JavaScript is disabled in your browser. Please enable JavaScript to view this website.
AB112501

Anti-JNK1 + JNK2 antibody

Be the first to review this product! Submit a review

|

(43 Publications)

Rabbit Polyclonal JNK1 antibody. Suitable for IHC-P, WB and reacts with Rat, Human, Mouse samples. Cited in 43 publications. Immunogen corresponding to Synthetic Peptide within Human MAPK8.

View Alternative Names

JNK1, PRKM8, SAPK1, SAPK1C, MAPK8, Mitogen-activated protein kinase 8, MAP kinase 8, MAPK 8, JNK-46, Stress-activated protein kinase 1c, Stress-activated protein kinase JNK1, c-Jun N-terminal kinase 1, SAPK1c

4 Images
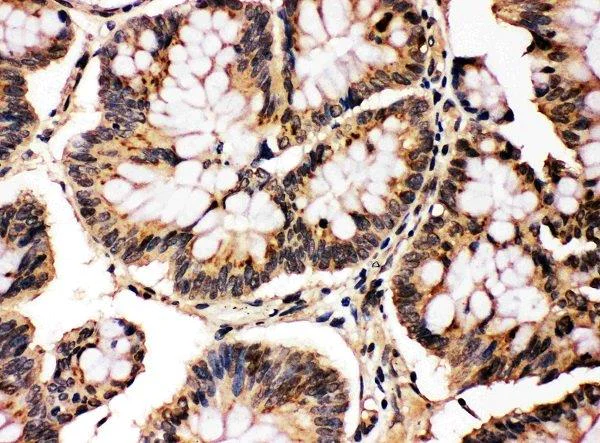
Immunohistochemistry (Formalin/PFA-fixed paraffin-embedded sections) - Anti-JNK1 + JNK2 antibody (AB112501)
  • IHC-P

Supplier Data

Immunohistochemistry (Formalin/PFA-fixed paraffin-embedded sections) - Anti-JNK1 + JNK2 antibody (AB112501)

ab112501 staining JNK1+JNK2 in Human intestinal cancer tissue sections by Immunohistochemistry (IHC-P - paraformaldehyde-fixed, paraffin-embedded sections).

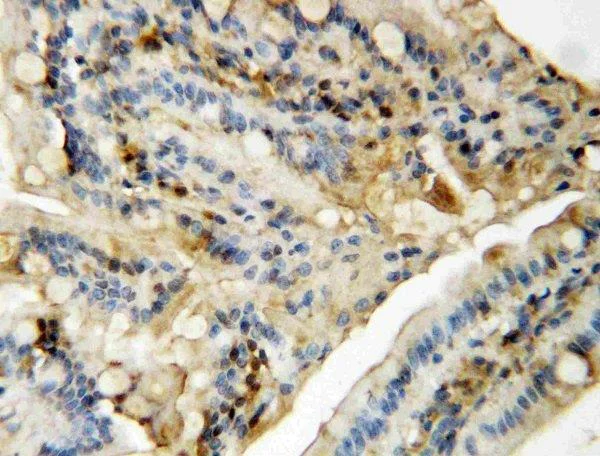
Immunohistochemistry (Formalin/PFA-fixed paraffin-embedded sections) - Anti-JNK1 + JNK2 antibody (AB112501)
  • IHC-P

Supplier Data

Immunohistochemistry (Formalin/PFA-fixed paraffin-embedded sections) - Anti-JNK1 + JNK2 antibody (AB112501)

ab112501 staining JNK1+JNK2 in Rat intestinal tissue sections by Immunohistochemistry (IHC-P - paraformaldehyde-fixed, paraffin-embedded sections).

Western blot - Anti-JNK1 + JNK2 antibody (AB112501)
  • WB

Unknown

Western blot - Anti-JNK1 + JNK2 antibody (AB112501)

All lanes:

Western blot - Anti-JNK1 + JNK2 antibody (ab112501)

Lane 1:

Rat brain tissue lysate

Lane 2:

Rat thymus tissue lysate

Lane 3:

MCF-7 whole cell lysate

Lane 4:

HeLa whole cell lysate

Lane 5:

Jurkat whole cell lysate

Lane 6:

MM231 whole cell lysate

Lane 7:

6T-CEM whole cell lysate

Predicted band size: 48 kDa

Observed band size: 55 kDa

false

Western blot - Anti-JNK1 + JNK2 antibody (AB112501)
  • WB

CiteAb

Western blot - Anti-JNK1 + JNK2 antibody (AB112501)

