JavaScript is disabled in your browser. Please enable JavaScript to view this website.
AB28837

Anti-JunD antibody

5

(1 Review)

|

(11 Publications)

Rabbit Polyclonal JUND antibody. Suitable for WB, IHC-P and reacts with Human samples. Cited in 11 publications. Immunogen corresponding to Synthetic Peptide within Human Transcription factor jun-D.

View Alternative Names

Transcription factor JunD, Transcription factor AP-1 subunit JunD, JUND

2 Images
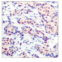
Immunohistochemistry (Formalin/PFA-fixed paraffin-embedded sections) - Anti-JunD antibody (AB28837)
  • IHC-P

Unknown

Immunohistochemistry (Formalin/PFA-fixed paraffin-embedded sections) - Anti-JunD antibody (AB28837)

Immunohistochemical analysis of paraffin embedded human breast carcinoma, using 1/50 JunD Antibody(ab28837).

Western blot - Anti-JunD antibody (AB28837)
  • WB

Unknown

Western blot - Anti-JunD antibody (AB28837)

All lanes:

Western blot - Anti-JunD antibody (ab28837) at 1/500 dilution

All lanes:

extracts from Hela cells.

Predicted band size: 35 kDa

Observed band size: 43 kDa

false

Key facts

Host species

Rabbit

Clonality

Polyclonal

Isotype

IgG

Carrier free

No

Reacts with

Human

Applications

WB, IHC-P

applications

Immunogen

Synthetic Peptide within Human Transcription factor jun-D. The exact immunogen used to generate this antibody is proprietary information.

P17535

Reactivity data

{ "title": "Reactivity Data", "filters": { "stats": ["", "Species", "Dilution Info", "Notes"], "tabs": { "all-applications": {"fullname" : "All Applications", "shortname": "All Applications"}, "WB" : {"fullname" : "Western blot", "shortname":"WB"}, "IHCP" : {"fullname" : "Immunohistochemistry (Formalin/PFA-fixed paraffin-embedded sections)", "shortname":"IHC-P"} }, "product-promise": { "all": "all", "testedAndGuaranteed": "tested", "guaranteed": "expected", "predicted": "predicted", "notRecommended": "not-recommended" } }, "values": { "Human": { "WB-species-checked": "testedAndGuaranteed", "WB-species-dilution-info": "1/500 - 1/1000", "WB-species-notes": "<p></p>", "IHCP-species-checked": "testedAndGuaranteed", "IHCP-species-dilution-info": "", "IHCP-species-notes": "<p></p>" } } }

Properties and storage information

Form
Liquid
Purification technique
Affinity purification Immunogen
Storage buffer
pH: 7.4 Preservative: 0.02% Sodium azide Constituents: PBS, 50% Glycerol (glycerin, glycerine), 0.87% Sodium chloride
Shipped at conditions
Blue Ice
Appropriate short-term storage duration
1-2 weeks
Appropriate short-term storage conditions
+4°C
Appropriate long-term storage conditions
-20°C
Aliquoting information
Upon delivery aliquot

Supplementary information

This supplementary information is collated from multiple sources and compiled automatically.

The JunD transcription factor also known as JunD protein belongs to the AP-1 family of transcription factors. It has a mass of approximately 39 kDa. JunD primarily acts by forming dimers with other proteins such as c-Fos and c-Jun. These dimers bind to specific DNA sequences regulating gene expression. JunD shows expression in various tissues but is more abundant in non-dividing and differentiated cells where it helps modulate specific cellular processes.
Biological function summary

JunD plays a significant role by influencing cellular proliferation and differentiation. It is often part of a multiprotein complex which can include members of the Fos family and other Jun proteins. These complexes interact with DNA to control the transcription of genes involved in cell cycle regulation apoptosis and stress responses. Different stimuli can alter the composition of these complexes highlighting JunD's adaptability in cellular signaling.

Pathways

JunD interacts within the MAPK signaling pathway and the oxidative stress response pathway. In the MAPK pathway it can interact with proteins such as ERK and JNK which are critical mediators of cellular responses to growth factors and stress. In the oxidative stress response JunD regulates genes that protect cells from oxidative damage showing its influence on maintaining cellular homeostasis. Other proteins like ATF2 may also interact with JunD within these pathways contributing to transcriptional regulation.

JunD has connections to cancer and neurodegenerative diseases. Its role in regulating cell proliferation links it to tumorigenesis where alterations in its function can lead to uncontrolled cell growth. Additionally in neurodegenerative disorders JunD's influence on oxidative stress response genes may impact disease progression. Furthermore JunD's interaction with the protein Bcl2 associates it with the protection of cells from apoptotic signals illustrating its potential impact on disease development and progression.

Product protocols

For this product, it's our understanding that no specific protocols are required. You can visit:

Target data

Transcription factor binding AP-1 sites (PubMed : 9989505). Heterodimerizes with proteins of the FOS family to form an AP-1 transcription factor complex, thereby enhancing their DNA binding activity to an AP-1 consensus sequence 3'-TGA[GC]TCA-5' and enhancing their transcriptional activity (PubMed : 28981703, PubMed : 9989505).
See full target information Transcription factor jun-D

Publications (11)

Recent publications for all applications. Explore the full list and refine your search

Circulation research : PubMed32815777

2020

Hyperglycemia Induces Myocardial Dysfunction via Epigenetic Regulation of JunD.

