JavaScript is disabled in your browser. Please enable JavaScript to view this website.
AB240278

Anti-Kappa Opioid Receptor antibody [EPR18881] - BSA and Azide free

Be the first to review this product! Submit a review

|

(1 Publication)

Rabbit Recombinant Monoclonal Kappa Opioid Receptor antibody. Carrier free. Suitable for IP, WB, IHC-P and reacts with Mouse, Rat samples. Cited in 1 publication.

View Alternative Names

Kappa-type opioid receptor, K-OR-1, KOR-1, MSL-1, Oprk1

5 Images
Immunohistochemistry (Formalin/PFA-fixed paraffin-embedded sections) - Anti-Kappa Opioid Receptor antibody [EPR18881] - BSA and Azide free (AB240278)
  • IHC-P

Supplier Data

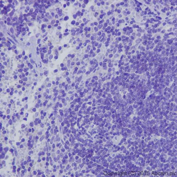
Immunohistochemistry (Formalin/PFA-fixed paraffin-embedded sections) - Anti-Kappa Opioid Receptor antibody [EPR18881] - BSA and Azide free (AB240278)

Immunohistochemical analysis of paraffin-embedded Rat spleen tissue labeling Kappa Opioid Receptor with ab183825 at 1/100 dilution, followed by Goat Anti-Rabbit IgG H&L (HRP) (ab97051) at 1/500 dilution.

Negative staining on rat spleen.

Counter stained with Hematoxylin.

This data was developed using the same antibody clone in a different buffer formulation containing PBS, BSA, glycerol, and sodium azide (ab183825).

Perform heat mediated antigen retrieval with Tris/EDTA buffer pH 9.0 before commencing with IHC staining protocol.

Immunohistochemistry (Formalin/PFA-fixed paraffin-embedded sections) - Anti-Kappa Opioid Receptor antibody [EPR18881] - BSA and Azide free (AB240278)
  • IHC-P

Supplier Data

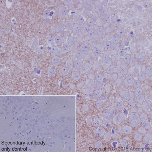
Immunohistochemistry (Formalin/PFA-fixed paraffin-embedded sections) - Anti-Kappa Opioid Receptor antibody [EPR18881] - BSA and Azide free (AB240278)

Immunohistochemical analysis of paraffin-embedded Mouse hippocampus tissue labeling Kappa Opioid Receptor with ab183825 at 1/100 dilution, followed by Goat Anti-Rabbit IgG H&L (HRP) (ab97051) at 1/500 dilution.

Mainly membrane staining on neuron cell of mouse hippocampus is observed.

Counter stained with Hematoxylin.

Secondary antibody only control : Used PBS instead of primary antibody, secondary antibody is Goat Anti-Rabbit IgG H&L (HRP) (ab97051) at 1/500 dilution.

This data was developed using the same antibody clone in a different buffer formulation containing PBS, BSA, glycerol, and sodium azide (ab183825).

Perform heat mediated antigen retrieval with Tris/EDTA buffer pH 9.0 before commencing with IHC staining protocol.

Immunohistochemistry (Formalin/PFA-fixed paraffin-embedded sections) - Anti-Kappa Opioid Receptor antibody [EPR18881] - BSA and Azide free (AB240278)
  • IHC-P

