JavaScript is disabled in your browser. Please enable JavaScript to view this website.
AB256798

Anti-JMJD6 antibody [EPR23672-71]

  • BOND RX™ Validated
  • 20ul selling size
  • RabMAb
  • Recombinant
  • KO Validated
  • What is this?

Be the first to review this product! Submit a review

|

(1 Publication)

Rabbit Recombinant Monoclonal JMJD6 antibody. Suitable for Flow Cyt, WB, IHC-P and reacts with Human samples. Cited in 1 publication.

View Alternative Names

KIAA0585, PSR, PTDSR, JMJD6, Bifunctional arginine demethylase and lysyl-hydroxylase JMJD6, Histone arginine demethylase JMJD6, JmjC domain-containing protein 6, Jumonji domain-containing protein 6, Lysyl-hydroxylase JMJD6, Peptide-lysine 5-dioxygenase JMJD6, Phosphatidylserine receptor, Protein PTDSR

6 Images
Flow Cytometry - Anti-JMJD6 antibody [EPR23672-71] (AB256798)
  • Flow Cyt

Supplier Data

Flow Cytometry - Anti-JMJD6 antibody [EPR23672-71] (AB256798)

Flow cytometric analysis of 4% paraformaldehyde fixed 90% methanol permeabilized parental HEK293T (Human embryonic kidney epithelial cell, Right) cells / JMJD6 KO HEK293T cells (Left) labelling JMJD6 with ab256798 at 1/500 dilution (0.1ug) (Red) compared with a Rabbit monoclonal IgG (ab172730) (Black) isotype control and an unlabelled control (cells without incubation with primary antibody and secondary antibody) (Blue). A Goat anti rabbit IgG (Alexa Fluor® 488, ab150077) at 1/2000 dilution was used as the secondary antibody. Positive staining on 293T cells (ab255449), while no staining on JMJD6 knockout HEK-293T cells (ab266402).

Immunohistochemistry (Formalin/PFA-fixed paraffin-embedded sections) - Anti-JMJD6 antibody [EPR23672-71] (AB256798)
  • IHC-P

Supplier Data

Immunohistochemistry (Formalin/PFA-fixed paraffin-embedded sections) - Anti-JMJD6 antibody [EPR23672-71] (AB256798)

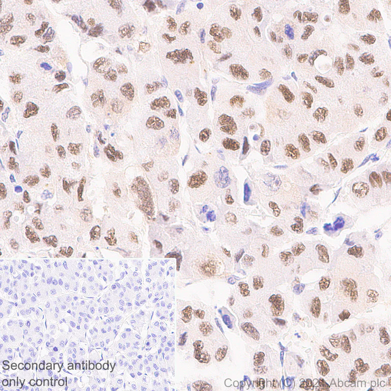
Immunohistochemical analysis of paraffin-embedded Human liver tumor tissue labelling JMJD6 with ab256798 at 1/500 (1.152 ug/ml) dilution followed by a ready to use Rabbit specific IHC polymer detection kit HRP/DAB (ab209101). Nuclear staining on human liver tumor. The section was incubated with ab256798 for 30 mins at room temperature.The immunostaining was performed on a Leica Biosystems BOND RX instrument Counterstained with Hematoxylin.

Secondary antibody only control : Secondary antibody is a ready to use Rabbit specific IHC polymer detection kit HRP/DAB (ab209101).

Heat mediated antigen retrieval with Tris-EDTA buffer (pH 9.0, epitope retrieval solution2) for 20 mins

Immunohistochemistry (Formalin/PFA-fixed paraffin-embedded sections) - Anti-JMJD6 antibody [EPR23672-71] (AB256798)
  • IHC-P

Supplier Data

Immunohistochemistry (Formalin/PFA-fixed paraffin-embedded sections) - Anti-JMJD6 antibody [EPR23672-71] (AB256798)

Immunohistochemical analysis of paraffin-embedded Human liver tissue labelling JMJD6 with ab256798 at 1/500 dilution (1.152 ug/ml) followed by a ready to use Rabbit specific IHC polymer detection kit HRP/DAB (ab209101). Negative control : No staining on human liver. The section was incubated with ab256798 for 30 mins at room temperature. The immunostaining was performed on a Leica Biosystems BOND RX instrument. Counterstained with Hematoxylin.

