JavaScript is disabled in your browser. Please enable JavaScript to view this website.
AB250081

Anti-JunD (phospho S100) + c-Jun (phospho S73) antibody [EPR16586] - BSA and Azide free

Be the first to review this product! Submit a review

|

(1 Publication)

Rabbit Recombinant Monoclonal c-Jun phospho S73 antibody. Carrier free. Suitable for IP, Dot, WB, IHC-P and reacts with Human, Mouse, Rat, Synthetic peptide samples. Cited in 1 publication.

View Alternative Names

Transcription factor Jun, Activator protein 1, Proto-oncogene c-Jun, Transcription factor AP-1 subunit Jun, V-jun avian sarcoma virus 17 oncogene homolog, p39, AP1, JUN

10 Images
Immunohistochemistry (Formalin/PFA-fixed paraffin-embedded sections) - Anti-JunD (phospho S100) + c-Jun (phospho S73) antibody [EPR16586] - BSA and Azide free (AB250081)
  • IHC-P

Supplier Data

Immunohistochemistry (Formalin/PFA-fixed paraffin-embedded sections) - Anti-JunD (phospho S100) + c-Jun (phospho S73) antibody [EPR16586] - BSA and Azide free (AB250081)

This data was developed using ab178858, the same antibody clone in a different buffer formulation.

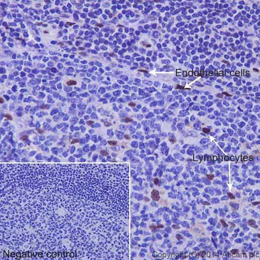
Immunohistochemical analysis of paraffin-embedded Human tonsil tissue labeling JunD (phospho S100) + c-Jun (phospho S73) with ab178858 at 1/1000 dilution, followed by Goat Anti-Rabbit IgG H&L (HRP) (ab97051) at 1/500 dilution. Nuclear staining on lymphocytes and endothelial cells of Human tonsil is observed. Counter stained with Hematoxylin.

Negative Control : Used PBS instead of primary antibody, secondary antibody is ab97051 at 1/500 dilution.

Perform heat mediated antigen retrieval with Tris/EDTA buffer pH 9.0 before commencing with IHC staining protocol.

Immunoprecipitation - Anti-JunD (phospho S100) + c-Jun (phospho S73) antibody [EPR16586] - BSA and Azide free (AB250081)
  • IP

Supplier Data

Immunoprecipitation - Anti-JunD (phospho S100) + c-Jun (phospho S73) antibody [EPR16586] - BSA and Azide free (AB250081)

This data was developed using ab178858, the same antibody clone in a different buffer formulation.

JunD (phospho S100) + c-Jun (phospho S73) were immunoprecipitated from 1mg of HeLa (Human epithelial cell line from cervix adenocarcinoma), treated with 250ng/ml Anisomycin for 30 minutes, whole cell extract with ab178858 at 1/100 dilution. Western blot was performed from the immunoprecipitate using ab178858 at 1/1000 dilution. Anti-Rabbit IgG (HRP), specific to the non-reduced form of IgG was used as secondary antibody at 1/1500 dilution.
Lane 1 : HeLa, treated with 250ng/ml Anisomycin for 30 minutes, whole cell extract
Lane 2 : PBS.
Blocking and dilution buffer and concentration : 5% NFDM/TBST.
Exposure time : 10 seconds.

Per the blast, ab178858 could recognize JunD (phospho Ser100) with 100% homology. Multi-bands are due to c-Jun (phospho Ser73) & JunD (phospho Ser100)

All lanes:

Immunoprecipitation - Anti-JunD (phospho S100) + c-Jun (phospho S73) antibody [EPR16586] (<a href='/en-us/products/primary-antibodies/jund-phospho-s100-c-jun-phospho-s73-antibody-epr16586-ab178858'>ab178858</a>)

false

Immunohistochemistry (Formalin/PFA-fixed paraffin-embedded sections) - Anti-JunD (phospho S100) + c-Jun (phospho S73) antibody [EPR16586] - BSA and Azide free (AB250081)
  • IHC-P

Supplier Data

Immunohistochemistry (Formalin/PFA-fixed paraffin-embedded sections) - Anti-JunD (phospho S100) + c-Jun (phospho S73) antibody [EPR16586] - BSA and Azide free (AB250081)

This data was developed using ab178858, the same antibody clone in a different buffer formulation.

