JavaScript is disabled in your browser. Please enable JavaScript to view this website.
AB251271

Anti-JNK1 antibody [EPR17557] - BSA and Azide free

Be the first to review this product! Submit a review

|

(0 Publication)

Rabbit Recombinant Monoclonal JNK1 antibody. Carrier free. Suitable for WB and reacts with Mouse, Rat, Hamster, African green monkey, Xenopus tropicalis, Chicken, Human, Recombinant full length protein - Human, Dog samples.

View Alternative Names

JNK1, PRKM8, SAPK1, SAPK1C, MAPK8, Mitogen-activated protein kinase 8, MAP kinase 8, MAPK 8, JNK-46, Stress-activated protein kinase 1c, Stress-activated protein kinase JNK1, c-Jun N-terminal kinase 1, SAPK1c

9 Images
Western blot - Anti-JNK1 antibody [EPR17557] - BSA and Azide free (AB251271)
  • WB

Supplier Data

Western blot - Anti-JNK1 antibody [EPR17557] - BSA and Azide free (AB251271)

This data was developed using ab199380, the same antibody clone in a different buffer formulation.

Blocking and dilution buffer : 5% NFDM/TBST.

All lanes:

Western blot - Anti-JNK1 antibody [EPR17557] (<a href='/en-us/products/primary-antibodies/jnk1-antibody-epr17557-ab199380'>ab199380</a>) at 1/2500 dilution

Lane 1:

Human fetal heart lysate at 10 µg

Lane 2:

Human fetal kidney lysate at 10 µg

Secondary

All lanes:

Anti-Rabbit IgG (HRP), specific to the non-reduced form of IgG at 1/1000 dilution

Predicted band size: 48 kDa

Observed band size: 46 kDa,54 kDa

false

Western blot - Anti-JNK1 antibody [EPR17557] - BSA and Azide free (AB251271)
  • WB

Supplier Data

Western blot - Anti-JNK1 antibody [EPR17557] - BSA and Azide free (AB251271)

This data was developed using ab199380, the same antibody clone in a different buffer formulation.

Blocking and dilution buffer : 5% NFDM/TBST.

All lanes:

Western blot - Anti-JNK1 antibody [EPR17557] (<a href='/en-us/products/primary-antibodies/jnk1-antibody-epr17557-ab199380'>ab199380</a>) at 1/5000 dilution

Lane 1:

Rat brain lysate at 10 µg

Lane 2:

Rat heart lysate at 10 µg

Lane 3:

Rat spleen lysate at 10 µg

Lane 4:

C6 (Rat glial tumor cells) whole cell lysate at 10 µg

Lane 5:

RAW 264.7 (Mouse macrophage cells transformed with Abelson murine leukemia virus) whole cell lysate at 10 µg

Lane 6:

PC-12 (Rat adrenal gland pheochromocytoma) whole cell lysate at 10 µg

Lane 7:

NIH/3T3 (Mouse embyro fibroblast cells) whole cell lysate at 10 µg

Secondary

All lanes:

Goat Anti-Rabbit IgG, (H+L),Peroxidase conjugated at 1/1000 dilution

Predicted band size: 48 kDa

Observed band size: 46 kDa,54 kDa

false

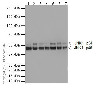
Western blot - Anti-JNK1 antibody [EPR17557] - BSA and Azide free (AB251271)
  • WB

Supplier Data

Western blot - Anti-JNK1 antibody [EPR17557] - BSA and Azide free (AB251271)

This data was developed using ab199380, the same antibody clone in a different buffer formulation.

Blocking and dilution buffer : 5% NFDM/TBST.

All lanes:

Western blot - Anti-JNK1 antibody [EPR17557] (<a href='/en-us/products/primary-antibodies/jnk1-antibody-epr17557-ab199380'>ab199380</a>) at 1/2500 dilution

All lanes:

Human fetal brain lysate at 10 µg

Secondary

All lanes:

Anti-Rabbit IgG (HRP), specific to the non-reduced form of IgG at 1/1000 dilution

Predicted band size: 48 kDa

Observed band size: 46 kDa,54 kDa

false

Western blot - Anti-JNK1 antibody [EPR17557] - BSA and Azide free (AB251271)
  • WB

Supplier Data

Western blot - Anti-JNK1 antibody [EPR17557] - BSA and Azide free (AB251271)

This data was developed using ab199380, the same antibody clone in a different buffer formulation.

