JavaScript is disabled in your browser. Please enable JavaScript to view this website.
AB307655

Anti-JMJD6 antibody [EPR26813-90] - BSA and Azide free

Be the first to review this product! Submit a review

|

(0 Publication)

Rabbit Recombinant Monoclonal JMJD6 antibody. Carrier free. Suitable for WB and reacts with Rat, Mouse, Human samples.

View Alternative Names

KIAA0585, PSR, PTDSR, JMJD6, Bifunctional arginine demethylase and lysyl-hydroxylase JMJD6, Histone arginine demethylase JMJD6, JmjC domain-containing protein 6, Jumonji domain-containing protein 6, Lysyl-hydroxylase JMJD6, Peptide-lysine 5-dioxygenase JMJD6, Phosphatidylserine receptor, Protein PTDSR

2 Images
Western blot - Anti-JMJD6 antibody [EPR26813-90] - BSA and Azide free (AB307655)
  • WB

Supplier Data

Western blot - Anti-JMJD6 antibody [EPR26813-90] - BSA and Azide free (AB307655)

This data was developed using ab307654, the same antibody clone in a different buffer formulation. The samples were run on a Bis-Tris gel. Performed under reducing conditions. Blocking and diluting buffer and concentration : Intercept® (TBS) diluted with an equal volume of 0.1% TBS. False colour image of Western blot : Anti-JMJD6 antibody EPR26813-90 staining at 1/1000 dilution, shown in green; Mouse anti-GAPDH antibody 6C5 loading control staining at 1/20000 dilution, shown in red. In Western blot, ab307654 was shown to bind specifically to JMJD6. A band was observed at 50, 110-260 kDa in wild-type 293T cell lysates whereas no signal observed at this size in JMJD6 knockout cell line (ab266402). To generate this image, wild-type and JMJD6 knockout 293T cell lysates (ab257490) were analyzed. First, samples were run on a SDS-PAGE gel then transferred onto an immobilon-FL PVDF membrane. Membranes were blocked in in Intercept® (TBS) Blocking Buffer diluted with an equal volume of 0.1% TBS before incubation with primary antibodies overnight at 4°C. Blots were washed four times in TBS-T, incubated with secondary antibodies for 1 h at room temperature, washed again four times then imaged. Secondary antibodies used were Goat anti-Rabbit IgG H&L (IRDye® 800CW) preabsorbed (ab216773) at 1/10000 dilution and Goat anti-Mouse IgG H&L (IRDye® 680RD) preabsorbed (ab216776) at 1/20000 dilution. The molecular weight observed is consistent with what has been described in the literature (PMID : 24360279). The identity of the lower MW band at approximately 39 kDa is unknown.

All lanes:

Western blot - Anti-JMJD6 antibody [EPR26813-90] (<a href='/en-us/products/primary-antibodies/jmjd6-antibody-epr26813-90-ab307654'>ab307654</a>) at 1/1000 dilution

Lane 1:

Wild-type 293T (human embryonic kidney epithelial cell) whole cell lysate at 20 µg

Lane 2:

JMJD6 knockout 293T whole cell lysate at 20 µg

Lane 3:

Neuro-2a (mouse neuroblastoma neuroblast) whole cell lysate at 20 µg

Lane 4:

HeLa (human cervix adenocarcinoma epithelial cell) whole cell lysate at 20 µg

Secondary

Lanes 1 - 4:

Western blot - Goat anti-Rabbit IgG H&L (IRDye® 800CW) preadsorbed (<a href='/en-us/products/secondary-antibodies/goat-rabbit-igg-h-l-irdye-800cw-preadsorbed-ab216773'>ab216773</a>) at 1/10000 dilution

Lanes 1 - 4:

Western blot - Goat anti-Mouse IgG H&L (IRDye® 680RD) preadsorbed (<a href='/en-us/products/secondary-antibodies/goat-mouse-igg-h-l-irdye-680rd-preadsorbed-ab216776'>ab216776</a>) at 1/10000 dilution

