JavaScript is disabled in your browser. Please enable JavaScript to view this website.
AB113533

Anti-Kappa Opioid Receptor antibody

4

(3 Reviews)

|

(4 Publications)

Rabbit Polyclonal Kappa Opioid Receptor antibody. Suitable for WB, ICC/IF, IHC-P and reacts with Human samples. Cited in 4 publications.

View Alternative Names

OPRK, OPRK1, Kappa-type opioid receptor, K-OR-1, KOR-1

3 Images
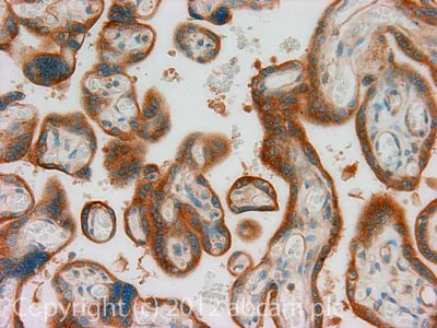
Immunohistochemistry (Formalin/PFA-fixed paraffin-embedded sections) - Anti-Kappa Opioid Receptor antibody (AB113533)
  • IHC-P

Unknown

Immunohistochemistry (Formalin/PFA-fixed paraffin-embedded sections) - Anti-Kappa Opioid Receptor antibody (AB113533)

IHC image of Kappa Opioid Receptor staining in Human normal placenta formalin fixed paraffin embedded tissue section, performed on a Leica BondTM system using the standard protocol F. The section was pre-treated using heat mediated antigen retrieval with sodium citrate buffer (pH6, epitope retrieval solution 1) for 20 mins. The section was then incubated with ab113533, 5μg/ml, for 15 mins at room temperature and detected using an HRP conjugated compact polymer system. DAB was used as the chromogen. The section was then counterstained with haematoxylin and mounted with DPX.

For other IHC staining systems (automated and non-automated) customers should optimize variable parameters such as antigen retrieval conditions, primary antibody concentration and antibody incubation times.

Immunocytochemistry/ Immunofluorescence - Anti-Kappa Opioid Receptor antibody (AB113533)
  • ICC/IF

Unknown

Immunocytochemistry/ Immunofluorescence - Anti-Kappa Opioid Receptor antibody (AB113533)

ab113533 stained SKNSH cells. The cells were 4% formaldehyde fixed (10 min) and then incubated in 1%BSA / 10% normal goat serum / 0.3M glycine in 0.1% PBS-Tween for 1h to permeabilise the cells and block non-specific protein-protein interactions. The cells were then incubated with the antibody ab113533 at 5μg/ml overnight at +4°C. The secondary antibody (green) was DyLight® 488 goat anti- rabbit (ab96899) IgG (H+L) used at a 1/1000 dilution for 1h. Alexa Fluor® 594 WGA was used to label plasma membranes (red) at a 1/200 dilution for 1h. DAPI was used to stain the cell nuclei (blue) at a concentration of 1.43μM.

Western blot - Anti-Kappa Opioid Receptor antibody (AB113533)
  • WB

Lab

Western blot - Anti-Kappa Opioid Receptor antibody (AB113533)

This blot was produced using a 4-12% Bis-tris gel under the MOPS buffer system. The gel was run at 200V for 50 minutes before being transferred onto a Nitrocellulose membrane at 30V for 70 minutes. The membrane was then blocked for an hour using 2% Bovine Serum Albumin before being incubated with ab113533 overnight at 4°C. Antibody binding was detected using an anti-rabbit antibody conjugated to HRP, and visualised using ECL development solution ab133406.

