JavaScript is disabled in your browser. Please enable JavaScript to view this website.
AB53113

Anti-JM4/PRAF2 antibody

4

(2 Reviews)

|

(4 Publications)

Rabbit Polyclonal JM4/PRAF2 antibody. Suitable for ELISA, WB, IHC-P and reacts with Mouse, Human samples. Cited in 4 publications.

View Alternative Names

JM4, PRAF2, PRA1 family protein 2

3 Images
Immunohistochemistry (Formalin/PFA-fixed paraffin-embedded sections) - Anti-JM4/PRAF2 antibody (AB53113)
  • IHC-P

Unknown

Immunohistochemistry (Formalin/PFA-fixed paraffin-embedded sections) - Anti-JM4/PRAF2 antibody (AB53113)

ab53113 at 1/50 dilution staining JM4/PRAF2 in human brain tissue by Immunohistochemistry, Paraffin embedded tissue, in the absence and presence of the immunising peptide.

Western blot - Anti-JM4/PRAF2 antibody (AB53113)
  • WB

Unknown

Western blot - Anti-JM4/PRAF2 antibody (AB53113)

All lanes:

Western blot - Anti-JM4/PRAF2 antibody (ab53113) at 1/300 dilution

Lane 1:

LOVO cell extract

Lane 2:

LOVO cell extract with immunising peptide

Predicted band size: 19 kDa

Observed band size: 19 kDa

false

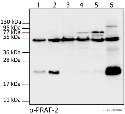
Western blot - Anti-JM4/PRAF2 antibody (AB53113)
  • WB

AbReview37941****

Western blot - Anti-JM4/PRAF2 antibody (AB53113)

All lanes:

Western blot - Anti-JM4/PRAF2 antibody (ab53113) at 1/300 dilution

Lane 1:

Mouse spleen whole tissue lysate at 40 µg

Lane 2:

Mouse braint whole tissue lysate at 40 µg

Lane 3:

Mouse heart whole tissue lysate at 40 µg

Lane 4:

Mouse kidney whole tissue lysate at 40 µg

Lane 5:

Mouse liver whole tissue lysate at 40 µg

Lane 6:

Mouse embryonic fibroblasts lysate at 40 µg

Secondary

All lanes:

HRP-conjugated Goat anti-rabbit at 1/10000 dilution

Predicted band size: 19 kDa

Observed band size: 22 kDa,55 kDa

true

Exposure time: 20s

This image is courtesy of an anonymous Abreview

Key facts

Host species

Rabbit

Clonality

Polyclonal

Isotype

IgG

Carrier free

No

Reacts with

Human, Mouse

Applications

IHC-P, WB, ELISA

applications

Immunogen

The exact immunogen used to generate this antibody is proprietary information.

Reactivity data

{ "title": "Reactivity Data", "filters": { "stats": ["", "Species", "Dilution Info", "Notes"], "tabs": { "all-applications": {"fullname" : "All Applications", "shortname": "All Applications"}, "ELISA" : {"fullname" : "ELISA", "shortname":"ELISA"}, "WB" : {"fullname" : "Western blot", "shortname":"WB"}, "IHCP" : {"fullname" : "Immunohistochemistry (Formalin/PFA-fixed paraffin-embedded sections)", "shortname":"IHC-P"} }, "product-promise": { "all": "all", "testedAndGuaranteed": "tested", "guaranteed": "expected", "predicted": "predicted", "notRecommended": "not-recommended" } }, "values": { "Human": { "ELISA-species-checked": "guaranteed", "ELISA-species-dilution-info": "", "ELISA-species-notes": "<p></p>", "WB-species-checked": "testedAndGuaranteed", "WB-species-dilution-info": "1/300 - 1/1000", "WB-species-notes": "<p></p>", "IHCP-species-checked": "testedAndGuaranteed", "IHCP-species-dilution-info": "", "IHCP-species-notes": "<p></p>" }, "Mouse": { "ELISA-species-checked": "guaranteed", "ELISA-species-dilution-info": "", "ELISA-species-notes": "<p></p>", "WB-species-checked": "predicted", "WB-species-dilution-info": "", "WB-species-notes": "", "IHCP-species-checked": "predicted", "IHCP-species-dilution-info": "", "IHCP-species-notes": "" }, "Rat": { "ELISA-species-checked": "predicted", "ELISA-species-dilution-info": "", "ELISA-species-notes": "", "WB-species-checked": "predicted", "WB-species-dilution-info": "", "WB-species-notes": "", "IHCP-species-checked": "predicted", "IHCP-species-dilution-info": "", "IHCP-species-notes": "" } } }

Properties and storage information

Form
Liquid
Purification technique
Affinity purification Immunogen
Storage buffer
pH: 7.4 Preservative: 0.02% Sodium azide Constituents: PBS, 50% Glycerol (glycerin, glycerine), 0.87% Sodium chloride
Shipped at conditions
Blue Ice
Appropriate short-term storage conditions
+4°C
Appropriate long-term storage conditions
-20°C
Storage information
Stable for 12 months at -20°C

Supplementary information

This supplementary information is collated from multiple sources and compiled automatically.