Applications

Unspecified application

Species

Unspecified reactive species

Shafaat Hussain,Abdul Waheed Khan,Alexander Akhmedov,Rosa Suades,Sarah Costantino,Francesco Paneni,Kenneth Caidahl,Shafeeq Ahmed Mohammed,Camilla Hage,Christos Gkolfos,Hanna M Björck,John Pernow,Lars H Lund,Thomas F Lüscher,Francesco Cosentino

Medical science monitor : international medical jo 26:e921738 PubMed32672153

2020

Alisma Shugan Decoction (ASD) Ameliorates Hepatotoxicity and Associated Liver Dysfunction by Inhibiting Oxidative Stress and p65/Nrf2/JunD Signaling Dysregulation In Vivo.

Applications

Unspecified application

Species

Unspecified reactive species

Yunfeng Sun,Honghua Pan,Shenghui Shen,Zhongni Xia,Zhongmin Yu,ChengLe Li,Pingping Sun,Chuanwei Xin

Cell biochemistry and function 38:1017-1024 PubMed32495394

2020

microRNA-124-3p inhibits tumourigenesis by targeting mitogen-activated protein kinase 4 in papillary thyroid carcinoma.

Applications

Unspecified application

Species

Unspecified reactive species

Yu Sun,Liwei Zhang,Suzhen Zhang

Cancer medicine 9:5200-5209 PubMed32441484

2020

Identification of the key genes associated with chemotherapy sensitivity in ovarian cancer patients.

Applications

Unspecified application

Species

Unspecified reactive species

Hui Zheng,Meiqin Zhang,Shuang Ma,Wenting Yang,Suhong Xie,Yanchun Wang,Yixuan Liu,Jinyan Kai,Qian Ma,Renquan Lu,Lin Guo

Nature communications 11:1019 PubMed32094355

2020

Altered chromatin landscape and enhancer engagement underlie transcriptional dysregulation in MED12 mutant uterine leiomyomas.

Applications

Unspecified application

Species

Unspecified reactive species

Mthabisi B Moyo,J Brandon Parker,Debabrata Chakravarti

Nature communications 10:4579 PubMed31594926

2019

HIF1α inhibition facilitates Leflunomide-AHR-CRP signaling to attenuate bone erosion in CRP-aberrant rheumatoid arthritis.

Applications

Unspecified application

Species

Unspecified reactive species

Chao Liang,Jie Li,Cheng Lu,Duoli Xie,Jin Liu,Chuanxin Zhong,Xiaohao Wu,Rongchen Dai,Huarui Zhang,Daogang Guan,Baosheng Guo,Bing He,Fangfei Li,Xiaojuan He,Wandong Zhang,Bao-Ting Zhang,Ge Zhang,Aiping Lu

Nature communications 7:12098 PubMed27384883

2016

Functional characterization of the 12p12.1 renal cancer-susceptibility locus implicates BHLHE41.

Applications

EMSA

Species

Unspecified reactive species

Pierre Bigot,Leandro M Colli,Mitchell J Machiela,Lea Jessop,Timothy A Myers,Julie Carrouget,Sarah Wagner,David Roberson,Caroline Eymerit,Daniel Henrion,Stephen J Chanock

Journal of hematology & oncology 8:120 PubMed26503334

2015

NLK functions to maintain proliferation and stemness of NSCLC and is a target of metformin.

Applications

Unspecified application

Species

Human

Dong Suwei,Zeng Liang,Liu Zhimin,Li Ruilei,Zou Yingying,Li Zhen,Ge Chunlei,Lai Zhangchao,Xue Yuanbo,Yang Jinyan,Li Gaofeng,Song Xin

The Journal of neuroscience : the official journal of the Society for Neuroscience 35:13773-83 PubMed26446228

2015

Experience-Dependent Induction of Hippocampal ΔFosB Controls Learning.

Applications

Unspecified application

Species

Unspecified reactive species

Andrew L Eagle,Paula A Gajewski,Miyoung Yang,Megan E Kechner,Basma S Al Masraf,Pamela J Kennedy,Hongbing Wang,Michelle S Mazei-Robison,Alfred J Robison

Carcinogenesis 31:1561-6 PubMed20622002

2010

Resveratrol decreases the levels of miR-155 by upregulating miR-663, a microRNA targeting JunB and JunD.

Applications

WB

Species

Human

Esmerina Tili,Jean-Jacques Michaille,Brett Adair,Hansjuerg Alder,Emeric Limagne,Cristian Taccioli,Manuela Ferracin,Dominique Delmas,Norbert Latruffe,Carlo M Croce
View all publications

Product promise

We are committed to supporting your work with high-quality reagents, and we're here for you every step of the way. In the unlikely event that one of our products does not perform as expected, you're protected by our Product Promise.
For full details, please see our Terms & Conditions

Please note: All products are 'FOR RESEARCH USE ONLY. NOT FOR USE IN DIAGNOSTIC OR THERAPEUTIC PROCEDURES'.

For licensing inquiries, please contact partnerships@abcam.com