JavaScript is disabled in your browser. Please enable JavaScript to view this website.
AB238007

Anti-Kappa light chain antibody [rKLC264]

Be the first to review this product! Submit a review

|

(1 Publication)

Mouse Recombinant Monoclonal KVD16 antibody. Suitable for IHC-P, Protein Array and reacts with Human, Recombinant full length protein - Human samples. Cited in 1 publication. Immunogen corresponding to Recombinant Full Length Protein corresponding to Human IGKV1D-16.

View Alternative Names

Immunoglobulin kappa variable 1D-16, Ig kappa chain V-I region HK146, Ig kappa chain V-I region HK189, IGKV1D-16

2 Images
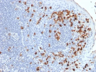
Immunohistochemistry (Formalin/PFA-fixed paraffin-embedded sections) - Anti-Kappa light chain antibody [rKLC264] (AB238007)
  • IHC-P

Supplier Data

Immunohistochemistry (Formalin/PFA-fixed paraffin-embedded sections) - Anti-Kappa light chain antibody [rKLC264] (AB238007)

Formalin-fixed, paraffin-embedded human tonsil tissue stained for Kappa light chain using ab238007 at 1 μg/ml in immunohistochemical analysis.

Protein Array - Anti-Kappa light chain antibody [rKLC264] (AB238007)
  • Protein Array

Unknown

Protein Array - Anti-Kappa light chain antibody [rKLC264] (AB238007)

ab238007 was tested in protein array against over 19000 different full-length human proteins.
Z- and S- Score : The Z-score represents the strength of a signal that a monoclonal antibody (MAb) (in combination with a fluorescently-tagged anti-IgG secondary antibody) produces when binding to a particular protein on the HuProtTM array. Z-scores are described in units of standard deviations (SD's) above the mean value of all signals generated on that array. If targets on HuProtTM are arranged in descending order of the Z-score, the S-score is the difference (also in units of SD's) between the Z-score. S-score therefore represents the relative target specificity of a MAb to its intended target.
A MAb is specific to its intended target if the MAb has an S-score of at least 2.5. For example, if a MAb binds to protein X with a Z-score of 43 and to protein Y with a Z-score of 14, then the S-score for the binding of that MAb to protein X is equal to 29.

  • Carrier free

    Anti-Kappa light chain antibody [rKLC264] - BSA and Azide free

Key facts

Host species

Mouse

Clonality

Monoclonal

Clone number

rKLC264

Isotype

IgG1

Carrier free

No

Reacts with

Human

Applications

IHC-P, Protein Array

applications

Immunogen

Recombinant Full Length Protein corresponding to Human IGKV1D-16.

P01601

Reactivity data

{ "title": "Reactivity Data", "filters": { "stats": ["", "Species", "Dilution Info", "Notes"], "tabs": { "all-applications": {"fullname" : "All Applications", "shortname": "All Applications"}, "IHCP" : {"fullname" : "Immunohistochemistry (Formalin/PFA-fixed paraffin-embedded sections)", "shortname":"IHC-P"}, "ProteinArray" : {"fullname" : "Protein Array", "shortname":"Protein Array"} }, "product-promise": { "all": "all", "testedAndGuaranteed": "tested", "guaranteed": "expected", "predicted": "predicted", "notRecommended": "not-recommended" } }, "values": { "Human": { "IHCP-species-checked": "testedAndGuaranteed", "IHCP-species-dilution-info": "0.5-1 µg/mL", "IHCP-species-notes": "<p>Incubate with primary antibody for 30 minutes at RT.</p>", "ProteinArray-species-checked": "guaranteed", "ProteinArray-species-dilution-info": "", "ProteinArray-species-notes": "" }, "Recombinant full length protein - Human": { "IHCP-species-checked": "notRecommended", "IHCP-species-dilution-info": "", "IHCP-species-notes": "", "ProteinArray-species-checked": "testedAndGuaranteed", "ProteinArray-species-dilution-info": "", "ProteinArray-species-notes": "<p></p>" } } }

Properties and storage information

Form
Liquid
Purification technique
Affinity purification Protein A/G
Purification notes
Purified from Bioreactor Concentrate by Protein A/G.
Storage buffer
pH: 7.2 - 7.4 Preservative: 0.05% Sodium azide Constituents: PBS, 0.05% BSA
Shipped at conditions
Blue Ice
Appropriate short-term storage duration
1-2 weeks
Appropriate short-term storage conditions
+4°C
Appropriate long-term storage conditions
-20°C
Aliquoting information
Upon delivery aliquot
Storage information
Avoid freeze / thaw cycle

Supplementary information

This supplementary information is collated from multiple sources and compiled automatically.

