JavaScript is disabled in your browser. Please enable JavaScript to view this website.
AB251185

Anti-KAT1 / HAT1 antibody [EPR18775] - BSA and Azide free

Be the first to review this product! Submit a review

|

(0 Publication)

Rabbit Recombinant Monoclonal KAT1 / HAT1 antibody. Carrier free. Suitable for ICC/IF, IP, WB, Flow Cyt (Intra), IHC-P and reacts with Mouse, Human, Rat samples.

View Alternative Names

KAT1, HAT1, Histone acetyltransferase type B catalytic subunit, Histone acetyltransferase 1

13 Images
Immunohistochemistry (Formalin/PFA-fixed paraffin-embedded sections) - Anti-KAT1 / HAT1 antibody [EPR18775] - BSA and Azide free (AB251185)
  • IHC-P

Supplier Data

Immunohistochemistry (Formalin/PFA-fixed paraffin-embedded sections) - Anti-KAT1 / HAT1 antibody [EPR18775] - BSA and Azide free (AB251185)

This data was developed using ab194296, the same antibody clone in a different buffer formulation.

Immunohistochemical analysis of paraffin-embedded Human gastric adenocarcinoma tissue labeling KAT1 / HAT1 with ab194296 at 1/500 dilution, followed by Goat Anti-Rabbit IgG H&L (HRP) (ab97051) at 1/500 dilution. Nucleus staining on cancer cells of Human gastric adenocarcinoma is observed. Counter stained with Hematoxylin.

Secondary antibody only control : Used PBS instead of primary antibody, secondary antibody is Goat Anti-Rabbit IgG H&L (HRP) (ab97051) at 1/500 dilution.

Perform heat mediated antigen retrieval with Tris/EDTA buffer pH 9.0 before commencing with IHC staining protocol.

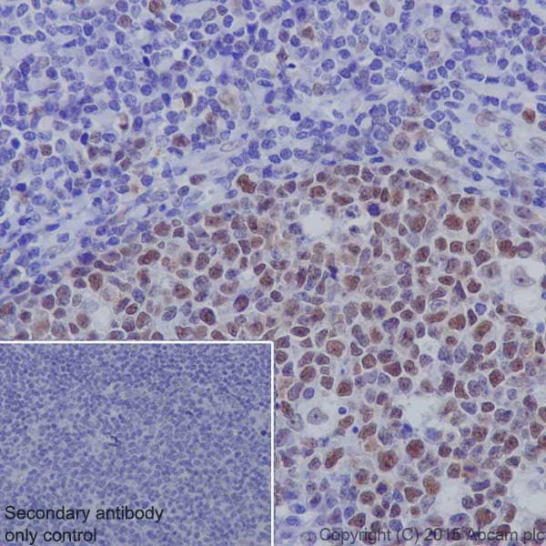
Immunohistochemistry (Formalin/PFA-fixed paraffin-embedded sections) - Anti-KAT1 / HAT1 antibody [EPR18775] - BSA and Azide free (AB251185)
  • IHC-P

Supplier Data

Immunohistochemistry (Formalin/PFA-fixed paraffin-embedded sections) - Anti-KAT1 / HAT1 antibody [EPR18775] - BSA and Azide free (AB251185)

This data was developed using ab194296, the same antibody clone in a different buffer formulation.

Immunohistochemical analysis of paraffin-embedded Human tonsil tissue labeling KAT1 / HAT1 with ab194296 at 1/500 dilution, followed by Goat Anti-Rabbit IgG H&L (HRP) (ab97051) at 1/500 dilution. Nucleus staining on the germinal center of Human tonsil is observed. Counter stained with Hematoxylin.

Secondary antibody only control : Used PBS instead of primary antibody, secondary antibody is Goat Anti-Rabbit IgG H&L (HRP) (ab97051) at 1/500 dilution.

Perform heat mediated antigen retrieval with Tris/EDTA buffer pH 9.0 before commencing with IHC staining protocol.

Flow Cytometry (Intracellular) - Anti-KAT1 / HAT1 antibody [EPR18775] - BSA and Azide free (AB251185)
  • Flow Cyt (Intra)

Supplier Data

Flow Cytometry (Intracellular) - Anti-KAT1 / HAT1 antibody [EPR18775] - BSA and Azide free (AB251185)

This data was developed using ab194296, the same antibody clone in a different buffer formulation.

