JavaScript is disabled in your browser. Please enable JavaScript to view this website.
AB10491

Anti-KAT13C / NCOA2 antibody

3

(4 Reviews)

|

(13 Publications)

Rabbit Polyclonal KAT13C / NCOA2 antibody. Suitable for IP, WB, IHC-P and reacts with Human, Mouse samples. Cited in 13 publications. Immunogen corresponding to Synthetic Peptide within Human NCOA2 aa 700-750.

View Alternative Names

BHLHE75, SRC2, TIF2, NCOA2, Nuclear receptor coactivator 2, NCoA-2, Class E basic helix-loop-helix protein 75, Transcriptional intermediary factor 2, bHLHe75, hTIF2

4 Images
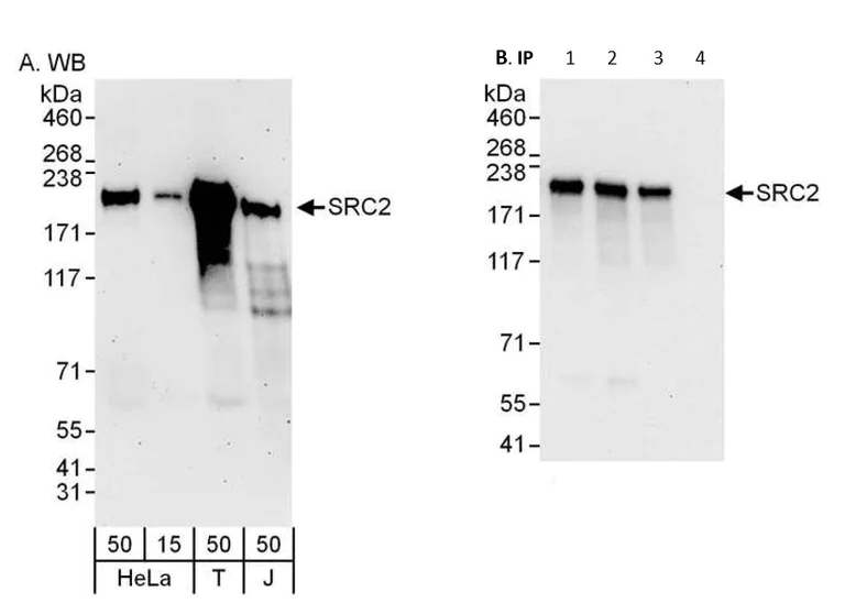
Immunoprecipitation - Anti-KAT13C / NCOA2 antibody (AB10491)
  • IP

Unknown

Immunoprecipitation - Anti-KAT13C / NCOA2 antibody (AB10491)

ab10491 used for WB at 0.1 μg/ml (A)

Lane 1 : Whole cell lysate Hela, 50 ug

Lane 2 : Whole cell lysate Hela, 15 ug

Lane 3 : Whole cell lysate HEK293T, 50 ug

Lane 4 : Whole cell lysate Jurkat, 50 ug

ab10491 was used at 1 μg/ml for WB and used for IP at 6 μg/mg lysate (B)

Lane 1-3 : ab10491]

Lane4 : Control IgG

Detection : Chemiluminescence with exposure times of 3 minutes (A) and 10 seconds (B).

All lanes:

Immunoprecipitation - Anti-KAT13C / NCOA2 antibody (ab10491)

Predicted band size: 159 kDa

false

Western blot - Anti-KAT13C / NCOA2 antibody (AB10491)
  • WB

Lab

Western blot - Anti-KAT13C / NCOA2 antibody (AB10491)

False colour image of Western blot : Anti-KAT13C / NCOA2 antibody staining at 1/1000 dilution, shown in green; Mouse anti-Alpha Tubulin [DM1A] (ab7291) loading control staining at 1/20000 dilution, shown in red. In Western blot, ab10491 was shown to bind specifically to KAT13C / NCOA2. A band was observed at 160 kDa in wild-type HEK-293T cell lysates with no signal observed at this size in NCOA2 knockout cell line ab265068 (knockout cell lysate ab258530). To generate this image, wild-type and NCOA2 knockout HEK-293T cell lysates were analysed. First, samples were run on an SDS-PAGE gel then transferred onto a nitrocellulose membrane. Membranes were blocked in 5% milk in TBS-0.1 % Tween® 20 (TBS-T) before incubation with primary antibodies overnight at 4°C. Blots were washed four times in TBS-T, incubated with secondary antibodies for 1 h at room temperature, washed again four times then imaged. Secondary antibodies used were Goat anti-Rabbit IgG H&L (IRDye® 800CW) preabsorbed (ab216773) and Goat anti-Mouse IgG H&L (IRDye® 680RD) preabsorbed (ab216776) at 1/20000 dilution.

