JavaScript is disabled in your browser. Please enable JavaScript to view this website.
AB215550

Anti-KAP1 antibody [EPR5217] - BSA and Azide free

Be the first to review this product! Submit a review

|

(1 Publication)

Rabbit Recombinant Monoclonal KAP1 antibody. Carrier free. Suitable for IHC-P, WB, ICC/IF and reacts with Human, Mouse samples. Cited in 1 publication.

View Alternative Names

KAP1, RNF96, TIF1B, TRIM28, Transcription intermediary factor 1-beta, TIF1-beta, E3 SUMO-protein ligase TRIM28, KRAB-associated protein 1, KRAB-interacting protein 1, Nuclear corepressor KAP-1, RING finger protein 96, RING-type E3 ubiquitin transferase TIF1-beta, Tripartite motif-containing protein 28, KAP-1, KRIP-1

3 Images
Immunocytochemistry/ Immunofluorescence - Anti-KAP1 antibody [EPR5217] - BSA and Azide free (AB215550)
  • ICC/IF

Unknown

Immunocytochemistry/ Immunofluorescence - Anti-KAP1 antibody [EPR5217] - BSA and Azide free (AB215550)

Immunofluorescent staining of HeLa cells using ab109289 at a dilution of 1/100.This data was developed using the same antibody clone in a different buffer formulation containing PBS, BSA, glycerol, and sodium azide (ab109289)

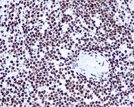
Immunohistochemistry (Formalin/PFA-fixed paraffin-embedded sections) - Anti-KAP1 antibody [EPR5217] - BSA and Azide free (AB215550)
  • IHC-P

Unknown

Immunohistochemistry (Formalin/PFA-fixed paraffin-embedded sections) - Anti-KAP1 antibody [EPR5217] - BSA and Azide free (AB215550)

Immunohistochemical analysis of paraffin-embedded Human spleen tissue using ab109289 at a dilution of 1/250.This data was developed using the same antibody clone in a different buffer formulation containing PBS, BSA, glycerol, and sodium azide (ab109289)

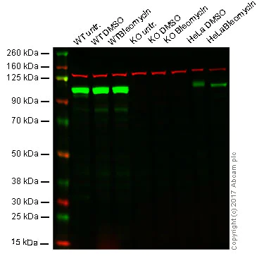
Western blot - Anti-KAP1 antibody [EPR5217] - BSA and Azide free (AB215550)
  • WB

Lab

Western blot - Anti-KAP1 antibody [EPR5217] - BSA and Azide free (AB215550)

Lane 1 : Wild type HAP1 whole cell lysate (20 μg)
Lane 2 : Wild type HAP1 + DMSO whole cell lysate (20 μg)
Lane 3 : Wild type HAP1 + Blaomycin whole cell lysate (20 μg)
Lane 4 : TRIM28 knockout HAP1 whole cell lysate (20 μg)
Lane 5 : TRIM28 knockout HAP1 + DMSO whole cell lysate (20 μg)
Lane 6 : TRIM28 knockout HAP1 + Blaomycin whole cell lysate (20 μg)
Lane 7 : HeLa + DMSO whole cell lysate (20 μg)
Lane 8 : Hela + Blaomycin whole cell lysate (20 μg)

Lanes 1 - 8 : Merged signal (red and green). Green - ab109289 observed at 110 kDa. Red - loading control, ab8245, observed at 37 kDa.

ab109289 was shown to specifically react with KAP1 in wild type cells as signal was lost in KAP1 knockout cells. Wild-type and KAP1 knockout samples were subjected to SDS-PAGE. ab109289 and ab8245 (Mouse anti GAPDH loading control) were incubated overnight at 4°C at 1000 dilution and 1/20000 dilution respectively. Blots were developed with Goat anti-Rabbit IgG H&L (IRDye® 800CW) preabsorbed ab216773 and Goat anti-Mouse IgG H&L (IRDye® 680RD) preabsorbed ab216776 secondary antibodies at 1/20000 dilution for 1 hour at room temperature before imaging.

This data was developed using the same antibody clone in a different buffer formulation containing PBS, BSA, glycerol, and sodium azide (ab109289).

All lanes:

Western blot - Anti-KAP1 antibody [EPR5217] (<a href='/en-us/products/primary-antibodies/kap1-antibody-epr5217-ab109289'>ab109289</a>)

Predicted band size: 88 kDa

false

Key facts

Host species

Rabbit

Clonality

Monoclonal

Clone number

EPR5217

Isotype

IgG

Carrier free

Yes

Reacts with

Mouse, Human

Applications

ICC/IF, WB, IHC-P

applications

Immunogen

The exact immunogen used to generate this antibody is proprietary information.

