JavaScript is disabled in your browser. Please enable JavaScript to view this website.
AB193097

Anti-KAT1 / HAT1 antibody [EPR18661]

Be the first to review this product! Submit a review

|

(4 Publications)

Rabbit Recombinant Monoclonal KAT1 / HAT1 antibody. Suitable for IP, WB, IHC-P and reacts with Mouse, Human, Rat samples. Cited in 4 publications.

View Alternative Names

KAT1, HAT1, Histone acetyltransferase type B catalytic subunit, Histone acetyltransferase 1

10 Images
Immunohistochemistry (Formalin/PFA-fixed paraffin-embedded sections) - Anti-KAT1 / HAT1 antibody [EPR18661] (AB193097)
  • IHC-P

Supplier Data

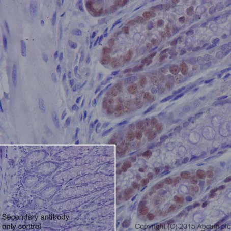
Immunohistochemistry (Formalin/PFA-fixed paraffin-embedded sections) - Anti-KAT1 / HAT1 antibody [EPR18661] (AB193097)

Immunohistochemical analysis of paraffin-embedded human tonsil tissue labeling KAT1 / HAT1 with ab193097 at 1/1000 dilution followed by Goat Anti-Rabbit IgG H&L (HRP) (ab97051) at 1/500 dilution. Nuclear staining on human tonsil is observed. Counter stained with Hematoxylin.

Secondary antibody only control : Used PBS instead of primary antibody secondary antibody is Goat Anti-Rabbit IgG H&L (HRP) (ab97051) at 1/500 dilution.

Perform heat mediated antigen retrieval with EDTA buffer pH 9 before commencing with IHC staining protocol.

Immunoprecipitation - Anti-KAT1 / HAT1 antibody [EPR18661] (AB193097)
  • IP

Supplier Data

Immunoprecipitation - Anti-KAT1 / HAT1 antibody [EPR18661] (AB193097)

KAT1 / HAT1 was immunoprecipitated from 1mg of HeLa (Human epithelial cells from cervix adenocarcinoma) whole cell lysate with ab193097 at 1/100 dilution. Western blot was performed from the immunoprecipitate using ab193097 at 1/1000 dilution. VeriBlot for IP Detection Reagent (HRP) (ab131366), was used for detection at 1/10000 dilution.

Lane 1 : HeLa whole cell lysate 10ug (Input).

Lane 2 : ab193097 IP in HeLa whole cell lysate.

Lane 3 : Rabbit monoclonal IgG (ab172730) instead of ab193097 in HeLa whole cell lysate.

Blocking and dilution buffer and concentration : 5% NFDM/TBST.

Exposure time : 3 seconds.

All lanes:

Immunoprecipitation - Anti-KAT1 / HAT1 antibody [EPR18661] (ab193097)

Predicted band size: 49 kDa

false

Immunohistochemistry (Formalin/PFA-fixed paraffin-embedded sections) - Anti-KAT1 / HAT1 antibody [EPR18661] (AB193097)
  • IHC-P

Supplier Data

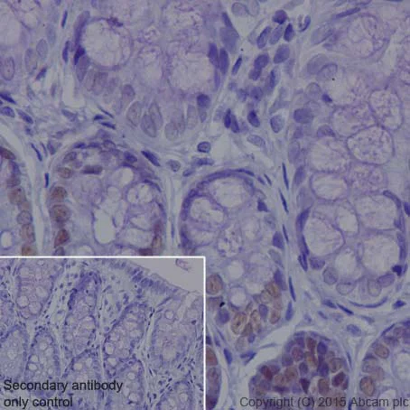
Immunohistochemistry (Formalin/PFA-fixed paraffin-embedded sections) - Anti-KAT1 / HAT1 antibody [EPR18661] (AB193097)

Immunohistochemical analysis of paraffin-embedded mouse colon tissue labeling KAT1 / HAT1 with ab193097 at 1/1000 dilution followed by Goat Anti-Rabbit IgG H&L (HRP) (ab97051) at 1/500 dilution. Nuclear staining on mouse colon is observed. Counter stained with Hematoxylin.

Secondary antibody only control : Used PBS instead of primary antibody secondary antibody is Goat Anti-Rabbit IgG H&L (HRP) (ab97051) at 1/500 dilution.

Perform heat mediated antigen retrieval with EDTA buffer pH 9 before commencing with IHC staining protocol.

