JavaScript is disabled in your browser. Please enable JavaScript to view this website.
AB84140

Anti-KAT13C / NCOA2 antibody

Be the first to review this product! Submit a review

|

(1 Publication)

Rabbit Polyclonal KAT13C / NCOA2 antibody. Suitable for IHC-P and reacts with Human samples. Cited in 1 publication. Immunogen corresponding to Synthetic Peptide within Human NCOA2 aa 1400 to C-terminus.

View Alternative Names

BHLHE75, SRC2, TIF2, NCOA2, Nuclear receptor coactivator 2, NCoA-2, Class E basic helix-loop-helix protein 75, Transcriptional intermediary factor 2, bHLHe75, hTIF2

2 Images
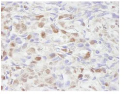
Immunohistochemistry (Formalin/PFA-fixed paraffin-embedded sections) - Anti-KAT13C / NCOA2 antibody (AB84140)
  • IHC-P

Unknown

Immunohistochemistry (Formalin/PFA-fixed paraffin-embedded sections) - Anti-KAT13C / NCOA2 antibody (AB84140)

ab84140, at a 1/250 dilution, staining KAT13C / NCOA2 in formalin fixed, paraffin embedded human breast adenocarcinoma tissue by Immunohistochemistry.
Detection : DAB

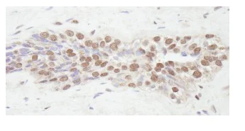
Immunohistochemistry (Formalin/PFA-fixed paraffin-embedded sections) - Anti-KAT13C / NCOA2 antibody (AB84140)
  • IHC-P

Unknown

Immunohistochemistry (Formalin/PFA-fixed paraffin-embedded sections) - Anti-KAT13C / NCOA2 antibody (AB84140)

ab84140, at a 1/100 dilution, staining KAT13C / NCOA2 in formalin fixed, paraffin embedded human prostate adenocarcinoma by Immunohistochemistry.
Detection : DAB

Key facts

Host species

Rabbit

Clonality

Polyclonal

Isotype

IgG

Carrier free

No

Reacts with

Human

Applications

IHC-P

applications

Immunogen

Synthetic Peptide within Human NCOA2 aa 1400 to C-terminus. The exact immunogen used to generate this antibody is proprietary information.

Q15596

Reactivity data

{ "title": "Reactivity Data", "filters": { "stats": ["", "Species", "Dilution Info", "Notes"], "tabs": { "all-applications": {"fullname" : "All Applications", "shortname": "All Applications"}, "IHCP" : {"fullname" : "Immunohistochemistry (Formalin/PFA-fixed paraffin-embedded sections)", "shortname":"IHC-P"} }, "product-promise": { "all": "all", "testedAndGuaranteed": "tested", "guaranteed": "expected", "predicted": "predicted", "notRecommended": "not-recommended" } }, "values": { "Human": { "IHCP-species-checked": "testedAndGuaranteed", "IHCP-species-dilution-info": "1/100 - 1/500", "IHCP-species-notes": "<p>Epitope exposure is recommended. Epitope exposure with citrate buffer will enhance staining.</p>" }, "Chimpanzee": { "IHCP-species-checked": "predicted", "IHCP-species-dilution-info": "", "IHCP-species-notes": "" }, "Gorilla": { "IHCP-species-checked": "predicted", "IHCP-species-dilution-info": "", "IHCP-species-notes": "" }, "Rhesus monkey": { "IHCP-species-checked": "predicted", "IHCP-species-dilution-info": "", "IHCP-species-notes": "" } } }

Properties and storage information

Form
Liquid
Purification technique
Affinity purification Immunogen
Purification notes
Affinity purified using an epitope specific to KAT13C / NCOA2 immobilized on solid support.
Storage buffer
pH: 6.8 - 7.4 Preservative: 0.09% Sodium azide Constituents: Tris buffered saline, 0.1% BSA
Shipped at conditions
Blue Ice
Appropriate short-term storage conditions
+4°C
Appropriate long-term storage conditions
-20°C
Aliquoting information
Upon delivery aliquot
Storage information
Avoid freeze / thaw cycle

Supplementary information

This supplementary information is collated from multiple sources and compiled automatically.

