JavaScript is disabled in your browser. Please enable JavaScript to view this website.
AB254258

Anti-Kallikrein 7/KLK7 antibody [EPR22594-203]

Be the first to review this product! Submit a review

|

(0 Publication)

Rabbit Recombinant Monoclonal Kallikrein 7/KLK7 antibody. Suitable for WB, IHC-Fr, IHC-P and reacts with Mouse, Rat, Human samples.

View Alternative Names

PRSS6, SCCE, KLK7, Kallikrein-7, hK7, Serine protease 6, Stratum corneum chymotryptic enzyme, hSCCE

6 Images
Immunohistochemistry (Formalin/PFA-fixed paraffin-embedded sections) - Anti-Kallikrein 7/KLK7 antibody [EPR22594-203] (AB254258)
  • IHC-P

Unknown

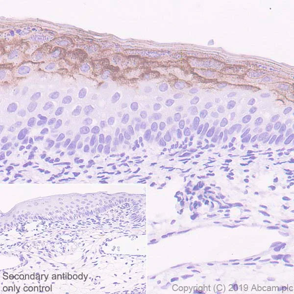
Immunohistochemistry (Formalin/PFA-fixed paraffin-embedded sections) - Anti-Kallikrein 7/KLK7 antibody [EPR22594-203] (AB254258)

Immunohistochemical analysis of paraffin-embedded human skin tissue labelling KLK7 with ab254258 at 1/500 dilution for 30 minutes at room temperature, followed by ready to use rabbit specific IHC polymer detection kit HRP/DAB (ab209101). Positive staining on stratum corneum of human skin (PMID 23999494). Hematoxylin used as a counterstain.

Heat mediated antigen retrieval with Tris-EDTA buffer (pH 9.0, epitope retrieval solution 2) was performed for 20 mins.

The immunostaining was performed on a Leica Biosystems BOND® RX instrument.

Secondary antibody only control : Used PBS instead of primary antibody, secondary antibody is ready to use rabbit specific IHC polymer detection kit HRP/DAB (ab209101).

Immunohistochemistry (Frozen sections) - Anti-Kallikrein 7/KLK7 antibody [EPR22594-203] (AB254258)
  • IHC-Fr

Unknown

Immunohistochemistry (Frozen sections) - Anti-Kallikrein 7/KLK7 antibody [EPR22594-203] (AB254258)

Immunohistochemical analysis of 0.2% Triton X-100 permeabilised, 4% PFA fixed mouse skin tissue labelling KLK7 with ab254258 at 1/100 dilution, followed by AlexaFluor®488 Goat anti-Rabbit secondary (ab150077) at 1/1000 dilution. DAPI used as nuclear counterstain. Heat mediated antigen retrieval using sodium citrate buffer (10mM citrate pH 6.0 + 0.05% Tween-20) was performed. Specific staining on stratum corneum of mouse skin (PMID : 23999494).

Secondary antibody only control : Used PBS instead of primary antibody, secondary antibody is AlexaFluor®488 Goat anti-Rabbit secondary (ab150077) at 1/1000 dilution.

Immunohistochemistry (Formalin/PFA-fixed paraffin-embedded sections) - Anti-Kallikrein 7/KLK7 antibody [EPR22594-203] (AB254258)
  • IHC-P

Unknown

Immunohistochemistry (Formalin/PFA-fixed paraffin-embedded sections) - Anti-Kallikrein 7/KLK7 antibody [EPR22594-203] (AB254258)

Immunohistochemical analysis of paraffin-embedded rat skin tissue labelling KLK7 with ab254258 at 1/500 dilution for 30 minutes at room temperature, followed by ready to use rabbit specific IHC polymer detection kit HRP/DAB (ab209101). Positive staining on stratum corneum of rat skin (PMID 23999494). Hematoxylin used as a counterstain.

Heat mediated antigen retrieval with Tris-EDTA buffer (pH 9.0, epitope retrieval solution 2) was performed for 20 mins. The immunostaining was performed on a Leica Biosystems BOND® RX instrument.

Secondary antibody only control : Used PBS instead of primary antibody, secondary antibody is ready to use rabbit specific IHC polymer detection kit HRP/DAB (ab209101).

Immunohistochemistry (Frozen sections) - Anti-Kallikrein 7/KLK7 antibody [EPR22594-203] (AB254258)
  • IHC-Fr

Unknown

Immunohistochemistry (Frozen sections) - Anti-Kallikrein 7/KLK7 antibody [EPR22594-203] (AB254258)

Immunohistochemical analysis of 0.2% Triton X-100 permeabilised, 4% PFA fixed rat skin tissue labelling KLK7 with ab254258 at 1/100 dilution, followed by AlexaFluor®488 Goat anti-Rabbit secondary (ab150077) at 1/1000 dilution. DAPI was used as nuclear counterstain. Heat mediated antigen retrieval using sodium citrate buffer (10mM citrate pH 6.0 + 0.05% Tween-20) was performed. Specific staining on stratum corneum of rat skin (PMID : 23999494).

