JavaScript is disabled in your browser. Please enable JavaScript to view this website.
AB313896

Anti-Kappa light chain antibody [RM1057] - BSA and Azide free

4

(1 Review)

|

(0 Publication)

Rabbit Recombinant Multiclonal IGKC antibody. Carrier free. Suitable for WB, IHC-P, ICC/IF, IP, I-ELISA and reacts with Human, Recombinant fragment - Human samples.

View Alternative Names

Immunoglobulin kappa constant, Ig kappa chain C region, Ig kappa chain C region AG, Ig kappa chain C region CUM, Ig kappa chain C region EU, Ig kappa chain C region OU, Ig kappa chain C region ROY, Ig kappa chain C region TI, IGKC

7 Images
Immunocytochemistry/ Immunofluorescence - Anti-Kappa light chain antibody [RM1057] - BSA and Azide free (AB313896)
  • ICC/IF

Supplier Data

Immunocytochemistry/ Immunofluorescence - Anti-Kappa light chain antibody [RM1057] - BSA and Azide free (AB313896)

This data was developed using ab313895, the same antibody clone in a different buffer formulation. Immunofluorescent analysis of 4% Paraformaldehyde-fixed, 0.1% TritonX-100 permeabilized Raji (human Burkitt's lymphoma B lymphocyte) cells labelling Kappa light chain with ab313895 at 1/500 (0.908 ug/ml) dilution, followed by ab150081 Goat Anti-Rabbit IgG H&L (Alexa Fluor® 488) preadsorbed antibody at 1/1000 2ug/ml dilution (Green). Confocal image showing cytoplasmic staining in Raji cell line. Negative control : MCF7. Image was taken with a confocal microscope(Leica-Microsystems, TCS SP8). ab195889 Anti-alpha Tubulin mouse monoclonal antibody - Microtubule Marker (Alexa Fluor® 594) was used to counterstain tubulin at 1/200 2.5ug/ml dilution (Red). The Nuclear counterstain was DAPI (Blue). Secondary antibody only control : Secondary antibody is ab150081 Goat Anti-Rabbit IgG H&L (Alexa Fluor® 488) preadsorbed at 1/1000 2ug/ml dilution.

Immunohistochemistry (Formalin/PFA-fixed paraffin-embedded sections) - Anti-Kappa light chain antibody [RM1057] - BSA and Azide free (AB313896)
  • IHC-P

Supplier Data

Immunohistochemistry (Formalin/PFA-fixed paraffin-embedded sections) - Anti-Kappa light chain antibody [RM1057] - BSA and Azide free (AB313896)

This data was developed using ab313895, the same antibody clone in a different buffer formulation. Immunohistochemical analysis of paraffin-embedded Human breast cancer tissue labeling Kappa light chain with ab313895 at 1/5000 (0.227 ug/ml) followed by a ready to use LeicaDS9800 (Bond™ Polymer Refine Detection). Positive staining on stromal cells of human breast cancer.The section was incubated with ab313895 for 30 mins at room temperature.The immunostaining was performed on a Leica Biosystems BOND® RX instrument Counterstained with Hematoxylin. Secondary antibody only control : Secondary antibody is a ready to use LeicaDS9800 (Bond™ Polymer Refine Detection). Heat mediated antigen retrieval was performed with Tris-EDTA buffer (pH 9.0, Epitope Retrieval Solution2) for 20 mins

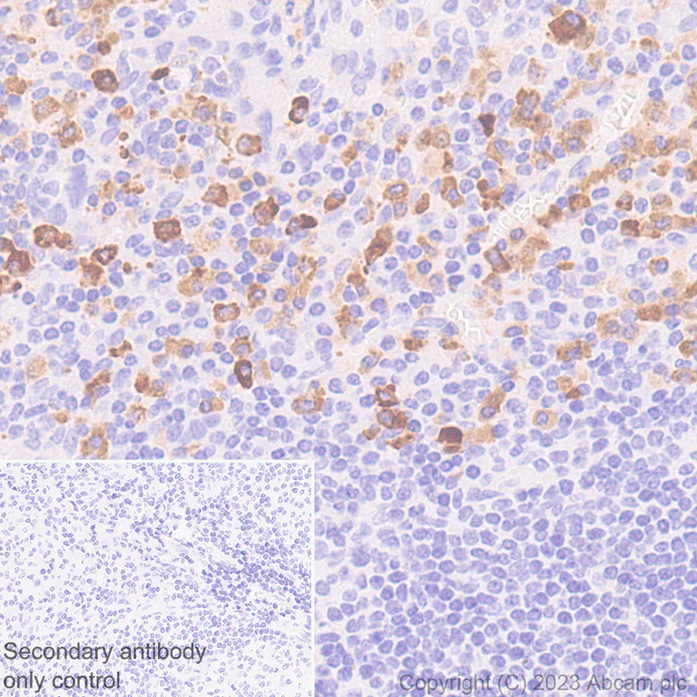
Immunohistochemistry (Formalin/PFA-fixed paraffin-embedded sections) - Anti-Kappa light chain antibody [RM1057] - BSA and Azide free (AB313896)
  • IHC-P