Observed band size: 50 kDa,110 kDa,260 kDa

false

Western blot - Anti-JMJD6 antibody [EPR26813-90] - BSA and Azide free (AB307655)
  • WB

Supplier Data

Western blot - Anti-JMJD6 antibody [EPR26813-90] - BSA and Azide free (AB307655)

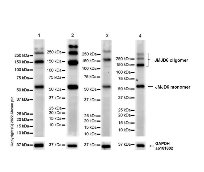
This data was developed using ab307654, the same antibody clone in a different buffer formulation. Blocking and diluting buffer and concentration : 5% NFDM/TBST. Exposure time : 125 seconds.

All lanes:

Western blot - Anti-JMJD6 antibody [EPR26813-90] (<a href='/en-us/products/primary-antibodies/jmjd6-antibody-epr26813-90-ab307654'>ab307654</a>) at 1/1000 dilution

Lane 1:

C6 (rat glial tumor glial cell) whole cell lysate at 20 µg

Lane 2:

PC-12 (rat adrenal gland pheochromocytoma) whole cell lysate at 20 µg

Lane 3:

NIH/3T3 (mouse embryonic fibroblast) whole cell lysate at 20 µg

Lane 4:

SH-SY5Y (human neuroblastoma epithelial cell) whole cell lysate at 20 µg

Secondary

All lanes:

Western blot - Goat Anti-Rabbit IgG H&L (HRP) (<a href='/en-us/products/secondary-antibodies/goat-rabbit-igg-h-l-hrp-ab97051'>ab97051</a>) at 1/20000 dilution

Observed band size: 50 kDa,110 kDa,260 kDa

false

Exposure time: 125s

Key facts

Host species

Rabbit

Clonality

Monoclonal

Clone number

EPR26813-90

Isotype

IgG

Carrier free

Yes

Reacts with

Rat, Mouse, Human

Applications

WB

applications

Immunogen

The exact immunogen used to generate this antibody is proprietary information.

Reactivity data

{ "title": "Reactivity Data", "filters": { "stats": ["", "Species", "Dilution Info", "Notes"], "tabs": { "all-applications": {"fullname" : "All Applications", "shortname": "All Applications"}, "WB" : {"fullname" : "Western blot", "shortname":"WB"}, "ChIP" : {"fullname" : "ChIP", "shortname":"ChIP"}, "IP" : {"fullname" : "Immunoprecipitation", "shortname":"IP"}, "FlowCytIntra" : {"fullname" : "Flow Cytometry (Intracellular)", "shortname":"Flow Cyt (Intra)"}, "ICCIF" : {"fullname" : "Immunocytochemistry/ Immunofluorescence", "shortname":"ICC/IF"}, "IHCP" : {"fullname" : "Immunohistochemistry (Formalin/PFA-fixed paraffin-embedded sections)", "shortname":"IHC-P"} }, "product-promise": { "all": "all", "testedAndGuaranteed": "tested", "guaranteed": "expected", "predicted": "predicted", "notRecommended": "not-recommended" } }, "values": { "Human": { "WB-species-checked": "testedAndGuaranteed", "WB-species-dilution-info": "", "WB-species-notes": "<p></p>", "ChIP-species-checked": "notRecommended", "ChIP-species-dilution-info": "", "ChIP-species-notes": "<p></p>", "IP-species-checked": "notRecommended", "IP-species-dilution-info": "", "IP-species-notes": "<p></p>", "FlowCytIntra-species-checked": "notRecommended", "FlowCytIntra-species-dilution-info": "", "FlowCytIntra-species-notes": "<p></p>", "ICCIF-species-checked": "notRecommended", "ICCIF-species-dilution-info": "", "ICCIF-species-notes": "<p></p>", "IHCP-species-checked": "notRecommended", "IHCP-species-dilution-info": "", "IHCP-species-notes": "<p></p>" }, "Mouse": { "WB-species-checked": "testedAndGuaranteed", "WB-species-dilution-info": "", "WB-species-notes": "<p></p>", "ChIP-species-checked": "notRecommended", "ChIP-species-dilution-info": "", "ChIP-species-notes": "", "IP-species-checked": "notRecommended", "IP-species-dilution-info": "", "IP-species-notes": "<p></p>", "FlowCytIntra-species-checked": "notRecommended", "FlowCytIntra-species-dilution-info": "", "FlowCytIntra-species-notes": "<p></p>", "ICCIF-species-checked": "notRecommended", "ICCIF-species-dilution-info": "", "ICCIF-species-notes": "<p></p>", "IHCP-species-checked": "notRecommended", "IHCP-species-dilution-info": "", "IHCP-species-notes": "<p></p>" }, "Rat": { "WB-species-checked": "testedAndGuaranteed", "WB-species-dilution-info": "", "WB-species-notes": "<p></p>", "ChIP-species-checked": "notRecommended", "ChIP-species-dilution-info": "", "ChIP-species-notes": "", "IP-species-checked": "notRecommended", "IP-species-dilution-info": "", "IP-species-notes": "", "FlowCytIntra-species-checked": "notRecommended", "FlowCytIntra-species-dilution-info": "", "FlowCytIntra-species-notes": "", "ICCIF-species-checked": "notRecommended", "ICCIF-species-dilution-info": "", "ICCIF-species-notes": "", "IHCP-species-checked": "notRecommended", "IHCP-species-dilution-info": "", "IHCP-species-notes": "<p></p>" } } }