Secondary antibody only control : Secondary antibody is a ready to use Rabbit specific IHC polymer detection kit HRP/DAB (ab209101).

Heat mediated antigen retrieval with Tris-EDTA buffer (pH 9.0, epitope retrieval solution2) for 20 mins.

Immunohistochemistry (Formalin/PFA-fixed paraffin-embedded sections) - Anti-JMJD6 antibody [EPR23672-71] (AB256798)
  • IHC-P

Supplier Data

Immunohistochemistry (Formalin/PFA-fixed paraffin-embedded sections) - Anti-JMJD6 antibody [EPR23672-71] (AB256798)

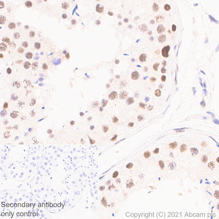
Immunohistochemical analysis of paraffin-embedded Human testis tissue labelling JMJD6 with ab256798 at 1/500 dilution (1.152 ug/ml) followed by a ready to use Rabbit specific IHC polymer detection kit HRP/DAB (ab209101). Nuclear staining on human testis. The section was incubated with ab256798 for 30 mins at room temperature. The immunostaining was performed on a Leica Biosystems BOND RX instrument. Counterstained with Hematoxylin.

Secondary antibody only control : Secondary antibody is a ready to use Rabbit specific IHC polymer detection kit HRP/DAB (ab209101).

Heat mediated antigen retrieval with Tris-EDTA buffer (pH 9.0, epitope retrieval solution2) for 20 mins.

Western blot - Anti-JMJD6 antibody [EPR23672-71] (AB256798)
  • WB

Lab

Western blot - Anti-JMJD6 antibody [EPR23672-71] (AB256798)

Blocking and diluting buffer and concentration : 5% NFDM/TBST

Lysates were made freshly and used in WB test immediately to minimize protein degradation.

The molecular weight observed is consistent with what has been described in the literature (PMID : 24360279).

This antibody reacts with an unidentifiable protein around 38 kDa.

Exposure time : 48 seconds

All lanes:

Western blot - Anti-JMJD6 antibody [EPR23672-71] (ab256798) at 1/1000 dilution

Lane 1:

HeLa (human cervix adenocarcinoma epithelial cell), whole cell lysate at 20 µg

Lane 2:

293T (human embryonic kidney epithelial cell), whole cell lysate at 20 µg

Secondary

All lanes:

Western blot - Goat Anti-Rabbit IgG H&L (HRP) (<a href='/en-us/products/secondary-antibodies/goat-rabbit-igg-h-l-hrp-ab97051'>ab97051</a>) at 1/20000 dilution

Predicted band size: 46 kDa

Observed band size: 147 kDa,294 kDa,49 kDa

false

Western blot - Anti-JMJD6 antibody [EPR23672-71] (AB256798)
  • WB

Lab

Western blot - Anti-JMJD6 antibody [EPR23672-71] (AB256798)

Blocking and diluting buffer and concentration : Intercept® (TBS) Blocking Buffer diluted with an equal volume of 0.1% TBS.

Lanes 1-5 : Merged signal (red and green).

Green - ab256798 observed at 49, 147, 294kDa.

Red - loading control ab8245 observed at 36 kDa.

ab256798 Anti-JMJD6 antibody [EPR23672-71] was shown to react with JMJD6 in Hela cells in Western blot. Loss of signal was observed when knockout cell line

ab266402 (JMJD6 knockout cell lysate ab257490) was used. Wild-type and JMJD6 knockout samples were subjected to SDS-PAGE.

ab256798 and Anti-GAPDH antibody [6C5] - Loading Control (ab8245) were incubated at 4°C overnight at 1/1000 dilution and 1/20000 dilution respectively. Blots were developed with Goat anti-Rabbit IgG H&L (IRDye® 800CW) preadsorbed (ab216773) and Goat anti-Mouse IgG H&L (IRDye® 680RD) preadsorbed (ab216776) secondary antibodies at 1/10000 dilution for 1 hour at room temperature before imaging.