Immunohistochemistry (Formalin/PFA-fixed paraffin-embedded sections) - Anti-KAT1 / HAT1 antibody [EPR18661] (AB193097)
  • IHC-P

Supplier Data

Immunohistochemistry (Formalin/PFA-fixed paraffin-embedded sections) - Anti-KAT1 / HAT1 antibody [EPR18661] (AB193097)

Immunohistochemical analysis of paraffin-embedded rat colon tissue labeling KAT1 / HAT1 with ab193097 at 1/1000 dilution followed by Goat Anti-Rabbit IgG H&L (HRP) (ab97051) at 1/500 dilution. Nuclear staining on rat colon is observed. Counter stained with Hematoxylin.

Secondary antibody only control : Used PBS instead of primary antibody secondary antibody is Goat Anti-Rabbit IgG H&L (HRP) (ab97051) at 1/500 dilution.

Perform heat mediated antigen retrieval with EDTA buffer pH 9 before commencing with IHC staining protocol.

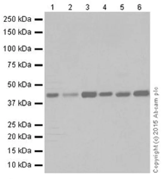
Immunoprecipitation - Anti-KAT1 / HAT1 antibody [EPR18661] (AB193097)
  • IP

Supplier Data

Immunoprecipitation - Anti-KAT1 / HAT1 antibody [EPR18661] (AB193097)

KAT1 / HAT1 was immunoprecipitated from 1mg of F9 (Mouse embryonic carcinoma cell line) whole cell lysate with ab193097 at 1/100 dilution. Western blot was performed from the immunoprecipitate using ab193097 at 1/1000 dilution. VeriBlot for IP Detection Reagent (HRP) (ab131366), was used for detection at 1/10000 dilution.

Lane 1 : F9 whole cell lysate 10ug (Input).

Lane 2 : ab193097 IP in F9 whole cell lysate.

Lane 3 : Rabbit monoclonal IgG (ab172730) instead of ab193097 in F9 whole cell lysate.

Blocking and dilution buffer and concentration : 5% NFDM/TBST.

Exposure time : 1 second.

All lanes:

Immunoprecipitation - Anti-KAT1 / HAT1 antibody [EPR18661] (ab193097)

Predicted band size: 49 kDa

false

Western blot - Anti-KAT1 / HAT1 antibody [EPR18661] (AB193097)
  • WB

Supplier Data

Western blot - Anti-KAT1 / HAT1 antibody [EPR18661] (AB193097)

Blocking/Dilution buffer : 5% NFDM/TBST.

All lanes:

Western blot - Anti-KAT1 / HAT1 antibody [EPR18661] (ab193097) at 1/2000 dilution

Lane 1:

HeLa (Human epithelial cells from cervix adenocarcinoma) whole cell lysate at 20 µg

Lane 2:

MCF7 (Human breast adenocarcinoma cell line) whole cell lysate at 20 µg

Lane 3:

F9 (Mouse embryonic carcinoma cell line) whole cell lysate at 20 µg

Lane 4:

LLC (Mouse lung carcinoma) whole cell lysate at 20 µg

Lane 5:

Mouse thymus lysate at 20 µg

Secondary

All lanes:

Western blot - Goat Anti-Rabbit IgG H&L (HRP) (<a href='/en-us/products/secondary-antibodies/goat-rabbit-igg-h-l-hrp-ab97051'>ab97051</a>) at 1/100000 dilution

Predicted band size: 49 kDa

Observed band size: 45 kDa

false

Exposure time: 8s

Western blot - Anti-KAT1 / HAT1 antibody [EPR18661] (AB193097)
  • WB

Lab

Western blot - Anti-KAT1 / HAT1 antibody [EPR18661] (AB193097)

Lane 1 : Wild-type HAP1 cell lysate (20 μg)
Lane 2 : KAT1 / HAT1 knockout HAP1 cell lysate (20 μg)
Lane 3 : HeLa cell lysate (20 μg)
Lane 4 : NIH3T3 cell lysate (20 μg)
Lanes 1 - 4 : Merged signal (red and green). Green - ab193097 observed at 48 kDa. Red - loading control, ab8245, observed at 37 kDa.
ab193097 was shown to specifically react with KAT1 / HAT1 when KAT1 / HAT1 knockout samples were used. Wild-type and KAT1 / HAT1 knockout samples were subjected to SDS-PAGE. ab193097 and ab8245 (loading control to GAPDH) were diluted to 1/1000 and 1/10000 respectively and incubated overnight at 4°C. Blots were developed with Goat anti-Rabbit IgG H&L (IRDye® 800CW) preadsorbed ab216773 and Goat anti-Mouse IgG H&L (IRDye® 680RD) preadsorbed ab216776 secondary antibodies at 1/10000 dilution for 1 hour at room temperature before imaging.