Blocking and dilution buffer : 5% NFDM/TBST.

All lanes:

Western blot - Anti-JNK1 antibody [EPR17557] (<a href='/en-us/products/primary-antibodies/jnk1-antibody-epr17557-ab199380'>ab199380</a>) at 1/10000 dilution

Lane 1:

HeLa (Human epithelial cells from cervix adenocarcinoma) whole cell lysate at 20 µg

Lane 2:

U937 (Human histiocytic lymphoma cells) whole cell lysate at 20 µg

Lane 3:

MCF7 (Human breast adenocarcinoma cell line) whole cell lysate at 20 µg

Lane 4:

Jurkat (Human T cell leukemia cells from peripheral blood) whole cell lysate at 20 µg

Secondary

All lanes:

Goat Anti-Rabbit IgG, (H+L),Peroxidase conjugated at 1/1000 dilution

Predicted band size: 48 kDa

Observed band size: 46 kDa,54 kDa

false

Western blot - Anti-JNK1 antibody [EPR17557] - BSA and Azide free (AB251271)
  • WB

Supplier Data

Western blot - Anti-JNK1 antibody [EPR17557] - BSA and Azide free (AB251271)

This data was developed using ab199380, the same antibody clone in a different buffer formulation.

Blocking and dilution buffer : 5% NFDM/TBST.

Recombinant full length JNK1 protein contains aa1-427 with His-Tag®. Recombinant full length JNK2 protein contains aa1-424 with GST-tag and JNK3 protein contains aa1-464 with GST-tag.

All lanes:

Western blot - Anti-JNK1 antibody [EPR17557] (<a href='/en-us/products/primary-antibodies/jnk1-antibody-epr17557-ab199380'>ab199380</a>) at 1/5000 dilution

Lane 1:

Full length Human JNK1 recombinant protein at 0.01 µg

Lane 2:

Full length Human JNK2 recombinant protein at 0.01 µg

Lane 3:

Full length Human JNK3 recombinant protein at 0.01 µg

Secondary

All lanes:

Goat Anti-Rabbit IgG, (H+L),Peroxidase conjugated at 1/1000 dilution

Predicted band size: 48 kDa

Observed band size: 48 kDa

false

Western blot - Anti-JNK1 antibody [EPR17557] - BSA and Azide free (AB251271)
  • WB

Supplier Data

Western blot - Anti-JNK1 antibody [EPR17557] - BSA and Azide free (AB251271)

This data was developed using ab199380, the same antibody clone in a different buffer formulation.

Blocking and dilution buffer : 5% NFDM/TBST.

All lanes:

Western blot - Anti-JNK1 antibody [EPR17557] (<a href='/en-us/products/primary-antibodies/jnk1-antibody-epr17557-ab199380'>ab199380</a>) at 1/2500 dilution

Lane 1:

Xenopus (X. tropicalis) muscle lysates at 10 µg

Lane 2:

BHK (Hamster kidney fibroblast cells) whole cell lysates at 10 µg

Secondary

All lanes:

Goat Anti-Rabbit IgG, (H+L),Peroxidase conjugated at 1/1000 dilution

Predicted band size: 48 kDa

Observed band size: 46 kDa,54 kDa

false

Western blot - Anti-JNK1 antibody [EPR17557] - BSA and Azide free (AB251271)
  • WB

Lab

Western blot - Anti-JNK1 antibody [EPR17557] - BSA and Azide free (AB251271)

This data was developed using ab199380, the same antibody clone in a different buffer formulation.

Lane 1 : Wild-type HAP1 cell lysate (20 μg)
Lane 2 : JNK1 knockout HAP1 cell lysate (20 μg)
Lane 3 : HeLa cell lysate (20 μg)
Lane 4 : MCF7 cell lysate (20 μg)
Lanes 1 - 4 : Merged signal (red and green). Green - ab199380 observed at 46 and 54 kDa. Red - loading control, ab8226, observed at 42 kDa.

ab199380 was shown to recognize JNK1 when JNK1 knockout samples were used, along with additional cross-reactive bands. Wild-type and JNK1 knockout samples were subjected to SDS-PAGE. ab199380 and ab8226 (loading control to beta Actin) were diluted to 1/2500 and 1/1000 respectively and incubated overnight at 4°C. Blots were developed with Goat anti-Rabbit IgG H&L (IRDye® 800CW) preadsorbed (ab216773) and Goat anti-Mouse IgG H&L (IRDye® 680RD) preadsorbed (ab216776) secondary antibodies at 1/10 000 dilution for 1 h at room temperature before imaging.

