JavaScript is disabled in your browser. Please enable JavaScript to view this website.
AB264302

Anti-JunB antibody

Be the first to review this product! Submit a review

|

(0 Publication)

Rabbit Polyclonal JUNB antibody. Suitable for IHC-P, IP and reacts with Human samples. Immunogen corresponding to Synthetic Peptide within Human Transcription factor jun-B aa 1-100.

View Alternative Names

Transcription factor JunB, Transcription factor AP-1 subunit JunB, JUNB

2 Images
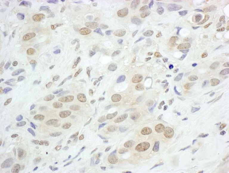
Immunohistochemistry (Formalin/PFA-fixed paraffin-embedded sections) - Anti-JunB antibody (AB264302)
  • IHC-P

Unknown

Immunohistochemistry (Formalin/PFA-fixed paraffin-embedded sections) - Anti-JunB antibody (AB264302)

Immunohistochemical analysis of formalin-fixed, paraffin-embedded human breast carcinoma tissue labeling JunB with ab264302 at 1/5,000 dilution. Detection : DAB.

Immunoprecipitation - Anti-JunB antibody (AB264302)
  • IP

Supplier Data

Immunoprecipitation - Anti-JunB antibody (AB264302)

JunB was immunoprecipitated from 1mg of HeLa (Human epithelial cell line from cervix adenocarcinoma) whole cell lysate with ab264302 at 3 μg/mg lysate. Western blot was performed from the immunoprecipitate using a different antibody.

Lane 1 : ab264302 IP in HeLa whole cell lysate.
Lane 2 : Control IgG.

Exposure time : 30 secs.

All lanes:

Immunoprecipitation - Anti-JunB antibody (ab264302)

Predicted band size: 36 kDa

false

Key facts

Host species

Rabbit

Clonality

Polyclonal

Isotype

IgG

Carrier free

No

Reacts with

Human

Applications

IHC-P, IP

applications

Immunogen

Synthetic Peptide within Human Transcription factor jun-B aa 1-100. The exact immunogen used to generate this antibody is proprietary information.

P17275

Reactivity data

{ "title": "Reactivity Data", "filters": { "stats": ["", "Species", "Dilution Info", "Notes"], "tabs": { "all-applications": {"fullname" : "All Applications", "shortname": "All Applications"}, "IHCP" : {"fullname" : "Immunohistochemistry (Formalin/PFA-fixed paraffin-embedded sections)", "shortname":"IHC-P"}, "IP" : {"fullname" : "Immunoprecipitation", "shortname":"IP"} }, "product-promise": { "all": "all", "testedAndGuaranteed": "tested", "guaranteed": "expected", "predicted": "predicted", "notRecommended": "not-recommended" } }, "values": { "Human": { "IHCP-species-checked": "testedAndGuaranteed", "IHCP-species-dilution-info": "1/1000 - 1/5000", "IHCP-species-notes": "<p></p> Perform heat-mediated antigen retrieval with citrate buffer pH 6 before commencing with IHC staining protocol.", "IP-species-checked": "testedAndGuaranteed", "IP-species-dilution-info": "2-5 µg/mg of lysate", "IP-species-notes": "<p></p>" } } }

Properties and storage information

Form
Liquid
Purification technique
Affinity purification Immunogen
Storage buffer
pH: 7 - 8 Preservative: 0.09% Sodium azide Constituents: Tris citrate/phosphate
Shipped at conditions
Blue Ice
Appropriate short-term storage duration
1-2 weeks
Appropriate short-term storage conditions
+4°C
Appropriate long-term storage conditions
-20°C
Aliquoting information
Upon delivery aliquot
Storage information
Avoid freeze / thaw cycle

Supplementary information

This supplementary information is collated from multiple sources and compiled automatically.

The JunB protein also known as Jun B proto-oncogene is a transcription factor belonging to the AP-1 family. It has a molecular mass of approximately 36 kDa. JunB is expressed in various tissues including epithelial endothelial and immune cells. It often forms heterodimers with other proteins like c-Fos enhancing its capacity to regulate gene expression. Its expression levels can fluctuate with physiological changes and cellular stress indicating its role in managing dynamic cellular processes.
Biological function summary

JunB influences cell proliferation differentiation and apoptosis. As part of the AP-1 transcription factor complex it binds to specific DNA sequences regulating genes involved in these important processes. This ability to influence cell cycle and immune response highlights the importance of JunB in tissue development and function. Additionally JunB plays a role in controlling the expression of genes involved in inflammatory responses impacting immune cell activation and function.

Pathways

JunB interacts with various signaling cascades such as the MAPK/ERK and JAK/STAT pathways. These pathways are fundamental in transmitting extracellular signals to the nucleus affecting gene transcription. In the MAPK/ERK pathway JunB works closely with proteins such as c-Jun and c-Fos facilitating cell proliferation and survival. Furthermore it contributes to the JAK/STAT pathway by modulating the inflammatory response demonstrating JunB's adaptability across different cellular contexts.

Altered JunB expression links to conditions like cancer and autoimmune diseases. In some cancers such as leukemia aberrant levels of JunB disrupt normal cell growth collaborating with proteins like c-Myc to promote oncogenesis. In autoimmune disorders JunB can modify immune cell activity through proteins like STAT3 potentially exacerbating inflammation. Understanding JunB functions in these contexts provides insights into potential therapeutic targets for these diseases.

Product protocols

For this product, it's our understanding that no specific protocols are required. You can visit:

Target data

Transcription factor involved in regulating gene activity following the primary growth factor response. Binds to the DNA sequence 5'-TGA[GC]TCA-3'. Heterodimerizes with proteins of the FOS family to form an AP-1 transcription complex, thereby enhancing its DNA binding activity to an AP-1 consensus sequence and its transcriptional activity (By similarity).
See full target information Transcription factor jun-B

Product promise

We are committed to supporting your work with high-quality reagents, and we're here for you every step of the way. In the unlikely event that one of our products does not perform as expected, you're protected by our Product Promise.
For full details, please see our Terms & Conditions

Please note: All products are 'FOR RESEARCH USE ONLY. NOT FOR USE IN DIAGNOSTIC OR THERAPEUTIC PROCEDURES'.

For licensing inquiries, please contact partnerships@abcam.com