JavaScript is disabled in your browser. Please enable JavaScript to view this website.
AB76572

Anti-JNK1 (phospho Y185) + JNK2 (phospho Y185) + JNK3 (phospho Y223) antibody [EP1597Y]

4

(1 Review)

|

(71 Publications)

Rabbit Recombinant Monoclonal JNK1 phospho Y185 antibody. Suitable for IP, Dot, WB and reacts with Human, Mouse, Rat samples. Cited in 71 publications.

View Alternative Names

JNK1, PRKM8, SAPK1, SAPK1C, MAPK8, Mitogen-activated protein kinase 8, MAP kinase 8, MAPK 8, JNK-46, Stress-activated protein kinase 1c, Stress-activated protein kinase JNK1, c-Jun N-terminal kinase 1, SAPK1c

5 Images
Immunoprecipitation - Anti-JNK1 (phospho Y185) + JNK2 (phospho Y185) + JNK3 (phospho Y223) antibody [EP1597Y] (AB76572)
  • IP

Unknown

Immunoprecipitation - Anti-JNK1 (phospho Y185) + JNK2 (phospho Y185) + JNK3 (phospho Y223) antibody [EP1597Y] (AB76572)

Purified ab76572 at 1/70 dilution (2ug) immunoprecipitating JNK1+JNK2+JNK3 in HeLa treated with 20J/m2 UV-C then recovery for 1 hour whole cell lysate.
Lane 1 (input) : HeLa (Human cervix adenocarcinoma epithelial cell) treated with 20J/m2 UV-C then recovery for 1 hour whole cell lysate (10μg)
Lane 2 (+) : ab76572 + HeLa treated with 20J/m2 UV-C then recovery for 1 hour whole cell lysate.
Lane 3 (-) : Rabbit monoclonal IgG (ab172730) instead of ab76572 in HeLa treated with 20J/m2 UV-C then recovery for 1h whole cell lysate.
VeriBlot for IP Detection Reagent (HRP) (ab131366) (1/1000) was used for Western blotting.
Blocking Buffer and concentration : 5% NFDM/TBST.
Diluting buffer and concentration : 5% NFDM/TBST.
Observed band size : 46, 54 kDa

All lanes:

Immunoprecipitation - Anti-JNK1 (phospho Y185) + JNK2 (phospho Y185) + JNK3 (phospho Y223) antibody [EP1597Y] (ab76572)

false

Western blot - Anti-JNK1 (phospho Y185) + JNK2 (phospho Y185) + JNK3 (phospho Y223) antibody [EP1597Y] (AB76572)
  • WB

Lab

Western blot - Anti-JNK1 (phospho Y185) + JNK2 (phospho Y185) + JNK3 (phospho Y223) antibody [EP1597Y] (AB76572)

Blocking and diluting buffer and concentration : 5% NFDM/TBST.

All lanes:

Western blot - Anti-JNK1 (phospho Y185) + JNK2 (phospho Y185) + JNK3 (phospho Y223) antibody [EP1597Y] (ab76572) at 1/2000 dilution

Lane 1:

HeLa (Human cervix adenocarcinoma epithelial cell) Whole cell lysates at 15 µg

Lane 2:

HeLa (Human cervix adenocarcinoma epithelial cell) treated with 20J/m2 UV-C then recovery for 1 hour whole cell lysates at 15 µg

Lane 3:

HeLa (Human cervix adenocarcinoma epithelial cell) treated with 20J/m2 UV-C then recovery for 1 hour, whole cell lysates. Then the membrane was incubated with alkaline phosphatase at 15 µg

Lane 4:

HeLa (Human cervix adenocarcinoma epithelial cell) treated with 20J/m2 UV-C then recovery for 1 hour whole cell lysates. Then the membrane was incubated with lambda phosphatase at 15 µg

Secondary

All lanes:

Western blot - Goat Anti-Rabbit IgG H&L (HRP) (<a href='/en-us/products/secondary-antibodies/goat-rabbit-igg-h-l-hrp-ab97051'>ab97051</a>) at 1/20000 dilution

