JavaScript is disabled in your browser. Please enable JavaScript to view this website.
AB47337

Anti-JNK1 (phospho T183) antibody

Be the first to review this product! Submit a review

|

(78 Publications)

Rabbit Polyclonal JNK1 phospho T183 antibody. Suitable for ELISA, WB, IHC-P, ICC/IF and reacts with Mouse, Rat, Human samples. Cited in 78 publications. Immunogen corresponding to Synthetic Peptide within Human MAPK8 phospho T183 aa 150-200.

View Alternative Names

JNK1, PRKM8, SAPK1, SAPK1C, MAPK8, Mitogen-activated protein kinase 8, MAP kinase 8, MAPK 8, JNK-46, Stress-activated protein kinase 1c, Stress-activated protein kinase JNK1, c-Jun N-terminal kinase 1, SAPK1c

2 Images
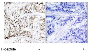
Immunohistochemistry (Formalin/PFA-fixed paraffin-embedded sections) - Anti-JNK1 (phospho T183) antibody (AB47337)
  • IHC-P

Unknown

Immunohistochemistry (Formalin/PFA-fixed paraffin-embedded sections) - Anti-JNK1 (phospho T183) antibody (AB47337)

Immunohistochemical analysis of paraffin-embedded human breast carcinoma tissue using ab47337 at a 1/50 dilution.

Left image : Un-treated

Right image : Treated with P-peptide

Western blot - Anti-JNK1 (phospho T183) antibody (AB47337)
  • WB

Unknown

Western blot - Anti-JNK1 (phospho T183) antibody (AB47337)

All lanes:

Western blot - Anti-JNK1 (phospho T183) antibody (ab47337)

Lane 1:

Extract of Hela cells treated with Anisomycin (200ng/ml, 10min)

Lane 2:

Extract of Hela cells, untreated

Predicted band size: 48 kDa

false

Key facts

Host species

Rabbit

Clonality

Polyclonal

Isotype

IgG

Carrier free

No

Reacts with

Human, Mouse, Rat

Applications

ELISA, IHC-P, ICC/IF, WB

applications

Immunogen

Synthetic Peptide within Human MAPK8 phospho T183 aa 150-200. The exact immunogen used to generate this antibody is proprietary information.

P45983

Specificity

The region of JNK1 surrounding T183 has a high degree of similarity to the corresponding regions in JNK2 and JNK3 and thus may cross react with these proteins if phosphorylated on the corresponding residues.

Reactivity data

{ "title": "Reactivity Data", "filters": { "stats": ["", "Species", "Dilution Info", "Notes"], "tabs": { "all-applications": {"fullname" : "All Applications", "shortname": "All Applications"}, "ELISA" : {"fullname" : "ELISA", "shortname":"ELISA"}, "WB" : {"fullname" : "Western blot", "shortname":"WB"}, "IHCP" : {"fullname" : "Immunohistochemistry (Formalin/PFA-fixed paraffin-embedded sections)", "shortname":"IHC-P"}, "ICCIF" : {"fullname" : "Immunocytochemistry/ Immunofluorescence", "shortname":"ICC/IF"} }, "product-promise": { "all": "all", "testedAndGuaranteed": "tested", "guaranteed": "expected", "predicted": "predicted", "notRecommended": "not-recommended" } }, "values": { "Human": { "ELISA-species-checked": "guaranteed", "ELISA-species-dilution-info": "", "ELISA-species-notes": "<p></p>", "WB-species-checked": "testedAndGuaranteed", "WB-species-dilution-info": "", "WB-species-notes": "<p></p>", "IHCP-species-checked": "testedAndGuaranteed", "IHCP-species-dilution-info": "", "IHCP-species-notes": "<p></p>", "ICCIF-species-checked": "guaranteed", "ICCIF-species-dilution-info": "", "ICCIF-species-notes": "<p></p>" }, "Mouse": { "ELISA-species-checked": "guaranteed", "ELISA-species-dilution-info": "", "ELISA-species-notes": "<p></p>", "WB-species-checked": "predicted", "WB-species-dilution-info": "", "WB-species-notes": "", "IHCP-species-checked": "predicted", "IHCP-species-dilution-info": "", "IHCP-species-notes": "", "ICCIF-species-checked": "guaranteed", "ICCIF-species-dilution-info": "", "ICCIF-species-notes": "<p></p>" }, "Rat": { "ELISA-species-checked": "guaranteed", "ELISA-species-dilution-info": "", "ELISA-species-notes": "<p></p>", "WB-species-checked": "predicted", "WB-species-dilution-info": "", "WB-species-notes": "", "IHCP-species-checked": "predicted", "IHCP-species-dilution-info": "", "IHCP-species-notes": "", "ICCIF-species-checked": "guaranteed", "ICCIF-species-dilution-info": "", "ICCIF-species-notes": "<p></p>" } } }