Intracellular flow cytometric analysis of 4% paraformaldehyde-fixed HeLa (Human epithelial cells from cervix adenocarcinoma) cells labeling KAT1 / HAT1 with ab194296 at 1/150 dilution (red) compared with a rabbit monoclonal IgG isotype control (ab172730; black) and an unlabelled control (cells without incubation with primary antibody and secondary antibody; blue). Goat anti rabbit IgG (FITC) at 1/500 dilution was used as the secondary antibody.

Immunocytochemistry/ Immunofluorescence - Anti-KAT1 / HAT1 antibody [EPR18775] - BSA and Azide free (AB251185)
  • ICC/IF

Supplier Data

Immunocytochemistry/ Immunofluorescence - Anti-KAT1 / HAT1 antibody [EPR18775] - BSA and Azide free (AB251185)

This data was developed using ab194296, the same antibody clone in a different buffer formulation.

Immunofluorescent analysis of 4% paraformaldehyde-fixed, 0.1% Triton X-100 permeabilized F9 (Mouse embyro testicular cancer cell line) cells labeling KAT1 / HAT1 with ab194296 at 1/500 dilution, followed by Goat anti-rabbit IgG (Alexa Fluor® 488) (ab150077) secondary antibody at 1/1000 dilution (green). Confocal image showing nuclear staining on F9 cell line. The nuclear counter stain is DAPI (blue). Tubulin is detected with ab7291 (anti-Tubulin mouse mAb) at 1/1000 dilution and ab150120 (AlexaFluor®594 Goat anti-Mouse secondary) at 1/1000 dilution (red).
The negative controls are as follows :
-ve control 1 : ab194296 at 1/500 dilution followed by ab150120 (AlexaFluor®594 Goat anti-Mouse secondary) at 1/1000 dilution.
-ve control 2 : ab7291 (anti-Tubulin mouse mAb) at 1/1000 dilution followed by ab150077 (Alexa Fluor®488 Goat Anti-Rabbit IgG H&L) at 1/1000 dilution.

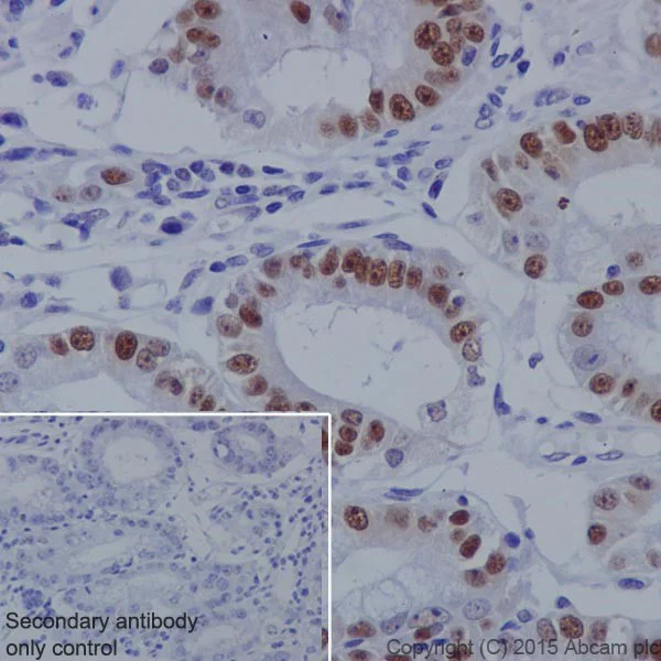
Immunohistochemistry (Formalin/PFA-fixed paraffin-embedded sections) - Anti-KAT1 / HAT1 antibody [EPR18775] - BSA and Azide free (AB251185)
  • IHC-P

Supplier Data

Immunohistochemistry (Formalin/PFA-fixed paraffin-embedded sections) - Anti-KAT1 / HAT1 antibody [EPR18775] - BSA and Azide free (AB251185)

This data was developed using ab194296, the same antibody clone in a different buffer formulation.

Immunohistochemical analysis of paraffin-embedded rat colon tissue labeling KAT1 / HAT1 with ab194296 at 1/500 dilution, followed by Goat Anti-Rabbit IgG H&L (HRP) (ab97051) at 1/500 dilution. Nucleus staining on epithelial cells of rat colon is observed. Counter stained with Hematoxylin.