Observed band size: 46 kDa,54 kDa

false

Exposure time: 30s

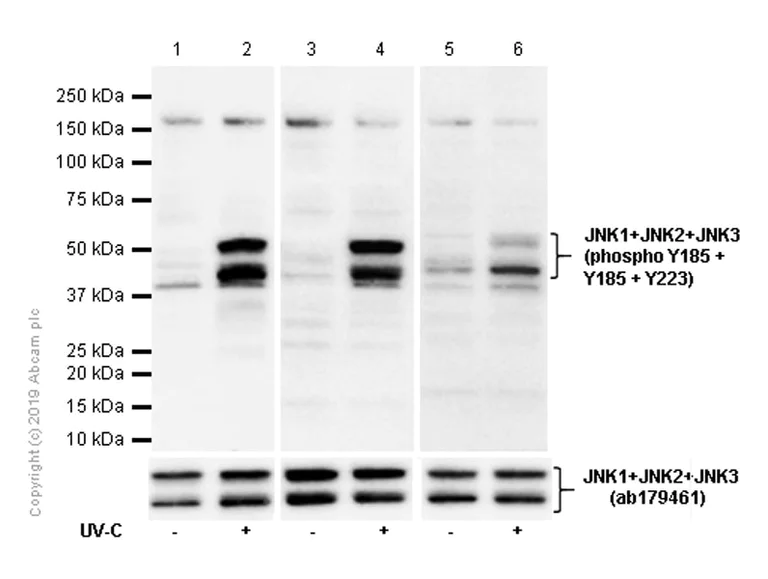
Western blot - Anti-JNK1 (phospho Y185) + JNK2 (phospho Y185) + JNK3 (phospho Y223) antibody [EP1597Y] (AB76572)
  • WB

Unknown

Western blot - Anti-JNK1 (phospho Y185) + JNK2 (phospho Y185) + JNK3 (phospho Y223) antibody [EP1597Y] (AB76572)

Blocking/Diluting buffer : 5% NFDM/TBST

Lanes 1 - 6:

Western blot - Anti-JNK1 (phospho Y185) + JNK2 (phospho Y185) + JNK3 (phospho Y223) antibody [EP1597Y] (ab76572) at 1/5000 dilution

Lane 7:

Western blot - Anti-JNK1 (phospho Y185) + JNK2 (phospho Y185) + JNK3 (phospho Y223) antibody [EP1597Y] (ab76572)

Lane 1:

HEK-293 (Human embryonic kidney epithelial cell) whole cell lysates at 20 µg

Lane 2:

HEK-293 (Human embryonic kidney epithelial cell) treated with 200J/m2 UV-C then recovery for 30 minutes whole cell lysates at 20 µg

Lane 3:

NIH/3T3 (Mouse embryonic fibroblast) whole cell lysates at 20 µg

Lane 4:

NIH/3T3 (Mouse embryonic fibroblast) treated with 20J/m2 UV-C then recovery for 1 hour whole cell lysates at 20 µg

Lane 5:

C6 (Rat glial tumor glial cell) whole cell lysates at 20 µg

Lane 6:

C6 (Rat glial tumor glial cell) treated with 40J/m2 UV-C then recovery for 30 minutes whole cell lysates at 20 µg

Secondary

All lanes:

Western blot - Goat Anti-Rabbit IgG H&L (HRP) (<a href='/en-us/products/secondary-antibodies/goat-rabbit-igg-h-l-hrp-ab97051'>ab97051</a>) at 1/20000 dilution

Observed band size: 46 kDa,54 kDa

false

Dot Blot - Anti-JNK1 (phospho Y185) + JNK2 (phospho Y185) + JNK3 (phospho Y223) antibody [EP1597Y] (AB76572)
  • Dot

Unknown

Dot Blot - Anti-JNK1 (phospho Y185) + JNK2 (phospho Y185) + JNK3 (phospho Y223) antibody [EP1597Y] (AB76572)

Lane 1 : Human JNK1+JNK2+JNK3 (phospho Y185 + Y185 + Y223) phospho peptide
Lane 2 : Human JNK1+JNK2+JNK3 non-phospho pepetide

Stained with unpurified ab76572 at a 1 : 1000 dilution. Dection was with Goat Anti-Rabbit IgG, (H+L), Peroxidase conjugated (ab97051) at a 1 : 100,000 dilution.