Properties and storage information

Form
Liquid
Purification technique
Affinity purification Immunogen
Purification notes
The antibody was affinity-purified from rabbit antiserum by affinity-chromatography using epitope-specific phosphopeptide. The antibody against non-phosphopeptide was removed by chromatography using non-phosphopeptide corresponding to the phosphorylation site.
Storage buffer
pH: 7.4 Preservative: 0.02% Sodium azide Constituents: PBS, 50% Glycerol (glycerin, glycerine), 0.87% Sodium chloride
Shipped at conditions
Blue Ice
Appropriate short-term storage conditions
+4°C
Appropriate long-term storage conditions
-20°C
Aliquoting information
Upon delivery aliquot
Storage information
Avoid freeze / thaw cycle

Supplementary information

This supplementary information is collated from multiple sources and compiled automatically.

JNK1 also known as c-Jun N-terminal kinase 1 is a member of the mitogen-activated protein kinase (MAPK) family with a molecular weight of approximately 46 kDa. It is expressed in various tissues throughout the body including the brain heart liver and skeletal muscle. JNK1 exists in multiple isoforms due to alternative splicing. The JNK1 protein is activated by dual phosphorylation on threonine and tyrosine residues a process integral to its function as a stress-activated protein kinase. Commonly used research tools include JNK antibodies and phospho JNK antibodies which help detect the activated forms of this kinase during cellular studies.
Biological function summary

This kinase plays an important role in processes such as inflammation apoptosis and cellular stress responses. JNK1 is not just an isolated enzyme. It forms complexes with other proteins under specific conditions facilitating diverse cellular responses. For example JNK1 activation influences transcription factors like c-Jun by phosphorylating them impacting gene expression related to cell survival and death. This activity establishes JNK1 as a significant player in routine cell functioning and response to external environmental stressors.

Pathways

The kinase is part of the MAPK signaling pathways and the stress-activated protein kinase (SAPK) pathways. These pathways involve multiple signaling cascades important for transmitting extracellular signals into the cellular environment. JNK1 interacts with proteins like MKK4 and MKK7 which are upstream activators and ATF2 a downstream target. This positioning makes JNK1 an essential signaling node that translates extracellular stressors into cellular responses providing adaptability to cells amidst changing conditions.

JNK1 has connections to disorders such as cancer and neurodegenerative diseases. Abnormal activation of JNK1 can lead to irregular cell proliferation making it pertinent in cancer. Similarly in neurodegenerative diseases like Alzheimer's JNK1's involvement in neuronal apoptosis turns critical. It regulates tau phosphorylation connecting JNK1 with tauopathies observed in Alzheimer's disease. Researchers often investigate these associations to understand the mechanisms that underpin these conditions and develop targeted therapies.