KAT13C also known as NCOA2 functions as a transcriptional coactivator involved in nuclear receptor-mediated gene expression. It has a molecular mass of approximately 170 kDa. This protein localizes in the nucleus where it binds with nuclear receptors to enhance transcriptional programming. It is expressed in various tissues including the brain heart and liver indicating its involvement in a diverse range of cellular activities.
Biological function summary

KAT13C/NCOA2 serves as part of a larger protein complex that regulates the expression of target genes following ligand binding to nuclear receptors. It acts as a scaffold protein recruiting additional transcriptional machinery to ensure efficient transcriptional activation. This role is critical for the regulation of hormone-responsive genes and in metabolism cell proliferation and differentiation processes.

Pathways

KAT13C/NCOA2 plays a significant role in the steroid hormone receptor signaling pathway and the nuclear hormone receptor signaling pathway. It interacts with other proteins like p160 family members and the CREB-binding protein (CBP) facilitating coordinated gene expression involved in hormone response and metabolism. These interactions position KAT13C/NCOA2 as an important player in fine-tuning cellular responses to external hormonal signals.

KAT13C/NCOA2 associates with prostate cancer and acute myeloid leukemia. In prostate cancer its interaction with androgen receptor signaling enhances cell proliferation. Meanwhile KAT13C/NCOA2 amplifies gene expression involved in leukemia progression through its interaction with MLL fusion proteins which are implicated in the development of acute myeloid leukemia. These connections underline its role in disease states where abnormal signaling and transcriptional regulation occur.

Product protocols

For this product, it's our understanding that no specific protocols are required. You can visit:

Target data

Transcriptional coactivator for steroid receptors and nuclear receptors (PubMed : 23508108, PubMed : 8670870, PubMed : 9430642). Coactivator of the steroid binding domain (AF-2) but not of the modulating N-terminal domain (AF-1) (PubMed : 23508108, PubMed : 8670870, PubMed : 9430642). Required with NCOA1 to control energy balance between white and brown adipose tissues (PubMed : 23508108, PubMed : 8670870, PubMed : 9430642). Critical regulator of glucose metabolism regulation, acts as a RORA coactivator to specifically modulate G6PC1 expression (PubMed : 23508108, PubMed : 8670870, PubMed : 9430642). Involved in the positive regulation of the transcriptional activity of the glucocorticoid receptor NR3C1 by sumoylation enhancer RWDD3 (PubMed : 23508108). Positively regulates the circadian clock by acting as a transcriptional coactivator for the CLOCK-BMAL1 heterodimer (By similarity).
See full target information NCOA2

Publications (1)

Recent publications for all applications. Explore the full list and refine your search

iScience 26:106314 PubMed37009228

2023

PGC-1s shape epidermal physiology by modulating keratinocyte proliferation and terminal differentiation.

Applications

Unspecified application

Species

Unspecified reactive species

Simon-Pierre Gravel,Youcef Ben Khalifa,Shawn McGuirk,Catherine St-Louis,Karl M Laurin,Émilie Lavallée,Damien Benas,Stéphanie Desbouis,Frédéric Amaral,Damien D'Amours,Lionel Breton,Sibylle Jäger,Julie St-Pierre
View all publications

Product promise

We are committed to supporting your work with high-quality reagents, and we're here for you every step of the way. In the unlikely event that one of our products does not perform as expected, you're protected by our Product Promise.
For full details, please see our Terms & Conditions

Please note: All products are 'FOR RESEARCH USE ONLY. NOT FOR USE IN DIAGNOSTIC OR THERAPEUTIC PROCEDURES'.

For licensing inquiries, please contact partnerships@abcam.com