JavaScript is disabled in your browser. Please enable JavaScript to view this website.
AB248964

Anti-Kallikrein 8/KLK8 antibody [EPR5752(2)] - BSA and Azide free

Be the first to review this product! Submit a review

|

(1 Publication)

Rabbit Recombinant Monoclonal Kallikrein 8/KLK8 antibody. Carrier free. Suitable for IHC-P, WB and reacts with Human samples. Cited in 1 publication.

View Alternative Names

NRPN, PRSS19, TADG14, UNQ283/PRO322, KLK8, Kallikrein-8, hK8, Neuropsin, Ovasin, Serine protease 19, Serine protease TADG-14, Tumor-associated differentially expressed gene 14 protein, NP

2 Images
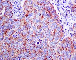
Immunohistochemistry (Formalin/PFA-fixed paraffin-embedded sections) - Anti-Kallikrein 8/KLK8 antibody [EPR5752(2)] - BSA and Azide free (AB248964)
  • IHC-P

Unknown

Immunohistochemistry (Formalin/PFA-fixed paraffin-embedded sections) - Anti-Kallikrein 8/KLK8 antibody [EPR5752(2)] - BSA and Azide free (AB248964)

This data was developed using ab150395, the same antibody clone in a different buffer formulation.

Immunohistochemical analysis of paraffin-embedded Human endometrial carcinoma tissue labelling Kallikrein 8/KLK8 with ab150395 at 1/50 dilution.

Perform heat mediated antigen retrieval before commencing with IHC staining protocol.

Western blot - Anti-Kallikrein 8/KLK8 antibody [EPR5752(2)] - BSA and Azide free (AB248964)
  • WB

Unknown

Western blot - Anti-Kallikrein 8/KLK8 antibody [EPR5752(2)] - BSA and Azide free (AB248964)

This data was developed using ab150395, the same antibody clone in a different buffer formulation.

All lanes:

Western blot - Anti-Kallikrein 8/KLK8 antibody [EPR5752(2)] (<a href='/en-us/products/primary-antibodies/kallikrein-8-klk8-antibody-epr57522-ab150395'>ab150395</a>) at 1/1000 dilution

Lane 1:

Jurkat cell lysate at 10 µg

Lane 2:

Human fetal brain cell lysate at 10 µg

Lane 3:

A431 cell lysate at 10 µg

Lane 4:

HeLa cell lysate at 10 µg

Secondary

All lanes:

HRP labelled goat anti-rabbit

Predicted band size: 28 kDa

false

Key facts

Host species

Rabbit

Clonality

Monoclonal

Clone number

EPR5752(2)

Isotype

IgG

Carrier free

Yes

Reacts with

Human

Applications

IHC-P, WB

applications

Immunogen

The exact immunogen used to generate this antibody is proprietary information.

Reactivity data

{ "title": "Reactivity Data", "filters": { "stats": ["", "Species", "Dilution Info", "Notes"], "tabs": { "all-applications": {"fullname" : "All Applications", "shortname": "All Applications"}, "IHCP" : {"fullname" : "Immunohistochemistry (Formalin/PFA-fixed paraffin-embedded sections)", "shortname":"IHC-P"}, "FlowCyt" : {"fullname" : "Flow Cytometry", "shortname":"Flow Cyt"}, "WB" : {"fullname" : "Western blot", "shortname":"WB"}, "ICCIF" : {"fullname" : "Immunocytochemistry/ Immunofluorescence", "shortname":"ICC/IF"} }, "product-promise": { "all": "all", "testedAndGuaranteed": "tested", "guaranteed": "expected", "predicted": "predicted", "notRecommended": "not-recommended" } }, "values": { "Human": { "IHCP-species-checked": "testedAndGuaranteed", "IHCP-species-dilution-info": "", "IHCP-species-notes": "<p></p>", "FlowCyt-species-checked": "notRecommended", "FlowCyt-species-dilution-info": "", "FlowCyt-species-notes": "<p></p>", "WB-species-checked": "testedAndGuaranteed", "WB-species-dilution-info": "", "WB-species-notes": "<p></p>", "ICCIF-species-checked": "notRecommended", "ICCIF-species-dilution-info": "", "ICCIF-species-notes": "<p></p>" } } }

Product details

ab248964 is the carrier-free version of ab150395.

Patented technology
Our RabMAb® technology is a patented hybridoma-based technology for making rabbit monoclonal antibodies. For details on our patents, please refer to RabMAb® patents.