Product protocols

For this product, it's our understanding that no specific protocols are required. You can visit:

Target data

Serine/threonine-protein kinase involved in various processes such as cell proliferation, differentiation, migration, transformation and programmed cell death. Extracellular stimuli such as pro-inflammatory cytokines or physical stress stimulate the stress-activated protein kinase/c-Jun N-terminal kinase (SAP/JNK) signaling pathway (PubMed : 28943315). In this cascade, two dual specificity kinases MAP2K4/MKK4 and MAP2K7/MKK7 phosphorylate and activate MAPK8/JNK1. In turn, MAPK8/JNK1 phosphorylates a number of transcription factors, primarily components of AP-1 such as JUN, JDP2 and ATF2 and thus regulates AP-1 transcriptional activity (PubMed : 18307971). Phosphorylates the replication licensing factor CDT1, inhibiting the interaction between CDT1 and the histone H4 acetylase HBO1 to replication origins (PubMed : 21856198). Loss of this interaction abrogates the acetylation required for replication initiation (PubMed : 21856198). Promotes stressed cell apoptosis by phosphorylating key regulatory factors including p53/TP53 and Yes-associates protein YAP1 (PubMed : 21364637). In T-cells, MAPK8 and MAPK9 are required for polarized differentiation of T-helper cells into Th1 cells. Contributes to the survival of erythroid cells by phosphorylating the antagonist of cell death BAD upon EPO stimulation (PubMed : 21095239). Mediates starvation-induced BCL2 phosphorylation, BCL2 dissociation from BECN1, and thus activation of autophagy (PubMed : 18570871). Phosphorylates STMN2 and hence regulates microtubule dynamics, controlling neurite elongation in cortical neurons (By similarity). In the developing brain, through its cytoplasmic activity on STMN2, negatively regulates the rate of exit from multipolar stage and of radial migration from the ventricular zone (By similarity). Phosphorylates several other substrates including heat shock factor protein 4 (HSF4), the deacetylase SIRT1, ELK1, or the E3 ligase ITCH (PubMed : 16581800, PubMed : 17296730, PubMed : 20027304). Phosphorylates the CLOCK-BMAL1 heterodimer and plays a role in the regulation of the circadian clock (PubMed : 22441692). Phosphorylates the heat shock transcription factor HSF1, suppressing HSF1-induced transcriptional activity (PubMed : 10747973). Phosphorylates POU5F1, which results in the inhibition of POU5F1's transcriptional activity and enhances its proteasomal degradation (By similarity). Phosphorylates JUND and this phosphorylation is inhibited in the presence of MEN1 (PubMed : 22327296). In neurons, phosphorylates SYT4 which captures neuronal dense core vesicles at synapses (By similarity). Phosphorylates EIF4ENIF1/4-ET in response to oxidative stress, promoting P-body assembly (PubMed : 22966201). Phosphorylates SIRT6 in response to oxidative stress, stimulating its mono-ADP-ribosyltransferase activity (PubMed : 27568560). Phosphorylates NLRP3, promoting assembly of the NLRP3 inflammasome (PubMed : 28943315). Phosphorylates ALKBH5 in response to reactive oxygen species (ROS), promoting ALKBH5 sumoylation and inactivation (PubMed : 34048572).. JNK1 isoforms display different binding patterns : beta-1 preferentially binds to c-Jun, whereas alpha-1, alpha-2, and beta-2 have a similar low level of binding to both c-Jun or ATF2. However, there is no correlation between binding and phosphorylation, which is achieved at about the same efficiency by all isoforms.
See full target information MAPK8 phospho T183

Publications (78)

Recent publications for all applications. Explore the full list and refine your search

Journal of Ayurveda and integrative medicine 15:100998 PubMed39549465

2024

Exploring the anti-inflammatory effects of acupuncture and Chinese herbal medicine targeting the miRNA-146a/IRAK1/JNK1 pathway in an environmental dry eye rat model.

Applications

Unspecified application

Species

Unspecified reactive species

Lei Zhao,Jj Jiajia Yu,Yulin Liu,Huimin Zhou,Yingyue Cao,Baoqiang Dong,Tao Zuo

Chinese medicine 19:128 PubMed39285464

2024

The improvement of modified Si-Miao granule on hepatic insulin resistance and glycogen synthesis in type 2 diabetes mellitus involves the inhibition of TNF-α/JNK1/IRS-2 pathway: network pharmacology, molecular docking, and experimental validation.

