JavaScript is disabled in your browser. Please enable JavaScript to view this website.
AB169269

Anti-Kallikrein 2/KLK2 antibody

Be the first to review this product! Submit a review

|

(1 Publication)

Mouse Polyclonal Kallikrein 2/KLK2 antibody. Suitable for WB, IHC-P and reacts with Human samples. Cited in 1 publication. Immunogen corresponding to Recombinant Full Length Protein corresponding to Human KLK2.

View Alternative Names

Kallikrein-2, Glandular kallikrein-1, Tissue kallikrein-2, hGK-1, KLK2

2 Images
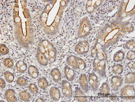
Immunohistochemistry (Formalin/PFA-fixed paraffin-embedded sections) - Anti-Kallikrein 2/KLK2 antibody (AB169269)
  • IHC-P

Unknown

Immunohistochemistry (Formalin/PFA-fixed paraffin-embedded sections) - Anti-Kallikrein 2/KLK2 antibody (AB169269)

Immunohistochemical analysis of formalin-fixed, paraffin-embedded Human small intestine tissue labeling Kallikrein 2/KLK2 with ab169269 at 3 μg/ml.

Western blot - Anti-Kallikrein 2/KLK2 antibody (AB169269)
  • WB

Unknown

Western blot - Anti-Kallikrein 2/KLK2 antibody (AB169269)

All lanes:

Western blot - Anti-Kallikrein 2/KLK2 antibody (ab169269) at 1 µg/mL

Lane 1:

Kallikrein 2/KLK2 transfected 293T cell lysate at 15 µL

Lane 2:

Non-transfected 293T cell lysate at 15 µL

Secondary

All lanes:

Goat Anti-Mouse IgG (H&L)-HRP at 1/2500 dilution

Predicted band size: 29 kDa

true

Key facts

Host species

Mouse

Clonality

Polyclonal

Isotype

IgG

Carrier free

No

Reacts with

Human

Applications

WB, IHC-P

applications

Immunogen

Recombinant Full Length Protein corresponding to Human KLK2.

P20151

Reactivity data

{ "title": "Reactivity Data", "filters": { "stats": ["", "Species", "Dilution Info", "Notes"], "tabs": { "all-applications": {"fullname" : "All Applications", "shortname": "All Applications"}, "WB" : {"fullname" : "Western blot", "shortname":"WB"}, "IHCP" : {"fullname" : "Immunohistochemistry (Formalin/PFA-fixed paraffin-embedded sections)", "shortname":"IHC-P"} }, "product-promise": { "all": "all", "testedAndGuaranteed": "tested", "guaranteed": "expected", "predicted": "predicted", "notRecommended": "not-recommended" } }, "values": { "Human": { "WB-species-checked": "testedAndGuaranteed", "WB-species-dilution-info": "1 µg/mL", "WB-species-notes": "<p></p>", "IHCP-species-checked": "testedAndGuaranteed", "IHCP-species-dilution-info": "3 µg/mL", "IHCP-species-notes": "<p></p>" } } }

Properties and storage information

Form
Liquid
Purification technique
Affinity purification Protein A
Storage buffer
pH: 7.4 Constituents: PBS
Shipped at conditions
Blue Ice
Appropriate short-term storage duration
1-2 weeks
Appropriate short-term storage conditions
+4°C
Appropriate long-term storage conditions
-20°C
Aliquoting information
Upon delivery aliquot

Supplementary information

This supplementary information is collated from multiple sources and compiled automatically.

The protein Kallikrein 2 also known as KLK2 or kallikrein-related peptidase 2 is a serine protease with a molecular mass of approximately 28 kDa. KLK2 is predominantly expressed in the prostate gland and plays a role in the cleavage of specific protein substrates. It shares homology with other kallikrein family proteins and is involved in the enzymatic activity that regulates various physiological processes. This protein also carries the alternate names like ALSK24680 KLK2 protein and has a significant presence in seminal plasma.
Biological function summary

KLK2 is involved in the regulation of seminal fluid by activating other enzymes such as prostate-specific antigen (PSA) which is itself part of the kallikrein family. KLK2 functions in the liquefaction process of seminal fluid aiding in sperm motility. It exists as part of a proteolytic cascade complex which includes other kallikreins. The expression and activity of KLK2 are highly regulated by androgens in the prostate tissue indicating its importance in male reproductive health.

Pathways

KLK2 participates in the kallikrein-kinin system and is closely related to other kallikrein family members like KLK3 (PSA) in regulatory mechanisms critical for reproductive biology. KLK2 influences pathways such as the fibrinolysis system by activating urokinase-type plasminogen activator (uPA). Additionally KLK2 modulates pathways related to extracellular matrix degradation connecting with proteins such as matrix metalloproteinases (MMPs).

KLK2 has a strong association with prostate cancer often used as a biomarker alongside PSA for early detection and prognosis assessment. Elevated levels of KLK2 can indicate a progression of malignant disease in the prostate. Furthermore KLK2 may have connections to benign prostatic hyperplasia (BPH) a noncancerous enlargement of the prostate. Its expression levels and activity can influence disease development and it is considered in research targeting prostate-related health disorders.

Product protocols

For this product, it's our understanding that no specific protocols are required. You can visit:

Target data

Glandular kallikreins cleave Met-Lys and Arg-Ser bonds in kininogen to release Lys-bradykinin.
See full target information KLK2

Publications (1)

Recent publications for all applications. Explore the full list and refine your search

Biomedicines 11: PubMed36831084

2023

Horse-Derived Ceramide Accentuates Glucosylceramide Synthase and Ceramide Synthase 3 by Activating PPARβ/δ and/or PPARγ to Stimulate Ceramide Synthesis.

Applications

Unspecified application

Species

Unspecified reactive species

Tami Igarashi,Hiroki Yanagi,Masayuki Yagi,Masamitsu Ichihashi,Genji Imokawa
View all publications

Product promise

We are committed to supporting your work with high-quality reagents, and we're here for you every step of the way. In the unlikely event that one of our products does not perform as expected, you're protected by our Product Promise.
For full details, please see our Terms & Conditions

Please note: All products are 'FOR RESEARCH USE ONLY. NOT FOR USE IN DIAGNOSTIC OR THERAPEUTIC PROCEDURES'.

For licensing inquiries, please contact partnerships@abcam.com