All lanes:

Western blot - Anti-KAT13C / NCOA2 antibody (ab10491) at 1/1000 dilution

Lane 1:

Wild-type HEK-293T cell lysate at 20 µg

Lane 2:

NCOA2 knockout HEK-293T cell lysate at 20 µg

Lane 2:

Western blot - Human NCOA2 (KAT13C) knockout HEK-293T cell line (<a href='/en-us/products/cell-lines/human-ncoa2-kat13c-knockout-hek-293t-cell-line-ab265068'>ab265068</a>)

Lane 3:

PC-3 cell lysate at 20 µg

Lane 4:

HeLa cell lysate at 20 µg

Predicted band size: 159 kDa

Observed band size: 160 kDa

false

Western blot - Anti-KAT13C / NCOA2 antibody (AB10491)
  • WB

Unknown

Western blot - Anti-KAT13C / NCOA2 antibody (AB10491)

All lanes:

Western blot - Anti-KAT13C / NCOA2 antibody (ab10491) at 1 µg/mL

Lane 1:

TCMK-1 cells at 50 µg

Lane 2:

4T1 cells at 50 µg

Lane 3:

CT26.WT cells at 50 µg

Predicted band size: 159 kDa

false

Western blot - Anti-KAT13C / NCOA2 antibody (AB10491)
  • WB

CiteAb

Western blot - Anti-KAT13C / NCOA2 antibody (AB10491)

KAT13C / NCOA2 western blot using anti-KAT13C / NCOA2 antibody ab10491. Publication image and figure legend from Wagner, M., Koslowski, M., et al., 2013, BMC Cancer, PubMed 24304549.

ab10491 was used in this publication in western blot. This may not be the same as the application(s) guaranteed by Abcam. For a full list of applications guaranteed by Abcam for ab10491 please see the product overview.

Expression of NCOA1, 2 and 3 in ERα-positive MCF-7 and ERα-negative SK-BR-3 breast cancer cells. (A) Real-time RT-PCR quantification of NCOA1, 2 and 3 mRNA expression in MCF-7 and SK-BR-3 breast cancer cells. Shown are mean and standard deviation of three individual experiments. Statistical analysis of NCOA3 mRNA expression compared to NCOA1 and 2 were performed using two-tailed Student’s t-test. P-values ≤ 0.05 (*) were considered statistically significant. (B) Protein expression of NCOA1, 2 and 3 in MCF-7 and SK-BR-3 breast cancer cells was analyzed by Western blot. β-actin was used as a loading control.

false

Key facts

Host species

Rabbit

Clonality

Polyclonal

Isotype

IgG

Carrier free

No

Reacts with

Human, Mouse

Applications

IHC-P, WB, IP

applications

Immunogen

Synthetic Peptide within Human NCOA2 aa 700-750. The exact immunogen used to generate this antibody is proprietary information.

Q15596

Specificity

We have data to indicate that this antibody may not cross react with Xenopus laevis. However, this has not been conclusively tested and expression levels may vary in certain cell lines/tissues.