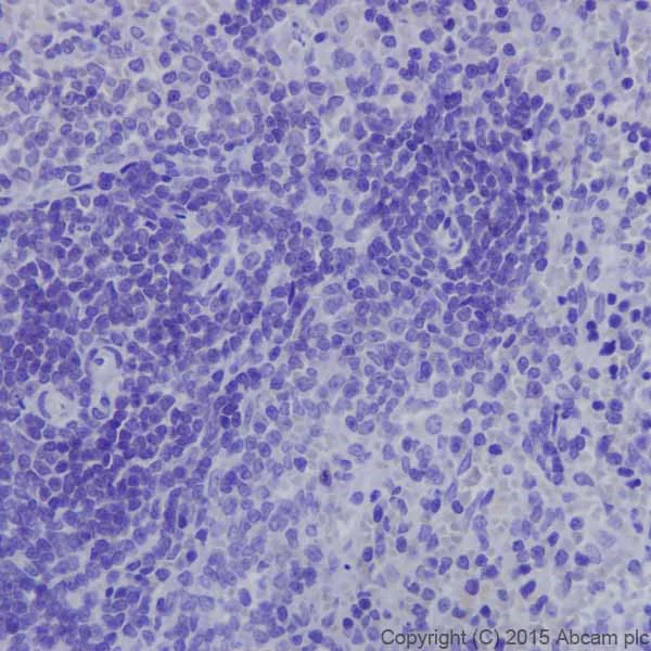
Supplier Data

Immunohistochemistry (Formalin/PFA-fixed paraffin-embedded sections) - Anti-Kappa Opioid Receptor antibody [EPR18881] - BSA and Azide free (AB240278)

Immunohistochemical analysis of paraffin-embedded Mouse spleen tissue labeling Kappa Opioid Receptor with ab183825 at 1/100 dilution, followed by Goat Anti-Rabbit IgG H&L (HRP) (ab97051) at 1/500 dilution.

Negative staining on mouse spleen.

Counter stained with Hematoxylin.

This data was developed using the same antibody clone in a different buffer formulation containing PBS, BSA, glycerol, and sodium azide (ab183825).

Perform heat mediated antigen retrieval with Tris/EDTA buffer pH 9.0 before commencing with IHC staining protocol.

Immunohistochemistry (Formalin/PFA-fixed paraffin-embedded sections) - Anti-Kappa Opioid Receptor antibody [EPR18881] - BSA and Azide free (AB240278)
  • IHC-P

Supplier Data

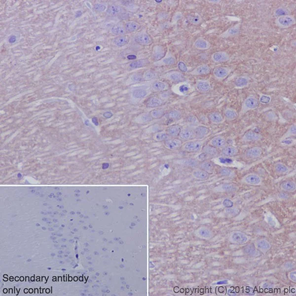
Immunohistochemistry (Formalin/PFA-fixed paraffin-embedded sections) - Anti-Kappa Opioid Receptor antibody [EPR18881] - BSA and Azide free (AB240278)

Immunohistochemical analysis of paraffin-embedded Rat hippocampus tissue labeling Kappa Opioid Receptor with ab183825 at 1/100 dilution, followed by Goat Anti-Rabbit IgG H&L (HRP) (ab97051) at 1/500 dilution.

Mainly membrane staining on neuron cells of rat hippocampus is observed.

Counter stained with Hematoxylin.

Secondary antibody only control : Used PBS instead of primary antibody, secondary antibody is Goat Anti-Rabbit IgG H&L (HRP) (ab97051) at 1/500 dilution.

This data was developed using the same antibody clone in a different buffer formulation containing PBS, BSA, glycerol, and sodium azide (ab183825).

Perform heat mediated antigen retrieval with Tris/EDTA buffer pH 9.0 before commencing with IHC staining protocol.

Immunoprecipitation - Anti-Kappa Opioid Receptor antibody [EPR18881] - BSA and Azide free (AB240278)
  • IP

Supplier Data

Immunoprecipitation - Anti-Kappa Opioid Receptor antibody [EPR18881] - BSA and Azide free (AB240278)

Kappa Opioid Receptor was immunoprecipitated from 1mg of Mouse brain whole cell lysate with ab183825 at 1/100 dilution.

Western blot was performed from the immunoprecipitate using ab183825 at 1/1000 dilution.

VeriBlot for IP Detection Reagent (HRP) (ab131366), was used for detection at 1/1000 dilution.

Lane 1 : Mouse brain whole cell lysate 10μg (Input).

Lane 2 : ab183825 IP in Mouse brain whole cell lysate.

Lane 3 : Rabbit monoclonal IgG (ab172730) instead of ab183825 in Mouse brain whole cell lysate.

Blocking and dilution buffer and concentration : 5% NFDM/TBST.

Exposure time : 5 seconds.

This data was developed using the same antibody clone in a different buffer formulation containing PBS, BSA, glycerol, and sodium azide (ab183825).