Secondary antibody only control : Used PBS instead of primary antibody, secondary antibody is Goat Anti-Rabbit IgG H&L (HRP) (ab97051) at 1/500 dilution.

Perform heat mediated antigen retrieval with Tris/EDTA buffer pH 9.0 before commencing with IHC staining protocol.

Western blot - Anti-KAT1 / HAT1 antibody [EPR18775] - BSA and Azide free (AB251185)
  • WB

Supplier Data

Western blot - Anti-KAT1 / HAT1 antibody [EPR18775] - BSA and Azide free (AB251185)

This data was developed using ab194296, the same antibody clone in a different buffer formulation.

Blocking and dilution buffer : 5% NFDM/TBST.

Exposure times : Lanes 1-2 : 3 minutes; Lanes 3-4 : 2 seconds; Lanes 5-7 : 5 seconds.

All lanes:

Western blot - Anti-KAT1 / HAT1 antibody [EPR18775] (<a href='/en-us/products/primary-antibodies/kat1-hat1-antibody-epr18775-ab194296'>ab194296</a>) at 1/1000 dilution

Lane 1:

Mouse colon lysate at 20 µg

Lane 2:

Rat colon lysate at 20 µg

Lane 3:

HeLa (Human epithelial cells from cervix adenocarcinoma) whole cell lysate at 20 µg

Lane 4:

MCF7 (Human breast adenocarcinoma cell line) whole cell lysate at 20 µg

Lane 5:

F9 (Mouse embyro testicular cancer cell line) whole cell lysate at 20 µg

Lane 6:

LLC1 (Mouse lung carcinoma cell line) whole cell lysate at 20 µg

Lane 7:

Mouse thymus lysate at 20 µg

Secondary

All lanes:

Western blot - Goat Anti-Rabbit IgG H&L (HRP) (<a href='/en-us/products/secondary-antibodies/goat-rabbit-igg-h-l-hrp-ab97051'>ab97051</a>) at 1/100000 dilution

Predicted band size: 49 kDa

Observed band size: 45 kDa

false

Western blot - Anti-KAT1 / HAT1 antibody [EPR18775] - BSA and Azide free (AB251185)
  • WB

Supplier Data

Western blot - Anti-KAT1 / HAT1 antibody [EPR18775] - BSA and Azide free (AB251185)

This data was developed using ab194296, the same antibody clone in a different buffer formulation.

Blocking and dilution buffer : 5% NFDM/TBST.

Exposure time : Lanes 1-6 : 3 minutes; Lane 3 : 1 minute; Lanes 7-10 : 5 seconds.

All lanes:

Western blot - Anti-KAT1 / HAT1 antibody [EPR18775] (<a href='/en-us/products/primary-antibodies/kat1-hat1-antibody-epr18775-ab194296'>ab194296</a>) at 1/1000 dilution

Lane 1:

Mouse brain lysate at 10 µg

Lane 2:

Mouse kidney lysate at 10 µg

Lane 3:

Mouse spleen lysate at 10 µg

Lane 4:

Rat brain lysate at 10 µg

Lane 5:

Rat kidney lysate at 10 µg

Lane 6:

Rat spleen lysate at 10 µg

Lane 7:

C6 (Rat glial tumor cells) whole cell lysate at 10 µg

Lane 8:

RAW 264.7 (Mouse macrophage cells transformed with Abelson murine leukemia virus) whole cell lysate at 10 µg

Lane 9:

PC-12 (Rat adrenal gland pheochromocytoma) whole cell lysate at 10 µg

Lane 10:

NIH/3T3 (Mouse embyro fibroblast cells) whole cell lysate at 10 µg

Secondary

All lanes:

Western blot - Goat Anti-Rabbit IgG H&L (HRP) (<a href='/en-us/products/secondary-antibodies/goat-rabbit-igg-h-l-hrp-ab97051'>ab97051</a>) at 1/100000 dilution

Predicted band size: 49 kDa

Observed band size: 45 kDa

false

Immunocytochemistry/ Immunofluorescence - Anti-KAT1 / HAT1 antibody [EPR18775] - BSA and Azide free (AB251185)
  • ICC/IF

Supplier Data

Immunocytochemistry/ Immunofluorescence - Anti-KAT1 / HAT1 antibody [EPR18775] - BSA and Azide free (AB251185)

This data was developed using ab194296, the same antibody clone in a different buffer formulation.