Reactivity data

{ "title": "Reactivity Data", "filters": { "stats": ["", "Species", "Dilution Info", "Notes"], "tabs": { "all-applications": {"fullname" : "All Applications", "shortname": "All Applications"}, "IP" : {"fullname" : "Immunoprecipitation", "shortname":"IP"}, "WB" : {"fullname" : "Western blot", "shortname":"WB"}, "IHCP" : {"fullname" : "Immunohistochemistry (Formalin/PFA-fixed paraffin-embedded sections)", "shortname":"IHC-P"} }, "product-promise": { "all": "all", "testedAndGuaranteed": "tested", "guaranteed": "expected", "predicted": "predicted", "notRecommended": "not-recommended" } }, "values": { "Human": { "IP-species-checked": "testedAndGuaranteed", "IP-species-dilution-info": "", "IP-species-notes": "<p></p>", "WB-species-checked": "testedAndGuaranteed", "WB-species-dilution-info": "1/1000 - 1/10000", "WB-species-notes": "<p></p>", "IHCP-species-checked": "guaranteed", "IHCP-species-dilution-info": "", "IHCP-species-notes": "<p></p>" }, "Mouse": { "IP-species-checked": "predicted", "IP-species-dilution-info": "", "IP-species-notes": "", "WB-species-checked": "predicted", "WB-species-dilution-info": "", "WB-species-notes": "", "IHCP-species-checked": "guaranteed", "IHCP-species-dilution-info": "", "IHCP-species-notes": "<p></p>" }, "Rat": { "IP-species-checked": "predicted", "IP-species-dilution-info": "", "IP-species-notes": "", "WB-species-checked": "predicted", "WB-species-dilution-info": "", "WB-species-notes": "", "IHCP-species-checked": "predicted", "IHCP-species-dilution-info": "", "IHCP-species-notes": "" }, "Chimpanzee": { "IP-species-checked": "predicted", "IP-species-dilution-info": "", "IP-species-notes": "", "WB-species-checked": "predicted", "WB-species-dilution-info": "", "WB-species-notes": "", "IHCP-species-checked": "predicted", "IHCP-species-dilution-info": "", "IHCP-species-notes": "" }, "Chinese hamster": { "IP-species-checked": "predicted", "IP-species-dilution-info": "", "IP-species-notes": "", "WB-species-checked": "predicted", "WB-species-dilution-info": "", "WB-species-notes": "", "IHCP-species-checked": "predicted", "IHCP-species-dilution-info": "", "IHCP-species-notes": "" }, "Cow": { "IP-species-checked": "predicted", "IP-species-dilution-info": "", "IP-species-notes": "", "WB-species-checked": "predicted", "WB-species-dilution-info": "", "WB-species-notes": "", "IHCP-species-checked": "predicted", "IHCP-species-dilution-info": "", "IHCP-species-notes": "" }, "Dog": { "IP-species-checked": "predicted", "IP-species-dilution-info": "", "IP-species-notes": "", "WB-species-checked": "predicted", "WB-species-dilution-info": "", "WB-species-notes": "", "IHCP-species-checked": "predicted", "IHCP-species-dilution-info": "", "IHCP-species-notes": "" }, "Ferret": { "IP-species-checked": "predicted", "IP-species-dilution-info": "", "IP-species-notes": "", "WB-species-checked": "predicted", "WB-species-dilution-info": "", "WB-species-notes": "", "IHCP-species-checked": "predicted", "IHCP-species-dilution-info": "", "IHCP-species-notes": "" }, "Gorilla": { "IP-species-checked": "predicted", "IP-species-dilution-info": "", "IP-species-notes": "", "WB-species-checked": "predicted", "WB-species-dilution-info": "", "WB-species-notes": "", "IHCP-species-checked": "predicted", "IHCP-species-dilution-info": "", "IHCP-species-notes": "" }, "Guinea pig": { "IP-species-checked": "predicted", "IP-species-dilution-info": "", "IP-species-notes": "", "WB-species-checked": "predicted", "WB-species-dilution-info": "", "WB-species-notes": "", "IHCP-species-checked": "predicted", "IHCP-species-dilution-info": "", "IHCP-species-notes": "" }, "Pig": { "IP-species-checked": "predicted", "IP-species-dilution-info": "", "IP-species-notes": "", "WB-species-checked": "predicted", "WB-species-dilution-info": "", "WB-species-notes": "", "IHCP-species-checked": "predicted", "IHCP-species-dilution-info": "", "IHCP-species-notes": "" }, "Rabbit": { "IP-species-checked": "predicted", "IP-species-dilution-info": "", "IP-species-notes": "", "WB-species-checked": "predicted", "WB-species-dilution-info": "", "WB-species-notes": "", "IHCP-species-checked": "predicted", "IHCP-species-dilution-info": "", "IHCP-species-notes": "" } } }

