JavaScript is disabled in your browser. Please enable JavaScript to view this website.
AB230008

Anti-KANSL1 antibody

Be the first to review this product! Submit a review

|

(1 Publication)

Rabbit Polyclonal KANSL1 antibody. Suitable for IHC-P, ICC/IF and reacts with Human samples. Cited in 1 publication. Immunogen corresponding to Recombinant Fragment Protein within Human KANSL1 aa 800-1100.

View Alternative Names

CENP-36, KIAA1267, MSL1V1, NSL1, KANSL1, KAT8 regulatory NSL complex subunit 1, MLL1/MLL complex subunit KANSL1, MSL1 homolog 1, NSL complex protein NSL1, Non-specific lethal 1 homolog, hMSL1v1

2 Images
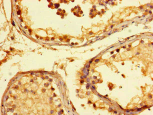
Immunohistochemistry (Formalin/PFA-fixed paraffin-embedded sections) - Anti-KANSL1 antibody (AB230008)
  • IHC-P

Supplier Data

Immunohistochemistry (Formalin/PFA-fixed paraffin-embedded sections) - Anti-KANSL1 antibody (AB230008)

Paraffin-embedded human testis tissue stained for KANSL1 using ab230008 at 1/100 dilution in immunohistochemical analysis.

Immunocytochemistry/ Immunofluorescence - Anti-KANSL1 antibody (AB230008)
  • ICC/IF

Supplier Data

Immunocytochemistry/ Immunofluorescence - Anti-KANSL1 antibody (AB230008)

A549 (human lung carcinoma cell line) cells stained for KANSL1 (green) using ab230008 at 1/100 dilution in ICC/IF, followed by Alexa Fluor®488-conjugated Goat anti-Rabbit IgG (H+L).

Key facts

Host species

Rabbit

Clonality

Polyclonal

Isotype

IgG

Carrier free

No

Reacts with

Human

Applications

IHC-P, ICC/IF

applications

Immunogen

Recombinant Fragment Protein within Human KANSL1 aa 800-1100. The exact immunogen used to generate this antibody is proprietary information.

Q7Z3B3

Reactivity data

{ "title": "Reactivity Data", "filters": { "stats": ["", "Species", "Dilution Info", "Notes"], "tabs": { "all-applications": {"fullname" : "All Applications", "shortname": "All Applications"}, "IHCP" : {"fullname" : "Immunohistochemistry (Formalin/PFA-fixed paraffin-embedded sections)", "shortname":"IHC-P"}, "ICCIF" : {"fullname" : "Immunocytochemistry/ Immunofluorescence", "shortname":"ICC/IF"} }, "product-promise": { "all": "all", "testedAndGuaranteed": "tested", "guaranteed": "expected", "predicted": "predicted", "notRecommended": "not-recommended" } }, "values": { "Human": { "IHCP-species-checked": "testedAndGuaranteed", "IHCP-species-dilution-info": "1/20 - 1/200", "IHCP-species-notes": "<p></p>", "ICCIF-species-checked": "testedAndGuaranteed", "ICCIF-species-dilution-info": "1/50 - 1/200", "ICCIF-species-notes": "<p></p>" }, "Mouse": { "IHCP-species-checked": "predicted", "IHCP-species-dilution-info": "", "IHCP-species-notes": "", "ICCIF-species-checked": "predicted", "ICCIF-species-dilution-info": "", "ICCIF-species-notes": "" } } }

Properties and storage information

Form
Liquid
Purification technique
Affinity purification Protein G
Purification notes
Purity >95%.
Storage buffer
pH: 7.4 Preservative: 0.03% Proclin 300 Constituents: PBS, 50% Glycerol (glycerin, glycerine)
Shipped at conditions
Blue Ice
Appropriate short-term storage duration
1-2 weeks
Appropriate short-term storage conditions
+4°C
Appropriate long-term storage conditions
-20°C
Aliquoting information
Upon delivery aliquot
Storage information
Avoid freeze / thaw cycle

Supplementary information

This supplementary information is collated from multiple sources and compiled automatically.

KANSL1 also known as KAT8 Regulatory NSL Complex Subunit 1 plays a significant role in the regulation of gene expression by acetylating histone H4. The protein has a molecular mass of approximately 114 kDa. It is widely expressed in different tissues with higher levels in the brain heart and skeletal muscle. This expression pattern suggests it has broad regulatory roles in diverse physiological processes.
Biological function summary

KANSL1 functions as a part of the comprehensive NSL chromatin-modifying complex. This complex regulates the transcriptional activation of specific genes by modifying chromatin structure which affects RNA polymerase II activity and gene expression. Through its acetylation activity KANSL1 impacts processes like cell cycle progression cellular differentiation and development. The interaction of KANSL1 with chromatin highlights its central importance in maintaining normal cellular states.

Pathways

The functional activity of KANSL1 connects to several important biological pathways including the DNA damage response and cell cycle pathways. KANSL1 works in conjunction with other proteins like KAT8 and MSL1 to coordinate precise genetic responses to environmental and cellular signals. These pathways ensure genomic stability and proper cell division reflecting the role of KANSL1 in critical cellular processes.

Research has linked KANSL1 to the neurological condition Koolen-de Vries Syndrome (KdVS). KdVS arises due to mutations that affect KANSL1 leading to developmental delays and intellectual disabilities. Furthermore KANSL1's connections with neurodevelopmental proteins such as MBD5 underline its importance in normal brain function. Investigating KANSL1 offers insights into understanding and potentially addressing conditions stemming from its dysfunction.

Product protocols

For this product, it's our understanding that no specific protocols are required. You can visit:

Target data

Non-catalytic component of the NSL histone acetyltransferase complex, a multiprotein complex that mediates histone H4 acetylation at 'Lys-5'- and 'Lys-8' (H4K5ac and H4K8ac) at transcription start sites and promotes transcription initiation (PubMed : 20018852, PubMed : 22547026, PubMed : 33657400). The NSL complex also acts as a regulator of gene expression in mitochondria (PubMed : 27768893).
See full target information KANSL1

Publications (1)

Recent publications for all applications. Explore the full list and refine your search

Discover oncology 16:1047 PubMed40493298

2025

TCF19 expression and significance analysis in breast cancer: integrated bioinformatics analysis and histological validation.

Applications

Unspecified application

Species

Unspecified reactive species

Haiyang Yu,Jingjing Wei,Qinhao Chen,Yueyin Pan,Xiaojun Qian,Jing Pan,Yubei Sun
View all publications

Product promise

We are committed to supporting your work with high-quality reagents, and we're here for you every step of the way. In the unlikely event that one of our products does not perform as expected, you're protected by our Product Promise.
For full details, please see our Terms & Conditions

Please note: All products are 'FOR RESEARCH USE ONLY. NOT FOR USE IN DIAGNOSTIC OR THERAPEUTIC PROCEDURES'.

For licensing inquiries, please contact partnerships@abcam.com