The kappa light chain alternatively known as Ig kappa chain is a component of immunoglobulins which are important for immune response. This protein has a molecular mass of roughly 25 kDa. It predominantly expresses in B lymphocytes where it pairs with heavy chains to form antibodies. Its expression is indicative of mature B cell functions serving as a marker for certain types of immune cells. The kappa light chain can also be detected outside of cells circulating in the blood and other bodily fluids.
Biological function summary

Kappa light chains are integral to the structure and function of antibodies. As part of the immunoglobulin molecule these chains contribute to antigen specificity by combining with heavy chains. Together they form the antigen-binding site. The kappa light chain is not part of a multiprotein complex; rather it directly participates in the antibody response. The presence of either kappa or lambda light chains can determine the particularities of antibody characteristics.

Pathways

Kappa light chains are elements of the immunological pathways notably the adaptive immune response. They interact with other proteins like immunoglobulin heavy chains to neutralize pathogens. The constant region of the kappa chain plays a role in determining the isotype of immunoglobulins which affects how antibodies mediate immune effector functions. Cross-linking of surface immunoglobulin by antigens can trigger B cell activation an essential step in the adaptive immune system.

Kappa light chains associate closely with multiple myeloma and certain types of lymphomas. Overproduction of kappa light chains in these diseases results in high levels detectable in the serum or urine which can be used diagnostically as markers. Also dysregulation of kappa chains correlates with autoimmune disorders whereby the immune system incorrectly targets its tissues. In disorders like these the interplay between kappa and lambda chains often arises showing imbalance between the two as a sign of abnormal B cell activity.

Product protocols

For this product, it's our understanding that no specific protocols are required. You can visit:

Target data

V region of the variable domain of immunoglobulin light chains that participates in the antigen recognition (PubMed : 24600447). Immunoglobulins, also known as antibodies, are membrane-bound or secreted glycoproteins produced by B lymphocytes. In the recognition phase of humoral immunity, the membrane-bound immunoglobulins serve as receptors which, upon binding of a specific antigen, trigger the clonal expansion and differentiation of B lymphocytes into immunoglobulins-secreting plasma cells. Secreted immunoglobulins mediate the effector phase of humoral immunity, which results in the elimination of bound antigens (PubMed : 20176268, PubMed : 22158414). The antigen binding site is formed by the variable domain of one heavy chain, together with that of its associated light chain. Thus, each immunoglobulin has two antigen binding sites with remarkable affinity for a particular antigen. The variable domains are assembled by a process called V-(D)-J rearrangement and can then be subjected to somatic hypermutations which, after exposure to antigen and selection, allow affinity maturation for a particular antigen (PubMed : 17576170, PubMed : 20176268).
See full target information IGKV1D-16

Publications (1)

Recent publications for all applications. Explore the full list and refine your search

International journal of molecular sciences 25: PubMed38674016

2024

The CaMK Family Differentially Promotes Necroptosis and Mouse Cardiac Graft Injury and Rejection.

Applications

Unspecified application

Species

Unspecified reactive species

Haitao Lu,Jifu Jiang,Jeffery Min,Xuyan Huang,Patrick McLeod,Weihua Liu,Aaron Haig,Lakshman Gunaratnam,Anthony M Jevnikar,Zhu-Xu Zhang
View all publications

Product promise

We are committed to supporting your work with high-quality reagents, and we're here for you every step of the way. In the unlikely event that one of our products does not perform as expected, you're protected by our Product Promise.
For full details, please see our Terms & Conditions

Please note: All products are 'FOR RESEARCH USE ONLY. NOT FOR USE IN DIAGNOSTIC OR THERAPEUTIC PROCEDURES'.

For licensing inquiries, please contact partnerships@abcam.com