All lanes:

Immunoprecipitation - Anti-Kappa Opioid Receptor antibody [EPR18881] (<a href='/en-us/products/primary-antibodies/kappa-opioid-receptor-antibody-epr18881-ab183825'>ab183825</a>)

Predicted band size: 42 kDa

false

  • Unconjugated

    Anti-Kappa Opioid Receptor antibody [EPR18881]

  • 519 Alexa Fluor® 488

    Alexa Fluor® 488 Anti-Kappa Opioid Receptor antibody [EPR18881]

  • 665 Alexa Fluor® 647

    Alexa Fluor® 647 Anti-Kappa Opioid Receptor antibody [EPR18881]

  • 617 Alexa Fluor® 594

    Alexa Fluor® 594 Anti-Kappa Opioid Receptor antibody [EPR18881]

  • 660 APC

    APC Anti-Kappa Opioid Receptor antibody [EPR18881]

  • 578 PE

    PE Anti-Kappa Opioid Receptor antibody [EPR18881]

  • 565 Alexa Fluor® 555

    Alexa Fluor® 555 Anti-Kappa Opioid Receptor antibody [EPR18881]

  • 775 Alexa Fluor® 750

    Alexa Fluor® 750 Anti-Kappa Opioid Receptor antibody [EPR18881]

Key facts

Host species

Rabbit

Clonality

Monoclonal

Clone number

EPR18881

Isotype

IgG

Carrier free

Yes

Reacts with

Mouse, Rat

Applications

IHC-P, IP, WB

applications

Immunogen

The exact immunogen used to generate this antibody is proprietary information.

Reactivity data

{ "title": "Reactivity Data", "filters": { "stats": ["", "Species", "Dilution Info", "Notes"], "tabs": { "all-applications": {"fullname" : "All Applications", "shortname": "All Applications"}, "IP" : {"fullname" : "Immunoprecipitation", "shortname":"IP"}, "WB" : {"fullname" : "Western blot", "shortname":"WB"}, "IHCP" : {"fullname" : "Immunohistochemistry (Formalin/PFA-fixed paraffin-embedded sections)", "shortname":"IHC-P"} }, "product-promise": { "all": "all", "testedAndGuaranteed": "tested", "guaranteed": "expected", "predicted": "predicted", "notRecommended": "not-recommended" } }, "values": { "Mouse": { "IP-species-checked": "testedAndGuaranteed", "IP-species-dilution-info": "", "IP-species-notes": "<p></p>", "WB-species-checked": "guaranteed", "WB-species-dilution-info": "", "WB-species-notes": "<p></p>", "IHCP-species-checked": "guaranteed", "IHCP-species-dilution-info": "", "IHCP-species-notes": "" }, "Rat": { "IP-species-checked": "guaranteed", "IP-species-dilution-info": "", "IP-species-notes": "", "WB-species-checked": "guaranteed", "WB-species-dilution-info": "", "WB-species-notes": "<p></p>", "IHCP-species-checked": "testedAndGuaranteed", "IHCP-species-dilution-info": "", "IHCP-species-notes": "<p></p>" } } }

Product details

ab240278 is the carrier-free version of ab183825.

Patented technology
Our RabMAb® technology is a patented hybridoma-based technology for making rabbit monoclonal antibodies. For details on our patents, please refer to RabMAb® patents.

What are the advantages of a recombinant monoclonal antibody?
This product is a recombinant monoclonal antibody, which offers several advantages including:

  • - High batch-to-batch consistency and reproducibility
  • - Improved sensitivity and specificity
  • - Long-term security of supply
  • - Animal-free batch production

For more information, read more on recombinant antibodies.

Conjugation ready
Our carrier-free antibodies are typically supplied in a PBS-only formulation, purified and free of BSA, sodium azide and glycerol. This conjugation-ready format is designed for use with fluorochromes, metal isotopes, oligonucleotides, and enzymes, which makes them ideal for antibody labelling, functional and cell-based assays, flow-based assays (e.g. mass cytometry) and Multiplex Imaging applications.

Use our conjugation kits for antibody conjugates that are ready-to-use in as little as 20 minutes with 1 minute hands-on-time and 100% antibody recovery: available for fluorescent dyes, HRP, biotin and gold.

