JavaScript is disabled in your browser. Please enable JavaScript to view this website.
AB278500

Anti-Kallikrein 14 antibody [EPR23570-293]

Be the first to review this product! Submit a review

|

(1 Publication)

Rabbit Recombinant Monoclonal Kallikrein 14 antibody. Suitable for WB, IHC-Fr, IHC-P and reacts with Mouse samples. Cited in 1 publication.

View Alternative Names

Gk14, Klk14, Kallikrein-14, Glandular kallikrein KLK14, Kallikrein related-peptidase 14, mGK14

5 Images
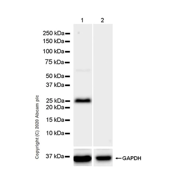
Western blot - Anti-Kallikrein 14 antibody [EPR23570-293] (AB278500)
  • WB

Lab

Western blot - Anti-Kallikrein 14 antibody [EPR23570-293] (AB278500)

Blocking buffer and Diluting buffer : 5% NFDM/TBST

The observed MW is consistent with what has been described in the literature (PMID : 17110383).

Negative control : kidney (PMID : 11352573)

Exposure time : 26 seconds

All lanes:

Western blot - Anti-Kallikrein 14 antibody [EPR23570-293] (ab278500) at 1/1000 dilution

Lane 1:

Mouse esophagus tissue lysate at 20 µg

Lane 2:

Mouse kidney tissue lysate at 20 µg

Secondary

All lanes:

Western blot - Goat Anti-Rabbit IgG H&L (HRP) (<a href='/en-us/products/secondary-antibodies/goat-rabbit-igg-h-l-hrp-ab97051'>ab97051</a>) at 1/100000 dilution

Predicted band size: 29 kDa

Observed band size: 27 kDa

false

Immunohistochemistry (Frozen sections) - Anti-Kallikrein 14 antibody [EPR23570-293] (AB278500)
  • IHC-Fr

Lab

Immunohistochemistry (Frozen sections) - Anti-Kallikrein 14 antibody [EPR23570-293] (AB278500)

Immunohistochemical analysis of 4% PFA-fixed, 0.2% Triton X-100 permeabilized frozen Mouse esophagus tissue labelling kallikrein 14 with ab278500 at 1/100 (5.85 ug/ml) dilution followed by ab150077 Goat Anti-Rabbit IgG H&L (Alexa Fluor® 488) at 1/1000 dilution (Green). The nuclear counterstain was DAPI (Blue). Secondary antibody control : Secondary antibody is ab150077 Goat Anti-Rabbit IgG H&L (Alexa Fluor® 488) at 1/1000 dilution. Heat mediated antigen retrieval using sodium citrate buffer (10mM citrate pH 6.0 + 0.05% Tween-20).

Immunohistochemistry (Formalin/PFA-fixed paraffin-embedded sections) - Anti-Kallikrein 14 antibody [EPR23570-293] (AB278500)
  • IHC-P

Lab

Immunohistochemistry (Formalin/PFA-fixed paraffin-embedded sections) - Anti-Kallikrein 14 antibody [EPR23570-293] (AB278500)

Immunohistochemical analysis of paraffin-embedded Mouse kidney tissue labelling Thyroid Peroxidase/TPO with ab278500 at 1/5000 (0.585 ug/ml) dilution followed by a ready to use LeicaDS9800 (Bond® Polymer Refine Detection) was used. The section was incubated with ab278500 for 30 mins at room temperature. Negative control : No staining on mouse kidney. The immunostaining was performed on a Leica Biosystems BOND® RX instrument Counterstained with Hematoxylin. Secondary antibody only control : Secondary antibody is a ready to use LeicaDS9800 (Bond® Polymer Refine Detection) was used. Heat mediated antigen retrieval with Tris-EDTA buffer (pH 9.0, epitope retrieval solution2) for 20 mins.

Immunohistochemistry (Formalin/PFA-fixed paraffin-embedded sections) - Anti-Kallikrein 14 antibody [EPR23570-293] (AB278500)
  • IHC-P

Lab

Immunohistochemistry (Formalin/PFA-fixed paraffin-embedded sections) - Anti-Kallikrein 14 antibody [EPR23570-293] (AB278500)

Immunohistochemical analysis of paraffin-embedded Mouse esophagus tissue labelling Thyroid Peroxidase/TPO with ab278500 at 1/5000 (0.585 ug/ml) dilution followed by a ready to use LeicaDS9800 (Bond® Polymer Refine Detection) was used. The section was incubated with ab278500 for 30 mins at room temperature. The immunostaining was performed on a Leica Biosystems BOND® RX instrument Counterstained with Hematoxylin. Secondary antibody only control : Secondary antibody is a ready to use LeicaDS9800 (Bond® Polymer Refine Detection) was used. Heat mediated antigen retrieval with Tris-EDTA buffer (pH 9.0, epitope retrieval solution2) for 20 mins.