Properties and storage information

Form
Liquid
Purification technique
Affinity purification Immunogen
Purification notes
Antibodies were affinity purified using the peptide immobilized on solid support.
Storage buffer
pH: 7 - 8 Preservative: 0.1% Sodium azide Constituents: PBS, 1.815% Tris, 1.764% Sodium citrate
Shipped at conditions
Blue Ice
Appropriate short-term storage conditions
+4°C
Appropriate long-term storage conditions
-20°C
Aliquoting information
Upon delivery aliquot
Storage information
Avoid freeze / thaw cycle

Supplementary information

This supplementary information is collated from multiple sources and compiled automatically.

KAT13C also known as NCOA2 functions as a transcriptional coactivator involved in nuclear receptor-mediated gene expression. It has a molecular mass of approximately 170 kDa. This protein localizes in the nucleus where it binds with nuclear receptors to enhance transcriptional programming. It is expressed in various tissues including the brain heart and liver indicating its involvement in a diverse range of cellular activities.
Biological function summary

KAT13C/NCOA2 serves as part of a larger protein complex that regulates the expression of target genes following ligand binding to nuclear receptors. It acts as a scaffold protein recruiting additional transcriptional machinery to ensure efficient transcriptional activation. This role is critical for the regulation of hormone-responsive genes and in metabolism cell proliferation and differentiation processes.

Pathways

KAT13C/NCOA2 plays a significant role in the steroid hormone receptor signaling pathway and the nuclear hormone receptor signaling pathway. It interacts with other proteins like p160 family members and the CREB-binding protein (CBP) facilitating coordinated gene expression involved in hormone response and metabolism. These interactions position KAT13C/NCOA2 as an important player in fine-tuning cellular responses to external hormonal signals.

KAT13C/NCOA2 associates with prostate cancer and acute myeloid leukemia. In prostate cancer its interaction with androgen receptor signaling enhances cell proliferation. Meanwhile KAT13C/NCOA2 amplifies gene expression involved in leukemia progression through its interaction with MLL fusion proteins which are implicated in the development of acute myeloid leukemia. These connections underline its role in disease states where abnormal signaling and transcriptional regulation occur.

Product protocols

For this product, it's our understanding that no specific protocols are required. You can visit:

Target data

Transcriptional coactivator for steroid receptors and nuclear receptors (PubMed : 23508108, PubMed : 8670870, PubMed : 9430642). Coactivator of the steroid binding domain (AF-2) but not of the modulating N-terminal domain (AF-1) (PubMed : 23508108, PubMed : 8670870, PubMed : 9430642). Required with NCOA1 to control energy balance between white and brown adipose tissues (PubMed : 23508108, PubMed : 8670870, PubMed : 9430642). Critical regulator of glucose metabolism regulation, acts as a RORA coactivator to specifically modulate G6PC1 expression (PubMed : 23508108, PubMed : 8670870, PubMed : 9430642). Involved in the positive regulation of the transcriptional activity of the glucocorticoid receptor NR3C1 by sumoylation enhancer RWDD3 (PubMed : 23508108). Positively regulates the circadian clock by acting as a transcriptional coactivator for the CLOCK-BMAL1 heterodimer (By similarity).
See full target information NCOA2

Publications (13)

Recent publications for all applications. Explore the full list and refine your search

Cell reports 37:110075 PubMed34879284

2021

Hypothalamic steroid receptor coactivator-2 regulates adaptations to fasting and overnutrition.

Applications

Unspecified application

Species

Unspecified reactive species

Yongjie Yang,Yanlin He,Hailan Liu,Wenjun Zhou,Chunmei Wang,Pingwen Xu,Xing Cai,Hesong Liu,Kaifan Yu,Zhou Pei,Ilirjana Hyseni,Makoto Fukuda,Qingchun Tong,Jianming Xu,Zheng Sun,Bert W O'Malley,Yong Xu

The Journal of experimental medicine 218: PubMed33045064

2020

Transcription cofactor GRIP1 differentially affects myeloid cell-driven neuroinflammation and response to IFN-β therapy.