Product details

Patented technology
Our RabMAb® technology is a patented hybridoma-based technology for making rabbit monoclonal antibodies. For details on our patents, please refer to RabMAb® patents.

What are the advantages of a recombinant monoclonal antibody?
This product is a recombinant monoclonal antibody, which offers several advantages including:

  • - High batch-to-batch consistency and reproducibility
  • - Improved sensitivity and specificity
  • - Long-term security of supply
  • - Animal-free batch production

For more information, read more on recombinant antibodies.

Conjugation ready
Our carrier-free antibodies are typically supplied in a PBS-only formulation, purified and free of BSA, sodium azide and glycerol. This conjugation-ready format is designed for use with fluorochromes, metal isotopes, oligonucleotides, and enzymes, which makes them ideal for antibody labelling, functional and cell-based assays, flow-based assays (e.g. mass cytometry) and Multiplex Imaging applications.

Use our conjugation kits for antibody conjugates that are ready-to-use in as little as 20 minutes with 1 minute hands-on-time and 100% antibody recovery: available for fluorescent dyes, HRP, biotin and gold.

Compatibility
This product is compatible with the Maxpar® Antibody Labeling Kit from Fluidigm, without the need for antibody preparation. Maxpar® is a trademark of Fluidigm Canada Inc.

Properties and storage information

Form
Liquid
Purification technique
Affinity purification Protein A
Storage buffer
pH: 7.2 - 7.4 Constituents: PBS
Shipped at conditions
Blue Ice
Appropriate short-term storage conditions
+4°C
Appropriate long-term storage conditions
+4°C

Supplementary information

This supplementary information is collated from multiple sources and compiled automatically.

JMJD6 also known as Jumonji Domain Containing 6 or PSR (Phosphatidylserine Receptor) is a protein with a molecular mass of approximately 47 kDa. It functions mechanically as a 2-oxoglutarate- and Fe(II)-dependent oxygenase. This protein resides in the nucleus and cytoplasm with a higher expression in the thymus kidney heart and testis. JMJD6 gets involved in demethylating histones and splicing factors playing a role in gene regulation.
Biological function summary

JMJD6 influences gene expression and mRNA splicing processes. It participates in histone arginine demethylation affecting chromatin structure and transcriptional activity. JMJD6 is not known to be part of a larger protein complex but interacts with RNA splicing factors and chromatin modifiers. Its demethylase activity can alter the epigenetic landscape which makes it a vital part of cellular response and differentiation processes.