Reactivity data

{ "title": "Reactivity Data", "filters": { "stats": ["", "Species", "Dilution Info", "Notes"], "tabs": { "all-applications": {"fullname" : "All Applications", "shortname": "All Applications"}, "IHCP" : {"fullname" : "Immunohistochemistry (Formalin/PFA-fixed paraffin-embedded sections)", "shortname":"IHC-P"}, "IP" : {"fullname" : "Immunoprecipitation", "shortname":"IP"}, "FlowCyt" : {"fullname" : "Flow Cytometry", "shortname":"Flow Cyt"}, "WB" : {"fullname" : "Western blot", "shortname":"WB"}, "ICCIF" : {"fullname" : "Immunocytochemistry/ Immunofluorescence", "shortname":"ICC/IF"} }, "product-promise": { "all": "all", "testedAndGuaranteed": "tested", "guaranteed": "expected", "predicted": "predicted", "notRecommended": "not-recommended" } }, "values": { "Human": { "IHCP-species-checked": "testedAndGuaranteed", "IHCP-species-dilution-info": "", "IHCP-species-notes": "<p></p>", "IP-species-checked": "notRecommended", "IP-species-dilution-info": "", "IP-species-notes": "<p></p>", "FlowCyt-species-checked": "notRecommended", "FlowCyt-species-dilution-info": "", "FlowCyt-species-notes": "<p></p>", "WB-species-checked": "testedAndGuaranteed", "WB-species-dilution-info": "", "WB-species-notes": "<p></p>", "ICCIF-species-checked": "testedAndGuaranteed", "ICCIF-species-dilution-info": "", "ICCIF-species-notes": "<p></p>" }, "Mouse": { "IHCP-species-checked": "guaranteed", "IHCP-species-dilution-info": "", "IHCP-species-notes": "<p></p>", "IP-species-checked": "notRecommended", "IP-species-dilution-info": "", "IP-species-notes": "<p></p>", "FlowCyt-species-checked": "notRecommended", "FlowCyt-species-dilution-info": "", "FlowCyt-species-notes": "<p></p>", "WB-species-checked": "guaranteed", "WB-species-dilution-info": "", "WB-species-notes": "<p></p>", "ICCIF-species-checked": "guaranteed", "ICCIF-species-dilution-info": "", "ICCIF-species-notes": "<p></p>" }, "Rat": { "IHCP-species-checked": "predicted", "IHCP-species-dilution-info": "", "IHCP-species-notes": "", "IP-species-checked": "notRecommended", "IP-species-dilution-info": "", "IP-species-notes": "", "FlowCyt-species-checked": "notRecommended", "FlowCyt-species-dilution-info": "", "FlowCyt-species-notes": "", "WB-species-checked": "predicted", "WB-species-dilution-info": "", "WB-species-notes": "", "ICCIF-species-checked": "predicted", "ICCIF-species-dilution-info": "", "ICCIF-species-notes": "" } } }

Product details

ab215550 is the carrier-free version of ab109289.

Patented technology
Our RabMAb® technology is a patented hybridoma-based technology for making rabbit monoclonal antibodies. For details on our patents, please refer to RabMAb® patents.

What are the advantages of a recombinant monoclonal antibody?
This product is a recombinant monoclonal antibody, which offers several advantages including:

  • - High batch-to-batch consistency and reproducibility
  • - Improved sensitivity and specificity
  • - Long-term security of supply
  • - Animal-free batch production

For more information, read more on recombinant antibodies.

Conjugation ready
Our carrier-free antibodies are typically supplied in a PBS-only formulation, purified and free of BSA, sodium azide and glycerol. This conjugation-ready format is designed for use with fluorochromes, metal isotopes, oligonucleotides, and enzymes, which makes them ideal for antibody labelling, functional and cell-based assays, flow-based assays (e.g. mass cytometry) and Multiplex Imaging applications.

Use our conjugation kits for antibody conjugates that are ready-to-use in as little as 20 minutes with 1 minute hands-on-time and 100% antibody recovery: available for fluorescent dyes, HRP, biotin and gold.

Compatibility
This product is compatible with the Maxpar® Antibody Labeling Kit from Fluidigm, without the need for antibody preparation. Maxpar® is a trademark of Fluidigm Canada Inc.

Properties and storage information

Form
Liquid
Purification technique
Affinity purification Protein A
Storage buffer
pH: 7.2 - 7.4 Constituents: PBS
Shipped at conditions
Blue Ice
Appropriate short-term storage conditions
+4°C
Appropriate long-term storage conditions
+4°C
Storage information
Do Not Freeze

Supplementary information

This supplementary information is collated from multiple sources and compiled automatically.

KAP1 also known as TRIM28 or TIF1β is a multifunctional protein involved in transcriptional regulation. It has a molecular weight of approximately 87 kDa. This protein is expressed in a wide variety of human tissues where it plays a role as a co-repressor for KRAB domain-containing zinc finger proteins. KAP1 recruits various epigenetic modifiers to silence transcription and this activity depends on its phosphorylation status. You might explore KAP1 using KAP1 ELISA kits and study its post-translational modifications like phosphorylation in various conditions.
Biological function summary

KAP1 acts as a scaffold protein facilitating the assembly of large protein complexes that include chromatin remodelers and histone deacetylases. It is significant in maintaining chromatin structure and mediating gene silencing. KAP1 phosphorylation serves as a switch between its roles in transcriptional repression and activation. This protein also interacts with heterochromatin protein 1 (HP1) and other TRIM family proteins playing an important role in genomic stability by controlling gene expression and repair mechanisms.