Supplier Data

Immunohistochemistry (Formalin/PFA-fixed paraffin-embedded sections) - Anti-Kappa light chain antibody [RM1057] - BSA and Azide free (AB313896)

This data was developed using ab313895, the same antibody clone in a different buffer formulation. Immunohistochemical analysis of paraffin-embedded Human tonsil tissue labeling Kappa light chain with ab313895 at 1/5000 (0.227 ug/ml) followed by a ready to use LeicaDS9800 (Bond™ Polymer Refine Detection). Positive staining on human tonsil.The section was incubated with ab313895 for 30 mins at room temperature.The immunostaining was performed on a Leica Biosystems BOND® RX instrument Counterstained with Hematoxylin. Secondary antibody only control : Secondary antibody is a ready to use LeicaDS9800 (Bond™ Polymer Refine Detection). Heat mediated antigen retrieval was performed with Tris-EDTA buffer (pH 9.0, Epitope Retrieval Solution2) for 20 mins

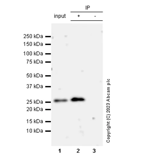
Immunoprecipitation - Anti-Kappa light chain antibody [RM1057] - BSA and Azide free (AB313896)
  • IP

Supplier Data

Immunoprecipitation - Anti-Kappa light chain antibody [RM1057] - BSA and Azide free (AB313896)

This data was developed using ab313895, the same antibody clone in a different buffer formulation. Kappa light chain was immunoprecipitated from 0.35 mg Raji (human Burkitt's lymphoma B lymphocyte) whole cell lysate with ab313895 at 1/30 dilution (2ug in 0.35mg lysates). Western blot was performed on the immunoprecipitate using ab313895 at 1/1000 dilution. VeriBlot for IP secondary antibody(HRP)(ab131366) was used at 1/5000 dilution. Lane 1 : Raji (human Burkitt's lymphoma B lymphocyte) whole cell lysate Lane 2 : ab313895 IP in Raji (human Burkitt's lymphoma B lymphocyte) whole cell lysate Lane 3 : Rabbit monoclonal IgG (ab172730) instead of ab313895 in Raji whole cell lysate Blocking and dilution buffer and concentration : 5% NFDM/TBST. Exposure time : 180 seconds

All lanes:

Immunoprecipitation - Anti-Kappa light chain antibody [RM1057] (<a href='/en-us/products/primary-antibodies/kappa-light-chain-antibody-rm1057-ab313895'>ab313895</a>) at 1/30 dilution

All lanes:

Raji (human Burkitt's lymphoma B lymphocyte) whole cell lysate

Secondary

All lanes:

Immunoprecipitation - VeriBlot for IP Detection Reagent (HRP) (<a href='/en-us/products/reagents/veriblot-for-ip-detection-reagent-hrp-ab131366'>ab131366</a>) at 1/5000 dilution

false

Exposure time: 180s

Western blot - Anti-Kappa light chain antibody [RM1057] - BSA and Azide free (AB313896)
  • WB

Supplier Data

Western blot - Anti-Kappa light chain antibody [RM1057] - BSA and Azide free (AB313896)

This data was developed using ab313895, the same antibody clone in a different buffer formulation. Blocking and diluting buffer and concentration : 5% NFDM/TBST Low expression : cerebellum. In Western blot, anti-GAPDH antibody (ab181602) loading control staining at 1/200000 dilution. Exposure time : 48 seconds

All lanes:

Western blot - Anti-Kappa light chain antibody [RM1057] (<a href='/en-us/products/primary-antibodies/kappa-light-chain-antibody-rm1057-ab313895'>ab313895</a>) at 1/1000 dilution

Lane 1:

Human cerebellum tissue lysate at 20 µg

Lane 2:

Human liver tissue lysate at 20 µg

Lane 3:

Human kidney tissue lysate at 20 µg

Lane 4:

Human spleen tissue lysate at 20 µg

Secondary

All lanes:

Western blot - VeriBlot for IP Detection Reagent (HRP) (<a href='/en-us/products/reagents/veriblot-for-ip-detection-reagent-hrp-ab131366'>ab131366</a>) at 1/1000 dilution

Observed band size: 25 kDa

false

Exposure time: 48s

Western blot - Anti-Kappa light chain antibody [RM1057] - BSA and Azide free (AB313896)
  • WB

Supplier Data

Western blot - Anti-Kappa light chain antibody [RM1057] - BSA and Azide free (AB313896)