Immunofluorescent analysis of 4% paraformaldehyde-fixed, 0.1% Triton X-100 permeabilized HeLa (Human epithelial cells from cervix adenocarcinoma) cells labeling KAT1 / HAT1 with ab194296 at 1/500 dilution, followed by Goat anti-rabbit IgG (Alexa Fluor® 488) (ab150077) secondary antibody at 1/1000 dilution (green). Confocal image showing nuclear staining on HeLa cell line. The nuclear counter stain is DAPI (blue). Tubulin is detected with ab7291 (anti-Tubulin mouse mAb) at 1/1000 dilution and ab150120 (AlexaFluor®594 Goat anti-Mouse secondary) at 1/1000 dilution (red).
The negative controls are as follows :
-ve control 1 : ab194296 at 1/500 dilution followed by ab150120 (AlexaFluor®594 Goat anti-Mouse secondary) at 1/1000 dilution.
-ve control 2 : ab7291 (anti-Tubulin mouse mAb) at 1/1000 dilution followed by ab150077 (Alexa Fluor®488 Goat Anti-Rabbit IgG H&L) at 1/1000 dilution.

Immunohistochemistry (Formalin/PFA-fixed paraffin-embedded sections) - Anti-KAT1 / HAT1 antibody [EPR18775] - BSA and Azide free (AB251185)
  • IHC-P

Supplier Data

Immunohistochemistry (Formalin/PFA-fixed paraffin-embedded sections) - Anti-KAT1 / HAT1 antibody [EPR18775] - BSA and Azide free (AB251185)

This data was developed using ab194296, the same antibody clone in a different buffer formulation.

Immunohistochemical analysis of paraffin-embedded mouse colon tissue labeling KAT1 / HAT1 with ab194296 at 1/500 dilution, followed by Goat Anti-Rabbit IgG H&L (HRP) (ab97051) at 1/500 dilution. Nucleus staining on epithelial cells of mouse colon is observed. Counter stained with Hematoxylin.

Secondary antibody only control : Used PBS instead of primary antibody, secondary antibody is Goat Anti-Rabbit IgG H&L (HRP) (ab97051) at 1/500 dilution.

Perform heat mediated antigen retrieval with Tris/EDTA buffer pH 9.0 before commencing with IHC staining protocol.

Immunoprecipitation - Anti-KAT1 / HAT1 antibody [EPR18775] - BSA and Azide free (AB251185)
  • IP

Supplier Data

Immunoprecipitation - Anti-KAT1 / HAT1 antibody [EPR18775] - BSA and Azide free (AB251185)

This data was developed using ab194296, the same antibody clone in a different buffer formulation.

KAT1 / HAT1 was immunoprecipitated from 1mg of F9 (Mouse embyro testicular cancer cell line) whole cell lysate with ab194296 at 1/50 dilution. Western blot was performed from the immunoprecipitate using ab194296 at 1/1000 dilution. VeriBlot for IP Detection Reagent (HRP) (ab131366), was used for detection at 1/10000 dilution.

Lane 1 : F9 whole cell lysate 10ug (Input).

Lane 2 : ab194296 IP in F9 whole cell lysate.

Lane 3 : Rabbit monoclonal IgG (ab172730) instead of ab194296 in F9 whole cell lysate.

Blocking and dilution buffer : 5% NFDM/TBST.

Exposure time : 30 seconds.

All lanes:

Immunoprecipitation - Anti-KAT1 / HAT1 antibody [EPR18775] (<a href='/en-us/products/primary-antibodies/kat1-hat1-antibody-epr18775-ab194296'>ab194296</a>)

Predicted band size: 49 kDa

Observed band size: 45 kDa

false

Immunoprecipitation - Anti-KAT1 / HAT1 antibody [EPR18775] - BSA and Azide free (AB251185)
  • IP

Supplier Data

Immunoprecipitation - Anti-KAT1 / HAT1 antibody [EPR18775] - BSA and Azide free (AB251185)

This data was developed using ab194296, the same antibody clone in a different buffer formulation.