The molecular weight observed is consistent with what has been described in the literature (PMID : 24360279).

This antibody reacts with an unidentifiable protein around 38 kDa.

All lanes:

Western blot - Anti-JMJD6 antibody [EPR23672-71] (ab256798) at 1/1000 dilution

Lane 1:

Wild-type HEK-293T (human embryonic kidney epithelial cell) whole cell lysate at 20 µg

Lane 2:

JMJD6 knockout HEK-293T whole cell lysate at 20 µg

Lane 3:

A549 (human lung carcinoma epithelial cell) whole cell lysate at 20 µg

Lane 4:

HeLa (human cervix adenocarcinoma epithelial cell), whole cell lysate at 20 µg

Lane 5:

PANC-1 (human pancreatic epithelioid carcinoma epithelial cell), whole cell lysate at 20 µg

Secondary

All lanes:

Goat Anti-Rabbit IgG H&L (IRDye® 800CW) (<a href='/en-us/products/secondary-antibodies/goat-rabbit-igg-h-l-irdye-800cw-preadsorbed-ab216773'>ab216773</a>) and Goat Anti-Mouse IgG H&L (IRDye® 680RD) (<a href='/en-us/products/secondary-antibodies/goat-mouse-igg-h-l-irdye-680rd-preadsorbed-ab216776'>ab216776</a>) at 1/10000 dilution

Predicted band size: 46 kDa

Observed band size: 147 kDa,294 kDa,49 kDa

false

  • Carrier free

    Anti-JMJD6 antibody [EPR23672-71] - BSA and Azide free

Key facts

Host species

Rabbit

Clonality

Monoclonal

Clone number

EPR23672-71

Isotype

IgG

Carrier free

No

Reacts with

Human

Applications

IHC-P, WB, Flow Cyt

applications

Immunogen

The exact immunogen used to generate this antibody is proprietary information.

Reactivity data

{ "title": "Reactivity Data", "filters": { "stats": ["", "Species", "Dilution Info", "Notes"], "tabs": { "all-applications": {"fullname" : "All Applications", "shortname": "All Applications"}, "ICCIF" : {"fullname" : "Immunocytochemistry/ Immunofluorescence", "shortname":"ICC/IF"}, "IP" : {"fullname" : "Immunoprecipitation", "shortname":"IP"}, "FlowCyt" : {"fullname" : "Flow Cytometry", "shortname":"Flow Cyt"}, "WB" : {"fullname" : "Western blot", "shortname":"WB"}, "IHCP" : {"fullname" : "Immunohistochemistry (Formalin/PFA-fixed paraffin-embedded sections)", "shortname":"IHC-P"} }, "product-promise": { "all": "all", "testedAndGuaranteed": "tested", "guaranteed": "expected", "predicted": "predicted", "notRecommended": "not-recommended" } }, "values": { "Human": { "ICCIF-species-checked": "notRecommended", "ICCIF-species-dilution-info": "", "ICCIF-species-notes": "<p></p>", "IP-species-checked": "notRecommended", "IP-species-dilution-info": "", "IP-species-notes": "<p></p>", "FlowCyt-species-checked": "testedAndGuaranteed", "FlowCyt-species-dilution-info": "1/500", "FlowCyt-species-notes": "<p></p>", "WB-species-checked": "testedAndGuaranteed", "WB-species-dilution-info": "1/1000", "WB-species-notes": "<p></p>", "IHCP-species-checked": "testedAndGuaranteed", "IHCP-species-dilution-info": "1/500", "IHCP-species-notes": "<p></p>" }, "Mouse": { "ICCIF-species-checked": "notRecommended", "ICCIF-species-dilution-info": "", "ICCIF-species-notes": "<p></p>", "IP-species-checked": "notRecommended", "IP-species-dilution-info": "", "IP-species-notes": "<p></p>", "FlowCyt-species-checked": "notRecommended", "FlowCyt-species-dilution-info": "", "FlowCyt-species-notes": "", "WB-species-checked": "notRecommended", "WB-species-dilution-info": "1/1000", "WB-species-notes": "<p></p>", "IHCP-species-checked": "notRecommended", "IHCP-species-dilution-info": "", "IHCP-species-notes": "" }, "Rat": { "ICCIF-species-checked": "notRecommended", "ICCIF-species-dilution-info": "", "ICCIF-species-notes": "", "IP-species-checked": "notRecommended", "IP-species-dilution-info": "", "IP-species-notes": "", "FlowCyt-species-checked": "notRecommended", "FlowCyt-species-dilution-info": "", "FlowCyt-species-notes": "", "WB-species-checked": "notRecommended", "WB-species-dilution-info": "1/1000", "WB-species-notes": "<p></p>", "IHCP-species-checked": "notRecommended", "IHCP-species-dilution-info": "", "IHCP-species-notes": "" } } }