Immunohistochemical analysis of paraffin-embedded rat liver tissue labeling JunD (phospho S100) + c-Jun (phospho S73) with ab178858 at 1/1000 dilution, followed by Goat Anti-Rabbit IgG H&L (HRP) (ab97051) at 1/500 dilution. Nuclear staining on bile duct epithelial cells while no staining on hepatocytes of rat liver is observed. Counter stained with Hematoxylin.

Negative control : Used PBS instead of primary antibody, secondary antibody is ab97051 at 1/500 dilution.

Perform heat mediated antigen retrieval with Tris/EDTA buffer pH 9.0 before commencing with IHC staining protocol.

Immunohistochemistry (Formalin/PFA-fixed paraffin-embedded sections) - Anti-JunD (phospho S100) + c-Jun (phospho S73) antibody [EPR16586] - BSA and Azide free (AB250081)
  • IHC-P

Supplier Data

Immunohistochemistry (Formalin/PFA-fixed paraffin-embedded sections) - Anti-JunD (phospho S100) + c-Jun (phospho S73) antibody [EPR16586] - BSA and Azide free (AB250081)

This data was developed using ab178858, the same antibody clone in a different buffer formulation.

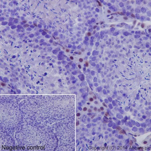
Immunohistochemical analysis of paraffin-embedded mouse testis tissue labeling JunD (phospho S100) + c-Jun (phospho S73) with ab178858 at 1/1000 dilution, followed by Goat Anti-Rabbit IgG H&L (HRP) (ab97051) at 1/500 dilution. Nuclear staining on spermatogoniums and Leydig cells of mouse testis is observed. Counter stained with Hematoxylin.

Negative Control : Used PBS instead of primary antibody, secondary antibody is ab97051 at 1/500 dilution.

Perform heat mediated antigen retrieval with Tris/EDTA buffer pH 9.0 before commencing with IHC staining protocol.

Western blot - Anti-JunD (phospho S100) + c-Jun (phospho S73) antibody [EPR16586] - BSA and Azide free (AB250081)
  • WB

Supplier Data

Western blot - Anti-JunD (phospho S100) + c-Jun (phospho S73) antibody [EPR16586] - BSA and Azide free (AB250081)

This data was developed using ab178858, the same antibody clone in a different buffer formulation.

Blocking and dilution buffer : 5% NFDM/TBST.

Per the blast, ab178858 could recognize JunD (phospho Ser100) with 100% homology. Multi-bands are due to c-Jun (phospho Ser73) &; JunD (phospho Ser100).

All lanes:

Western blot - Anti-JunD (phospho S100) + c-Jun (phospho S73) antibody [EPR16586] (<a href='/en-us/products/primary-antibodies/jund-phospho-s100-c-jun-phospho-s73-antibody-epr16586-ab178858'>ab178858</a>) at 1/10000 dilution

Lane 1:

HeLa (Human epithelial cell line from cervix adenocarcinoma) treated with 250 ng/ml Anisomycin for 30 minutes whole cell lysate at 10 µg

Lane 2:

Untreated HeLa (Human epithelial cell line from cervix adenocarcinoma) whole cell lysate at 10 µg

Secondary

All lanes:

Goat Anti-Rabbit IgG,(H+L),Peroxidase conjugated at 1/1000 dilution

Predicted band size: 36 kDa

Observed band size: 40 kDa,45 kDa,48 kDa

false

Exposure time: 3min

Western blot - Anti-JunD (phospho S100) + c-Jun (phospho S73) antibody [EPR16586] - BSA and Azide free (AB250081)
  • WB

Supplier Data

Western blot - Anti-JunD (phospho S100) + c-Jun (phospho S73) antibody [EPR16586] - BSA and Azide free (AB250081)

This data was developed using ab178858, the same antibody clone in a different buffer formulation.