Secondary antibody only control : Used PBS instead of primary antibody, secondary antibody is AlexaFluor®488 Goat anti-Rabbit secondary (ab150077) at 1/1000 dilution.

Immunohistochemistry (Formalin/PFA-fixed paraffin-embedded sections) - Anti-Kallikrein 7/KLK7 antibody [EPR22594-203] (AB254258)
  • IHC-P

Unknown

Immunohistochemistry (Formalin/PFA-fixed paraffin-embedded sections) - Anti-Kallikrein 7/KLK7 antibody [EPR22594-203] (AB254258)

Immunohistochemical analysis of paraffin-embedded mouse skin tissue labelling KLK7 with ab254258 at 1/500 dilution for 30 minutes at room temperature, followed by ready to use rabbit specific IHC polymer detection kit HRP/DAB (ab209101). Positive staining on stratum corneum of mouse skin (PMID 23999494). Hematoxylin used as a counterstain.

Heat mediated antigen retrieval with Tris-EDTA buffer (pH 9.0, epitope retrieval solution 2) was performed for 20 mins.

The immunostaining was performed on a Leica Biosystems BOND® RX instrument.

Secondary antibody only control : Used PBS instead of primary antibody, secondary antibody is ready to use rabbit specific IHC polymer detection kit HRP/DAB (ab209101).

Western blot - Anti-Kallikrein 7/KLK7 antibody [EPR22594-203] (AB254258)
  • WB

Unknown

Western blot - Anti-Kallikrein 7/KLK7 antibody [EPR22594-203] (AB254258)

Blocking/Diluting buffer and concentration : 5% NFDM/TBST.

All lanes:

Western blot - Anti-Kallikrein 7/KLK7 antibody [EPR22594-203] (ab254258) at 1/1000 dilution

Lane 1:

Mouse skin lysate at 20 µg

Lane 2:

Rat skin lysate at 20 µg

Secondary

All lanes:

Western blot - Goat Anti-Rabbit IgG H&L (HRP) (<a href='/en-us/products/secondary-antibodies/goat-rabbit-igg-h-l-hrp-ab97051'>ab97051</a>) at 1/100000 dilution

Predicted band size: 28 kDa

Observed band size: 28 kDa

false

Exposure time: 15s

  • Carrier free

    Anti-Kallikrein 7/KLK7 antibody [EPR22594-203] - BSA and Azide free

Key facts

Host species

Rabbit

Clonality

Monoclonal

Clone number

EPR22594-203

Isotype

IgG

Carrier free

No

Reacts with

Mouse, Rat, Human

Applications

WB, IHC-P, IHC-Fr

applications

Immunogen

The exact immunogen used to generate this antibody is proprietary information.

Reactivity data

{ "title": "Reactivity Data", "filters": { "stats": ["", "Species", "Dilution Info", "Notes"], "tabs": { "all-applications": {"fullname" : "All Applications", "shortname": "All Applications"}, "IP" : {"fullname" : "Immunoprecipitation", "shortname":"IP"}, "WB" : {"fullname" : "Western blot", "shortname":"WB"}, "ICCIF" : {"fullname" : "Immunocytochemistry/ Immunofluorescence", "shortname":"ICC/IF"}, "IHCFr" : {"fullname" : "Immunohistochemistry (Frozen sections)", "shortname":"IHC-Fr"}, "IHCP" : {"fullname" : "Immunohistochemistry (Formalin/PFA-fixed paraffin-embedded sections)", "shortname":"IHC-P"} }, "product-promise": { "all": "all", "testedAndGuaranteed": "tested", "guaranteed": "expected", "predicted": "predicted", "notRecommended": "not-recommended" } }, "values": { "Human": { "IP-species-checked": "notRecommended", "IP-species-dilution-info": "", "IP-species-notes": "<p></p> Perform heat-mediated antigen retrieval with Tris/EDTA buffer pH 9.0 before commencing with IHC staining protocol.", "WB-species-checked": "guaranteed", "WB-species-dilution-info": "", "WB-species-notes": "", "ICCIF-species-checked": "notRecommended", "ICCIF-species-dilution-info": "", "ICCIF-species-notes": "<p></p>", "IHCFr-species-checked": "guaranteed", "IHCFr-species-dilution-info": "", "IHCFr-species-notes": "", "IHCP-species-checked": "testedAndGuaranteed", "IHCP-species-dilution-info": "1/500", "IHCP-species-notes": "<p></p> Perform heat-mediated antigen retrieval with Tris/EDTA buffer pH 9.0 before commencing with IHC staining protocol." }, "Mouse": { "IP-species-checked": "notRecommended", "IP-species-dilution-info": "", "IP-species-notes": "<p></p> Perform heat-mediated antigen retrieval with Tris/EDTA buffer pH 9.0 before commencing with IHC staining protocol.", "WB-species-checked": "testedAndGuaranteed", "WB-species-dilution-info": "1/1000", "WB-species-notes": "<p></p>", "ICCIF-species-checked": "notRecommended", "ICCIF-species-dilution-info": "", "ICCIF-species-notes": "<p></p>", "IHCFr-species-checked": "testedAndGuaranteed", "IHCFr-species-dilution-info": "1/100", "IHCFr-species-notes": "<p>Heat mediated antigen retrieval using sodium citrate buffer (10mM citrate pH 6.0 + 0.05% Tween-20)</p>", "IHCP-species-checked": "testedAndGuaranteed", "IHCP-species-dilution-info": "1/500", "IHCP-species-notes": "<p></p> Perform heat-mediated antigen retrieval with Tris/EDTA buffer pH 9.0 before commencing with IHC staining protocol." }, "Rat": { "IP-species-checked": "notRecommended", "IP-species-dilution-info": "", "IP-species-notes": "<p></p> Perform heat-mediated antigen retrieval with Tris/EDTA buffer pH 9.0 before commencing with IHC staining protocol.", "WB-species-checked": "testedAndGuaranteed", "WB-species-dilution-info": "1/1000", "WB-species-notes": "<p></p>", "ICCIF-species-checked": "notRecommended", "ICCIF-species-dilution-info": "", "ICCIF-species-notes": "<p></p>", "IHCFr-species-checked": "testedAndGuaranteed", "IHCFr-species-dilution-info": "1/100", "IHCFr-species-notes": "<p>Heat mediated antigen retrieval using sodium citrate buffer (10mM citrate pH 6.0 + 0.05% Tween-20)</p>", "IHCP-species-checked": "testedAndGuaranteed", "IHCP-species-dilution-info": "1/500", "IHCP-species-notes": "<p></p> Perform heat-mediated antigen retrieval with Tris/EDTA buffer pH 9.0 before commencing with IHC staining protocol." } } }