All lanes:

Western blot - Anti-Kappa Opioid Receptor antibody (ab113533) at 1 µg/mL

Lane 1:

Human brain tissue lysate - total protein at 10 µg

Lane 2:

Human spinal cord tissue lysate - total protein at 10 µg

Lane 3:

Human placenta tissue lysate - total protein at 10 µg

Secondary

All lanes:

Goat Anti-Rabbit IgG H&L (HRP) preadsorbed at 1/50000 dilution

Predicted band size: 42 kDa

Observed band size: 42 kDa,52 kDa

false

Exposure time: 3min

Key facts

Host species

Rabbit

Clonality

Polyclonal

Isotype

IgG

Carrier free

No

Reacts with

Human

Applications

IHC-P, WB, ICC/IF

applications

Immunogen

The exact immunogen used to generate this antibody is proprietary information.

Reactivity data

{ "title": "Reactivity Data", "filters": { "stats": ["", "Species", "Dilution Info", "Notes"], "tabs": { "all-applications": {"fullname" : "All Applications", "shortname": "All Applications"}, "WB" : {"fullname" : "Western blot", "shortname":"WB"}, "ICCIF" : {"fullname" : "Immunocytochemistry/ Immunofluorescence", "shortname":"ICC/IF"}, "IHCP" : {"fullname" : "Immunohistochemistry (Formalin/PFA-fixed paraffin-embedded sections)", "shortname":"IHC-P"} }, "product-promise": { "all": "all", "testedAndGuaranteed": "tested", "guaranteed": "expected", "predicted": "predicted", "notRecommended": "not-recommended" } }, "values": { "Human": { "WB-species-checked": "testedAndGuaranteed", "WB-species-dilution-info": "1 µg/mL", "WB-species-notes": "<p></p>", "ICCIF-species-checked": "testedAndGuaranteed", "ICCIF-species-dilution-info": "5 µg/mL", "ICCIF-species-notes": "<p></p>", "IHCP-species-checked": "testedAndGuaranteed", "IHCP-species-dilution-info": "5 µg/mL", "IHCP-species-notes": "<p></p>" }, "Chimpanzee": { "WB-species-checked": "predicted", "WB-species-dilution-info": "", "WB-species-notes": "", "ICCIF-species-checked": "predicted", "ICCIF-species-dilution-info": "", "ICCIF-species-notes": "", "IHCP-species-checked": "predicted", "IHCP-species-dilution-info": "", "IHCP-species-notes": "" }, "Gorilla": { "WB-species-checked": "predicted", "WB-species-dilution-info": "", "WB-species-notes": "", "ICCIF-species-checked": "predicted", "ICCIF-species-dilution-info": "", "ICCIF-species-notes": "", "IHCP-species-checked": "predicted", "IHCP-species-dilution-info": "", "IHCP-species-notes": "" }, "Orangutan": { "WB-species-checked": "predicted", "WB-species-dilution-info": "", "WB-species-notes": "", "ICCIF-species-checked": "predicted", "ICCIF-species-dilution-info": "", "ICCIF-species-notes": "", "IHCP-species-checked": "predicted", "IHCP-species-dilution-info": "", "IHCP-species-notes": "" } } }

Properties and storage information

Form
Liquid
Purification technique
Affinity purification Immunogen
Storage buffer
pH: 7.4 Preservative: 0.02% Sodium azide Constituents: PBS, 1% BSA
Shipped at conditions
Blue Ice
Appropriate short-term storage duration
1-2 weeks
Appropriate short-term storage conditions
+4°C
Appropriate long-term storage conditions
-20°C
Aliquoting information
Upon delivery aliquot
Storage information
Avoid freeze / thaw cycle

Supplementary information

This supplementary information is collated from multiple sources and compiled automatically.

The Kappa Opioid Receptor also known as KOR or kappa receptors is a type of opioid receptor that plays an important role in the nervous system. It is a protein with an approximate mass of 43 kDa. This receptor mainly expresses in the human brain especially in regions involved in pain and stress responses such as the hypothalamus and thalamus. Kappa receptors are involved in modulating neurotransmitter release and can affect synaptic transmission.
Biological function summary

Kappa opioid receptors mediate pain perception mood regulation and stress response. They form part of a larger receptor family the G-protein coupled receptors (GPCRs) which are critical in cellular signaling. Activation of these receptors can produce analgesic effects differing from other opioid receptors due to their unique mechanism of action. Kappa receptors interact with endogenous ligands called dynorphins which are peptide neurotransmitters involved in natural pain relief processes.