Product details

Patented technology
Our RabMAb® technology is a patented hybridoma-based technology for making rabbit monoclonal antibodies. For details on our patents, please refer to RabMAb® patents.

What are the advantages of a recombinant monoclonal antibody?
This product is a recombinant monoclonal antibody, which offers several advantages including:

  • - High batch-to-batch consistency and reproducibility
  • - Improved sensitivity and specificity
  • - Long-term security of supply
  • - Animal-free batch production

For more information, read more on recombinant antibodies.

Properties and storage information

Form
Liquid
Purification technique
Affinity purification Protein A
Storage buffer
pH: 7.2 - 7.4 Preservative: 0.01% Sodium azide Constituents: PBS, 40% Glycerol (glycerin, glycerine), 0.05% BSA
Shipped at conditions
Blue Ice
Appropriate short-term storage duration
1-2 weeks
Appropriate short-term storage conditions
+4°C
Appropriate long-term storage conditions
-20°C
Aliquoting information
Upon delivery aliquot
Storage information
Avoid freeze / thaw cycle

Supplementary information

This supplementary information is collated from multiple sources and compiled automatically.

JMJD6 also known as Jumonji Domain Containing 6 or PSR (Phosphatidylserine Receptor) is a protein with a molecular mass of approximately 47 kDa. It functions mechanically as a 2-oxoglutarate- and Fe(II)-dependent oxygenase. This protein resides in the nucleus and cytoplasm with a higher expression in the thymus kidney heart and testis. JMJD6 gets involved in demethylating histones and splicing factors playing a role in gene regulation.
Biological function summary

JMJD6 influences gene expression and mRNA splicing processes. It participates in histone arginine demethylation affecting chromatin structure and transcriptional activity. JMJD6 is not known to be part of a larger protein complex but interacts with RNA splicing factors and chromatin modifiers. Its demethylase activity can alter the epigenetic landscape which makes it a vital part of cellular response and differentiation processes.

Pathways

JMJD6 is linked to the regulation of gene expression and RNA processing pathways. It modulates the transcriptional networks by its demethylase activity affecting how genes are turned on or off. JMJD6 often associates with nuclear receptors and splicing proteins such as SF3B1 integrating within the larger network of gene expression controllers and RNA splicing machinery. These interactions place JMJD6 at a critical juncture in gene expression regulation and RNA maturation.

JMJD6 has connections with cancer and autoimmune diseases. Its role in gene regulation and splicing implicates it in cancer progression often in link with prostate cancer. Abnormal JMJD6 expression can lead to disrupted gene patterns contributing to tumor growth. Additionally its alteration has associations with autoimmune diseases where its interaction with histone-modifying proteins like HDAC affects the immune response. These relationships highlight JMJD6's involvement in disease states marking it as a target of interest in research for therapeutic interventions.

