JavaScript is disabled in your browser. Please enable JavaScript to view this website.
AB232966

Anti-Kallikrein 14 antibody

Be the first to review this product! Submit a review

|

(1 Publication)

Rabbit Polyclonal Kallikrein 14 antibody. Suitable for WB, IHC-P and reacts with Pig, Human samples. Cited in 1 publication. Immunogen corresponding to Recombinant Fragment Protein within Human KLK14 aa 1 to C-terminus.

View Alternative Names

KLKL6, KLK14, Kallikrein-14, hK14, Kallikrein-like protein 6, KLK-L6

5 Images
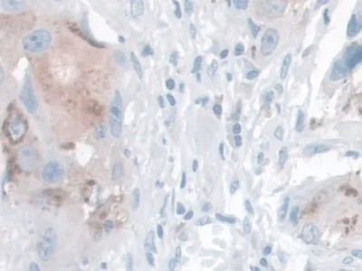
Immunohistochemistry (Formalin/PFA-fixed paraffin-embedded sections) - Anti-Kallikrein 14 antibody (AB232966)
  • IHC-P

Supplier Data

Immunohistochemistry (Formalin/PFA-fixed paraffin-embedded sections) - Anti-Kallikrein 14 antibody (AB232966)

Formalin-fixed, paraffin-embedded human breast cancer tissue stained for Kallikrein 14 using ab232966 at 10 μg/mL in immunohistochemical analysis. DAB staining.

Immunohistochemistry (Formalin/PFA-fixed paraffin-embedded sections) - Anti-Kallikrein 14 antibody (AB232966)
  • IHC-P

Supplier Data

Immunohistochemistry (Formalin/PFA-fixed paraffin-embedded sections) - Anti-Kallikrein 14 antibody (AB232966)

Formalin-fixed, paraffin-embedded human liver tissue stained for Kallikrein 14 using ab232966 at 10 μg/mL in immunohistochemical analysis. DAB staining.

Western blot - Anti-Kallikrein 14 antibody (AB232966)
  • WB

Supplier Data

Western blot - Anti-Kallikrein 14 antibody (AB232966)

All lanes:

Western blot - Anti-Kallikrein 14 antibody (ab232966) at 2 µg/mL

All lanes:

Recombinant human Kallikrein 14 protein

Predicted band size: 29 kDa

false

Western blot - Anti-Kallikrein 14 antibody (AB232966)
  • WB

Supplier Data

Western blot - Anti-Kallikrein 14 antibody (AB232966)

All lanes:

Western blot - Anti-Kallikrein 14 antibody (ab232966) at 1 µg/mL

All lanes:

Pig kidney tissue lysate

Secondary

All lanes:

HRP-Linked Goat anti-Rabbit IgG polyclonal at 0.2 µg/mL

Predicted band size: 29 kDa

false

Western blot - Anti-Kallikrein 14 antibody (AB232966)
  • WB

Supplier Data

Western blot - Anti-Kallikrein 14 antibody (AB232966)

All lanes:

Western blot - Anti-Kallikrein 14 antibody (ab232966) at 1 µg/mL

All lanes:

Human lung tissue lysate

Secondary

All lanes:

HRP-Linked Goat anti-Rabbit IgG polyclonal at 0.2 µg/mL

Predicted band size: 29 kDa

false

Key facts

Host species

Rabbit

Clonality

Polyclonal

Isotype

IgG

Carrier free

No

Reacts with

Human, Pig

Applications

IHC-P, WB

applications

Immunogen

Recombinant Fragment Protein within Human KLK14 aa 1 to C-terminus. The exact immunogen used to generate this antibody is proprietary information.

Q9P0G3

Reactivity data

{ "title": "Reactivity Data", "filters": { "stats": ["", "Species", "Dilution Info", "Notes"], "tabs": { "all-applications": {"fullname" : "All Applications", "shortname": "All Applications"}, "WB" : {"fullname" : "Western blot", "shortname":"WB"}, "IHCP" : {"fullname" : "Immunohistochemistry (Formalin/PFA-fixed paraffin-embedded sections)", "shortname":"IHC-P"} }, "product-promise": { "all": "all", "testedAndGuaranteed": "tested", "guaranteed": "expected", "predicted": "predicted", "notRecommended": "not-recommended" } }, "values": { "Human": { "WB-species-checked": "testedAndGuaranteed", "WB-species-dilution-info": "0.5-2 µg/mL", "WB-species-notes": "<p></p>", "IHCP-species-checked": "testedAndGuaranteed", "IHCP-species-dilution-info": "5-20 µg/mL", "IHCP-species-notes": "<p></p>" }, "Pig": { "WB-species-checked": "testedAndGuaranteed", "WB-species-dilution-info": "0.5-2 µg/mL", "WB-species-notes": "<p></p>", "IHCP-species-checked": "guaranteed", "IHCP-species-dilution-info": "", "IHCP-species-notes": "" } } }