Pathways

Kappa opioid receptors are integral to the dopaminergic and serotonergic pathways. In the dopaminergic pathway kappa receptors reduce dopamine release influencing the reward system and potentially affecting addiction behaviors. In the serotonergic pathway they modulate serotonin levels connecting to mood and anxiety regulation. These pathways also involve proteins like the mu-opioid receptor and delta-opioid receptor which along with kappa receptors form a complex regulatory network.

Kappa opioid receptors have been linked to depression and drug addiction. In depression dysfunctional kappa receptor activity may disrupt mood regulation contributing to depressive symptoms. The associated protein dynorphin plays a role in this condition by interacting with kappa receptors. In drug addiction these receptors influence the brain's reward circuits impacting addiction severity through altered dopamine signaling. Understanding kappa receptors can offer insights into new therapeutic approaches for these conditions.

Product protocols

For this product, it's our understanding that no specific protocols are required. You can visit:

Target data

G-protein coupled opioid receptor that functions as a receptor for endogenous alpha-neoendorphins and dynorphins, but has low affinity for beta-endorphins. Also functions as a receptor for various synthetic opioids and for the psychoactive diterpene salvinorin A. Ligand binding causes a conformation change that triggers signaling via guanine nucleotide-binding proteins (G proteins) and modulates the activity of down-stream effectors, such as adenylate cyclase. Signaling leads to the inhibition of adenylate cyclase activity. Inhibits neurotransmitter release by reducing calcium ion currents and increasing potassium ion conductance. Plays a role in the perception of pain. Plays a role in mediating reduced physical activity upon treatment with synthetic opioids. Plays a role in the regulation of salivation in response to synthetic opioids. May play a role in arousal and regulation of autonomic and neuroendocrine functions.
See full target information OPRK1

Publications (4)

Recent publications for all applications. Explore the full list and refine your search

Cell biology and toxicology 41:97 PubMed40483281

2025

Annexin A1-FPR1 Interaction in dendritic cells promotes immune microenvironment modulation in Thyroid Cancer.

Applications

Unspecified application

Species

Unspecified reactive species

Hongwei Jiang,Lirun Kuang,Tianyi Zhang,Xupeng Zhao

Frontiers in oncology 12:844214 PubMed35433440

2022

Agonists Specific for κ-Opioid Receptor Induces Apoptosis of HCC Cells Through Enhanced Endoplasmic Reticulum Stress.

Applications

Unspecified application

Species

Unspecified reactive species

Mengyuan Tan,Hanyu Wang,Cheng Gao,Zhen Jiang,Ying Yin,Ruyi Xing,Ling Hu,Jiegou Xu,Min Zhang,Yanhu Xie

Neural regeneration research 16:653-658 PubMed33063716

2020

Neurons derived from human-induced pluripotent stem cells express mu and kappa opioid receptors.

Applications

Unspecified application

Species

Unspecified reactive species

Zhi-Hai Ju,Xuan Liang,Yao-Yao Ren,Luo-Wa Shu,Yan-Hong Yan,Xu Cui

Molecular reproduction and development 83:724-34 PubMed27391529

2016

The mu (μ) and delta (δ) opioid receptors modulate boar sperm motility.

Applications

Unspecified application

Species

Unspecified reactive species

Alejandro Vicente-Carrillo,Manuel Álvarez-Rodríguez,Heriberto Rodríguez-Martínez
View all publications

Product promise

We are committed to supporting your work with high-quality reagents, and we're here for you every step of the way. In the unlikely event that one of our products does not perform as expected, you're protected by our Product Promise.
For full details, please see our Terms & Conditions

Please note: All products are 'FOR RESEARCH USE ONLY. NOT FOR USE IN DIAGNOSTIC OR THERAPEUTIC PROCEDURES'.

For licensing inquiries, please contact partnerships@abcam.com