Blocking and dilution buffer : 5% NFDM/TBST.

All lanes:

Western blot - Anti-JunD (phospho S100) + c-Jun (phospho S73) antibody [EPR16586] (<a href='/en-us/products/primary-antibodies/jund-phospho-s100-c-jun-phospho-s73-antibody-epr16586-ab178858'>ab178858</a>) at 1/10000 dilution

Lane 1:

HeLa (Human epithelial cell line from cervix adenocarcinoma) treated with 250 ng/ml Anisomycin for 30 minutes whole cell lysate at 10 µg

Lane 2:

HeLa (Human epithelial cell line from cervix adenocarcinoma) treated with 250 ng/ml Anisomycin for 30 minutes, whole cell lysate treated with Alkaline Phosphatase at 10 µg

Secondary

All lanes:

Goat Anti-Rabbit IgG,(H+L),Peroxidase conjugated at 1/1000 dilution

Predicted band size: 36 kDa

Observed band size: 40 kDa,45 kDa

false

Exposure time: 3min

Western blot - Anti-JunD (phospho S100) + c-Jun (phospho S73) antibody [EPR16586] - BSA and Azide free (AB250081)
  • WB

Supplier Data

Western blot - Anti-JunD (phospho S100) + c-Jun (phospho S73) antibody [EPR16586] - BSA and Azide free (AB250081)

This data was developed using ab178858, the same antibody clone in a different buffer formulation.

Blocking and dilution buffer : 5% NFDM/TBST.

Lanes 1, 4 and 5:

Western blot - Anti-JunD (phospho S100) + c-Jun (phospho S73) antibody [EPR16586] (<a href='/en-us/products/primary-antibodies/jund-phospho-s100-c-jun-phospho-s73-antibody-epr16586-ab178858'>ab178858</a>)

Lanes 2 - 3:

Western blot - Anti-JunD (phospho S100) + c-Jun (phospho S73) antibody [EPR16586] (<a href='/en-us/products/primary-antibodies/jund-phospho-s100-c-jun-phospho-s73-antibody-epr16586-ab178858'>ab178858</a>) at 1/10000 dilution

Lanes 1, 3 and 5:

Untreated HeLa (Human epithelial cell line from cervix adenocarcinoma) whole cell lysate at 10 µg

Lanes 2 and 4:

HeLa (Human epithelial cell line from cervix adenocarcinoma) treated with 250 ng/ml Anisomycin for 30 minutes whole cell lysate at 10 µg

Secondary

All lanes:

Goat Anti-Rabbit IgG,(H+L),Peroxidase conjugated at 1/1000 dilution

Predicted band size: 36 kDa

Observed band size: 40 kDa,45 kDa

false

Exposure time: 3min

Western blot - Anti-JunD (phospho S100) + c-Jun (phospho S73) antibody [EPR16586] - BSA and Azide free (AB250081)
  • WB

Supplier Data

Western blot - Anti-JunD (phospho S100) + c-Jun (phospho S73) antibody [EPR16586] - BSA and Azide free (AB250081)

This data was developed using ab178858, the same antibody clone in a different buffer formulation.

Blocking and dilution buffer : 5% NFDM/TBST.

Per the blast, ab178858 could recognize JunD (phospho Ser100) with 100% homology. Multi-bands are due to c-Jun (phospho Ser73) &; JunD (phospho Ser100).