Compatibility
This product is compatible with the Maxpar® Antibody Labeling Kit from Fluidigm, without the need for antibody preparation. Maxpar® is a trademark of Fluidigm Canada Inc.

Properties and storage information

Form
Liquid
Purification technique
Affinity purification Protein A
Storage buffer
pH: 7.2 - 7.4 Constituents: PBS
Shipped at conditions
Blue Ice
Appropriate short-term storage conditions
+4°C
Appropriate long-term storage conditions
+4°C
Storage information
Do Not Freeze

Supplementary information

This supplementary information is collated from multiple sources and compiled automatically.

The Kappa Opioid Receptor also known as KOR or kappa receptors is a type of opioid receptor that plays an important role in the nervous system. It is a protein with an approximate mass of 43 kDa. This receptor mainly expresses in the human brain especially in regions involved in pain and stress responses such as the hypothalamus and thalamus. Kappa receptors are involved in modulating neurotransmitter release and can affect synaptic transmission.
Biological function summary

Kappa opioid receptors mediate pain perception mood regulation and stress response. They form part of a larger receptor family the G-protein coupled receptors (GPCRs) which are critical in cellular signaling. Activation of these receptors can produce analgesic effects differing from other opioid receptors due to their unique mechanism of action. Kappa receptors interact with endogenous ligands called dynorphins which are peptide neurotransmitters involved in natural pain relief processes.

Pathways

Kappa opioid receptors are integral to the dopaminergic and serotonergic pathways. In the dopaminergic pathway kappa receptors reduce dopamine release influencing the reward system and potentially affecting addiction behaviors. In the serotonergic pathway they modulate serotonin levels connecting to mood and anxiety regulation. These pathways also involve proteins like the mu-opioid receptor and delta-opioid receptor which along with kappa receptors form a complex regulatory network.

Kappa opioid receptors have been linked to depression and drug addiction. In depression dysfunctional kappa receptor activity may disrupt mood regulation contributing to depressive symptoms. The associated protein dynorphin plays a role in this condition by interacting with kappa receptors. In drug addiction these receptors influence the brain's reward circuits impacting addiction severity through altered dopamine signaling. Understanding kappa receptors can offer insights into new therapeutic approaches for these conditions.

Product protocols

For this product, it's our understanding that no specific protocols are required. You can visit:

Target data

G-protein coupled opioid receptor that functions as a receptor for endogenous alpha-neoendorphins and dynorphins, but has low affinity for beta-endorphins. Also functions as a receptor for various synthetic opioids and for the psychoactive diterpene salvinorin A. Ligand binding causes a conformation change that triggers signaling via guanine nucleotide-binding proteins (G proteins) and modulates the activity of down-stream effectors, such as adenylate cyclase. Signaling leads to the inhibition of adenylate cyclase activity. Inhibits neurotransmitter release by reducing calcium ion currents and increasing potassium ion conductance. Plays a role in the perception of pain. Plays a role in mediating reduced physical activity upon treatment with synthetic opioids. Plays a role in the regulation of salivation in response to synthetic opioids. May play a role in arousal and regulation of autonomic and neuroendocrine functions.
See full target information Oprk1

Publications (1)

Recent publications for all applications. Explore the full list and refine your search

European journal of histochemistry : EJH 65: PubMed34587716

2021

Long noncoding RNA Meg3 mediates ferroptosis induced by oxygen and glucose deprivation combined with hyperglycemia in rat brain microvascular endothelial cells, through modulating the p53/GPX4 axis.

Applications

Unspecified application

Species

Unspecified reactive species

Cheng Chen,Yan Huang,Pingping Xia,Fan Zhang,Longyan Li,E Wang,Qulian Guo,Zhi Ye
View all publications

Product promise

We are committed to supporting your work with high-quality reagents, and we're here for you every step of the way. In the unlikely event that one of our products does not perform as expected, you're protected by our Product Promise.
For full details, please see our Terms & Conditions

Please note: All products are 'FOR RESEARCH USE ONLY. NOT FOR USE IN DIAGNOSTIC OR THERAPEUTIC PROCEDURES'.

For licensing inquiries, please contact partnerships@abcam.com