JavaScript is disabled in your browser. Please enable JavaScript to view this website.
AB250025

Anti-K31 antibody [EPR12855(B)] - BSA and Azide free

Be the first to review this product! Submit a review

|

(1 Publication)

Rabbit Recombinant Monoclonal K31 antibody. Carrier free. Suitable for IHC-P, WB and reacts with Human samples. Cited in 1 publication.

View Alternative Names

HHA1, HKA1, KRTHA1, KRT31, Keratin-31, K31

2 Images
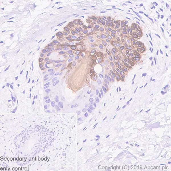
Immunohistochemistry (Formalin/PFA-fixed paraffin-embedded sections) - Anti-K31 antibody [EPR12855(B)] - BSA and Azide free (AB250025)
  • IHC-P

Unknown

Immunohistochemistry (Formalin/PFA-fixed paraffin-embedded sections) - Anti-K31 antibody [EPR12855(B)] - BSA and Azide free (AB250025)

Immunohistochemistry (Formalin/PFA-fixed paraffin-embedded sections) analysis of human skin tissue sections labeling K31 with Purified ab177955 at 1/1000 dilution (0.55 μg/mL). Heat mediated antigen retrieval using Bond™™ Epitope Retrieval Solution 2 (pH 9.0). Rabbit specific IHC polymer detection kit HRP/DAB (ab209101) was used as the secondary antibody. Negative control : PBS instead of the primary antibody. Hematoxylin was used as a counterstain.
This data was developed using the same antibody clone in a different buffer formulation containing PBS, BSA, glycerol, and sodium azide (ab177955).

Western blot - Anti-K31 antibody [EPR12855(B)] - BSA and Azide free (AB250025)
  • WB

Unknown

Western blot - Anti-K31 antibody [EPR12855(B)] - BSA and Azide free (AB250025)

This data was developed using the same antibody clone in a different buffer formulation containing PBS, BSA, glycerol, and sodium azide (ab177955).

All lanes:

Western blot - Anti-K31 antibody [EPR12855(B)] (<a href='/en-us/products/primary-antibodies/k31-antibody-epr12855b-ab177955'>ab177955</a>) at 1/1000 dilution

All lanes:

Human skin lysates at 15 µg

Secondary

All lanes:

Goat Anti-Rabbit IgG (HRP) with minimal cross-reactivity with human IgG at 1/2000 dilution

Predicted band size: 47 kDa

Observed band size: 47 kDa

false

Key facts

Host species

Rabbit

Clonality

Monoclonal

Clone number

EPR12855(B)

Isotype

IgG

Carrier free

Yes

Reacts with

Human

Applications

WB, IHC-P

applications

Immunogen

The exact immunogen used to generate this antibody is proprietary information.

Reactivity data

{ "title": "Reactivity Data", "filters": { "stats": ["", "Species", "Dilution Info", "Notes"], "tabs": { "all-applications": {"fullname" : "All Applications", "shortname": "All Applications"}, "IHCP" : {"fullname" : "Immunohistochemistry (Formalin/PFA-fixed paraffin-embedded sections)", "shortname":"IHC-P"}, "WB" : {"fullname" : "Western blot", "shortname":"WB"} }, "product-promise": { "all": "all", "testedAndGuaranteed": "tested", "guaranteed": "expected", "predicted": "predicted", "notRecommended": "not-recommended" } }, "values": { "Human": { "IHCP-species-checked": "testedAndGuaranteed", "IHCP-species-dilution-info": "", "IHCP-species-notes": "<p>The immunostaining was performed on a Leica Biosystems BOND<sup>®</sup> RX instrument.</p>", "WB-species-checked": "testedAndGuaranteed", "WB-species-dilution-info": "", "WB-species-notes": "<p></p>" }, "Mouse": { "IHCP-species-checked": "notRecommended", "IHCP-species-dilution-info": "", "IHCP-species-notes": "<p>The immunostaining was performed on a Leica Biosystems BOND<sup>®</sup> RX instrument.</p>", "WB-species-checked": "notRecommended", "WB-species-dilution-info": "", "WB-species-notes": "<p></p>" }, "Rat": { "IHCP-species-checked": "notRecommended", "IHCP-species-dilution-info": "", "IHCP-species-notes": "<p>The immunostaining was performed on a Leica Biosystems BOND<sup>®</sup> RX instrument.</p>", "WB-species-checked": "notRecommended", "WB-species-dilution-info": "", "WB-species-notes": "<p></p>" } } }

Product details

ab250025 is the carrier-free version of ab177955.