Exposure : 3 minutes

Western blot - Anti-JNK1 (phospho Y185) + JNK2 (phospho Y185) + JNK3 (phospho Y223) antibody [EP1597Y] (AB76572)
  • WB

CiteAb

Western blot - Anti-JNK1 (phospho Y185) + JNK2 (phospho Y185) + JNK3 (phospho Y223) antibody [EP1597Y] (AB76572)

JNK1 (phospho Y185) + JNK2 (phospho Y185) + JNK3 (phospho Y223) western blot using anti-JNK1 (phospho Y185) + JNK2 (phospho Y185) + JNK3 (phospho Y223) antibody [EP1597Y] ab76572. Publication image and figure legend from Zhao, T. M., Wang, Y., et al., 2020, Front Pharmacol, PubMed 32362825.

ab76572 was used in this publication in western blot. This may not be the same as the application(s) guaranteed by Abcam. For a full list of applications guaranteed by Abcam for ab76572 please see the product overview.

Effect of bicyclol on hepatic AMPK, mTOR, and MAPK protein expressions at 24 and 48 h after CCl4 exposure. Mice were intraperitoneally injected a mixture of CCl4 (50%) and oil (50%) at a dose of 2 ml/kg body weight. Mice were given bicyclol 200 mg/kg by gavage for three times in 1 day 1 h prior to CCl4 challenge. Results are presented as mean ± SD for five mice per group. Significantly different ($$p < 0.01, $$$p < 0.001) from the CCl4 24 h group. Significantly different (&p < 0.05, &&p < 0.01) from the CCl4 48 h group.

false

  • Carrier free

    Anti-JNK1 (phospho Y185) + JNK2 (phospho Y185) + JNK3 (phospho Y223) antibody [EP1597Y] - BSA and Az

Key facts

Host species

Rabbit

Clonality

Monoclonal

Clone number

EP1597Y

Isotype

IgG

Carrier free

No

Reacts with

Mouse, Rat, Human

Applications

Dot, WB, IP

applications

Immunogen

The exact immunogen used to generate this antibody is proprietary information.

Specificity

Detects JNK1 (pY185), JNK2 (pY185) and JNK3 (pY223).

Reactivity data

{ "title": "Reactivity Data", "filters": { "stats": ["", "Species", "Dilution Info", "Notes"], "tabs": { "all-applications": {"fullname" : "All Applications", "shortname": "All Applications"}, "IP" : {"fullname" : "Immunoprecipitation", "shortname":"IP"}, "Dot" : {"fullname" : "Dot Blot", "shortname":"Dot"}, "WB" : {"fullname" : "Western blot", "shortname":"WB"} }, "product-promise": { "all": "all", "testedAndGuaranteed": "tested", "guaranteed": "expected", "predicted": "predicted", "notRecommended": "not-recommended" } }, "values": { "Human": { "IP-species-checked": "testedAndGuaranteed", "IP-species-dilution-info": "1/70", "IP-species-notes": "<p><strong>For unpurified use at 1/20.</strong></p>", "Dot-species-checked": "testedAndGuaranteed", "Dot-species-dilution-info": "", "Dot-species-notes": "<p></p>", "WB-species-checked": "testedAndGuaranteed", "WB-species-dilution-info": "1/5000", "WB-species-notes": "<p><strong>For unpurified use at 1/5000 - 1/20000.</strong></p>" }, "Mouse": { "IP-species-checked": "guaranteed", "IP-species-dilution-info": "", "IP-species-notes": "", "Dot-species-checked": "guaranteed", "Dot-species-dilution-info": "", "Dot-species-notes": "", "WB-species-checked": "testedAndGuaranteed", "WB-species-dilution-info": "1/5000", "WB-species-notes": "<p><strong>For unpurified use at 1/5000 - 1/20000.</strong></p>" }, "Rat": { "IP-species-checked": "guaranteed", "IP-species-dilution-info": "", "IP-species-notes": "", "Dot-species-checked": "guaranteed", "Dot-species-dilution-info": "", "Dot-species-notes": "", "WB-species-checked": "testedAndGuaranteed", "WB-species-dilution-info": "1/5000", "WB-species-notes": "<p><strong>For unpurified use at 1/5000 - 1/20000.</strong></p>" } } }

Product details

Patented technology
Our RabMAb® technology is a patented hybridoma-based technology for making rabbit monoclonal antibodies. For details on our patents, please refer to RabMAb® patents.

