h-l-hrp-ab97051'>ab97051</a>) at 1/100000 dilution

Observed band size: 190 kDa

false

Exposure time: 70s

Western blot - Anti-JLP antibody [EPR25121-32] (AB307426)
  • WB

Supplier Data

Western blot - Anti-JLP antibody [EPR25121-32] (AB307426)

Blocking and diluting buffer and concentration : 5% NFDM/TBSTLysates were freshly made and used for Western blotting immediately to minimize protein degradation. Exposure time : 15 seconds

All lanes:

Western blot - Anti-JLP antibody [EPR25121-32] (ab307426) at 1/1000 dilution

Lane 1:

HeLa (human cervical adenocarcinoma epithelial cell) whole cell lysate 20 μg

Lane 2:

293T (human embryonic kidney epithelial cell) whole cell lysate 20 μg

Lane 3:

NIH/3T3 (mouse embryonic fibroblast) whole cell lysate 20 μg

Secondary

All lanes:

Western blot - Goat Anti-Rabbit IgG H&L (HRP) (<a href='/en-us/products/secondary-antibodies/goat-rabbit-igg-h-l-hrp-ab97051'>ab97051</a>) at 1/20000 dilution

Observed band size: 190 kDa

false

Exposure time: 15s

Western blot - Anti-JLP antibody [EPR25121-32] (AB307426)
  • WB

Supplier Data

Western blot - Anti-JLP antibody [EPR25121-32] (AB307426)

Blocking and diluting buffer and concentration : 5% NFDM/TBSTLysates were freshly made and used for Western blotting immediately to minimize protein degradation. Exposure time : 48 seconds

All lanes:

Western blot - Anti-JLP antibody [EPR25121-32] (ab307426) at 1/1000 dilution

Lane 1:

Mouse testis tissue lysate 20 μg

Lane 2:

Rat testis tissue lysate 20 μg

Secondary

All lanes:

Western blot - Goat Anti-Rabbit IgG H&L (HRP) (<a href='/en-us/products/secondary-antibodies/goat-rabbit-igg-h-l-hrp-ab97051'>ab97051</a>) at 1/100000 dilution

Observed band size: 190 kDa

false

Exposure time: 48s

Key facts

Host species

Rabbit

Clonality

Monoclonal

Clone number

EPR25121-32

Isotype

IgG

Carrier free

No

Reacts with

Human, Mouse, Rat

Applications

IP, WB

applications

Immunogen

The exact immunogen used to generate this antibody is proprietary information.

Reactivity data

{ "title": "Reactivity Data", "filters": { "stats": ["", "Species", "Dilution Info", "Notes"], "tabs": { "all-applications": {"fullname" : "All Applications", "shortname": "All Applications"}, "IP" : {"fullname" : "Immunoprecipitation", "shortname":"IP"}, "ICCIF" : {"fullname" : "Immunocytochemistry/ Immunofluorescence", "shortname":"ICC/IF"}, "WB" : {"fullname" : "Western blot", "shortname":"WB"}, "IHCP" : {"fullname" : "Immunohistochemistry (Formalin/PFA-fixed paraffin-embedded sections)", "shortname":"IHC-P"}, "FlowCytIntra" : {"fullname" : "Flow Cytometry (Intracellular)", "shortname":"Flow Cyt (Intra)"} }, "product-promise": { "all": "all", "testedAndGuaranteed": "tested", "guaranteed": "expected", "predicted": "predicted", "notRecommended": "not-recommended" } }, "values": { "Human": { "IP-species-checked": "testedAndGuaranteed", "IP-species-dilution-info": "1/30", "IP-species-notes": "<p></p>", "ICCIF-species-checked": "notRecommended", "ICCIF-species-dilution-info": "", "ICCIF-species-notes": "<p></p>", "WB-species-checked": "testedAndGuaranteed", "WB-species-dilution-info": "1/1000", "WB-species-notes": "<p></p>", "IHCP-species-checked": "notRecommended", "IHCP-species-dilution-info": "", "IHCP-species-notes": "<p></p>", "FlowCytIntra-species-checked": "notRecommended", "FlowCytIntra-species-dilution-info": "", "FlowCytIntra-species-notes": "<p></p>" }, "Mouse": { "IP-species-checked": "notRecommended", "IP-species-dilution-info": "1/30", "IP-species-notes": "<p></p>", "ICCIF-species-checked": "notRecommended", "ICCIF-species-dilution-info": "", "ICCIF-species-notes": "<p></p>", "WB-species-checked": "testedAndGuaranteed", "WB-species-dilution-info": "1/1000", "WB-species-notes": "<p></p>", "IHCP-species-checked": "notRecommended", "IHCP-species-dilution-info": "", "IHCP-species-notes": "<p></p>", "FlowCytIntra-species-checked": "notRecommended", "FlowCytIntra-species-dilution-info": "", "FlowCytIntra-species-notes": "<p></p>" }, "Rat": { "IP-species-checked": "guaranteed", "IP-species-dilution-info": "", "IP-species-notes": "", "ICCIF-species-checked": "notRecommended", "ICCIF-species-dilution-info": "", "ICCIF-species-notes": "", "WB-species-checked": "testedAndGuaranteed", "WB-species-dilution-info": "1/1000", "WB-species-notes": "<p></p>", "IHCP-species-checked": "notRecommended", "IHCP-species-dilution-info": "", "IHCP-species-notes": "<p></p>", "FlowCytIntra-species-checked": "notRecommended", "FlowCytIntra-species-dilution-info": "", "FlowCytIntra-species-notes": "" } } }