JNK1 + JNK2 western blot using anti-JNK1 + JNK2 antibody ab112501. Publication image and figure legend from Yang, C., Yan, Z., et al., 2020, Cancer Cell Int, PubMed 32015692.

ab112501 was used in this publication in western blot. This may not be the same as the application(s) guaranteed by Abcam. For a full list of applications guaranteed by Abcam for ab112501 please see the product overview.

miR-517a inhibition suppressed activation of the JNK signaling pathway by targeting CDKN1C. a Binding of miR-517a to CDKN1C confirmed by dual-luciferase reporter assay; *p < 0.05 compared with cells treated with empty vector. b miR-517a expression and mRNA level of CDKN1C in cells detected using RT-qPCR. c, d Western blot analysis of CDKN1C, JNK, and p38 proteins in cells. *p < 0.05 compared with cells without treatment; #p < 0.05 compared with cells treated with NC inhibitor; &p < 0.05, compared with the cells treated with pcDNA-NC. All data were expressed as mean ± standard deviation; comparisons among multiple groups were analyzed by one-way ANOVA; the experiment was repeated three times

false

Key facts

Host species

Rabbit

Clonality

Polyclonal

Isotype

IgG

Carrier free

No

Reacts with

Rat, Human, Mouse

Applications

IHC-P, WB

applications

Immunogen

Synthetic Peptide within Human MAPK8. The exact immunogen used to generate this antibody is proprietary information.

P45983

Reactivity data

{ "title": "Reactivity Data", "filters": { "stats": ["", "Species", "Dilution Info", "Notes"], "tabs": { "all-applications": {"fullname" : "All Applications", "shortname": "All Applications"}, "IHCP" : {"fullname" : "Immunohistochemistry (Formalin/PFA-fixed paraffin-embedded sections)", "shortname":"IHC-P"}, "WB" : {"fullname" : "Western blot", "shortname":"WB"} }, "product-promise": { "all": "all", "testedAndGuaranteed": "tested", "guaranteed": "expected", "predicted": "predicted", "notRecommended": "not-recommended" } }, "values": { "Human": { "IHCP-species-checked": "testedAndGuaranteed", "IHCP-species-dilution-info": "0.5-1 µg/mL", "IHCP-species-notes": "<p></p>", "WB-species-checked": "testedAndGuaranteed", "WB-species-dilution-info": "0.1-0.5 µg/mL", "WB-species-notes": "<p></p>" }, "Mouse": { "IHCP-species-checked": "guaranteed", "IHCP-species-dilution-info": "0.5-1 µg/mL", "IHCP-species-notes": "<p></p>", "WB-species-checked": "guaranteed", "WB-species-dilution-info": "0.1-0.5 µg/mL", "WB-species-notes": "<p></p>" }, "Rat": { "IHCP-species-checked": "testedAndGuaranteed", "IHCP-species-dilution-info": "0.5-1 µg/mL", "IHCP-species-notes": "<p></p>", "WB-species-checked": "testedAndGuaranteed", "WB-species-dilution-info": "0.1-0.5 µg/mL", "WB-species-notes": "<p></p>" } } }

Properties and storage information

Form
Liquid
Purification technique
Affinity purification Protein A
Storage buffer
Preservative: 0.025% Sodium azide, 0.025% Thimerosal (merthiolate) Constituents: 2.5% BSA, 0.45% Sodium chloride, 0.1% Disodium hydrogenorthophosphate
Shipped at conditions
Blue Ice
Appropriate short-term storage conditions
+4°C
Appropriate long-term storage conditions
-20°C
Aliquoting information
Upon delivery aliquot
Storage information
Avoid freeze / thaw cycle

Supplementary information

This supplementary information is collated from multiple sources and compiled automatically.

JNK1 and JNK2 are part of the c-Jun N-terminal kinase group also called Stress-activated protein kinases (SAPKs). These proteins are serine/threonine kinases with a known molecular weight around 46-54 kDa depending on their phosphorylation state. JNK1 and JNK2 phosphorylate specific target proteins which include transcription factors and other kinases to regulate various cellular processes. They are expressed in most tissues with higher levels in brain heart and skeletal muscle. JNK isoforms have become essential in research involving stress responses where specific tools such as JNK antibodies and Western blot assays targeting p-JNK molecular weight are critical for study.
Biological function summary

These enzymes play vital roles in regulating cellular responses to stress stimuli. JNK1 and JNK2 form part of larger signaling complexes including the JNK molecular weight complex that is activated in stressful conditions like UV radiation or cytokines. Once activated they phosphorylate transcription factors such as c-Jun leading to gene expression changes that facilitate adaptative and survival responses. They modulate cellular processes like apoptosis inflammation and cell differentiation clearly contributing to homeostasis and development.