What are the advantages of a recombinant monoclonal antibody?
This product is a recombinant monoclonal antibody, which offers several advantages including:

  • - High batch-to-batch consistency and reproducibility
  • - Improved sensitivity and specificity
  • - Long-term security of supply
  • - Animal-free batch production

For more information, read more on recombinant antibodies.

Properties and storage information

Form
Liquid
Purification technique
Affinity purification Protein A
Storage buffer
pH: 7.2 - 7.4 Preservative: 0.01% Sodium azide Constituents: 59% PBS, 40% Glycerol (glycerin, glycerine), 0.05% BSA
Shipped at conditions
Blue Ice
Appropriate short-term storage duration
1-2 weeks
Appropriate short-term storage conditions
+4°C
Appropriate long-term storage conditions
-20°C
Aliquoting information
Upon delivery aliquot
Storage information
Avoid freeze / thaw cycle

Supplementary information

This supplementary information is collated from multiple sources and compiled automatically.

The JNK protein family also known as c-Jun N-terminal kinases consists of JNK1 JNK2 and JNK3. These proteins are mitogen-activated protein kinases (MAPKs) that play a role in transmitting extracellular signals to the cell nucleus. JNK1 has a mass of approximately 54 kDa and is ubiquitously expressed in various tissues. JNK2 is similar in mass and expression while JNK3 is primarily found in the brain heart and testes. These proteins can phosphorylate transcription factors such as c-Jun impacting gene expression processes.
Biological function summary

The JNK proteins are involved in controlling cellular events like proliferation differentiation and apoptosis. They act as part of the MAPK signaling complex and involve scaffolding proteins that help organize these signaling pathways. In the cellular context JNK proteins are activated in response to stress signals like UV irradiation inflammatory cytokines and growth factors. This activation leads to diverse cellular outcomes depending on the specific JNK isoform and cell type.

Pathways

The JNK proteins are important in the MAPK signaling pathways and play a role in the AP-1 transcription factor regulation. They interact with proteins such as MEK4 and MEK7 which are upstream kinases that activate JNK through phosphorylation. The JNK signaling arm is distinct from the ERK and p38 MAPK pathways each having specific roles in cellular response modulation.

The JNK proteins are implicated in conditions like neurodegenerative diseases and cancer. In Alzheimer's disease for example JNK3 contributes to neuronal cell death while JNK inhibitors like SP600125 have been explored for therapeutic potential. In cancer JNK proteins can influence tumor progression through the regulation of apoptosis and their activity may intersect with other kinases like p53 further complicating disease pathways. JNK's role in diseases makes it a critical target for developing inhibitors reflected in studies around compounds like JNK inhibitor 8 and related molecules.

Product protocols

For this product, it's our understanding that no specific protocols are required. You can visit:

