JavaScript is disabled in your browser. Please enable JavaScript to view this website.
AB190477

Anti-Junin antibody

Be the first to review this product! Submit a review

|

(1 Publication)

Rabbit Polyclonal Junin antibody. Suitable for WB and reacts with Argentinian mammarenavirus samples. Cited in 1 publication. Immunogen corresponding to Virus preparation containing Junin protein.
1 Images
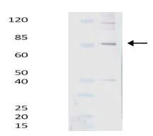
Western blot - Anti-Junin antibody (AB190477)
  • WB

Supplier Data

Western blot - Anti-Junin antibody (AB190477)

ab190477 was diluted to 1 μg/ml and incubated with 2% FBS for 2 hours prior to blotting.

All lanes:

Western blot - Anti-Junin antibody (ab190477) at 1 µg/mL

All lanes:

Sucrose-purified infected cell supernatant

false

Key facts

Host species

Rabbit

Clonality

Polyclonal

Isotype

IgG

Carrier free

No

Reacts with

Argentinian mammarenavirus

Applications

WB

applications

Immunogen

The exact immunogen used to generate this antibody is proprietary information.

Reactivity data

{ "title": "Reactivity Data", "filters": { "stats": ["", "Species", "Dilution Info", "Notes"], "tabs": { "all-applications": {"fullname" : "All Applications", "shortname": "All Applications"}, "WB" : {"fullname" : "Western blot", "shortname":"WB"} }, "product-promise": { "all": "all", "testedAndGuaranteed": "tested", "guaranteed": "expected", "predicted": "predicted", "notRecommended": "not-recommended" } }, "values": { "Argentinian mammarenavirus": { "WB-species-checked": "testedAndGuaranteed", "WB-species-dilution-info": "", "WB-species-notes": "<p>If probing against purified infected cell supernatant, cross-adsorption recommended.</p>" } } }

Product details

Candid #1 represents a surrogate strain for the Category A (NIAID) and HHS Select Agent Junin virus.

Properties and storage information

Form
Liquid
Purification technique
Affinity purification Protein A
Storage buffer
Preservative: 0.01% Sodium azide Constituents: PBS
Shipped at conditions
Blue Ice
Appropriate short-term storage duration
1-2 weeks
Appropriate short-term storage conditions
+4°C
Appropriate long-term storage conditions
-20°C
Aliquoting information
Upon delivery aliquot
Storage information
Avoid freeze / thaw cycle

Supplementary information

This supplementary information is collated from multiple sources and compiled automatically.

Junin virus encodes the Junin virus glycoprotein an important component of its envelop structure with a molecular mass of approximately 75 kilodaltons. This glycoprotein often abbreviated JUNV GP facilitates the virus's entry into host cells. It mediates cell attachment and fusion mainly expressed in the cells lining respiratory and endothelial tissues. JUNV GP interacts with host receptors to initiate viral infection efficiently contributing to the virus's transmission cycle.
Biological function summary

The Junin virus glycoprotein plays a role in viral replication and immune evasion. It constructs a complex with other viral proteins integral to the formation of a functional viral particle. The glycoprotein is recognized by the host's immune system yet it undergoes mutations that help escape immune detection. These adaptations ensure the persistence and survival of the virus within the infected host affecting the host's ability to mount an effective immune response.

Pathways

The Junin virus glycoprotein is important in mechanisms of viral entry and immune modulation. The notable pathways include the cellular receptor-mediated endocytosis and the interferon signaling pathways. Within these pathways JUNV GP interacts with proteins such as transferrin receptor 1 facilitating viral entry and affects the function of host interferon-stimulated genes by interfering with antiviral responses.

Junin virus glycoprotein is linked to Argentine hemorrhagic fever a severe disease caused by Junin virus infection. This disease presents symptoms like fever bleeding and shock. The immune system's failure to target JUNV GP effectively is partly responsible for the disease's progression. The glycoprotein's interaction with host proteins like transferrin receptor 1 plays a role in the virus's pathogenicity contributing to the disease's severe manifestation.

Product protocols

For this product, it's our understanding that no specific protocols are required. You can visit:

Publications (1)

Recent publications for all applications. Explore the full list and refine your search

Epigenetics & chromatin 15:30 PubMed35986423

2022

PDS5A and PDS5B differentially affect gene expression without altering cohesin localization across the genome.

Applications

Unspecified application

Species

Unspecified reactive species

Nicole L Arruda,Audra F Bryan,Jill M Dowen
View all publications

Product promise

We are committed to supporting your work with high-quality reagents, and we're here for you every step of the way. In the unlikely event that one of our products does not perform as expected, you're protected by our Product Promise.
For full details, please see our Terms & Conditions

Please note: All products are 'FOR RESEARCH USE ONLY. NOT FOR USE IN DIAGNOSTIC OR THERAPEUTIC PROCEDURES'.

For licensing inquiries, please contact partnerships@abcam.com