This data was developed using ab313895, the same antibody clone in a different buffer formulation. Blocking and diluting buffer and concentration : 5% NFDM/TBST Negative control : MCF7 In Western blot, anti-GAPDH antibody (ab181602) loading control staining at 1/200000 dilution. Exposure time : 3 minutes

All lanes:

Western blot - Anti-Kappa light chain antibody [RM1057] (<a href='/en-us/products/primary-antibodies/kappa-light-chain-antibody-rm1057-ab313895'>ab313895</a>) at 1/1000 dilution

Lane 1:

Raji (human Burkitts lymphoma B lymphocyte) whole cell lysate at 20 µg

Lane 2:

MCF7 (human breast adenocarcinoma epithelial cell) whole cell lysate at 20 µg

Secondary

All lanes:

Western blot - VeriBlot for IP Detection Reagent (HRP) (<a href='/en-us/products/reagents/veriblot-for-ip-detection-reagent-hrp-ab131366'>ab131366</a>) at 1/1000 dilution

Observed band size: 25 kDa

false

Exposure time: 3s

Indirect ELISA - Anti-Kappa light chain antibody [RM1057] - BSA and Azide free (AB313896)
  • I-ELISA

Supplier Data

Indirect ELISA - Anti-Kappa light chain antibody [RM1057] - BSA and Azide free (AB313896)

This data was developed using ab313895, the same antibody clone in a different buffer formulation. Indirect ELISA analysis of ab313895 at 1000-0 ng/ml. The Secondary antibody used was Alkaline Phosphatase-conjugated AffiniPure Goat Anti-Rabbit IgG (H+L) at 1 : 2500 dilution. Antigen : Human Kappa Light Chains, Human Lamda Light Chains, Human IgA, Human IgM, Human IgG, Rat IgG, Mouse IgG. Antigen concentration : 1000 ng/ml

Key facts

Host species

Rabbit

Clonality

Multiclonal

Clone number

RM1057

Isotype

IgG

Carrier free

Yes

Reacts with

Human

Applications

IP, I-ELISA, WB, ICC/IF, IHC-P

applications

Immunogen

The exact immunogen used to generate this antibody is proprietary information.

Reactivity data

{ "title": "Reactivity Data", "filters": { "stats": ["", "Species", "Dilution Info", "Notes"], "tabs": { "all-applications": {"fullname" : "All Applications", "shortname": "All Applications"}, "WB" : {"fullname" : "Western blot", "shortname":"WB"}, "IHCP" : {"fullname" : "Immunohistochemistry (Formalin/PFA-fixed paraffin-embedded sections)", "shortname":"IHC-P"}, "ICCIF" : {"fullname" : "Immunocytochemistry/ Immunofluorescence", "shortname":"ICC/IF"}, "IP" : {"fullname" : "Immunoprecipitation", "shortname":"IP"}, "IELISA" : {"fullname" : "Indirect ELISA", "shortname":"I-ELISA"}, "FlowCyt" : {"fullname" : "Flow Cytometry", "shortname":"Flow Cyt"} }, "product-promise": { "all": "all", "testedAndGuaranteed": "tested", "guaranteed": "expected", "predicted": "predicted", "notRecommended": "not-recommended" } }, "values": { "Human": { "WB-species-checked": "testedAndGuaranteed", "WB-species-dilution-info": "", "WB-species-notes": "<p></p>", "IHCP-species-checked": "testedAndGuaranteed", "IHCP-species-dilution-info": "", "IHCP-species-notes": "<p></p>", "ICCIF-species-checked": "testedAndGuaranteed", "ICCIF-species-dilution-info": "", "ICCIF-species-notes": "<p></p>", "IP-species-checked": "testedAndGuaranteed", "IP-species-dilution-info": "", "IP-species-notes": "<p></p>", "IELISA-species-checked": "guaranteed", "IELISA-species-dilution-info": "", "IELISA-species-notes": "", "FlowCyt-species-checked": "notRecommended", "FlowCyt-species-dilution-info": "", "FlowCyt-species-notes": "<p></p>" }, "Recombinant fragment - Human": { "WB-species-checked": "notRecommended", "WB-species-dilution-info": "", "WB-species-notes": "", "IHCP-species-checked": "notRecommended", "IHCP-species-dilution-info": "", "IHCP-species-notes": "", "ICCIF-species-checked": "notRecommended", "ICCIF-species-dilution-info": "", "ICCIF-species-notes": "", "IP-species-checked": "notRecommended", "IP-species-dilution-info": "", "IP-species-notes": "", "IELISA-species-checked": "testedAndGuaranteed", "IELISA-species-dilution-info": "", "IELISA-species-notes": "<p></p>", "FlowCyt-species-checked": "notRecommended", "FlowCyt-species-dilution-info": "", "FlowCyt-species-notes": "" } } }

Product details

What are recombinant multiclonals?
Recombinant multiclonals are a mixture of recombinant antibodies co-expressed from a library of heavy and light chains. They offer several advantages including:

  • - The sensitivity of polyclonal antibodies by recognising multiple epitopes
  • - High batch-to-batch consistency and reproducibility
  • - Improved sensitivity and specificity
  • - Long-term security of supply
  • - Animal-free batch production

View our range of recombinant multiclonal antibodies.

