JavaScript is disabled in your browser. Please enable JavaScript to view this website.
AB269948

Anti-Junctional Adhesion Molecule 1/JAM-A antibody [EPR23244-12]

Be the first to review this product! Submit a review

|

(5 Publications)

Rabbit Recombinant Monoclonal Junctional Adhesion Molecule 1/JAM-A antibody. Suitable for IP, Flow Cyt, WB, ICC/IF and reacts with Human samples. Cited in 5 publications.

View Alternative Names

CD321, JAM1, JCAM, UNQ264/PRO301, F11R, Junctional adhesion molecule A, JAM-A, Junctional adhesion molecule 1, Platelet F11 receptor, Platelet adhesion molecule 1, JAM-1, PAM-1

6 Images
Flow Cytometry - Anti-Junctional Adhesion Molecule 1/JAM-A antibody [EPR23244-12] (AB269948)
  • Flow Cyt

Unknown

Flow Cytometry - Anti-Junctional Adhesion Molecule 1/JAM-A antibody [EPR23244-12] (AB269948)

Flow cytometric analysis of HT-29 (Human colorectal adenocarcinoma epithelial cell) cells labeling Junctional Adhesion Molecule 1/JAM-A with ab269948 at 1/500 compared with a Rabbit monoclonal IgG (ab172730) / Black isotype control and an unlabeled control (cells without incubation with primary antibody and secondary antibody) (Blue). Goat anti rabbit IgG (Alexa Fluor® 488, ab150077) at 1/2000 was used as the secondary antibody.

Gated on viable cells.

Flow Cytometry - Anti-Junctional Adhesion Molecule 1/JAM-A antibody [EPR23244-12] (AB269948)
  • Flow Cyt

Unknown

Flow Cytometry - Anti-Junctional Adhesion Molecule 1/JAM-A antibody [EPR23244-12] (AB269948)

Flow cytometric analysis of human B lymphocytes (Left) / human monocytes (Right) cells labeling Junctional Adhesion Molecule 1/JAM-A with ab269948 at 1/500 compared with a Rabbit monoclonal IgG (ab172730) / Black isotype control and an unlabeled control (cells without incubation with primary antibody and secondary antibody) (Blue). Goat anti rabbit IgG (Alexa Fluor® 488, ab150077) at 1/2000 was used as the secondary antibody.

Human peripheral blood mononuclear cell (PBMC) co-stained with anti-CD19 conjugated to PE-Cy7 and anti-CD14 conjugated to BV510. JAM-A expression on B lymphocytes (CD19+) and monocytes (CD14+) population are shown respectively.

Gated on viable cells.

Immunocytochemistry/ Immunofluorescence - Anti-Junctional Adhesion Molecule 1/JAM-A antibody [EPR23244-12] (AB269948)
  • ICC/IF

Unknown

Immunocytochemistry/ Immunofluorescence - Anti-Junctional Adhesion Molecule 1/JAM-A antibody [EPR23244-12] (AB269948)

Immunofluorescent analysis of 4% Paraformaldehyde-fixed, 0.1% Triton X-100 permeabilized HT-29 (human colorectal adenocarcinoma epithelial cell) cells labeling Junctional Adhesion Molecule 1/JAM-A with ab269948 at 1/50 dilution, followed by ab150077 AlexaFluor®488 Goat anti-Rabbit secondary antibody at 1/1000 dilution (Green). Confocal image showing membranous staining in HT-29 cell line is observed. ab195889 Anti-alpha Tubulin antibody [DM1A] - Microtubule Marker (Alexa Fluor® 594) was used to counterstain tubulin at 1/200 dilution (Red). The nuclear counterstain was DAPI (Blue).

Secondary antibody only control : ab150077 AlexaFluor®488 Goat anti-Rabbit secondary at 1/1000 dilution.

