JavaScript is disabled in your browser. Please enable JavaScript to view this website.
AB229968

Anti-Kallikrein 10/K10 antibody

Be the first to review this product! Submit a review

|

(0 Publication)

Rabbit Polyclonal Kallikrein 10/K10 antibody. Suitable for WB, IHC-P and reacts with Human samples. Immunogen corresponding to Recombinant Fragment Protein within Human KLK10 aa 1 to C-terminus.

View Alternative Names

NES1, PRSSL1, KLK10, Kallikrein-10, Normal epithelial cell-specific 1, Protease serine-like 1

3 Images
Western blot - Anti-Kallikrein 10/K10 antibody (AB229968)
  • WB

Supplier Data

Western blot - Anti-Kallikrein 10/K10 antibody (AB229968)

All lanes:

Western blot - Anti-Kallikrein 10/K10 antibody (ab229968) at 1/1000 dilution

All lanes:

THP-1 (human monocytic leukemia cell line) whole cell lysate

Secondary

All lanes:

Goat polyclonal to rabbit at 1/10000 dilution

Predicted band size: 30 kDa

false

Immunohistochemistry (Formalin/PFA-fixed paraffin-embedded sections) - Anti-Kallikrein 10/K10 antibody (AB229968)
  • IHC-P

Supplier Data

Immunohistochemistry (Formalin/PFA-fixed paraffin-embedded sections) - Anti-Kallikrein 10/K10 antibody (AB229968)

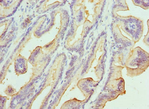
Paraffin-embedded human prostate cancer tissue stained for Kallikrein 10/K10 using ab229968 at 1/100 dilution in immunohistochemical analysis.

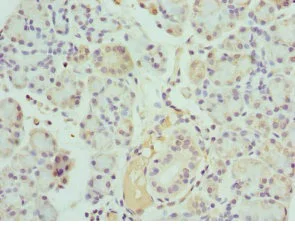
Immunohistochemistry (Formalin/PFA-fixed paraffin-embedded sections) - Anti-Kallikrein 10/K10 antibody (AB229968)
  • IHC-P

Supplier Data

Immunohistochemistry (Formalin/PFA-fixed paraffin-embedded sections) - Anti-Kallikrein 10/K10 antibody (AB229968)

Paraffin-embedded human pancreatic tissue stained for Kallikrein 10/K10 using ab229968 at 1/100 dilution in immunohistochemical analysis.

Key facts

Host species

Rabbit

Clonality

Polyclonal

Isotype

IgG

Carrier free

No

Reacts with

Human

Applications

IHC-P, WB

applications

Immunogen

Recombinant Fragment Protein within Human KLK10 aa 1 to C-terminus. The exact immunogen used to generate this antibody is proprietary information.

O43240

Reactivity data

{ "title": "Reactivity Data", "filters": { "stats": ["", "Species", "Dilution Info", "Notes"], "tabs": { "all-applications": {"fullname" : "All Applications", "shortname": "All Applications"}, "WB" : {"fullname" : "Western blot", "shortname":"WB"}, "IHCP" : {"fullname" : "Immunohistochemistry (Formalin/PFA-fixed paraffin-embedded sections)", "shortname":"IHC-P"} }, "product-promise": { "all": "all", "testedAndGuaranteed": "tested", "guaranteed": "expected", "predicted": "predicted", "notRecommended": "not-recommended" } }, "values": { "Human": { "WB-species-checked": "testedAndGuaranteed", "WB-species-dilution-info": "1/1000 - 1/5000", "WB-species-notes": "<p></p>", "IHCP-species-checked": "testedAndGuaranteed", "IHCP-species-dilution-info": "1/20 - 1/200", "IHCP-species-notes": "<p></p>" } } }

Properties and storage information

Form
Liquid
Purification technique
Affinity purification Immunogen
Storage buffer
pH: 7.3 Preservative: 0.02% Sodium azide Constituents: PBS, 50% Glycerol (glycerin, glycerine)
Shipped at conditions
Blue Ice
Appropriate short-term storage duration
1-2 weeks
Appropriate short-term storage conditions
+4°C
Appropriate long-term storage conditions
-20°C
Aliquoting information
Upon delivery aliquot
Storage information
Avoid freeze / thaw cycle

Supplementary information

This supplementary information is collated from multiple sources and compiled automatically.

Kallikrein 10 also known as KLK10 or serine protease 20 is a protein known for its enzymatic activity. It has a mass of approximately 30 kDa and expresses highly in tissues like the pancreas kidney and hormonal dependent tissues such as the prostate and breast. KLK10 involves in the degradation of extracellular matrix components functioning as a serine protease. Its expression in hormone-responsive tissues indicates a potential role in processes like tissue remodeling and regulation.
Biological function summary

Kallikrein 10 is part of a larger family of serine proteases involved in various physiological processes. These proteases participate in tissue homeostasis and in some instances immune response. KLK10 expression links to cell proliferation and survival potentially influencing cancer progression. The network of serine proteases forms a proteolytic cascade where multiple proteases sequentially activate amplifying the biological responses.

Pathways

Kallikrein 10 plays a critical role in the proteolytic cascade responsible for regulating homeostatic processes. It participates notably in pathways such as the kallikrein-kinin system and the regulation of tumor microenvironment. KLK10 interacts with other kallikreins like KLK5 and KLK6 mediating their activation and functioning in tissue remodeling and repair processes.

Kallikrein 10 has a significant association with cancers and inflammatory conditions. Altered KLK10 expression shows correlation with prostate cancer and breast cancer where it might serve as a biomarker for diagnosis or prognosis. KLK10's involvement with proteins like KLK3 (PSA) in prostate cancer reflects its potential utility in therapeutic strategies especially concerning hormone-dependent tumors.

Product protocols

For this product, it's our understanding that no specific protocols are required. You can visit:

Target data

Has a tumor-suppressor role for NES1 in breast and prostate cancer.
See full target information KLK10

Product promise

We are committed to supporting your work with high-quality reagents, and we're here for you every step of the way. In the unlikely event that one of our products does not perform as expected, you're protected by our Product Promise.
For full details, please see our Terms & Conditions

Please note: All products are 'FOR RESEARCH USE ONLY. NOT FOR USE IN DIAGNOSTIC OR THERAPEUTIC PROCEDURES'.

For licensing inquiries, please contact partnerships@abcam.com