Product details

Patented technology
Our RabMAb® technology is a patented hybridoma-based technology for making rabbit monoclonal antibodies. For details on our patents, please refer to RabMAb® patents.

What are the advantages of a recombinant monoclonal antibody?
This product is a recombinant monoclonal antibody, which offers several advantages including:

  • - High batch-to-batch consistency and reproducibility
  • - Improved sensitivity and specificity
  • - Long-term security of supply
  • - Animal-free batch production

For more information, read more on recombinant antibodies.

Properties and storage information

Form
Liquid
Purification technique
Affinity purification Protein A
Storage buffer
pH: 7.2 - 7.4 Preservative: 0.01% Sodium azide Constituents: PBS, 40% Glycerol (glycerin, glycerine), 0.05% BSA
Shipped at conditions
Blue Ice
Appropriate short-term storage duration
1-2 weeks
Appropriate short-term storage conditions
+4°C
Appropriate long-term storage conditions
-20°C
Aliquoting information
Upon delivery aliquot
Storage information
Avoid freeze / thaw cycle

Supplementary information

This supplementary information is collated from multiple sources and compiled automatically.

JLP also known as JNK-associated leucine zipper protein is a scaffolding protein involved in the regulation of several signaling pathways. It has a molecular weight of approximately 155 kDa. JLP is widely expressed throughout various tissues including brain heart and skeletal muscle. It plays a role in directing components of signaling pathways to specific subcellular locations and works closely with other signaling proteins such as JIP4 (C-jun N-terminal kinase-interacting protein 4).
Biological function summary

JLP helps organize and maintain signaling complexes within the cell. It serves as a scaffold that brings together MAPK signaling components facilitating signal transduction and enhancing specificity in cell signaling events. By doing so it alters cellular responses to external stimuli. JLP often functions alongside other scaffold proteins within larger signaling groups promoting efficient signal cascade transmission and enabling precise regulation of cellular activities.

Pathways

JLP is particularly important within the mitogen-activated protein kinase (MAPK) pathway and the c-Jun N-terminal kinase (JNK) pathway. It aids in the organization and activation of these pathways by binding to specific kinases and other scaffolding proteins. JLP interacts with proteins like JNK and JIP1 to oversee the transmission of stress-related signals affecting processes such as apoptosis and inflammation.

JLP has connections to cancer and neurological disorders. Its involvement in cell signaling makes it a critical player in cancer progression as it can influence cellular growth and survival mechanisms. Alterations in JLP expression or function can disturb normal signaling balance therefore contributing to tumorigenesis. Additionally JLP’s function in neuronal signaling pathways links it to neurodegenerative diseases where dysregulated signaling could lead to disease pathology. Its interactions with proteins like JNK highlight its potential role in disease development offering a target for therapeutic interventions.

Product protocols

For this product, it's our understanding that no specific protocols are required. You can visit:

Target data

The JNK-interacting protein (JIP) group of scaffold proteins selectively mediates JNK signaling by aggregating specific components of the MAPK cascade to form a functional JNK signaling module (PubMed : 14743216). Regulates lysosomal positioning by acting as an adapter protein which links PIP4P1-positive lysosomes to the dynein-dynactin complex (PubMed : 29146937). Assists PIKFYVE selective functionality in microtubule-based endosome-to-TGN trafficking (By similarity).
See full target information SPAG9

Product promise

We are committed to supporting your work with high-quality reagents, and we're here for you every step of the way. In the unlikely event that one of our products does not perform as expected, you're protected by our Product Promise.
For full details, please see our Terms & Conditions

Please note: All products are 'FOR RESEARCH USE ONLY. NOT FOR USE IN DIAGNOSTIC OR THERAPEUTIC PROCEDURES'.

For licensing inquiries, please contact partnerships@abcam.com