Pathways

JMJD6 is linked to the regulation of gene expression and RNA processing pathways. It modulates the transcriptional networks by its demethylase activity affecting how genes are turned on or off. JMJD6 often associates with nuclear receptors and splicing proteins such as SF3B1 integrating within the larger network of gene expression controllers and RNA splicing machinery. These interactions place JMJD6 at a critical juncture in gene expression regulation and RNA maturation.

JMJD6 has connections with cancer and autoimmune diseases. Its role in gene regulation and splicing implicates it in cancer progression often in link with prostate cancer. Abnormal JMJD6 expression can lead to disrupted gene patterns contributing to tumor growth. Additionally its alteration has associations with autoimmune diseases where its interaction with histone-modifying proteins like HDAC affects the immune response. These relationships highlight JMJD6's involvement in disease states marking it as a target of interest in research for therapeutic interventions.

Product protocols

For this product, it's our understanding that no specific protocols are required. You can visit:

Target data

Dioxygenase that can both act as a arginine demethylase and a lysyl-hydroxylase (PubMed : 17947579, PubMed : 20684070, PubMed : 21060799, PubMed : 22189873, PubMed : 24498420). Acts as a lysyl-hydroxylase that catalyzes 5-hydroxylation on specific lysine residues of target proteins such as U2AF2/U2AF65 and LUC7L2. Regulates RNA splicing by mediating 5-hydroxylation of U2AF2/U2AF65, affecting the pre-mRNA splicing activity of U2AF2/U2AF65 (PubMed : 19574390). Hydroxylates its own N-terminus, which is required for homooligomerization (PubMed : 22189873). Plays a role in the regulation of nucleolar liquid-liquid phase separation (LLPS) by post-translationally modifying LIAT1 at its lysine-rich domain which inhibits LIAT1 nucleolar targeting (By similarity). In addition to peptidyl-lysine 5-dioxygenase activity, may act as an RNA hydroxylase, as suggested by its ability to bind single strand RNA (PubMed : 20679243, PubMed : 29176719). Also acts as an arginine demethylase which preferentially demethylates asymmetric dimethylation (PubMed : 17947579, PubMed : 24360279, PubMed : 24498420). Demethylates histone H3 at 'Arg-2' (H3R2me) and histone H4 at 'Arg-3' (H4R3me), including mono-, symmetric di- and asymmetric dimethylated forms, thereby playing a role in histone code (PubMed : 17947579, PubMed : 24360279). However, histone arginine demethylation may not constitute the primary activity in vivo (PubMed : 17947579, PubMed : 21060799, PubMed : 22189873). In collaboration with BRD4, interacts with the positive transcription elongation factor b (P-TEFb) complex in its active form to regulate polymerase II promoter-proximal pause release for transcriptional activation of a large cohort of genes. On distal enhancers, so called anti-pause enhancers, demethylates both histone H4R3me2 and the methyl cap of 7SKsnRNA leading to the dismissal of the 7SKsnRNA : HEXIM1 inhibitor complex. After removal of repressive marks, the complex BRD4 : JMJD6 attract and retain the P-TEFb complex on chromatin, leading to its activation, promoter-proximal polymerase II pause release, and transcriptional activation (PubMed : 24360279). Demethylates other arginine methylated-proteins such as ESR1 (PubMed : 24498420). Has no histone lysine demethylase activity (PubMed : 21060799). Required for differentiation of multiple organs during embryogenesis. Acts as a key regulator of hematopoietic differentiation : required for angiogenic sprouting by regulating the pre-mRNA splicing activity of U2AF2/U2AF65 (By similarity). Seems to be necessary for the regulation of macrophage cytokine responses (PubMed : 15622002).
See full target information JMJD6

Product promise

We are committed to supporting your work with high-quality reagents, and we're here for you every step of the way. In the unlikely event that one of our products does not perform as expected, you're protected by our Product Promise.
For full details, please see our Terms & Conditions

Please note: All products are 'FOR RESEARCH USE ONLY. NOT FOR USE IN DIAGNOSTIC OR THERAPEUTIC PROCEDURES'.

For licensing inquiries, please contact partnerships@abcam.com