All lanes:

Western blot - Anti-KAT1 / HAT1 antibody [EPR18661] (ab193097)

Predicted band size: 49 kDa

false

Western blot - Anti-KAT1 / HAT1 antibody [EPR18661] (AB193097)
  • WB

Supplier Data

Western blot - Anti-KAT1 / HAT1 antibody [EPR18661] (AB193097)

Blocking/Dilution buffer : 5% NFDM/TBST.

All lanes:

Western blot - Anti-KAT1 / HAT1 antibody [EPR18661] (ab193097) at 1/2000 dilution

Lane 1:

Human fetal brain lysate at 10 µg

Lane 2:

Human fetal heart lysate at 10 µg

Lane 3:

Human fetal kidney lysate at 10 µg

Lane 4:

Human fetal spleen lysate at 10 µg

Secondary

All lanes:

Anti-Rabbit IgG (HRP), specific to the non-reduced form of IgG at 1/10000 dilution

Predicted band size: 49 kDa

Observed band size: 45 kDa

false

Exposure time: 30s

Western blot - Anti-KAT1 / HAT1 antibody [EPR18661] (AB193097)
  • WB

Supplier Data

Western blot - Anti-KAT1 / HAT1 antibody [EPR18661] (AB193097)

Blocking/Dilution buffer : 5% NFDM/TBST.

All lanes:

Western blot - Anti-KAT1 / HAT1 antibody [EPR18661] (ab193097) at 1/2000 dilution

Lane 1:

C6 (Rat glial tumor cells) whole cell lysate at 10 µg

Lane 2:

RAW 264.7 (Mouse macrophage cells transformed with Abelson murine leukemia virus) whole cell lysate at 10 µg

Lane 3:

PC-12 (Rat adrenal gland pheochromocytoma) whole cell lysate at 10 µg

Lane 4:

NIH/3T3 (Mouse embryonic fibroblast cells) whole cell lysate at 10 µg

Secondary

All lanes:

Western blot - Goat Anti-Rabbit IgG H&L (HRP) (<a href='/en-us/products/secondary-antibodies/goat-rabbit-igg-h-l-hrp-ab97051'>ab97051</a>) at 1/100000 dilution

Predicted band size: 49 kDa

Observed band size: 45 kDa

false

Exposure time: 5s

Western blot - Anti-KAT1 / HAT1 antibody [EPR18661] (AB193097)
  • WB

Unknown

Western blot - Anti-KAT1 / HAT1 antibody [EPR18661] (AB193097)

Blocking/Dilution buffer : 5% NFDM/TBST.

All lanes:

Western blot - Anti-KAT1 / HAT1 antibody [EPR18661] (ab193097)

Lane 1:

Mouse brain lysate at 10 µg

Lane 2:

Mouse heart lysate at 10 µg

Lane 3:

Mouse kidney lysate at 10 µg

Lane 4:

Rat brain lysate at 10 µg

Lane 5:

Rat heart lysate at 10 µg

Lane 6:

Rat kidney lysate at 10 µg

Secondary

All lanes:

Western blot - Goat Anti-Rabbit IgG H&L (HRP) (<a href='/en-us/products/secondary-antibodies/goat-rabbit-igg-h-l-hrp-ab97051'>ab97051</a>) at 1/100000 dilution

Predicted band size: 49 kDa

Observed band size: 45 kDa

false

Exposure time: 3min

  • Carrier free

    Anti-KAT1 / HAT1 antibody [EPR18661] - BSA and Azide free

Key facts

Host species

Rabbit

Clonality

Monoclonal

Clone number

EPR18661

Isotype

IgG

Carrier free

No

Reacts with

Mouse, Rat, Human

Applications

IHC-P, IP, WB

applications

Immunogen

The exact immunogen used to generate this antibody is proprietary information.