All lanes:

Western blot - Anti-JunD (phospho S100) + c-Jun (phospho S73) antibody [EPR16586] (<a href='/en-us/products/primary-antibodies/jund-phospho-s100-c-jun-phospho-s73-antibody-epr16586-ab178858'>ab178858</a>) at 1/10000 dilution

Lane 1:

NIH/3T3 (Mouse embryo fibroblast cell line) treated with 250 ng/ml Anisomycin for 30 minutes whole cell lysate at 10 µg

Lane 2:

Untreated NIH/3T3 (Mouse embryo fibroblast cell line) whole cell lysate at 10 µg

Secondary

All lanes:

Goat Anti-Rabbit IgG,(H+L),Peroxidase conjugated at 1/1000 dilution

Predicted band size: 36 kDa

Observed band size: 40 kDa,45 kDa

false

Exposure time: 1min

Western blot - Anti-JunD (phospho S100) + c-Jun (phospho S73) antibody [EPR16586] - BSA and Azide free (AB250081)
  • WB

Supplier Data

Western blot - Anti-JunD (phospho S100) + c-Jun (phospho S73) antibody [EPR16586] - BSA and Azide free (AB250081)

This data was developed using ab178858, the same antibody clone in a different buffer formulation.

Blocking and dilution buffer : 5% NFDM/TBST.

Per the blast, ab178858 could recognize JunD (phospho Ser100) with 100% homology. Multi-bands are due to c-Jun (phospho Ser73) &; JunD (phospho Ser100).

All lanes:

Western blot - Anti-JunD (phospho S100) + c-Jun (phospho S73) antibody [EPR16586] (<a href='/en-us/products/primary-antibodies/jund-phospho-s100-c-jun-phospho-s73-antibody-epr16586-ab178858'>ab178858</a>) at 1/1000 dilution

Lane 1:

RAW 264.7 (Mouse macrophage cell line transformed with Abelson murine leukemia virus) whole cell lysate at 10 µg

Lane 2:

PC-12 (Rat adrenal gland pheochromocytoma cell line) whole cell lysate at 10 µg

Secondary

All lanes:

Goat Anti-Rabbit IgG,(H+L),Peroxidase conjugated at 1/1000 dilution

Predicted band size: 36 kDa

Observed band size: 40 kDa,45 kDa

false

Exposure time: 3min

Dot Blot - Anti-JunD (phospho S100) + c-Jun (phospho S73) antibody [EPR16586] - BSA and Azide free (AB250081)
  • Dot

Supplier Data

Dot Blot - Anti-JunD (phospho S100) + c-Jun (phospho S73) antibody [EPR16586] - BSA and Azide free (AB250081)

This data was developed using ab178858, the same antibody clone in a different buffer formulation.

Dot blot analysis of JunD (phospho S100) + c-Jun (phospho S73) peptide (Lane 1) and non-phospho peptide (Lane 2) labeled using ab178858 at 1/1000 dilution, followed by Goat Anti-Rabbit IgG, (H+L), Peroxidase conjugated secondary antibody at 1/1000 dilution.

Blocking/Dilution buffer : 5% NFDM/TBST.

Exposure time : 3 minutes.

  • Unconjugated

    Anti-JunD (phospho S100) + c-Jun (phospho S73) antibody [EPR16586]

Key facts

Host species

Rabbit

Clonality

Monoclonal

Clone number

EPR16586

Isotype

IgG

Carrier free

Yes

Reacts with

Mouse, Rat, Human

Applications

IP, IHC-P, WB, Dot

applications

Immunogen

The exact immunogen used to generate this antibody is proprietary information.