Target data

Serine/threonine-protein kinase involved in various processes such as cell proliferation, differentiation, migration, transformation and programmed cell death. Extracellular stimuli such as pro-inflammatory cytokines or physical stress stimulate the stress-activated protein kinase/c-Jun N-terminal kinase (SAP/JNK) signaling pathway (PubMed : 28943315). In this cascade, two dual specificity kinases MAP2K4/MKK4 and MAP2K7/MKK7 phosphorylate and activate MAPK8/JNK1. In turn, MAPK8/JNK1 phosphorylates a number of transcription factors, primarily components of AP-1 such as JUN, JDP2 and ATF2 and thus regulates AP-1 transcriptional activity (PubMed : 18307971). Phosphorylates the replication licensing factor CDT1, inhibiting the interaction between CDT1 and the histone H4 acetylase HBO1 to replication origins (PubMed : 21856198). Loss of this interaction abrogates the acetylation required for replication initiation (PubMed : 21856198). Promotes stressed cell apoptosis by phosphorylating key regulatory factors including p53/TP53 and Yes-associates protein YAP1 (PubMed : 21364637). In T-cells, MAPK8 and MAPK9 are required for polarized differentiation of T-helper cells into Th1 cells. Contributes to the survival of erythroid cells by phosphorylating the antagonist of cell death BAD upon EPO stimulation (PubMed : 21095239). Mediates starvation-induced BCL2 phosphorylation, BCL2 dissociation from BECN1, and thus activation of autophagy (PubMed : 18570871). Phosphorylates STMN2 and hence regulates microtubule dynamics, controlling neurite elongation in cortical neurons (By similarity). In the developing brain, through its cytoplasmic activity on STMN2, negatively regulates the rate of exit from multipolar stage and of radial migration from the ventricular zone (By similarity). Phosphorylates several other substrates including heat shock factor protein 4 (HSF4), the deacetylase SIRT1, ELK1, or the E3 ligase ITCH (PubMed : 16581800, PubMed : 17296730, PubMed : 20027304). Phosphorylates the CLOCK-BMAL1 heterodimer and plays a role in the regulation of the circadian clock (PubMed : 22441692). Phosphorylates the heat shock transcription factor HSF1, suppressing HSF1-induced transcriptional activity (PubMed : 10747973). Phosphorylates POU5F1, which results in the inhibition of POU5F1's transcriptional activity and enhances its proteasomal degradation (By similarity). Phosphorylates JUND and this phosphorylation is inhibited in the presence of MEN1 (PubMed : 22327296). In neurons, phosphorylates SYT4 which captures neuronal dense core vesicles at synapses (By similarity). Phosphorylates EIF4ENIF1/4-ET in response to oxidative stress, promoting P-body assembly (PubMed : 22966201). Phosphorylates SIRT6 in response to oxidative stress, stimulating its mono-ADP-ribosyltransferase activity (PubMed : 27568560). Phosphorylates NLRP3, promoting assembly of the NLRP3 inflammasome (PubMed : 28943315). Phosphorylates ALKBH5 in response to reactive oxygen species (ROS), promoting ALKBH5 sumoylation and inactivation (PubMed : 34048572).. JNK1 isoforms display different binding patterns : beta-1 preferentially binds to c-Jun, whereas alpha-1, alpha-2, and beta-2 have a similar low level of binding to both c-Jun or ATF2. However, there is no correlation between binding and phosphorylation, which is achieved at about the same efficiency by all isoforms.
See full target information MAPK8 phospho Y185

Additional targets

MAPK10 phospho Y223,,

Publications (71)

Recent publications for all applications. Explore the full list and refine your search

Cell death & disease 14:724 PubMed37935658

2023

DUSP1 protects against ischemic acute kidney injury through stabilizing mtDNA via interaction with JNK.

Applications

Unspecified application

Species

Unspecified reactive species

Lang Shi,Hongchu Zha,Zhou Pan,Jiayi Wang,Yao Xia,Huimin Li,Hua Huang,Ruchi Yue,Zhixia Song,Jiefu Zhu

PloS one 18:e0286903 PubMed37310976

2023

The angiotensin receptor neprilysin inhibitor LCZ696 attenuates renal fibrosis via ASK1/JNK/p38 MAPK-mediated apoptosis in unilateral ureteral obstruction.

Applications

Unspecified application

Species

Unspecified reactive species

Jun Ding,Sheng Cui,Song Yu Li,Lin Yan Cui,Qi Yan Nan,Xue Jing Lin,Mei Ying Xuan,Jian Jin,Shang Guo Piao,Yu Ji Jiang,Hai Lan Zheng,Ji Zhe Jin,Byung Ha Chung,Chul Woo Yang,Jing Hao Cui,Can Li

Biomolecules & biomedicine 23:457-470 PubMed36724020

2023

Sivelestat sodium attenuates acute lung injury by inhibiting JNK/NF-κB and activating Nrf2/HO-1 signaling pathways.