KAT1 / HAT1 was immunoprecipitated from 1mg of HeLa (Human epithelial cells from cervix adenocarcinoma) whole cell lysate with ab194296 at 1/50 dilution. Western blot was performed from the immunoprecipitate using ab194296 at 1/1000 dilution. VeriBlot for IP Detection Reagent (HRP) (ab131366), was used for detection at 1/10000 dilution.

Lane 1 : HeLa whole cell lysate 10ug (Input).

Lane 2 : ab194296 IP in HeLa whole cell lysate.

Lane 3 : Rabbit monoclonal IgG (ab172730) instead of ab194296 in HeLa whole cell lysate.

Blocking and dilution buffer : 5% NFDM/TBST.

Exposure time : 30 seconds.

All lanes:

Immunoprecipitation - Anti-KAT1 / HAT1 antibody [EPR18775] (<a href='/en-us/products/primary-antibodies/kat1-hat1-antibody-epr18775-ab194296'>ab194296</a>)

Predicted band size: 49 kDa

Observed band size: 45 kDa

false

Western blot - Anti-KAT1 / HAT1 antibody [EPR18775] - BSA and Azide free (AB251185)
  • WB

Supplier Data

Western blot - Anti-KAT1 / HAT1 antibody [EPR18775] - BSA and Azide free (AB251185)

This data was developed using ab194296, the same antibody clone in a different buffer formulation.

Blocking and dilution buffer : 5% NFDM/TBST.

All lanes:

Western blot - Anti-KAT1 / HAT1 antibody [EPR18775] (<a href='/en-us/products/primary-antibodies/kat1-hat1-antibody-epr18775-ab194296'>ab194296</a>) at 1/1000 dilution

Lane 1:

Human fetal liver lysate at 10 µg

Lane 2:

Human fetal kidney lysate at 10 µg

Secondary

All lanes:

Anti-Rabbit IgG (HRP), specific to the non-reduced form of IgG at 1/10000 dilution

Predicted band size: 49 kDa

Observed band size: 45 kDa

false

Exposure time: 5s

Western blot - Anti-KAT1 / HAT1 antibody [EPR18775] - BSA and Azide free (AB251185)
  • WB

Lab

Western blot - Anti-KAT1 / HAT1 antibody [EPR18775] - BSA and Azide free (AB251185)

This data was developed using ab194296, the same antibody clone in a different buffer formulation.

Lane 1 : Wild-type HAP1 cell lysate (40 μg)

Lane 2 : KAT1/HAT1 knockout HAP1 cell lysate (40 μg)

Lane 3 : HeLa cell lysate (20 μg)

Lane 4 : urkat cell lysate (20 μg)

Lanes 1 - 4 : Merged signal (red and green). Green - ab194296 observed at 48 kDa. Red - loading control, ab18058, observed at 37 kDa.

ab194296 was shown to recognize KAT1/HAT1 in wild-type HAP1 cells along with additional cross-reactive bands. No band was observed when KAT1/HAT1 knockout samples were examined. Wild-type and KAT1 / HAT1 knockout samples were subjected to SDS-PAGE. ab194296 and ab18058 (loading control to GAPDH) were diluted at 1/1000 and 1/10,000 dilution respectively and incubated overnight at 4°C. Blots were developed with IRDye® 800CW Goat anti-Rabbit IgG (H + L) and IRDye® 680 Goat anti-Mouse IgG (H + L) secondary antibodies at 1/10,000 dilution for 1 hour at room temperature before imaging.

All lanes:

Western blot - Anti-KAT1 / HAT1 antibody [EPR18775] (<a href='/en-us/products/primary-antibodies/kat1-hat1-antibody-epr18775-ab194296'>ab194296</a>)

Predicted band size: 49 kDa

false

Key facts

Host species

Rabbit

Clonality

Monoclonal

Clone number

EPR18775

Isotype

IgG

Carrier free

Yes

Reacts with

Mouse, Rat, Human

Applications

IP, ICC/IF, IHC-P, Flow Cyt (Intra), WB

applications

Immunogen

The exact immunogen used to generate this antibody is proprietary information.