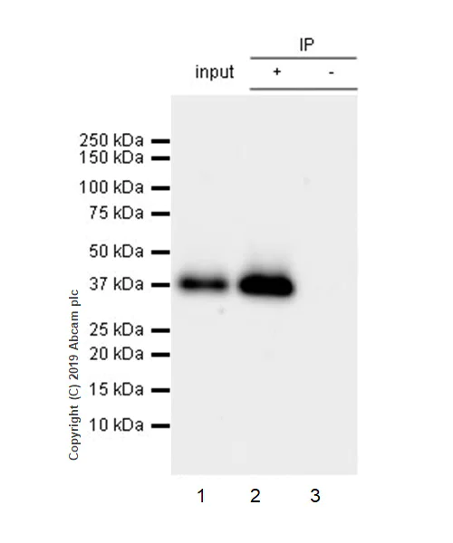
Immunoprecipitation - Anti-Junctional Adhesion Molecule 1/JAM-A antibody [EPR23244-12] (AB269948)
  • IP

Unknown

Immunoprecipitation - Anti-Junctional Adhesion Molecule 1/JAM-A antibody [EPR23244-12] (AB269948)

Junctional Adhesion Molecule 1/JAM-A was immunoprecipitated from 0.35 mg human lung lysate 10μg with ab269948 at 1/30 dilution (2μg in 0.35 mg lysates). Western blot was performed on the immunoprecipitate using ab269948 at 1/500 dilution. VeriBlot for IP Detection Reagent (HRP) (ab131366) was used at 1/1000 dilution.

Lane 1 : Human lung lysate 10μg.

Lane 2 : ab269948 IP in human lung lysate.

Lane 3 : Rabbit monoclonal IgG (ab172730) instead of ab269948 in human lung lysate.

Blocking and dilution buffer and concentration : 5% NFDM/TBST.

Exposure time : 15 seconds.

All lanes:

Immunoprecipitation - Anti-Junctional Adhesion Molecule 1/JAM-A antibody [EPR23244-12] (ab269948)

Predicted band size: 32 kDa

false

Immunoprecipitation - Anti-Junctional Adhesion Molecule 1/JAM-A antibody [EPR23244-12] (AB269948)
  • IP

Unknown

Immunoprecipitation - Anti-Junctional Adhesion Molecule 1/JAM-A antibody [EPR23244-12] (AB269948)

Junctional Adhesion Molecule 1/JAM-A was immunoprecipitated from 0.35 mg HT-29 (Human colorectal adenocarcinoma epithelial cell) whole cell lysate 10μg with ab269948 at 1/30 dilution (2μg in 0.35 mg lysates). Western blot was performed on the immunoprecipitate using ab269948 at 1/500 dilution. VeriBlot for IP Detection Reagent (HRP) (ab131366) was used at 1/1000 dilution.

Lane 1 : HT-29 whole cell lysate 10μg.

Lane 2 : ab269948 IP in HT-29 whole cell lysate.

Lane 3 : Rabbit monoclonal IgG (ab172730) instead of ab269948 in HT-29 whole cell lysate.

Blocking and dilution buffer and concentration : 5% NFDM/TBST.

Exposure time : 15 seconds.

All lanes:

Immunoprecipitation - Anti-Junctional Adhesion Molecule 1/JAM-A antibody [EPR23244-12] (ab269948)

Predicted band size: 32 kDa

false

Western blot - Anti-Junctional Adhesion Molecule 1/JAM-A antibody [EPR23244-12] (AB269948)
  • WB

Lab

Western blot - Anti-Junctional Adhesion Molecule 1/JAM-A antibody [EPR23244-12] (AB269948)

Blocking and diluting buffer and concentration : 5% NFDM/TBST.

The expression profile/ molecular weight observed is consistent with what has been described in the literature (PMID : 10698320, 10753840).

Low expression control : THP-1 and Molt-4 (PMID : 10698320).

Exposure time : Lanes 1-5 : 15 seconds; Lane 6 : 70 seconds.

All lanes:

Western blot - Anti-Junctional Adhesion Molecule 1/JAM-A antibody [EPR23244-12] (ab269948) at 1/1000 dilution

Lane 1:

Human lung lysate at 20 µg

Lane 2:

HT-29 (human colorectal adenocarcinoma epithelial cell) whole cell lysate at 20 µg

Lane 3:

THP-1 (human monocytic leukemia monocyte) whole cell lysate at 20 µg

Lane 4:

HUVEC (human umbilical vein endothelial cell) whole cell lysate at 20 µg

Lane 5:

MOLT-4 (human lymphoblastic leukemia t lymphoblast) whole cell lysate at 20 µg

Lane 6:

TF-1 (human erythroleukemia erythroblast) whole cell lysate at 20 µg

Secondary

All lanes:

Western blot - Goat Anti-Rabbit IgG H&L (HRP) (<a href='/en-us/products/secondary-antibodies/goat-rabbit-igg-h-l-hrp-ab97051'>ab97051</a>) at 1/50000 dilution

Predicted band size: 32 kDa

Observed band size: 35 kDa

false

Key facts

Host species

Rabbit

Clonality

Monoclonal

Clone number

EPR23244-12

Isotype

IgG

Carrier free

No

Reacts with

Human

Applications

ICC/IF, WB, Flow Cyt, IP

applications

Immunogen

The exact immunogen used to generate this antibody is proprietary information.

Reactivity data

{ "title": "Reactivity Data", "filters": { "stats": ["", "Species", "Dilution Info", "Notes"], "tabs": { "all-applications": {"fullname" : "All Applications", "shortname": "All Applications"}, "IP" : {"fullname" : "Immunoprecipitation", "shortname":"IP"}, "FlowCyt" : {"fullname" : "Flow Cytometry", "shortname":"Flow Cyt"}, "WB" : {"fullname" : "Western blot", "shortname":"WB"}, "IHCP" : {"fullname" : "Immunohistochemistry (Formalin/PFA-fixed paraffin-embedded sections)", "shortname":"IHC-P"}, "ICCIF" : {"fullname" : "Immunocytochemistry/ Immunofluorescence", "shortname":"ICC/IF"} }, "product-promise": { "all": "all", "testedAndGuaranteed": "tested", "guaranteed": "expected", "predicted": "predicted", "notRecommended": "not-recommended" } }, "values": { "Human": { "IP-species-checked": "testedAndGuaranteed", "IP-species-dilution-info": "1/30", "IP-species-notes": "<p></p>", "FlowCyt-species-checked": "testedAndGuaranteed", "FlowCyt-species-dilution-info": "1/500", "FlowCyt-species-notes": "<p></p>", "WB-species-checked": "testedAndGuaranteed", "WB-species-dilution-info": "1/1000", "WB-species-notes": "<p></p>", "IHCP-species-checked": "notRecommended", "IHCP-species-dilution-info": "", "IHCP-species-notes": "<p></p>", "ICCIF-species-checked": "testedAndGuaranteed", "ICCIF-species-dilution-info": "1/50", "ICCIF-species-notes": "<p></p>" } } }

Product details

Patented technology
Our RabMAb® technology is a patented hybridoma-based technology for making rabbit monoclonal antibodies. For details on our patents, please refer to RabMAb® patents.

What are the advantages of a recombinant monoclonal antibody?
This product is a recombinant monoclonal antibody, which offers several advantages including:

  • - High batch-to-batch consistency and reproducibility
  • - Improved sensitivity and specificity
  • - Long-term security of supply
  • - Animal-free batch production

For more information, read more on recombinant antibodies.

Properties and storage information

Form
Liquid
Purification technique
Affinity purification Protein A
Storage buffer
pH: 7.2 - 7.4 Preservative: 0.01% Sodium azide Constituents: PBS, 40% Glycerol (glycerin, glycerine), 0.05% BSA
Shipped at conditions
Blue Ice
Appropriate short-term storage duration
1-2 weeks
Appropriate short-term storage conditions
+4°C
Appropriate long-term storage conditions
-20°C
Aliquoting information
Upon delivery aliquot
Storage information
Avoid freeze / thaw cycle

Supplementary information

This supplementary information is collated from multiple sources and compiled automatically.

Junctional Adhesion Molecule 1 also known as JAM-A or JAM-A protein is a member of the immunoglobulin superfamily. It has a mass of roughly 32 kDa. This molecule functions in tight junctions of epithelial and endothelial cells playing an important role in regulating paracellular permeability. JAM-A is expressed in tissues where tight junctions are present including the skin gastrointestinal tract and endothelia throughout the body.
Biological function summary

JAM-A functions as a cell adhesion molecule influencing processes like leukocyte transmigration and epithelial barrier formation. It does not act alone but rather forms complexes with other proteins at cell junctions. JAM-A interacts with other junctional proteins like occludin and claudins contributing to the structure and function of tight junctions.