Applications

Unspecified application

Species

Unspecified reactive species

Hong Zhang,Jun Zeng,Jiankang Li,Huankai Gong,Meiling Chen,Quan Li,Shengxing Liu,Shanjun Luo,Huanxiang Dong,Yingke Xu,Huanling Duan,Ling Haung,Chuanzhu Lv

Frontiers in pharmacology 14:1078205 PubMed36891270

2023

Dapagliflozin alleviates myocardial ischemia/reperfusion injury by reducing ferroptosis MAPK signaling inhibition.

Applications

Unspecified application

Species

Unspecified reactive species

Weixiang Chen,Yue Zhang,Zuoxiang Wang,Mingyue Tan,Jia Lin,Xiaodong Qian,Hongxia Li,Tingbo Jiang

Antioxidants (Basel, Switzerland) 11: PubMed36552660

2022

Protective Effect of Polyphenols Purified from on Ethanol-Induced Gastric Mucosal Injury by Regulating Nrf2 and MAPKs Pathways.

Applications

Unspecified application

Species

Unspecified reactive species

Shasha Yu,Zhouwei Duan,Peng Li,Shiping Wang,Lijun Guo,Guanghua Xia,Hui Xie

Disease models & mechanisms 16: PubMed36478044

2022

A DUSP6 inhibitor suppresses inflammatory cardiac remodeling and improves heart function after myocardial infarction.

Applications

Unspecified application

Species

Unspecified reactive species

Zongwang Zhang,Yang Chen,Lixia Zheng,Jianyong Du,Shicheng Wei,Xiaojun Zhu,Jing-Wei Xiong

Nature communications 13:6672 PubMed36335128

2022

Dusp6 deficiency attenuates neutrophil-mediated cardiac damage in the acute inflammatory phase of myocardial infarction.

Applications

Unspecified application

Species

Unspecified reactive species

Xiaohai Zhou,Chenyang Zhang,Xueying Wu,Xinli Hu,Yan Zhang,Xuelian Wang,Lixia Zheng,Peng Gao,Jianyong Du,Wen Zheng,Haibao Shang,Keping Hu,Zhengfan Jiang,Yu Nie,Shengshou Hu,Rui-Ping Xiao,Xiaojun Zhu,Jing-Wei Xiong

Allergologia et immunopathologia 50:1-9 PubMed36335439

2022

PHLDA1 knockdown inhibits inflammation and oxidative stress by regulating JNK/ERK pathway, and plays a protective role in sepsis-induced acute kidney injury.

Applications

Unspecified application

Species

Unspecified reactive species

Minmin Gong,Wenmei Liang,Qinju Lu,Jing Zhang

Cellular and molecular neurobiology 43:2179-2202 PubMed36266523

2022

Neuroprotective Effect of miR-483-5p Against Cardiac Arrest-Induced Mitochondrial Dysfunction Mediated Through the TNFSF8/AMPK/JNK Signaling Pathway.

Applications

Unspecified application

Species

Unspecified reactive species

Qiang Zhang,Haohong Zhan,Cong Liu,Chenyu Zhang,Hongyan Wei,Bo Li,Dawang Zhou,Yuanzheng Lu,Shaomin Huang,Jingge Cheng,Shuhao Li,Chuyue Wang,Chunlin Hu,Xiaoxing Liao

International journal of chronic obstructive pulmonary disease 17:2589-2602 PubMed36267325

2022

IL-17A Promotes Epithelial ADAM9 Expression in Cigarette Smoke-Related COPD.

Applications

Unspecified application

Species

Unspecified reactive species

Danyang Li,Tong Wang,Qianli Ma,Lu Zhou,Yanqing Le,Yafei Rao,Liang Jin,Yuqiang Pei,Yaning Cheng,Chen Huang,Xiaoyan Gai,Yongchang Sun
View all publications

Product promise

We are committed to supporting your work with high-quality reagents, and we're here for you every step of the way. In the unlikely event that one of our products does not perform as expected, you're protected by our Product Promise.
For full details, please see our Terms & Conditions

Please note: All products are 'FOR RESEARCH USE ONLY. NOT FOR USE IN DIAGNOSTIC OR THERAPEUTIC PROCEDURES'.

For licensing inquiries, please contact partnerships@abcam.com