All lanes:

Western blot - Anti-JNK1 antibody [EPR17557] - BSA and Azide free (ab251271)

Predicted band size: 48 kDa

false

Western blot - Anti-JNK1 antibody [EPR17557] - BSA and Azide free (AB251271)
  • WB

Supplier Data

Western blot - Anti-JNK1 antibody [EPR17557] - BSA and Azide free (AB251271)

This data was developed using ab199380, the same antibody clone in a different buffer formulation.

Blocking and dilution buffer : 5% NFDM/TBST.

All lanes:

Western blot - Anti-JNK1 antibody [EPR17557] (<a href='/en-us/products/primary-antibodies/jnk1-antibody-epr17557-ab199380'>ab199380</a>) at 1/2500 dilution

Lane 1:

MDCK (Canine kidney cell line) whole cell lysates at 10 µg

Lane 2:

COS-1 (African green monkey kidney fibroblast-like cell line) whole cell lysates at 10 µg

Lane 3:

UMNSAH/DF-1 (Transformed chicken embyronic fibroblast cells) whole cell lysates at 10 µg

Secondary

All lanes:

Goat Anti-Rabbit IgG, (H+L),Peroxidase conjugated at 1/1000 dilution

Predicted band size: 48 kDa

Observed band size: 46 kDa,54 kDa

false

Western blot - Anti-JNK1 antibody [EPR17557] - BSA and Azide free (AB251271)
  • WB

Lab

Western blot - Anti-JNK1 antibody [EPR17557] - BSA and Azide free (AB251271)

False colour image of Western blot : Anti-JNK1 antibody [EPR17557] staining at 1/2500 dilution, shown in green; Mouse anti-GAPDH antibody [6C5] (ab8245) loading control staining at 1/20000 dilution, shown in red. In Western blot, ab199380 was shown to bind specifically to JNK1. A band was observed at 42/48 kDa in wild-type U-2 OS cell lysates with no signal observed at this size in mapk8 knockout cell line ab277181 (knockout cell lysate ab277223). To generate this image, wild-type and mapk8 knockout U-2 OS cell lysates were analysed. First, samples were run on an SDS-PAGE gel then transferred onto a nitrocellulose membrane. Membranes were blocked in 5 % milk in TBS-0.1 % Tween® 20 (TBS-T) before incubation with primary antibodies overnight at 4 °C. Blots were washed four times in TBS-T, incubated with secondary antibodies for 1 h at room temperature, washed again four times then imaged. Secondary antibodies used were Goat anti-Rabbit IgG H&L 800CW and Goat anti-Mouse IgG H&L 680RD at 1/20000 dilution.

All lanes:

Western blot - Anti-JNK1 antibody [EPR17557] (<a href='/en-us/products/primary-antibodies/jnk1-antibody-epr17557-ab199380'>ab199380</a>) at 1/2500 dilution

Lane 1:

Wild-type U-2 OS cell lysate at 20 µg

Lane 2:

MAPK8 knockout U-2 OS cell lysate at 20 µg

Observed band size: 42-48 kDa

false

Key facts

Host species

Rabbit

Clonality

Monoclonal

Clone number

EPR17557

Isotype

IgG

Carrier free

Yes

Reacts with

Mouse, Rat, Chicken, Hamster, Dog, Human, African green monkey, Xenopus tropicalis

Applications

WB

applications

Immunogen

The exact immunogen used to generate this antibody is proprietary information.