Reactivity data

{ "title": "Reactivity Data", "filters": { "stats": ["", "Species", "Dilution Info", "Notes"], "tabs": { "all-applications": {"fullname" : "All Applications", "shortname": "All Applications"}, "IP" : {"fullname" : "Immunoprecipitation", "shortname":"IP"}, "Dot" : {"fullname" : "Dot Blot", "shortname":"Dot"}, "WB" : {"fullname" : "Western blot", "shortname":"WB"}, "IHCP" : {"fullname" : "Immunohistochemistry (Formalin/PFA-fixed paraffin-embedded sections)", "shortname":"IHC-P"} }, "product-promise": { "all": "all", "testedAndGuaranteed": "tested", "guaranteed": "expected", "predicted": "predicted", "notRecommended": "not-recommended" } }, "values": { "Human": { "IP-species-checked": "testedAndGuaranteed", "IP-species-dilution-info": "", "IP-species-notes": "<p></p>", "Dot-species-checked": "guaranteed", "Dot-species-dilution-info": "", "Dot-species-notes": "", "WB-species-checked": "guaranteed", "WB-species-dilution-info": "", "WB-species-notes": "", "IHCP-species-checked": "guaranteed", "IHCP-species-dilution-info": "", "IHCP-species-notes": "" }, "Mouse": { "IP-species-checked": "guaranteed", "IP-species-dilution-info": "", "IP-species-notes": "", "Dot-species-checked": "guaranteed", "Dot-species-dilution-info": "", "Dot-species-notes": "", "WB-species-checked": "testedAndGuaranteed", "WB-species-dilution-info": "", "WB-species-notes": "<p></p>", "IHCP-species-checked": "guaranteed", "IHCP-species-dilution-info": "", "IHCP-species-notes": "" }, "Rat": { "IP-species-checked": "guaranteed", "IP-species-dilution-info": "", "IP-species-notes": "", "Dot-species-checked": "guaranteed", "Dot-species-dilution-info": "", "Dot-species-notes": "", "WB-species-checked": "guaranteed", "WB-species-dilution-info": "", "WB-species-notes": "", "IHCP-species-checked": "testedAndGuaranteed", "IHCP-species-dilution-info": "", "IHCP-species-notes": "<p></p>" }, "Synthetic peptide": { "IP-species-checked": "notRecommended", "IP-species-dilution-info": "", "IP-species-notes": "", "Dot-species-checked": "testedAndGuaranteed", "Dot-species-dilution-info": "", "Dot-species-notes": "<p></p>", "WB-species-checked": "notRecommended", "WB-species-dilution-info": "", "WB-species-notes": "", "IHCP-species-checked": "notRecommended", "IHCP-species-dilution-info": "", "IHCP-species-notes": "" } } }

Product details

ab250081 is the carrier-free version of ab178858.

Patented technology
Our RabMAb® technology is a patented hybridoma-based technology for making rabbit monoclonal antibodies. For details on our patents, please refer to RabMAb® patents.

What are the advantages of a recombinant monoclonal antibody?
This product is a recombinant monoclonal antibody, which offers several advantages including:

  • - High batch-to-batch consistency and reproducibility
  • - Improved sensitivity and specificity
  • - Long-term security of supply
  • - Animal-free batch production

For more information, read more on recombinant antibodies.

Conjugation ready
Our carrier-free antibodies are typically supplied in a PBS-only formulation, purified and free of BSA, sodium azide and glycerol. This conjugation-ready format is designed for use with fluorochromes, metal isotopes, oligonucleotides, and enzymes, which makes them ideal for antibody labelling, functional and cell-based assays, flow-based assays (e.g. mass cytometry) and Multiplex Imaging applications.

Use our conjugation kits for antibody conjugates that are ready-to-use in as little as 20 minutes with 1 minute hands-on-time and 100% antibody recovery: available for fluorescent dyes, HRP, biotin and gold.

Compatibility
This product is compatible with the Maxpar® Antibody Labeling Kit from Fluidigm, without the need for antibody preparation. Maxpar® is a trademark of Fluidigm Canada Inc.

Properties and storage information

Form
Liquid
Purification technique
Affinity purification Protein A
Storage buffer
pH: 7.2 - 7.4 Constituents: PBS
Shipped at conditions
Blue Ice
Appropriate short-term storage conditions
+4°C
Appropriate long-term storage conditions
+4°C
Storage information
Do Not Freeze

Supplementary information

This supplementary information is collated from multiple sources and compiled automatically.