Reactivity data

{ "title": "Reactivity Data", "filters": { "stats": ["", "Species", "Dilution Info", "Notes"], "tabs": { "all-applications": {"fullname" : "All Applications", "shortname": "All Applications"}, "ICCIF" : {"fullname" : "Immunocytochemistry/ Immunofluorescence", "shortname":"ICC/IF"}, "IP" : {"fullname" : "Immunoprecipitation", "shortname":"IP"}, "WB" : {"fullname" : "Western blot", "shortname":"WB"}, "FlowCytIntra" : {"fullname" : "Flow Cytometry (Intracellular)", "shortname":"Flow Cyt (Intra)"}, "IHCP" : {"fullname" : "Immunohistochemistry (Formalin/PFA-fixed paraffin-embedded sections)", "shortname":"IHC-P"} }, "product-promise": { "all": "all", "testedAndGuaranteed": "tested", "guaranteed": "expected", "predicted": "predicted", "notRecommended": "not-recommended" } }, "values": { "Human": { "ICCIF-species-checked": "testedAndGuaranteed", "ICCIF-species-dilution-info": "", "ICCIF-species-notes": "<p></p>", "IP-species-checked": "testedAndGuaranteed", "IP-species-dilution-info": "", "IP-species-notes": "<p></p>", "WB-species-checked": "testedAndGuaranteed", "WB-species-dilution-info": "", "WB-species-notes": "<p></p>", "FlowCytIntra-species-checked": "testedAndGuaranteed", "FlowCytIntra-species-dilution-info": "", "FlowCytIntra-species-notes": "<p></p>", "IHCP-species-checked": "testedAndGuaranteed", "IHCP-species-dilution-info": "", "IHCP-species-notes": "<p></p>" }, "Mouse": { "ICCIF-species-checked": "testedAndGuaranteed", "ICCIF-species-dilution-info": "", "ICCIF-species-notes": "<p></p>", "IP-species-checked": "testedAndGuaranteed", "IP-species-dilution-info": "", "IP-species-notes": "<p></p>", "WB-species-checked": "testedAndGuaranteed", "WB-species-dilution-info": "", "WB-species-notes": "<p></p>", "FlowCytIntra-species-checked": "guaranteed", "FlowCytIntra-species-dilution-info": "", "FlowCytIntra-species-notes": "", "IHCP-species-checked": "testedAndGuaranteed", "IHCP-species-dilution-info": "", "IHCP-species-notes": "<p></p>" }, "Rat": { "ICCIF-species-checked": "guaranteed", "ICCIF-species-dilution-info": "", "ICCIF-species-notes": "", "IP-species-checked": "guaranteed", "IP-species-dilution-info": "", "IP-species-notes": "", "WB-species-checked": "testedAndGuaranteed", "WB-species-dilution-info": "", "WB-species-notes": "<p></p>", "FlowCytIntra-species-checked": "guaranteed", "FlowCytIntra-species-dilution-info": "", "FlowCytIntra-species-notes": "", "IHCP-species-checked": "testedAndGuaranteed", "IHCP-species-dilution-info": "", "IHCP-species-notes": "<p></p>" } } }

Product details

ab251185 is the carrier-free version of ab194296.

Patented technology
Our RabMAb® technology is a patented hybridoma-based technology for making rabbit monoclonal antibodies. For details on our patents, please refer to RabMAb® patents.

What are the advantages of a recombinant monoclonal antibody?
This product is a recombinant monoclonal antibody, which offers several advantages including:

  • - High batch-to-batch consistency and reproducibility
  • - Improved sensitivity and specificity
  • - Long-term security of supply
  • - Animal-free batch production

For more information, read more on recombinant antibodies.

Conjugation ready
Our carrier-free antibodies are typically supplied in a PBS-only formulation, purified and free of BSA, sodium azide and glycerol. This conjugation-ready format is designed for use with fluorochromes, metal isotopes, oligonucleotides, and enzymes, which makes them ideal for antibody labelling, functional and cell-based assays, flow-based assays (e.g. mass cytometry) and Multiplex Imaging applications.

Use our conjugation kits for antibody conjugates that are ready-to-use in as little as 20 minutes with 1 minute hands-on-time and 100% antibody recovery: available for fluorescent dyes, HRP, biotin and gold.

Compatibility
This product is compatible with the Maxpar® Antibody Labeling Kit from Fluidigm, without the need for antibody preparation. Maxpar® is a trademark of Fluidigm Canada Inc.