Reactivity data

{ "title": "Reactivity Data", "filters": { "stats": ["", "Species", "Dilution Info", "Notes"], "tabs": { "all-applications": {"fullname" : "All Applications", "shortname": "All Applications"}, "WB" : {"fullname" : "Western blot", "shortname":"WB"} }, "product-promise": { "all": "all", "testedAndGuaranteed": "tested", "guaranteed": "expected", "predicted": "predicted", "notRecommended": "not-recommended" } }, "values": { "Human": { "WB-species-checked": "testedAndGuaranteed", "WB-species-dilution-info": "", "WB-species-notes": "<p></p>" }, "Mouse": { "WB-species-checked": "testedAndGuaranteed", "WB-species-dilution-info": "", "WB-species-notes": "<p></p>" }, "Rat": { "WB-species-checked": "testedAndGuaranteed", "WB-species-dilution-info": "", "WB-species-notes": "<p></p>" }, "African green monkey": { "WB-species-checked": "testedAndGuaranteed", "WB-species-dilution-info": "", "WB-species-notes": "<p></p>" }, "Chicken": { "WB-species-checked": "testedAndGuaranteed", "WB-species-dilution-info": "", "WB-species-notes": "<p></p>" }, "Dog": { "WB-species-checked": "testedAndGuaranteed", "WB-species-dilution-info": "", "WB-species-notes": "<p></p>" }, "Hamster": { "WB-species-checked": "testedAndGuaranteed", "WB-species-dilution-info": "", "WB-species-notes": "<p></p>" }, "Monkey": { "WB-species-checked": "predicted", "WB-species-dilution-info": "", "WB-species-notes": "" }, "Recombinant full length protein - Human": { "WB-species-checked": "testedAndGuaranteed", "WB-species-dilution-info": "", "WB-species-notes": "<p></p>" }, "Xenopus tropicalis": { "WB-species-checked": "testedAndGuaranteed", "WB-species-dilution-info": "", "WB-species-notes": "<p></p>" } } }

Product details

ab251271 is the carrier-free version of ab199380.

Patented technology
Our RabMAb® technology is a patented hybridoma-based technology for making rabbit monoclonal antibodies. For details on our patents, please refer to RabMAb® patents.

What are the advantages of a recombinant monoclonal antibody?
This product is a recombinant monoclonal antibody, which offers several advantages including:

  • - High batch-to-batch consistency and reproducibility
  • - Improved sensitivity and specificity
  • - Long-term security of supply
  • - Animal-free batch production

For more information, read more on recombinant antibodies.

Conjugation ready
Our carrier-free antibodies are typically supplied in a PBS-only formulation, purified and free of BSA, sodium azide and glycerol. This conjugation-ready format is designed for use with fluorochromes, metal isotopes, oligonucleotides, and enzymes, which makes them ideal for antibody labelling, functional and cell-based assays, flow-based assays (e.g. mass cytometry) and Multiplex Imaging applications.

Use our conjugation kits for antibody conjugates that are ready-to-use in as little as 20 minutes with 1 minute hands-on-time and 100% antibody recovery: available for fluorescent dyes, HRP, biotin and gold.

Compatibility
This product is compatible with the Maxpar® Antibody Labeling Kit from Fluidigm, without the need for antibody preparation. Maxpar® is a trademark of Fluidigm Canada Inc.

Properties and storage information

Form
Liquid
Purification technique
Affinity purification Protein A
Storage buffer
pH: 7.2 - 7.4 Constituents: PBS
Shipped at conditions
Blue Ice
Appropriate short-term storage conditions
+4°C
Appropriate long-term storage conditions
+4°C
Storage information
Do Not Freeze

Supplementary information

This supplementary information is collated from multiple sources and compiled automatically.

JNK1 also known as c-Jun N-terminal kinase 1 is a member of the mitogen-activated protein kinase (MAPK) family with a molecular weight of approximately 46 kDa. It is expressed in various tissues throughout the body including the brain heart liver and skeletal muscle. JNK1 exists in multiple isoforms due to alternative splicing. The JNK1 protein is activated by dual phosphorylation on threonine and tyrosine residues a process integral to its function as a stress-activated protein kinase. Commonly used research tools include JNK antibodies and phospho JNK antibodies which help detect the activated forms of this kinase during cellular studies.
Biological function summary

This kinase plays an important role in processes such as inflammation apoptosis and cellular stress responses. JNK1 is not just an isolated enzyme. It forms complexes with other proteins under specific conditions facilitating diverse cellular responses. For example JNK1 activation influences transcription factors like c-Jun by phosphorylating them impacting gene expression related to cell survival and death. This activity establishes JNK1 as a significant player in routine cell functioning and response to external environmental stressors.

Pathways

The kinase is part of the MAPK signaling pathways and the stress-activated protein kinase (SAPK) pathways. These pathways involve multiple signaling cascades important for transmitting extracellular signals into the cellular environment. JNK1 interacts with proteins like MKK4 and MKK7 which are upstream activators and ATF2 a downstream target. This positioning makes JNK1 an essential signaling node that translates extracellular stressors into cellular responses providing adaptability to cells amidst changing conditions.