Western blot - Anti-Kallikrein 14 antibody [EPR23570-293] (AB278500)
  • WB

Lab

Western blot - Anti-Kallikrein 14 antibody [EPR23570-293] (AB278500)

Blocking buffer and Diluting buffer : 5% NFDM/TBST

Exposure : 10 seconds

Mouse Kallikrein 14 recombinant protein (aa24-250) was expressed from a mammalian - HEK-293 expression system.

All lanes:

Western blot - Anti-Kallikrein 14 antibody [EPR23570-293] (ab278500) at 1/1000 dilution

All lanes:

Mouse Kallikrein 14 recombinant protein (aa24-250) at 0.01 µg

Secondary

All lanes:

Western blot - Goat Anti-Rabbit IgG H&L (HRP) (<a href='/en-us/products/secondary-antibodies/goat-rabbit-igg-h-l-hrp-ab97051'>ab97051</a>) at 1/100000 dilution

Predicted band size: 29 kDa

Observed band size: 25 kDa

false

  • Carrier free

    Anti-Kallikrein 14 antibody [EPR23570-293] - BSA and Azide free

Key facts

Host species

Rabbit

Clonality

Monoclonal

Clone number

EPR23570-293

Isotype

IgG

Carrier free

No

Reacts with

Mouse

Applications

IHC-P, WB, IHC-Fr

applications

Immunogen

The exact immunogen used to generate this antibody is proprietary information.

Reactivity data

{ "title": "Reactivity Data", "filters": { "stats": ["", "Species", "Dilution Info", "Notes"], "tabs": { "all-applications": {"fullname" : "All Applications", "shortname": "All Applications"}, "IP" : {"fullname" : "Immunoprecipitation", "shortname":"IP"}, "WB" : {"fullname" : "Western blot", "shortname":"WB"}, "IHCFr" : {"fullname" : "Immunohistochemistry (Frozen sections)", "shortname":"IHC-Fr"}, "IHCP" : {"fullname" : "Immunohistochemistry (Formalin/PFA-fixed paraffin-embedded sections)", "shortname":"IHC-P"} }, "product-promise": { "all": "all", "testedAndGuaranteed": "tested", "guaranteed": "expected", "predicted": "predicted", "notRecommended": "not-recommended" } }, "values": { "Human": { "IP-species-checked": "notRecommended", "IP-species-dilution-info": "", "IP-species-notes": "<p></p>", "WB-species-checked": "notRecommended", "WB-species-dilution-info": "1/1000", "WB-species-notes": "<p></p>", "IHCFr-species-checked": "notRecommended", "IHCFr-species-dilution-info": "", "IHCFr-species-notes": "", "IHCP-species-checked": "notRecommended", "IHCP-species-dilution-info": "1/1000", "IHCP-species-notes": "<p></p>" }, "Mouse": { "IP-species-checked": "notRecommended", "IP-species-dilution-info": "", "IP-species-notes": "<p></p>", "WB-species-checked": "testedAndGuaranteed", "WB-species-dilution-info": "1/1000", "WB-species-notes": "<p></p>", "IHCFr-species-checked": "testedAndGuaranteed", "IHCFr-species-dilution-info": "1/100", "IHCFr-species-notes": "<p>Heat mediated antigen retrieval using sodium citrate buffer (10mM citrate pH 6.0 + 0.05% Tween-20)</p>", "IHCP-species-checked": "testedAndGuaranteed", "IHCP-species-dilution-info": "1/1000", "IHCP-species-notes": "<p></p>" }, "Rat": { "IP-species-checked": "notRecommended", "IP-species-dilution-info": "", "IP-species-notes": "", "WB-species-checked": "notRecommended", "WB-species-dilution-info": "1/1000", "WB-species-notes": "<p></p>", "IHCFr-species-checked": "notRecommended", "IHCFr-species-dilution-info": "1/100", "IHCFr-species-notes": "<p>Heat mediated antigen retrieval using sodium citrate buffer (10mM citrate pH 6.0 + 0.05% Tween-20)</p>", "IHCP-species-checked": "notRecommended", "IHCP-species-dilution-info": "1/1000", "IHCP-species-notes": "<p></p>" } } }

Product details

Patented technology
Our RabMAb® technology is a patented hybridoma-based technology for making rabbit monoclonal antibodies. For details on our patents, please refer to RabMAb® patents.