Reactivity data

{ "title": "Reactivity Data", "filters": { "stats": ["", "Species", "Dilution Info", "Notes"], "tabs": { "all-applications": {"fullname" : "All Applications", "shortname": "All Applications"}, "IP" : {"fullname" : "Immunoprecipitation", "shortname":"IP"}, "WB" : {"fullname" : "Western blot", "shortname":"WB"}, "IHCP" : {"fullname" : "Immunohistochemistry (Formalin/PFA-fixed paraffin-embedded sections)", "shortname":"IHC-P"} }, "product-promise": { "all": "all", "testedAndGuaranteed": "tested", "guaranteed": "expected", "predicted": "predicted", "notRecommended": "not-recommended" } }, "values": { "Human": { "IP-species-checked": "testedAndGuaranteed", "IP-species-dilution-info": "1/100", "IP-species-notes": "<p></p>", "WB-species-checked": "testedAndGuaranteed", "WB-species-dilution-info": "1/2000", "WB-species-notes": "<p></p>", "IHCP-species-checked": "testedAndGuaranteed", "IHCP-species-dilution-info": "1/1000", "IHCP-species-notes": "<p></p>" }, "Mouse": { "IP-species-checked": "testedAndGuaranteed", "IP-species-dilution-info": "1/100", "IP-species-notes": "<p></p>", "WB-species-checked": "testedAndGuaranteed", "WB-species-dilution-info": "1/2000", "WB-species-notes": "<p></p>", "IHCP-species-checked": "testedAndGuaranteed", "IHCP-species-dilution-info": "1/1000", "IHCP-species-notes": "<p></p>" }, "Rat": { "IP-species-checked": "guaranteed", "IP-species-dilution-info": "", "IP-species-notes": "", "WB-species-checked": "testedAndGuaranteed", "WB-species-dilution-info": "1/2000", "WB-species-notes": "<p></p>", "IHCP-species-checked": "testedAndGuaranteed", "IHCP-species-dilution-info": "1/1000", "IHCP-species-notes": "<p></p>" } } }

Product details

Patented technology
Our RabMAb® technology is a patented hybridoma-based technology for making rabbit monoclonal antibodies. For details on our patents, please refer to RabMAb® patents.

What are the advantages of a recombinant monoclonal antibody?
This product is a recombinant monoclonal antibody, which offers several advantages including:

  • - High batch-to-batch consistency and reproducibility
  • - Improved sensitivity and specificity
  • - Long-term security of supply
  • - Animal-free batch production

For more information, read more on recombinant antibodies.

Properties and storage information

Form
Liquid
Purification technique
Affinity purification Protein A
Storage buffer
pH: 7.2 - 7.4 Preservative: 0.01% Sodium azide Constituents: PBS, 40% Glycerol (glycerin, glycerine), 0.05% BSA
Shipped at conditions
Blue Ice
Appropriate short-term storage duration
1-2 weeks
Appropriate short-term storage conditions
+4°C
Appropriate long-term storage conditions
-20°C
Aliquoting information
Upon delivery aliquot
Storage information
Avoid freeze / thaw cycle

Supplementary information

This supplementary information is collated from multiple sources and compiled automatically.

The protein KAT1 also known as HAT1 (Histone Acetyltransferase 1) functions as an enzyme responsible for acetylating newly synthesized histone proteins. It has a mass of approximately 46 kDa. KAT1 is mostly expressed in the nucleus of cells where it modifies histones by adding acetyl groups to the N-terminal lysines a process essential for chromatin modification. The enzyme is important for facilitating transcriptional activation by altering chromatin structure and is widely observed in various eukaryotic organisms.
Biological function summary

KAT1 acts as a part of the histone acetyltransferase complex which plays a major role in regulating gene expression. By acetylating histone proteins it reduces chromatin compaction and allows gene transcription machinery access to DNA. This alteration can significantly influence cellular processes such as cell cycle regulation and DNA repair. As KAT1 interacts with several protein partners including other acetylation enzymes it serves as an important player in managing chromatin dynamics and maintaining genomic integrity.

Pathways

The role of KAT1 extends to involvement in the cell cycle and DNA damage repair pathways. In the cell cycle pathway KAT1 facilitates transcription required for progression through various phases of the cycle. In DNA damage response pathways KAT1 contributes to repairing DNA lesions by modifying chromatin to allow repair machinery access. It interacts with proteins such as p300 and CBP which are also acetyltransferases to modulate these pathways effectively and ensure cellular responses to DNA insults are adequate.

KAT1's function connects with cancer and neurodegenerative diseases due to its role in gene regulation and DNA repair. In cancer aberrant acetylation by KAT1 can lead to unregulated cell division and tumor formation while in neurodegenerative disorders impaired KAT1 activity might contribute to neuronal damage and death due to faulty DNA repair. The protein interacts with p53 another key player in both pathways impacting disease progression by modulating tumor suppressor functions and ensuring cellular stability under stress.