JNK1 has connections to disorders such as cancer and neurodegenerative diseases. Abnormal activation of JNK1 can lead to irregular cell proliferation making it pertinent in cancer. Similarly in neurodegenerative diseases like Alzheimer's JNK1's involvement in neuronal apoptosis turns critical. It regulates tau phosphorylation connecting JNK1 with tauopathies observed in Alzheimer's disease. Researchers often investigate these associations to understand the mechanisms that underpin these conditions and develop targeted therapies.

Product protocols

For this product, it's our understanding that no specific protocols are required. You can visit:

Target data

Serine/threonine-protein kinase involved in various processes such as cell proliferation, differentiation, migration, transformation and programmed cell death. Extracellular stimuli such as pro-inflammatory cytokines or physical stress stimulate the stress-activated protein kinase/c-Jun N-terminal kinase (SAP/JNK) signaling pathway (PubMed : 28943315). In this cascade, two dual specificity kinases MAP2K4/MKK4 and MAP2K7/MKK7 phosphorylate and activate MAPK8/JNK1. In turn, MAPK8/JNK1 phosphorylates a number of transcription factors, primarily components of AP-1 such as JUN, JDP2 and ATF2 and thus regulates AP-1 transcriptional activity (PubMed : 18307971). Phosphorylates the replication licensing factor CDT1, inhibiting the interaction between CDT1 and the histone H4 acetylase HBO1 to replication origins (PubMed : 21856198). Loss of this interaction abrogates the acetylation required for replication initiation (PubMed : 21856198). Promotes stressed cell apoptosis by phosphorylating key regulatory factors including p53/TP53 and Yes-associates protein YAP1 (PubMed : 21364637). In T-cells, MAPK8 and MAPK9 are required for polarized differentiation of T-helper cells into Th1 cells. Contributes to the survival of erythroid cells by phosphorylating the antagonist of cell death BAD upon EPO stimulation (PubMed : 21095239). Mediates starvation-induced BCL2 phosphorylation, BCL2 dissociation from BECN1, and thus activation of autophagy (PubMed : 18570871). Phosphorylates STMN2 and hence regulates microtubule dynamics, controlling neurite elongation in cortical neurons (By similarity). In the developing brain, through its cytoplasmic activity on STMN2, negatively regulates the rate of exit from multipolar stage and of radial migration from the ventricular zone (By similarity). Phosphorylates several other substrates including heat shock factor protein 4 (HSF4), the deacetylase SIRT1, ELK1, or the E3 ligase ITCH (PubMed : 16581800, PubMed : 17296730, PubMed : 20027304). Phosphorylates the CLOCK-BMAL1 heterodimer and plays a role in the regulation of the circadian clock (PubMed : 22441692). Phosphorylates the heat shock transcription factor HSF1, suppressing HSF1-induced transcriptional activity (PubMed : 10747973). Phosphorylates POU5F1, which results in the inhibition of POU5F1's transcriptional activity and enhances its proteasomal degradation (By similarity). Phosphorylates JUND and this phosphorylation is inhibited in the presence of MEN1 (PubMed : 22327296). In neurons, phosphorylates SYT4 which captures neuronal dense core vesicles at synapses (By similarity). Phosphorylates EIF4ENIF1/4-ET in response to oxidative stress, promoting P-body assembly (PubMed : 22966201). Phosphorylates SIRT6 in response to oxidative stress, stimulating its mono-ADP-ribosyltransferase activity (PubMed : 27568560). Phosphorylates NLRP3, promoting assembly of the NLRP3 inflammasome (PubMed : 28943315). Phosphorylates ALKBH5 in response to reactive oxygen species (ROS), promoting ALKBH5 sumoylation and inactivation (PubMed : 34048572).. JNK1 isoforms display different binding patterns : beta-1 preferentially binds to c-Jun, whereas alpha-1, alpha-2, and beta-2 have a similar low level of binding to both c-Jun or ATF2. However, there is no correlation between binding and phosphorylation, which is achieved at about the same efficiency by all isoforms.
See full target information MAPK8

Product promise

We are committed to supporting your work with high-quality reagents, and we're here for you every step of the way. In the unlikely event that one of our products does not perform as expected, you're protected by our Product Promise.
For full details, please see our Terms & Conditions

Please note: All products are 'FOR RESEARCH USE ONLY. NOT FOR USE IN DIAGNOSTIC OR THERAPEUTIC PROCEDURES'.

For licensing inquiries, please contact partnerships@abcam.com