Product details

Patented technology
Our RabMAb® technology is a patented hybridoma-based technology for making rabbit monoclonal antibodies. For details on our patents, please refer to RabMAb® patents.

What are the advantages of a recombinant monoclonal antibody?
This product is a recombinant monoclonal antibody, which offers several advantages including:

  • - High batch-to-batch consistency and reproducibility
  • - Improved sensitivity and specificity
  • - Long-term security of supply
  • - Animal-free batch production

For more information, read more on recombinant antibodies.

Properties and storage information

Form
Liquid
Purification technique
Affinity purification Protein A
Storage buffer
pH: 7.2 - 7.4 Preservative: 0.01% Sodium azide Constituents: PBS, 40% Glycerol (glycerin, glycerine), 0.05% BSA
Shipped at conditions
Blue Ice
Appropriate short-term storage duration
1-2 weeks
Appropriate short-term storage conditions
+4°C
Appropriate long-term storage conditions
-20°C
Aliquoting information
Upon delivery aliquot
Storage information
Avoid freeze / thaw cycle

Supplementary information

This supplementary information is collated from multiple sources and compiled automatically.

Kallikrein 7 also known as KLK7 is a serine protease enzyme active in the skin. The protein's mass is approximately 27 kDa. It helps in the desquamation process by breaking down corneodesmosomes which are cell structures that facilitate cell adhesion in the outer skin layer. Kallikrein 7 is highly expressed in the epidermis and various mucosal surfaces reflecting its essential role in maintaining skin barrier functions.
Biological function summary

KLK7 contributes to skin homeostasis and renewal processes. Its enzymatic action involves cleaving proteins like desmoglein and corneodesmosin which are part of the desmosomal complex. This activity promotes the natural shedding of skin cells a process important for skin turnover and repair. By regulating this balance KLK7 supports not only skin health but also its resilience against external stressors.

Pathways

KLK7 plays a significant role in processes such as the proteolytic cascade and inflammation. It is involved in the kallikrein-kinin system alongside proteins like KLK5 that modulate inflammatory responses and barrier function in skin. KLK7 also interacts with pathways related to tissue remodeling influencing processes like inflammation through cytokine activation.

KLK7 is linked to skin conditions like atopic dermatitis and psoriasis. These disorders often feature a disrupted skin barrier where KLK7-mediated proteolytic activity increases and may exacerbate inflammation. The relationship with inflammation also connects KLK7 to proteins such as KLK5 which can further intensify skin disorders when their activities are unregulated.

Product protocols

For this product, it's our understanding that no specific protocols are required. You can visit:

Target data

May catalyze the degradation of intercellular cohesive structures in the cornified layer of the skin in the continuous shedding of cells from the skin surface. Specific for amino acid residues with aromatic side chains in the P1 position. Cleaves insulin A chain at '14-Tyr-|-Gln-15' and insulin B chain at '6-Leu-|-Cys-7', '16-Tyr-|-Leu-17', '25-Phe-|-Tyr-26' and '26-Tyr-|-Thr-27'. Could play a role in the activation of precursors to inflammatory cytokines.
See full target information KLK7

Product promise

We are committed to supporting your work with high-quality reagents, and we're here for you every step of the way. In the unlikely event that one of our products does not perform as expected, you're protected by our Product Promise.
For full details, please see our Terms & Conditions

Please note: All products are 'FOR RESEARCH USE ONLY. NOT FOR USE IN DIAGNOSTIC OR THERAPEUTIC PROCEDURES'.

For licensing inquiries, please contact partnerships@abcam.com