Pathways

These kinases interact significantly within the MAPK (Mitogen-activated protein kinase) and apoptosis pathways. JNK proteins mediate signals from upstream kinases such as MKK4/7 and respond to inflammatory cytokines resulting in transcriptional alterations. Their downstream impact is tightly linked to apoptosis through interactions with Bcl-2 family members affecting cellular fate. ERK and p38 MAPK proteins closely interact with JNK pathways co-regulating cellular stress responses and survival pathways highlighting their importance in maintaining cellular balance.

The altered regulation of JNK1 and JNK2 links them to diverse conditions such as cancer and neurodegenerative diseases. In cancer abnormal JNK activity affects cell proliferation and apoptosis with JNK pathways often hyperactivated in tumors. In neurodegeneration these kinases contribute to cell death as seen in disorders like Alzheimer's disease where they engage with proteins like tau leading to neuronal apoptosis. The connection of JNK proteins to other stress-activated kinases further positions them as critical therapeutic targets in disease modulation.

Product protocols

For this product, it's our understanding that no specific protocols are required. You can visit:

Target data

Serine/threonine-protein kinase involved in various processes such as cell proliferation, differentiation, migration, transformation and programmed cell death. Extracellular stimuli such as pro-inflammatory cytokines or physical stress stimulate the stress-activated protein kinase/c-Jun N-terminal kinase (SAP/JNK) signaling pathway (PubMed : 28943315). In this cascade, two dual specificity kinases MAP2K4/MKK4 and MAP2K7/MKK7 phosphorylate and activate MAPK8/JNK1. In turn, MAPK8/JNK1 phosphorylates a number of transcription factors, primarily components of AP-1 such as JUN, JDP2 and ATF2 and thus regulates AP-1 transcriptional activity (PubMed : 18307971). Phosphorylates the replication licensing factor CDT1, inhibiting the interaction between CDT1 and the histone H4 acetylase HBO1 to replication origins (PubMed : 21856198). Loss of this interaction abrogates the acetylation required for replication initiation (PubMed : 21856198). Promotes stressed cell apoptosis by phosphorylating key regulatory factors including p53/TP53 and Yes-associates protein YAP1 (PubMed : 21364637). In T-cells, MAPK8 and MAPK9 are required for polarized differentiation of T-helper cells into Th1 cells. Contributes to the survival of erythroid cells by phosphorylating the antagonist of cell death BAD upon EPO stimulation (PubMed : 21095239). Mediates starvation-induced BCL2 phosphorylation, BCL2 dissociation from BECN1, and thus activation of autophagy (PubMed : 18570871). Phosphorylates STMN2 and hence regulates microtubule dynamics, controlling neurite elongation in cortical neurons (By similarity). In the developing brain, through its cytoplasmic activity on STMN2, negatively regulates the rate of exit from multipolar stage and of radial migration from the ventricular zone (By similarity). Phosphorylates several other substrates including heat shock factor protein 4 (HSF4), the deacetylase SIRT1, ELK1, or the E3 ligase ITCH (PubMed : 16581800, PubMed : 17296730, PubMed : 20027304). Phosphorylates the CLOCK-BMAL1 heterodimer and plays a role in the regulation of the circadian clock (PubMed : 22441692). Phosphorylates the heat shock transcription factor HSF1, suppressing HSF1-induced transcriptional activity (PubMed : 10747973). Phosphorylates POU5F1, which results in the inhibition of POU5F1's transcriptional activity and enhances its proteasomal degradation (By similarity). Phosphorylates JUND and this phosphorylation is inhibited in the presence of MEN1 (PubMed : 22327296). In neurons, phosphorylates SYT4 which captures neuronal dense core vesicles at synapses (By similarity). Phosphorylates EIF4ENIF1/4-ET in response to oxidative stress, promoting P-body assembly (PubMed : 22966201). Phosphorylates SIRT6 in response to oxidative stress, stimulating its mono-ADP-ribosyltransferase activity (PubMed : 27568560). Phosphorylates NLRP3, promoting assembly of the NLRP3 inflammasome (PubMed : 28943315). Phosphorylates ALKBH5 in response to reactive oxygen species (ROS), promoting ALKBH5 sumoylation and inactivation (PubMed : 34048572).. JNK1 isoforms display different binding patterns : beta-1 preferentially binds to c-Jun, whereas alpha-1, alpha-2, and beta-2 have a similar low level of binding to both c-Jun or ATF2. However, there is no correlation between binding and phosphorylation, which is achieved at about the same efficiency by all isoforms.
See full target information MAPK8

Additional targets

MAPK9

Publications (43)

Recent publications for all applications. Explore the full list and refine your search

International journal of molecular medicine 53: PubMed38214344

2024

Regulator of G protein signalling 18 promotes osteocyte proliferation by activating the extracellular signal‑regulated kinase signalling pathway.