What are the advantages of a recombinant monoclonal antibody?
This product is a recombinant monoclonal antibody, which offers several advantages including:

  • - High batch-to-batch consistency and reproducibility
  • - Improved sensitivity and specificity
  • - Long-term security of supply
  • - Animal-free batch production

For more information, read more on recombinant antibodies.

Properties and storage information

Form
Liquid
Purification technique
Affinity purification Protein A
Storage buffer
Preservative: 0.01% Sodium azide Constituents: 59.94% PBS, 40% Glycerol (glycerin, glycerine), 0.05% BSA
Shipped at conditions
Blue Ice
Appropriate short-term storage duration
1-2 weeks
Appropriate short-term storage conditions
+4°C
Appropriate long-term storage conditions
-20°C
Aliquoting information
Upon delivery aliquot
Storage information
Avoid freeze / thaw cycle

Supplementary information

This supplementary information is collated from multiple sources and compiled automatically.

Kallikrein 14 (KLK14) a serine protease is involved in various proteolytic activities. It has a molecular mass of approximately 25 kDa. KLK14 is part of the kallikrein-related peptidase family and is expressed in diverse tissues including skin prostate and brain. This protein is also known by the alternate name hK14. The expression pattern of KLK14 suggests its involvement in local tissue-specific functions.
Biological function summary

KLK14 influences processes like skin desquamation and seminal plasma liquefaction. It plays a significant role in the regulation of extracellular matrix components and participates in activating protein precursors. Though it functions as an individual protease KLK14 interacts with other kallikreins in a possible cascade-like manner indicating complex interplay between these proteins.

Pathways

KLK14 is key in processes involving the kallikrein-kinin system and the activation of certain growth factors. It can cleave and activate other proteins such as renin-angiotensin system components influencing blood pressure regulation. KLK14 operates within this intricate network alongside proteins like KLK1 and other kallikreins that have complementary roles in physiological pathways.

KLK14 has been linked to prostate cancer and skin-related conditions such as atopic dermatitis. Overexpression of KLK14 correlates with prostate cancer progression suggesting its involvement in tumorigenesis. It is also associated with other kallikreins like KLK3 (PSA) in cancer influencing disease development and prognosis. In skin disorders KLK14 may affect processes like inflammation and barrier function revealing its therapeutic target potential.

Product protocols

For this product, it's our understanding that no specific protocols are required. You can visit:

Target data

Serine-type endopeptidase with a dual trypsin-like and chymotrypsin-like substrate specificity. May activate/inactivate the proteinase-activated receptors F2R, F2RL1 and F2RL3 and other kallikreins including KLK1, KLK3, KLK5 and KLK11. May function in seminal clot liquefaction through direct cleavage of the semenogelin SEMG1 and SEMG2 and activation of KLK3. May function through desmoglein DSG1 cleavage in epidermal desquamation a process by which the most superficial corneocytes are shed from the skin surface. May be involved in several aspects of tumor progression including growth, invasion and angiogenesis (By similarity).
See full target information Klk14

Publications (1)

Recent publications for all applications. Explore the full list and refine your search

Communications biology 7:152 PubMed38316920

2024

Comparative analyses of Netherton syndrome patients and Spink5 conditional knock-out mice uncover disease-relevant pathways.

Applications

Unspecified application

Species

Unspecified reactive species

Evgeniya Petrova,Jesús María López-Gay,Matthias Fahrner,Florent Leturcq,Jean-Pierre de Villartay,Claire Barbieux,Patrick Gonschorek,Lam C Tsoi,Johann E Gudjonsson,Oliver Schilling,Alain Hovnanian
View all publications

Product promise

We are committed to supporting your work with high-quality reagents, and we're here for you every step of the way. In the unlikely event that one of our products does not perform as expected, you're protected by our Product Promise.
For full details, please see our Terms & Conditions

Please note: All products are 'FOR RESEARCH USE ONLY. NOT FOR USE IN DIAGNOSTIC OR THERAPEUTIC PROCEDURES'.

For licensing inquiries, please contact partnerships@abcam.com