Applications

Unspecified application

Species

Unspecified reactive species

Zebiao Cao,Xianzhe Wang,Zhili Zeng,Zhaojun Yang,Yuping Lin,Lu Sun,Qiyun Lu,Guanjie Fan

The Korean journal of physiology & pharmacology : official journal of the Korean Physiological Society and the Korean Society of Pharmacology 28:239-252 PubMed38682172

2024

Dexmedetomidine alleviates blood-brain barrier disruption in rats after cerebral ischemia-reperfusion by suppressing JNK and p38 MAPK signaling.

Applications

Unspecified application

Species

Unspecified reactive species

Canmin Zhu,Dili Wang,Chang Chang,Aofei Liu,Ji Zhou,Ting Yang,Yuanfeng Jiang,Xia Li,Weijian Jiang

American journal of physiology. Regulatory, integrative and comparative physiology 325:R523-R533 PubMed37642284

2023

High-fat diet during pregnancy promotes fetal skeletal muscle fatty acid oxidation and insulin resistance in an ovine model.

Applications

Unspecified application

Species

Unspecified reactive species

Asma K Omar,Lance C Li Puma,Luke A Whitcomb,Briana D Risk,Aria C Witt,Jason E Bruemmer,Quinton A Winger,Gerrit J Bouma,Adam J Chicco

Bioengineered 13:14936-14946 PubMed37105673

2023

Alkannin reverses lipopolysaccharides-induced inflammatory responses by suppressing mitogen-activated protein kinase and nuclear factor kappa-B signalling.

Applications

Unspecified application

Species

Unspecified reactive species

Jingya Yang,Jing Li,Lanzhu Yang,Ruohui Guo

Cell death discovery 9:16 PubMed36681672

2023

Resveratrol protects osteocytes against oxidative stress in ovariectomized rats through AMPK/JNK1-dependent pathway leading to promotion of autophagy and inhibition of apoptosis.

Applications

Unspecified application

Species

Unspecified reactive species

Liwei Wei,Shuang Chai,Chen Yue,Hong Zhang,Jitian Li,Na Qin

Inflammopharmacology 30:2317-2329 PubMed36063304

2022

Escin suppresses immune cell infiltration and selectively modulates Nrf2/HO-1, TNF-α/JNK, and IL-22/STAT3 signaling pathways in concanavalin A-induced autoimmune hepatitis in mice.

Applications

Unspecified application

Species

Unspecified reactive species

Mahmoud Elshal,Sara H Hazem

Neurochemical research 47:3167-3177 PubMed35842555

2022

Exogenous TIPE2 Inhibit TAK1 to Improve Inflammation and Neuropathic Pain Induced by Sciatic Nerve Injury Through Inactivating NF-κB and JNK.

Applications

Unspecified application

Species

Unspecified reactive species

Xuehua Sun,Xinyou Li,Youfei Zhou,Yufei Wang,Xiaochen Liu

Cell cycle (Georgetown, Tex.) 21:2051-2064 PubMed35748914

2022

MiR-4268 suppresses gastric cancer genesis through inhibiting keratin 80.

Applications

Unspecified application

Species

Unspecified reactive species

Fan Zhang,Guoxian Wang,Wenjuan Yan,Hongmei Jiang

Andrologia 54:e14342 PubMed34872158

2021

Dietary high-fructose reduces barrier proteins and activates mitogenic signalling in the testis of a rat model: Regulatory effects of kefir supplementation.

Applications

Unspecified application

Species

Unspecified reactive species

Fatma Akar,Onur Gokhan Yildirim,Gozde Yucel Tenekeci,Arda Selin Tunc,Murside Ayse Demirel,Gokhan Sadi
View all publications

Product promise

We are committed to supporting your work with high-quality reagents, and we're here for you every step of the way. In the unlikely event that one of our products does not perform as expected, you're protected by our Product Promise.
For full details, please see our Terms & Conditions

Please note: All products are 'FOR RESEARCH USE ONLY. NOT FOR USE IN DIAGNOSTIC OR THERAPEUTIC PROCEDURES'.

For licensing inquiries, please contact partnerships@abcam.com