What are the advantages of a recombinant monoclonal antibody?
This product is a recombinant monoclonal antibody, which offers several advantages including:

  • - High batch-to-batch consistency and reproducibility
  • - Improved sensitivity and specificity
  • - Long-term security of supply
  • - Animal-free batch production

For more information, read more on recombinant antibodies.

Conjugation ready
Our carrier-free antibodies are typically supplied in a PBS-only formulation, purified and free of BSA, sodium azide and glycerol. This conjugation-ready format is designed for use with fluorochromes, metal isotopes, oligonucleotides, and enzymes, which makes them ideal for antibody labelling, functional and cell-based assays, flow-based assays (e.g. mass cytometry) and Multiplex Imaging applications.

Use our conjugation kits for antibody conjugates that are ready-to-use in as little as 20 minutes with 1 minute hands-on-time and 100% antibody recovery: available for fluorescent dyes, HRP, biotin and gold.

Compatibility
This product is compatible with the Maxpar® Antibody Labeling Kit from Fluidigm, without the need for antibody preparation. Maxpar® is a trademark of Fluidigm Canada Inc.

Properties and storage information

Form
Liquid
Purification technique
Affinity purification Protein A
Storage buffer
pH: 7.2 - 7.4 Constituents: PBS
Shipped at conditions
Blue Ice
Appropriate short-term storage conditions
+4°C
Appropriate long-term storage conditions
+4°C
Storage information
Do Not Freeze

Supplementary information

This supplementary information is collated from multiple sources and compiled automatically.

Kallikrein 8 also known as KLK8 is a serine protease enzyme with a molecular mass of approximately 28 kDa. Alternative names include Neurosin and hK8. It is expressed in various tissues notably in the brain testis and skin. KLK8 plays a mechanical role in cleaving protein substrates in these regions aiding in maintaining cellular structures and processes through its proteolytic activity. Its expression is important in neuronal development making it significant in central nervous system function.
Biological function summary

KLK8 involves itself in tissue remodeling and neural plasticity. It interacts with extracellular matrix proteins contributing to cell migration and adhesion. Important in synaptic plasticity KLK8 supports memory formation and learning. KLK8 operates as part of proteolytic cascades and may overlap with other kallikreins in function. Its activity includes modulating neural and skin cells suggesting its importance in cellular differentiation and growth.

Pathways

KLK8 takes part in the kallikrein-kinin system and extracellular matrix degradation pathways. It interacts with proteins such as KLK3 (prostate-specific antigen) within these pathways although KLK3 is more associated with prostate tissue. KLK8's function in these pathways ensures proper maintenance and remodeling of tissue-specific extracellular environments. These activities highlight its relevance in maintaining physiological balance and cellular responses in its primary tissues of expression.

KLK8 links with neurological conditions and certain skin disorders. Altered levels or dysfunctions of KLK8 correlate with disorders like Alzheimer's disease indicating its potential role in amyloid processing. Similar associations exist with skin disorders like psoriasis where KLK8 influences inflammatory response. Research also explores its connection with the protein amyloid-beta contributing to an understanding of its involvement in neurodegenerative diseases. Understanding these interactions can further illuminate potential therapeutic targets for treating these conditions.

Product protocols

For this product, it's our understanding that no specific protocols are required. You can visit:

Target data

Serine protease which is capable of degrading a number of proteins such as casein, fibrinogen, kininogen, fibronectin and collagen type IV. Also cleaves L1CAM in response to increased neural activity. Induces neurite outgrowth and fasciculation of cultured hippocampal neurons. Plays a role in the formation and maturation of orphan and small synaptic boutons in the Schaffer-collateral pathway, regulates Schaffer-collateral long-term potentiation in the hippocampus and is required for memory acquisition and synaptic plasticity. Involved in skin desquamation and keratinocyte proliferation. Plays a role in the secondary phase of pathogenesis following spinal cord injury.
See full target information KLK8

Publications (1)

Recent publications for all applications. Explore the full list and refine your search

Oncology reports 50: PubMed37732539

2023

Heat shock protein B7 (HSPB7) inhibits lung adenocarcinoma progression by inhibiting glycolysis.

Applications

Unspecified application

Species

Unspecified reactive species

Zhitao Chen,Peipei Li,Lingguang Shen,Xiuyu Jiang
View all publications

Product promise

We are committed to supporting your work with high-quality reagents, and we're here for you every step of the way. In the unlikely event that one of our products does not perform as expected, you're protected by our Product Promise.
For full details, please see our Terms & Conditions

Please note: All products are 'FOR RESEARCH USE ONLY. NOT FOR USE IN DIAGNOSTIC OR THERAPEUTIC PROCEDURES'.

For licensing inquiries, please contact partnerships@abcam.com