Patented technology
Our RabMAb® technology is a patented hybridoma-based technology for making rabbit monoclonal antibodies. For details on our patents, please refer to RabMAb® patents.

Conjugation ready
Our carrier-free antibodies are typically supplied in a PBS-only formulation, purified and free of BSA, sodium azide and glycerol. This conjugation-ready format is designed for use with fluorochromes, metal isotopes, oligonucleotides, and enzymes, which makes them ideal for antibody labelling, functional and cell-based assays, flow-based assays (e.g. mass cytometry) and Multiplex Imaging applications.

Use our conjugation kits for antibody conjugates that are ready-to-use in as little as 20 minutes with 1 minute hands-on-time and 100% antibody recovery: available for fluorescent dyes, HRP, biotin and gold.

Compatibility
This product is compatible with the Maxpar® Antibody Labeling Kit from Fluidigm, without the need for antibody preparation. Maxpar® is a trademark of Fluidigm Canada Inc.

Properties and storage information

Form
Liquid
Purification technique
Affinity purification Protein A
Storage buffer
pH: 7.2 - 7.4 Constituents: PBS
Shipped at conditions
Blue Ice
Appropriate short-term storage conditions
+4°C
Appropriate long-term storage conditions
+4°C

Supplementary information

This supplementary information is collated from multiple sources and compiled automatically.

The kappa light chain alternatively known as Ig kappa chain is a component of immunoglobulins which are important for immune response. This protein has a molecular mass of roughly 25 kDa. It predominantly expresses in B lymphocytes where it pairs with heavy chains to form antibodies. Its expression is indicative of mature B cell functions serving as a marker for certain types of immune cells. The kappa light chain can also be detected outside of cells circulating in the blood and other bodily fluids.
Biological function summary

Kappa light chains are integral to the structure and function of antibodies. As part of the immunoglobulin molecule these chains contribute to antigen specificity by combining with heavy chains. Together they form the antigen-binding site. The kappa light chain is not part of a multiprotein complex; rather it directly participates in the antibody response. The presence of either kappa or lambda light chains can determine the particularities of antibody characteristics.

Pathways

Kappa light chains are elements of the immunological pathways notably the adaptive immune response. They interact with other proteins like immunoglobulin heavy chains to neutralize pathogens. The constant region of the kappa chain plays a role in determining the isotype of immunoglobulins which affects how antibodies mediate immune effector functions. Cross-linking of surface immunoglobulin by antigens can trigger B cell activation an essential step in the adaptive immune system.

Kappa light chains associate closely with multiple myeloma and certain types of lymphomas. Overproduction of kappa light chains in these diseases results in high levels detectable in the serum or urine which can be used diagnostically as markers. Also dysregulation of kappa chains correlates with autoimmune disorders whereby the immune system incorrectly targets its tissues. In disorders like these the interplay between kappa and lambda chains often arises showing imbalance between the two as a sign of abnormal B cell activity.

Product protocols

For this product, it's our understanding that no specific protocols are required. You can visit:

Target data

Constant region of immunoglobulin light chains. Immunoglobulins, also known as antibodies, are membrane-bound or secreted glycoproteins produced by B lymphocytes. In the recognition phase of humoral immunity, the membrane-bound immunoglobulins serve as receptors which, upon binding of a specific antigen, trigger the clonal expansion and differentiation of B lymphocytes into immunoglobulins-secreting plasma cells. Secreted immunoglobulins mediate the effector phase of humoral immunity, which results in the elimination of bound antigens (PubMed : 20176268, PubMed : 22158414). The antigen binding site is formed by the variable domain of one heavy chain, together with that of its associated light chain. Thus, each immunoglobulin has two antigen binding sites with remarkable affinity for a particular antigen. The variable domains are assembled by a process called V-(D)-J rearrangement and can then be subjected to somatic hypermutations which, after exposure to antigen and selection, allow affinity maturation for a particular antigen (PubMed : 17576170, PubMed : 20176268).
See full target information IGKC

Product promise

We are committed to supporting your work with high-quality reagents, and we're here for you every step of the way. In the unlikely event that one of our products does not perform as expected, you're protected by our Product Promise.
For full details, please see our Terms & Conditions

Please note: All products are 'FOR RESEARCH USE ONLY. NOT FOR USE IN DIAGNOSTIC OR THERAPEUTIC PROCEDURES'.

For licensing inquiries, please contact partnerships@abcam.com