Product protocols

For this product, it's our understanding that no specific protocols are required. You can visit:

Target data

Dioxygenase that can both act as a arginine demethylase and a lysyl-hydroxylase (PubMed : 17947579, PubMed : 20684070, PubMed : 21060799, PubMed : 22189873, PubMed : 24498420). Acts as a lysyl-hydroxylase that catalyzes 5-hydroxylation on specific lysine residues of target proteins such as U2AF2/U2AF65 and LUC7L2. Regulates RNA splicing by mediating 5-hydroxylation of U2AF2/U2AF65, affecting the pre-mRNA splicing activity of U2AF2/U2AF65 (PubMed : 19574390). Hydroxylates its own N-terminus, which is required for homooligomerization (PubMed : 22189873). Plays a role in the regulation of nucleolar liquid-liquid phase separation (LLPS) by post-translationally modifying LIAT1 at its lysine-rich domain which inhibits LIAT1 nucleolar targeting (By similarity). In addition to peptidyl-lysine 5-dioxygenase activity, may act as an RNA hydroxylase, as suggested by its ability to bind single strand RNA (PubMed : 20679243, PubMed : 29176719). Also acts as an arginine demethylase which preferentially demethylates asymmetric dimethylation (PubMed : 17947579, PubMed : 24360279, PubMed : 24498420). Demethylates histone H3 at 'Arg-2' (H3R2me) and histone H4 at 'Arg-3' (H4R3me), including mono-, symmetric di- and asymmetric dimethylated forms, thereby playing a role in histone code (PubMed : 17947579, PubMed : 24360279). However, histone arginine demethylation may not constitute the primary activity in vivo (PubMed : 17947579, PubMed : 21060799, PubMed : 22189873). In collaboration with BRD4, interacts with the positive transcription elongation factor b (P-TEFb) complex in its active form to regulate polymerase II promoter-proximal pause release for transcriptional activation of a large cohort of genes. On distal enhancers, so called anti-pause enhancers, demethylates both histone H4R3me2 and the methyl cap of 7SKsnRNA leading to the dismissal of the 7SKsnRNA : HEXIM1 inhibitor complex. After removal of repressive marks, the complex BRD4 : JMJD6 attract and retain the P-TEFb complex on chromatin, leading to its activation, promoter-proximal polymerase II pause release, and transcriptional activation (PubMed : 24360279). Demethylates other arginine methylated-proteins such as ESR1 (PubMed : 24498420). Has no histone lysine demethylase activity (PubMed : 21060799). Required for differentiation of multiple organs during embryogenesis. Acts as a key regulator of hematopoietic differentiation : required for angiogenic sprouting by regulating the pre-mRNA splicing activity of U2AF2/U2AF65 (By similarity). Seems to be necessary for the regulation of macrophage cytokine responses (PubMed : 15622002).
See full target information JMJD6

Publications (1)

Recent publications for all applications. Explore the full list and refine your search

Journal of translational medicine 21:752 PubMed37880710

2023

JMJD6-BRD4 complex stimulates lncRNA HOTAIR transcription by binding to the promoter region of HOTAIR and induces radioresistance in liver cancer stem cells.

Applications

Unspecified application

Species

Unspecified reactive species

Ruifeng Pei,Le Zhao,Yiren Ding,Zhan Su,Deqiang Li,Shuo Zhu,Lu Xu,Wei Zhao,Wuyuan Zhou
View all publications

Product promise

We are committed to supporting your work with high-quality reagents, and we're here for you every step of the way. In the unlikely event that one of our products does not perform as expected, you're protected by our Product Promise.
For full details, please see our Terms & Conditions

Please note: All products are 'FOR RESEARCH USE ONLY. NOT FOR USE IN DIAGNOSTIC OR THERAPEUTIC PROCEDURES'.

For licensing inquiries, please contact partnerships@abcam.com