Product protocols

For this product, it's our understanding that no specific protocols are required. You can visit:

Target data

Histone acetyltransferase that plays a role in different biological processes including cell cycle progression, glucose metabolism, histone production or DNA damage repair (PubMed : 20953179, PubMed : 23653357, PubMed : 31278053, PubMed : 32081014). Coordinates histone production and acetylation via H4 promoter binding (PubMed : 31278053). Acetylates histone H4 at 'Lys-5' (H4K5ac) and 'Lys-12' (H4K12ac) and, to a lesser extent, histone H2A at 'Lys-5' (H2AK5ac) (PubMed : 11585814, PubMed : 22615379). Drives H4 production by chromatin binding to support chromatin replication and acetylation. Since transcription of H4 genes is tightly coupled to S-phase, plays an important role in S-phase entry and progression (PubMed : 31278053). Promotes homologous recombination in DNA repair by facilitating histone turnover and incorporation of acetylated H3.3 at sites of double-strand breaks (PubMed : 23653357). In addition, acetylates other substrates such as chromatin-related proteins (PubMed : 32081014). Acetylates also RSAD2 which mediates the interaction of ubiquitin ligase UBE4A with RSAD2 leading to RSAD2 ubiquitination and subsequent degradation (PubMed : 31812350).. (Microbial infection) Contributes to hepatitis B virus (HBV) replication by acetylating histone H4 at the sites of 'Lys-5' and 'Lys-12' on the covalently closed circular DNA (cccDNA) minichromosome leading to its accumulation within the host cell.
See full target information HAT1

Publications (4)

Recent publications for all applications. Explore the full list and refine your search

Journal of personalized medicine 15: PubMed40137423

2025

Dysregulation of Circadian Markers, HAT1 and Associated Epigenetic Proteins, and the Anti-Aging Protein KLOTHO in Placenta of Pregnant Women with Chronic Venous Disease.

Applications

Unspecified application

Species

Unspecified reactive species

Oscar Fraile-Martinez,Cielo García-Montero,Tatiana Pekarek,Julia Bujan,Silvestra Barrena-Blázquez,Eva Manuela Pena-Burgos,Laura López-González,Leonel Pekarek,Raul Díaz-Pedrero,Juan A De León-Luis,Coral Bravo,Melchor Álvarez-Mon,Miguel A Saez,Natalio García-Honduvilla,Miguel A Ortega

Current issues in molecular biology 46:3839-3865 PubMed38785507

2024

Prognostic Value of Histone Acetyl Transferase 1 (HAT-1) and Inflammatory Signatures in Pancreatic Cancer.

Applications

Unspecified application

Species

Unspecified reactive species

Miguel A Ortega,Laura Jiménez-Álvarez,Oscar Fraile-Martinez,Cielo Garcia-Montero,Luis G Guijarro,Leonel Pekarek,Silvestra Barrena-Blázquez,Ángel Asúnsolo,Laura López-González,María Del Val Toledo-Lobo,Melchor Álvarez-Mon,Miguel A Saez,Alberto Gutiérrez-Calvo,Raúl Díaz-Pedrero

Clinical and translational medicine 11:e495 PubMed34323404

2021

Histone acetyltransferase 1 upregulates androgen receptor expression to modulate CRPC cell resistance to enzalutamide.

Applications

Unspecified application

Species

Unspecified reactive species

Zhe Hong,Zhendong Xiang,Pan Zhang,Qiang Wu,Chengdang Xu,Xinan Wang,Guowei Shi,Zongyuan Hong,Denglong Wu

Biochimica et biophysica acta. Gene regulatory mec 1861:962-970 PubMed30496041

2018

HDAC1 interacts with the p50 NF-?B subunit via its nuclear localization sequence to constrain inflammatory gene expression.

Applications

Unspecified application

Species

Unspecified reactive species

Tyrell N Cartwright,Julie C Worrell,Letizia Marchetti,Catríona M Dowling,Amber Knox,Patrick Kiely,Jelena Mann,Derek A Mann,Caroline L Wilson
View all publications

Product promise

We are committed to supporting your work with high-quality reagents, and we're here for you every step of the way. In the unlikely event that one of our products does not perform as expected, you're protected by our Product Promise.
For full details, please see our Terms & Conditions

Please note: All products are 'FOR RESEARCH USE ONLY. NOT FOR USE IN DIAGNOSTIC OR THERAPEUTIC PROCEDURES'.

For licensing inquiries, please contact partnerships@abcam.com