Pathways

KAP1 participates actively in p53 and DNA damage response pathways. In the p53 pathway KAP1 regulates genes involved in the cell cycle and apoptosis acting in conjunction with the p53 protein. Within the DNA damage response KAP1 modulates the repair of double-strand breaks by interacting with proteins like ATM kinase influencing cellular sensitivity to genotoxic stress. These pathways highlight its importance in maintaining cellular homeostasis and response to external stimuli.

KAP1 has known connections with cancer and neurological disorders due to its regulatory effects on gene expression and genome stability. In cancer aberrant KAP1 activity can lead to unregulated cell proliferation and survival often involving changes in its interaction with the p53 protein. In neurological disorders dysregulation of KAP1 is associated with impaired neural development and neurodegeneration. Altogether these associations highlight KAP1 as a potential target for therapeutic interventions in related diseases.

Product protocols

For this product, it's our understanding that no specific protocols are required. You can visit:

Target data

Nuclear corepressor for KRAB domain-containing zinc finger proteins (KRAB-ZFPs). Mediates gene silencing by recruiting CHD3, a subunit of the nucleosome remodeling and deacetylation (NuRD) complex, and SETDB1 (which specifically methylates histone H3 at 'Lys-9' (H3K9me)) to the promoter regions of KRAB target genes. Enhances transcriptional repression by coordinating the increase in H3K9me, the decrease in histone H3 'Lys-9 and 'Lys-14' acetylation (H3K9ac and H3K14ac, respectively) and the disposition of HP1 proteins to silence gene expression. Recruitment of SETDB1 induces heterochromatinization. May play a role as a coactivator for CEBPB and NR3C1 in the transcriptional activation of ORM1. Also a corepressor for ERBB4. Inhibits E2F1 activity by stimulating E2F1-HDAC1 complex formation and inhibiting E2F1 acetylation. May serve as a partial backup to prevent E2F1-mediated apoptosis in the absence of RB1. Important regulator of CDKN1A/p21(CIP1). Has E3 SUMO-protein ligase activity toward itself via its PHD-type zinc finger. Also specifically sumoylates IRF7, thereby inhibiting its transactivation activity. Ubiquitinates p53/TP53 leading to its proteasomal degradation; the function is enhanced by MAGEC2 and MAGEA2, and possibly MAGEA3 and MAGEA6. Mediates the nuclear localization of KOX1, ZNF268 and ZNF300 transcription factors. In association with isoform 2 of ZFP90, is required for the transcriptional repressor activity of FOXP3 and the suppressive function of regulatory T-cells (Treg) (PubMed : 23543754). Probably forms a corepressor complex required for activated KRAS-mediated promoter hypermethylation and transcriptional silencing of tumor suppressor genes (TSGs) or other tumor-related genes in colorectal cancer (CRC) cells (PubMed : 24623306). Required to maintain a transcriptionally repressive state of genes in undifferentiated embryonic stem cells (ESCs) (PubMed : 24623306). In ESCs, in collaboration with SETDB1, is also required for H3K9me3 and silencing of endogenous and introduced retroviruses in a DNA-methylation independent-pathway (By similarity). Associates at promoter regions of tumor suppressor genes (TSGs) leading to their gene silencing (PubMed : 24623306). The SETDB1-TRIM28-ZNF274 complex may play a role in recruiting ATRX to the 3'-exons of zinc-finger coding genes with atypical chromatin signatures to establish or maintain/protect H3K9me3 at these transcriptionally active regions (PubMed : 27029610).. (Microbial infection) Plays a critical role in the shutdown of lytic gene expression during the early stage of herpes virus 8 primary infection. This inhibition is mediated through interaction with herpes virus 8 protein LANA1.
See full target information TRIM28

Publications (1)

Recent publications for all applications. Explore the full list and refine your search

BMC veterinary research 21:11 PubMed39789573

2025

Putative effects of moringa oil or its nano-emulsion on the growth, physiological responses, blood health, semen quality, and the sperm antioxidant-related genes in ram.

Applications

Unspecified application

Species

Unspecified reactive species

Rehab F S A Ismail,Wael A Khalil,Sara I Grawish,Karima Gh M Mahmoud,Sameh A Abdelnour,Alaa M A Gad
View all publications

Product promise

We are committed to supporting your work with high-quality reagents, and we're here for you every step of the way. In the unlikely event that one of our products does not perform as expected, you're protected by our Product Promise.
For full details, please see our Terms & Conditions

Please note: All products are 'FOR RESEARCH USE ONLY. NOT FOR USE IN DIAGNOSTIC OR THERAPEUTIC PROCEDURES'.

For licensing inquiries, please contact partnerships@abcam.com