Patented technology
Our RabMAb® technology is a patented hybridoma-based technology for making rabbit monoclonal antibodies. For details on our patents, please refer to RabMAb® patents.

What are the advantages of a recombinant monoclonal antibody?
This product is a recombinant monoclonal antibody, which offers several advantages including:

  • - High batch-to-batch consistency and reproducibility
  • - Improved sensitivity and specificity
  • - Long-term security of supply
  • - Animal-free batch production

For more information, read more on recombinant antibodies.

Conjugation ready
Our carrier-free antibodies are typically supplied in a PBS-only formulation, purified and free of BSA, sodium azide and glycerol. This conjugation-ready format is designed for use with fluorochromes, metal isotopes, oligonucleotides, and enzymes, which makes them ideal for antibody labelling, functional and cell-based assays, flow-based assays (e.g. mass cytometry) and Multiplex Imaging applications.

Use our conjugation kits for antibody conjugates that are ready-to-use in as little as 20 minutes with 1 minute hands-on-time and 100% antibody recovery: available for fluorescent dyes, HRP, biotin and gold.

Compatibility
This product is compatible with the Maxpar® Antibody Labeling Kit from Fluidigm, without the need for antibody preparation. Maxpar® is a trademark of Fluidigm Canada Inc.

Properties and storage information

Form
Liquid
Purification technique
Affinity purification Protein A
Storage buffer
pH: 7.2 - 7.4 Constituents: PBS
Shipped at conditions
Blue Ice
Appropriate short-term storage conditions
+4°C
Appropriate long-term storage conditions
+4°C
Storage information
Do Not Freeze

Supplementary information

This supplementary information is collated from multiple sources and compiled automatically.

K31 also known as keratin 31 or KRT31 is a type I hair keratin protein. It is an essential component of the inner root sheath of hair follicles. K31 has a molecular mass of approximately 44 kDa and is selectively expressed in hair follicle cells especially in the medulla and cortex of human hair. As part of the keratin family K31 plays a role in the cytoskeleton providing structure and support to epithelial cells.
Biological function summary

Keratin 31 participates in the formation of the hair shaft and influences hair texture and integrity. It interacts with other keratin proteins forming heterodimer complexes with type II keratins such as K81 and K82 to provide mechanical stability to hair fibers. This interaction is integral for maintaining the structural integrity of hair throughout the growth cycle. The expression of K31 and its partner proteins indicates its critical role in hair fiber development and cohesion.

Pathways

Keratin 31 functions within the trichocyte keratinization pathway which is vital for hair growth and differentiation. It collaborates with other hair keratins contributing significantly to the assembly of intermediate filaments. The Wnt signaling pathway indirectly influences K31 expression by regulating keratinocyte differentiation linking K31 to other proteins such as beta-catenin. These interactions highlight the importance of K31 in hair biology.

Keratin 31 mutations or dysregulation have been connected to monilethrix a genetic hair disorder characterized by beaded hair and fragility. This condition involves abnormal keratinocyte biology highlighting K31’s association with hair structural stability issues. Furthermore altered expression of K31 is noted in certain cases of alopecia areata a condition that causes hair loss and involves an autoimmune reaction targeting hair follicles. Understanding K31’s role aids in developing treatments for these hair-related disorders.

Product protocols

For this product, it's our understanding that no specific protocols are required. You can visit:

Publications (1)

Recent publications for all applications. Explore the full list and refine your search

Molecular medicine (Cambridge, Mass.) 31:65 PubMed39972431

2025

Mechanism of histone demethylase KDM5A in osteoporotic fracture healing through epigenetic regulation of the miR-495/SKP2/Runx2 axis.

Applications

Unspecified application

Species

Unspecified reactive species

Zhuoran Li,Junyan Zhang,Tingting Xu,Zhiying Hao,Yadong Li
View all publications

Product promise

We are committed to supporting your work with high-quality reagents, and we're here for you every step of the way. In the unlikely event that one of our products does not perform as expected, you're protected by our Product Promise.
For full details, please see our Terms & Conditions

Please note: All products are 'FOR RESEARCH USE ONLY. NOT FOR USE IN DIAGNOSTIC OR THERAPEUTIC PROCEDURES'.

For licensing inquiries, please contact partnerships@abcam.com