Applications

Unspecified application

Species

Unspecified reactive species

Yong Meng,Si-Qiang Qiu,Qiang Wang,Jin-Liang Zuo

Experimental biology and medicine (Maywood, N.J.) 248:2421-2439 PubMed38059322

2023

Dapagliflozin-entresto protected kidney from renal hypertension via downregulating cell-stress signaling and upregulating SIRT1/PGC-1α/Mfn2-medicated mitochondrial homeostasis.

Applications

Unspecified application

Species

Unspecified reactive species

Sheung-Fat Ko,Chih-Chao Yang,Pei-Hsun Sung,Ben-Chung Cheng,Pei-Lin Shao,Yi-Ling Chen,Hon-Kan Yip

Mediators of inflammation 2023:2453402 PubMed36865085

2023

ANGPTL2 Deletion Attenuates Neuroinflammation and Cognitive Dysfunction Induced by Isoflurane in Aged Mice through Modulating MAPK Pathway.

Applications

Unspecified application

Species

Unspecified reactive species

Xiaoyan Huang,Zegeng Su,Shuncai Zhang,Xiaoling Xu,Bo Yang,Xiang Xu

Open medicine (Warsaw, Poland) 17:1780-1787 PubMed36447525

2022

HPV16 E6E7 up-regulates KIF2A expression by activating JNK/c-Jun signal, is beneficial to migration and invasion of cervical cancer cells.

Applications

Unspecified application

Species

Unspecified reactive species

Yuyan Wang,Jinfeng Wang,Anqi Zhao,Xin Huang,Xin Zhang

BMC oral health 22:478 PubMed36352396

2022

Inhibition of AEBP1 predisposes cisplatin-resistant oral cancer cells to ferroptosis.

Applications

Unspecified application

Species

Unspecified reactive species

Qianwen Zhou,Xiaoqi Wang,Yingxue Zhang,Lie Wang,Zhijun Chen

Frontiers in aging neuroscience 14:940166 PubMed36051307

2022

Molecular mechanism of Epimedium in the treatment of vascular dementia based on network pharmacology and molecular docking.

Applications

Unspecified application

Species

Unspecified reactive species

Chenchen Xie,Hao Tang,Gang Liu,Changqing Li

Evidence-based complementary and alternative medicine : eCAM 2022:1612829 PubMed35990822

2022

Protective Effects of Platycodin D3 on Airway Remodeling and Inflammation via Modulating MAPK/NF-B Signaling Pathway in Asthma Mice.

Applications

Unspecified application

Species

Unspecified reactive species

Feng Peng,Fengchun Xiao,Long Lin

Bioengineered 13:13882-13892 PubMed35707829

2022

Sprouty-related proteins with EVH1 domain (SPRED2) prevents high-glucose induced endothelial-mesenchymal transition and endothelial injury by suppressing MAPK activation.

Applications

Unspecified application

Species

Unspecified reactive species

Tian Liu,Jing Zhao,Chengmin Lin

Bosnian journal of basic medical sciences 22:217-228 PubMed34813418

2022

Protocatechuic acid as an inhibitor of the JNK/CXCL1/CXCR2 pathway relieves neuropathic pain in CCI rats.

Applications

Unspecified application

Species

Unspecified reactive species

Hong-Xia Chang,Yue-Feng Zhao

Experimental and therapeutic medicine 22:1365 PubMed34659511

2021

MicroRNA-361 reduces the viability and migratory ability of pancreatic cancer cells via mediation of the MAPK/JNK pathway.

Applications

Unspecified application

Species

Unspecified reactive species

Juan Wang,Zongjing Xie,Yan Liu,Weiguo Zhang,Tingting Ji
View all publications

Product promise

We are committed to supporting your work with high-quality reagents, and we're here for you every step of the way. In the unlikely event that one of our products does not perform as expected, you're protected by our Product Promise.
For full details, please see our Terms & Conditions

Please note: All products are 'FOR RESEARCH USE ONLY. NOT FOR USE IN DIAGNOSTIC OR THERAPEUTIC PROCEDURES'.

For licensing inquiries, please contact partnerships@abcam.com