Properties and storage information

Form
Liquid
Purification technique
Affinity purification Protein A
Purification notes
Antigen-specific affinity chromatography followed by Protein A affinity chromatography.
Storage buffer
pH: 7.4 Preservative: 0.011% Proclin 300 Constituents: PBS, 55.77% Glycerol (glycerin, glycerine)
Shipped at conditions
Blue Ice
Appropriate short-term storage duration
1-2 weeks
Appropriate short-term storage conditions
+4°C
Appropriate long-term storage conditions
-20°C
Aliquoting information
Upon delivery aliquot
Storage information
Avoid freeze / thaw cycle

Supplementary information

This supplementary information is collated from multiple sources and compiled automatically.

Kallikrein 14 (KLK14) a serine protease is involved in various proteolytic activities. It has a molecular mass of approximately 25 kDa. KLK14 is part of the kallikrein-related peptidase family and is expressed in diverse tissues including skin prostate and brain. This protein is also known by the alternate name hK14. The expression pattern of KLK14 suggests its involvement in local tissue-specific functions.
Biological function summary

KLK14 influences processes like skin desquamation and seminal plasma liquefaction. It plays a significant role in the regulation of extracellular matrix components and participates in activating protein precursors. Though it functions as an individual protease KLK14 interacts with other kallikreins in a possible cascade-like manner indicating complex interplay between these proteins.

Pathways

KLK14 is key in processes involving the kallikrein-kinin system and the activation of certain growth factors. It can cleave and activate other proteins such as renin-angiotensin system components influencing blood pressure regulation. KLK14 operates within this intricate network alongside proteins like KLK1 and other kallikreins that have complementary roles in physiological pathways.

KLK14 has been linked to prostate cancer and skin-related conditions such as atopic dermatitis. Overexpression of KLK14 correlates with prostate cancer progression suggesting its involvement in tumorigenesis. It is also associated with other kallikreins like KLK3 (PSA) in cancer influencing disease development and prognosis. In skin disorders KLK14 may affect processes like inflammation and barrier function revealing its therapeutic target potential.

Product protocols

For this product, it's our understanding that no specific protocols are required. You can visit:

Target data

Serine-type endopeptidase with a dual trypsin-like and chymotrypsin-like substrate specificity. May activate/inactivate the proteinase-activated receptors F2R, F2RL1 and F2RL3 and other kallikreins including KLK1, KLK3, KLK5 and KLK11. May function in seminal clot liquefaction through direct cleavage of the semenogelin SEMG1 and SEMG2 and activation of KLK3. May function through desmoglein DSG1 cleavage in epidermal desquamation a process by which the most superficial corneocytes are shed from the skin surface. May be involved in several aspects of tumor progression including growth, invasion and angiogenesis.
See full target information KLK14

Publications (1)

Recent publications for all applications. Explore the full list and refine your search

PLoS pathogens 20:e1012305 PubMed38905309

2024

PoRVA G9P[23] and G5P[7] infections differentially promote PEDV replication by reprogramming glutamine metabolism.

Applications

Unspecified application

Species

Unspecified reactive species

Haixin Liu,Haolun Tian,Pengcheng Hao,Huimin Du,Kun Wang,Yudong Qiu,Xiangrui Yin,Nana Wu,Qian Du,Dewen Tong,Yong Huang
View all publications

Product promise

We are committed to supporting your work with high-quality reagents, and we're here for you every step of the way. In the unlikely event that one of our products does not perform as expected, you're protected by our Product Promise.
For full details, please see our Terms & Conditions

Please note: All products are 'FOR RESEARCH USE ONLY. NOT FOR USE IN DIAGNOSTIC OR THERAPEUTIC PROCEDURES'.

For licensing inquiries, please contact partnerships@abcam.com