Properties and storage information

Form
Liquid
Purification technique
Affinity purification Protein A
Storage buffer
pH: 7.2 - 7.4 Constituents: PBS
Shipped at conditions
Blue Ice
Appropriate short-term storage conditions
+4°C
Appropriate long-term storage conditions
+4°C
Storage information
Do Not Freeze

Supplementary information

This supplementary information is collated from multiple sources and compiled automatically.

The protein KAT1 also known as HAT1 (Histone Acetyltransferase 1) functions as an enzyme responsible for acetylating newly synthesized histone proteins. It has a mass of approximately 46 kDa. KAT1 is mostly expressed in the nucleus of cells where it modifies histones by adding acetyl groups to the N-terminal lysines a process essential for chromatin modification. The enzyme is important for facilitating transcriptional activation by altering chromatin structure and is widely observed in various eukaryotic organisms.
Biological function summary

KAT1 acts as a part of the histone acetyltransferase complex which plays a major role in regulating gene expression. By acetylating histone proteins it reduces chromatin compaction and allows gene transcription machinery access to DNA. This alteration can significantly influence cellular processes such as cell cycle regulation and DNA repair. As KAT1 interacts with several protein partners including other acetylation enzymes it serves as an important player in managing chromatin dynamics and maintaining genomic integrity.

Pathways

The role of KAT1 extends to involvement in the cell cycle and DNA damage repair pathways. In the cell cycle pathway KAT1 facilitates transcription required for progression through various phases of the cycle. In DNA damage response pathways KAT1 contributes to repairing DNA lesions by modifying chromatin to allow repair machinery access. It interacts with proteins such as p300 and CBP which are also acetyltransferases to modulate these pathways effectively and ensure cellular responses to DNA insults are adequate.

KAT1's function connects with cancer and neurodegenerative diseases due to its role in gene regulation and DNA repair. In cancer aberrant acetylation by KAT1 can lead to unregulated cell division and tumor formation while in neurodegenerative disorders impaired KAT1 activity might contribute to neuronal damage and death due to faulty DNA repair. The protein interacts with p53 another key player in both pathways impacting disease progression by modulating tumor suppressor functions and ensuring cellular stability under stress.

Product protocols

For this product, it's our understanding that no specific protocols are required. You can visit:

Target data

Histone acetyltransferase that plays a role in different biological processes including cell cycle progression, glucose metabolism, histone production or DNA damage repair (PubMed : 20953179, PubMed : 23653357, PubMed : 31278053, PubMed : 32081014). Coordinates histone production and acetylation via H4 promoter binding (PubMed : 31278053). Acetylates histone H4 at 'Lys-5' (H4K5ac) and 'Lys-12' (H4K12ac) and, to a lesser extent, histone H2A at 'Lys-5' (H2AK5ac) (PubMed : 11585814, PubMed : 22615379). Drives H4 production by chromatin binding to support chromatin replication and acetylation. Since transcription of H4 genes is tightly coupled to S-phase, plays an important role in S-phase entry and progression (PubMed : 31278053). Promotes homologous recombination in DNA repair by facilitating histone turnover and incorporation of acetylated H3.3 at sites of double-strand breaks (PubMed : 23653357). In addition, acetylates other substrates such as chromatin-related proteins (PubMed : 32081014). Acetylates also RSAD2 which mediates the interaction of ubiquitin ligase UBE4A with RSAD2 leading to RSAD2 ubiquitination and subsequent degradation (PubMed : 31812350).. (Microbial infection) Contributes to hepatitis B virus (HBV) replication by acetylating histone H4 at the sites of 'Lys-5' and 'Lys-12' on the covalently closed circular DNA (cccDNA) minichromosome leading to its accumulation within the host cell.
See full target information HAT1

Product promise

We are committed to supporting your work with high-quality reagents, and we're here for you every step of the way. In the unlikely event that one of our products does not perform as expected, you're protected by our Product Promise.
For full details, please see our Terms & Conditions

Please note: All products are 'FOR RESEARCH USE ONLY. NOT FOR USE IN DIAGNOSTIC OR THERAPEUTIC PROCEDURES'.

For licensing inquiries, please contact partnerships@abcam.com