JM4 also known as PRAF2 (PRA1 domain family member 2) is a small protein with a molecular mass of approximately 21 kDa. It is expressed mainly in the brain hinting at a role in neurological functions. PRAF2 contains several transmembrane domains and is localized primarily to the Golgi apparatus and endosomal structures within cells. This localization suggests potential involvement in intracellular trafficking processes.
Biological function summary

PRAF2 participates in several cellular mechanisms related to vesicular transport and signal transduction. It is not independently acting; rather it forms part of a complex that includes other PRA family members. By interacting with these proteins PRAF2 helps modulate cell signaling pathways that can impact neuronal communication and cellular responses. The roles in signaling and transport suggest PRAF2's importance for cellular homeostasis and neuronal function.

Pathways

PRAF2 plays roles in multiple important biological cascades such as the neuronal signaling and vesicular transport pathways. Within these processes its interaction with proteins like Rab GTPases is significant as these help regulate vesicle movement and neurotransmitter release. These interactions hint at PRAF2’s role in maintaining the proper function and dynamic balance necessary for neurological health.

Research implicates PRAF2 in conditions like glioblastoma and schizophrenia. Its upregulation has been observed in glioblastoma suggesting a possible role in tumor growth or progression. In schizophrenia altered PRAF2 expression may affect neurotransmitter systems aligning with symptoms of the disorder. Connections with related proteins such as PRAF1 and other Rab GTPases further highlight PRAF2's involvement in pathogenic processes that underline these diseases.

Product protocols

For this product, it's our understanding that no specific protocols are required. You can visit:

Target data

May be involved in ER/Golgi transport and vesicular traffic. Plays a proapoptotic role in cerulenin-induced neuroblastoma apoptosis.
See full target information PRAF2

Publications (4)

Recent publications for all applications. Explore the full list and refine your search

International journal of molecular sciences 24: PubMed38139265

2023

Control of CCR5 Cell-Surface Targeting by the PRAF2 Gatekeeper.

Applications

Unspecified application

Species

Unspecified reactive species

Elisa Da Silva,Mark G H Scott,Hervé Enslen,Stefano Marullo

Cellular and molecular life sciences : CMLS 79:530 PubMed36167862

2022

Pharmacological chaperone-rescued cystic fibrosis CFTR-F508del mutant overcomes PRAF2-gated access to endoplasmic reticulum exit sites.

Applications

Unspecified application

Species

Unspecified reactive species

Kusumika Saha,Benoit Chevalier,Stéphane Doly,Nesrine Baatallah,Thomas Guilbert,Iwona Pranke,Mark G H Scott,Hervé Enslen,Chiara Guerrera,Cérina Chuon,Aleksander Edelman,Isabelle Sermet-Gaudelus,Alexandre Hinzpeter,Stefano Marullo

Cancer cell international 19:160 PubMed31198409

2019

Mutual regulation of JAG2 and PRAF2 promotes migration and invasion of colorectal cancer cells uncoupled from epithelial-mesenchymal transition.

Applications

Unspecified application

Species

Unspecified reactive species

Wan He,Jun Tang,Wenwen Li,Yong Li,Yi Mei,Lisheng He,Keli Zhong,Ruilian Xu

PloS one 9:e93305 PubMed24671231

2014

High-throughput quantitative proteomic analysis of dengue virus type 2 infected A549 cells.

Applications

WB

Species

Human

Han-Chen Chiu,Holger Hannemann,Kate J Heesom,David A Matthews,Andrew D Davidson
View all publications

Product promise

We are committed to supporting your work with high-quality reagents, and we're here for you every step of the way. In the unlikely event that one of our products does not perform as expected, you're protected by our Product Promise.
For full details, please see our Terms & Conditions

Please note: All products are 'FOR RESEARCH USE ONLY. NOT FOR USE IN DIAGNOSTIC OR THERAPEUTIC PROCEDURES'.

For licensing inquiries, please contact partnerships@abcam.com