Applications

Unspecified application

Species

Unspecified reactive species

Sanda Mimouna,David A Rollins,Gayathri Shibu,Bowranigan Tharmalingam,Dinesh K Deochand,Xi Chen,David Oliver,Yurii Chinenov,Inez Rogatsky

Cancer letters 493:167-177 PubMed32829007

2020

Thevebioside, the active ingredient of traditional Chinese medicine, promotes ubiquitin-mediated SRC-3 degradation to induce NSCLC cells apoptosis.

Applications

Unspecified application

Species

Unspecified reactive species

Chao Yao,Lin Su,Fei Zhang,Xiaowen Zhu,Yangzhuangzhuang Zhu,Luyao Wei,Xiaoning Jiao,Yifei Hou,Xiao Chen,Wantao Wang,Jie Wang,Xiandan Zhu,Chunpu Zou,Shiguo Zhu,Zihang Xu

Nucleic acids research 48:8393-8407 PubMed32619221

2020

Anti-inflammatory functions of the glucocorticoid receptor require DNA binding.

Applications

Unspecified application

Species

Unspecified reactive species

Laura Escoter-Torres,Franziska Greulich,Fabiana Quagliarini,Michael Wierer,Nina Henriette Uhlenhaut

Nature communications 8:1739 PubMed29170386

2017

Glucocorticoid-induced phosphorylation by CDK9 modulates the coactivator functions of transcriptional cofactor GRIP1 in macrophages.

Applications

Unspecified application

Species

Unspecified reactive species

David A Rollins,Joubert B Kharlyngdoh,Maddalena Coppo,Bowranigan Tharmalingam,Sanda Mimouna,Ziyi Guo,Maria A Sacta,Miles A Pufall,Robert P Fisher,Xiaoyu Hu,Yurii Chinenov,Inez Rogatsky

Nature communications 7:12254 PubMed27464507

2016

The transcriptional coregulator GRIP1 controls macrophage polarization and metabolic homeostasis.

Applications

WB, ChIP, ICC/IF

Species

Mouse, Mouse, Mouse

Maddalena Coppo,Yurii Chinenov,Maria A Sacta,Inez Rogatsky

BMC cancer 16:332 PubMed27225190

2016

Corepressive function of nuclear receptor coactivator 2 in androgen receptor of prostate cancer cells treated with antiandrogen.

Applications

Unspecified application

Species

Unspecified reactive species

Keisuke Takeda,Noboru Hara,Tsutomu Nishiyama,Masayuki Tasaki,Fumio Ishizaki,Yoshihiko Tomita

Genes, chromosomes & cancer 55:365-74 PubMed26799514

2016

NCOA2 is a candidate target gene of 8q gain associated with clinically aggressive prostate cancer.

Applications

Unspecified application

Species

Unspecified reactive species

Maria P Silva,João D Barros-Silva,Joana Vieira,Susana Lisboa,Lurdes Torres,Cecília Correia,Márcia Vieira-Coimbra,Ana T Martins,Carmen Jerónimo,Rui Henrique,Paula Paulo,Manuel R Teixeira

BMC cancer 13:570 PubMed24304549

2013

NCOA3 is a selective co-activator of estrogen receptor α-mediated transactivation of PLAC1 in MCF-7 breast cancer cells.

Applications

WB

Species

Human

Meike Wagner,Michael Koslowski,Claudia Paret,Marcus Schmidt,Ozlem Türeci,Ugur Sahin

Anticancer research 33:53-63 PubMed23267128

2012

LATS2 is a modulator of estrogen receptor alpha.

Applications

WB, ICC/IF

Species

Human, Human

Lei Cheng Lit,Susan Scott,Hua Zhang,Justin Stebbing,Andrew Photiou,Georgios Giamas
View all publications

Product promise

We are committed to supporting your work with high-quality reagents, and we're here for you every step of the way. In the unlikely event that one of our products does not perform as expected, you're protected by our Product Promise.
For full details, please see our Terms & Conditions

Please note: All products are 'FOR RESEARCH USE ONLY. NOT FOR USE IN DIAGNOSTIC OR THERAPEUTIC PROCEDURES'.

For licensing inquiries, please contact partnerships@abcam.com