Pathways

JAM-A participates in cellular processes involving inflammation and cell migration. It is an integral part of the signal transduction pathways that regulate leukocyte migration an important aspect of immune response. JAM-A is also associated with G-protein coupled receptors in these pathways highlighting its role in regulating intracellular signaling that affects cell adhesion and migration.

JAM-A has connections with cancer progression and cardiovascular diseases. Its overexpression has been linked to several cancers including breast cancer due to its role in enhancing cell migration and invasion. In cardiovascular diseases JAM-A interacts with platelet-endothelial cell adhesion molecule-1 (PECAM-1) influencing the inflammatory response within vascular tissues. Understanding these interactions can aid in developing therapeutic strategies targeting JAM-A in related diseases.

Product protocols

For this product, it's our understanding that no specific protocols are required. You can visit:

Target data

Seems to play a role in epithelial tight junction formation. Appears early in primordial forms of cell junctions and recruits PARD3 (PubMed : 11489913). The association of the PARD6-PARD3 complex may prevent the interaction of PARD3 with JAM1, thereby preventing tight junction assembly (By similarity). Plays a role in regulating monocyte transmigration involved in integrity of epithelial barrier (By similarity). Ligand for integrin alpha-L/beta-2 involved in memory T-cell and neutrophil transmigration (PubMed : 11812992). Involved in platelet activation (PubMed : 10753840).. (Microbial infection) Acts as a receptor for Mammalian reovirus sigma-1.. (Microbial infection) Acts as a receptor for Human Rotavirus strain Wa.
See full target information F11R

Publications (5)

Recent publications for all applications. Explore the full list and refine your search

International journal of molecular sciences 26: PubMed40430063

2025

Exploring the Bone-Liver Axis: Impact of Acute Ethanol Intoxication on Post-Traumatic Liver Inflammation and Damage Following Femur Fracture.

Applications

Unspecified application

Species

Unspecified reactive species

Jasmin Maria Bülow,Helen Rinderknecht,Nils Becker,Kernt Köhler,Alessa Wagner,Yuntao Yang,Katrin Bundkirchen,Claudia Neunaber,Borna Relja

JCI insight 9: PubMed39133648

2024

Chlorination of epithelial tight junction proteins by neutrophil myeloperoxidase promotes barrier dysfunction and mucosal inflammation.

Applications

Unspecified application

Species

Unspecified reactive species

Ian M Cartwright,Liheng Zhou,Samuel D Koch,Nichole Welch,Daniel Zakharov,Rosemary Callahan,Calen A Steiner,Mark E Gerich,Joseph C Onyiah,Sean P Colgan

Journal of experimental & clinical cancer research : CR 43:103 PubMed38570866

2024

Mesothelin promotes brain metastasis of non-small cell lung cancer by activating MET.

Applications

Unspecified application

Species

Unspecified reactive species

Shengkai Xia,Wenzhe Duan,Mingxin Xu,Mengqi Li,Mengyi Tang,Song Wei,Manqing Lin,Encheng Li,Wenwen Liu,Qi Wang

Molecular medicine (Cambridge, Mass.) 28:52 PubMed35508992

2022

Resveratrol ameliorates liver fibrosis induced by nonpathogenic Staphylococcus in BALB/c mice through inhibiting its growth.

Applications

Unspecified application

Species

Unspecified reactive species

Zhiqin Li,Jianxia Dong,Meng Wang,Jingya Yan,Yushu Hu,Yang Liu,Yajie Pan,Hua Li

Acta pharmaceutica Sinica. B 11:3950-3965 PubMed35024318

2021

Bioengineered miR-124-3p prodrug selectively alters the proteome of human carcinoma cells to control multiple cellular components and lung metastasis .

Applications

Unspecified application

Species

Unspecified reactive species

Linglong Deng,Hannah Petrek,Mei-Juan Tu,Neelu Batra,Ai-Xi Yu,Ai-Ming Yu
View all publications

Product promise

We are committed to supporting your work with high-quality reagents, and we're here for you every step of the way. In the unlikely event that one of our products does not perform as expected, you're protected by our Product Promise.
For full details, please see our Terms & Conditions

Please note: All products are 'FOR RESEARCH USE ONLY. NOT FOR USE IN DIAGNOSTIC OR THERAPEUTIC PROCEDURES'.

For licensing inquiries, please contact partnerships@abcam.com