JunD and c-Jun are transcription factors belonging to the AP-1 (Activator Protein-1) family. These proteins are important for regulating gene expression in response to a variety of stimuli. JunD is approximately 39 kDa while c-Jun is a bit smaller at approximately 35 kDa. Both proteins are expressed in various tissues including the heart brain and liver. Complexes formed by binding of these proteins with other family members like Fos Jun and ATF lead to changes in transcription activity.
Biological function summary

JunD and c-Jun influence cell proliferation differentiation and apoptosis. They frequently form homodimers or heterodimers particularly in cooperation with proteins like c-Fos for regulating target gene expression. JunD and c-Jun modulate cell cycle-related genes and interact with signaling molecules to control cellular responses impacting the balance between cell survival and programmed cell death.

Pathways

JunD and c-Jun play a central role in the MAPK (Mitogen-Activated Protein Kinase) signaling pathway a critical pathway for transducing extracellular signals into various cellular responses. In this pathway JunD and c-Jun phosphorylation influences their activity. These proteins associate with other factors such as c-Fos to regulate gene expression related to stress responses and immune function. They also participate in the JNK (c-Jun N-terminal kinase) pathway further emphasizing their role in cell fate decisions.

Abnormal JunD and c-Jun activity relate to cancer and neurodegenerative diseases. In certain cancers overexpression or mutations lead to uncontrolled cell proliferation due to altered gene transcription. In the neurological context dysregulation of these proteins associates with disorders like Alzheimer's disease where improper neuronal apoptosis occurs. In both scenarios their interaction with other proteins such as c-Fos underlines their importance in pathological conditions.

Product protocols

For this product, it's our understanding that no specific protocols are required. You can visit:

Target data

Transcription factor that recognizes and binds to the AP-1 consensus motif 5'-TGA[GC]TCA-3' (PubMed : 10995748, PubMed : 22083952). Heterodimerizes with proteins of the FOS family to form an AP-1 transcription complex, thereby enhancing its DNA binding activity to the AP-1 consensus sequence 5'-TGA[GC]TCA-3' and enhancing its transcriptional activity (By similarity). Together with FOSB, plays a role in activation-induced cell death of T cells by binding to the AP-1 promoter site of FASLG/CD95L, and inducing its transcription in response to activation of the TCR/CD3 signaling pathway (PubMed : 12618758). Promotes activity of NR5A1 when phosphorylated by HIPK3 leading to increased steroidogenic gene expression upon cAMP signaling pathway stimulation (PubMed : 17210646). Involved in activated KRAS-mediated transcriptional activation of USP28 in colorectal cancer (CRC) cells (PubMed : 24623306). Binds to the USP28 promoter in colorectal cancer (CRC) cells (PubMed : 24623306).. (Microbial infection) Upon Epstein-Barr virus (EBV) infection, binds to viral BZLF1 Z promoter and activates viral BZLF1 expression.
See full target information JUN phospho S73

Additional targets

Transcription factor jun-D phospho S100

Publications (1)

Recent publications for all applications. Explore the full list and refine your search

Journal of neuroinflammation 22:74 PubMed40069860

2025

Inhibition of histone deacetylase 6 alleviates neuropathic pain via direct regulating post-translation of spinal STAT3 and decreasing downstream C-C Motif Chemokine Ligand 7 synthesis.

Applications

Unspecified application

Species

Unspecified reactive species

Zhexi Chi,Bo Lu,Rongjun Liu,Chen Pan,Bo Meng,Xiuzhong Xing,Hui Yuan,Xuewei Wu,Yushan Chen,Yuxuan Ren,Wenwei Wu,Mengmeng Miao,Junping Chen,Xiaowei Chen
View all publications

Product promise

We are committed to supporting your work with high-quality reagents, and we're here for you every step of the way. In the unlikely event that one of our products does not perform as expected, you're protected by our Product Promise.
For full details, please see our Terms & Conditions

Please note: All products are 'FOR RESEARCH USE ONLY. NOT FOR USE IN DIAGNOSTIC OR THERAPEUTIC PROCEDURES'.

For licensing inquiries, please contact partnerships@abcam.com