JavaScript is disabled in your browser. Please enable JavaScript to view this website.
AB111588

Anti-KAT5 / Tip60 (phospho S90) antibody

0

(1 Review)

|

(1 Publication)

Rabbit Polyclonal KAT5 / Tip60 phospho S90 antibody. Suitable for IHC-P and reacts with Human samples. Cited in 1 publication. Immunogen corresponding to Synthetic Peptide within Human KAT5 phospho S90.

View Alternative Names

HTATIP, TIP60, KAT5, Histone acetyltransferase KAT5, 60 kDa Tat-interactive protein, Histone acetyltransferase HTATIP, Lysine acetyltransferase 5, Protein 2-hydroxyisobutyryltransferase KAT5, Protein acetyltransferase KAT5, Protein crotonyltransferase KAT5, Protein lactyltransferase KAT5, cPLA(2)-interacting protein, Tip60, HIV-1 Tat interactive protein

1 Images
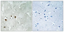
Immunohistochemistry (Formalin/PFA-fixed paraffin-embedded sections) - Anti-KAT5 / Tip60 (phospho S90) antibody (AB111588)
  • IHC-P

Unknown

Immunohistochemistry (Formalin/PFA-fixed paraffin-embedded sections) - Anti-KAT5 / Tip60 (phospho S90) antibody (AB111588)

ab111588, at a 1/50 dilution, staining KAT5 / Tip60 in paraffin embedded Human brain tissue by Immunohistochemistry. The image on the right is treated with the synthesized phosphopeptide.

Key facts

Host species

Rabbit

Clonality

Polyclonal

Isotype

IgG

Carrier free

No

Reacts with

Human

Applications

IHC-P

applications

Immunogen

Synthetic Peptide within Human KAT5 phospho S90. The exact immunogen used to generate this antibody is proprietary information.

Q92993

Reactivity data

{ "title": "Reactivity Data", "filters": { "stats": ["", "Species", "Dilution Info", "Notes"], "tabs": { "all-applications": {"fullname" : "All Applications", "shortname": "All Applications"}, "IHCP" : {"fullname" : "Immunohistochemistry (Formalin/PFA-fixed paraffin-embedded sections)", "shortname":"IHC-P"} }, "product-promise": { "all": "all", "testedAndGuaranteed": "tested", "guaranteed": "expected", "predicted": "predicted", "notRecommended": "not-recommended" } }, "values": { "Human": { "IHCP-species-checked": "testedAndGuaranteed", "IHCP-species-dilution-info": "1/50 - 1/100", "IHCP-species-notes": "<p></p> Perform heat-mediated antigen retrieval with citrate buffer pH 6 before commencing with IHC staining protocol." }, "Mouse": { "IHCP-species-checked": "predicted", "IHCP-species-dilution-info": "", "IHCP-species-notes": "" }, "Rat": { "IHCP-species-checked": "predicted", "IHCP-species-dilution-info": "", "IHCP-species-notes": "" } } }

Properties and storage information

Form
Liquid
Purification technique
Affinity purification Immunogen
Purification notes
ab111588 was affinity-purified from rabbit antiserum by affinity-chromatography using epitope-specific phosphopeptide. The antibody against non-phosphopeptide was removed by chromatography using non-phosphopeptide corresponding to the phosphorylation sit
Storage buffer
pH: 7.4 Preservative: 0.02% Sodium azide Constituents: PBS, 50% Glycerol (glycerin, glycerine), 0.88% Sodium chloride
Shipped at conditions
Blue Ice
Appropriate short-term storage conditions
+4°C
Appropriate long-term storage conditions
-20°C
Storage information
Stable for 12 months at -20°C

Supplementary information

This supplementary information is collated from multiple sources and compiled automatically.

KAT5 also known as Tip60 is a histone acetyltransferase with a molecular mass of approximately 60 kDa. This enzyme plays an important mechanical role in regulating chromatin dynamics by acetylating lysine residues on histone tails which affects gene expression. It is also involved in non-histone protein acetylation influencing various signaling pathways. KAT5 is expressed across many tissues with higher levels observed in the brain heart and testis.
Biological function summary

KAT5 acetylates histones and participates in the regulation of transcription DNA repair and cell cycle progression. It is a critical component of the NuA4 complex which includes other important proteins like EP400 and TRRAP. Through its acetylation activity KAT5 affects chromatin structure thereby influencing gene expression involved in growth control apoptosis and DNA repair mechanisms.

Pathways

KAT5 is integrally involved in processes such as the DNA damage response and apoptosis. Within these pathways KAT5 interacts with proteins like p53 which plays a significant role in maintaining genomic stability. KAT5-mediated acetylation modulates p53's activation and its ability to engage in apoptotic pathways as well as the cell's response to DNA damage.

KAT5 has links to neurodegenerative disorders and cancer. Its dysregulation may contribute to the development of Alzheimer's disease through altered acetylation of tau protein; abnormalities in tau acetylation are implicated in this disorder. Similarly in cancer interactions with proteins like MYC suggest KAT5's involvement in oncogenic pathways. Changes in KAT5 expression or activity have been observed in certain cancers highlighting its potential as a therapeutic target.

Product protocols

For this product, it's our understanding that no specific protocols are required. You can visit:

Target data

Catalytic subunit of the NuA4 histone acetyltransferase complex, a multiprotein complex involved in transcriptional activation of select genes principally by acetylation of nucleosomal histones H2A and H4 (PubMed : 12776177, PubMed : 14966270, PubMed : 15042092, PubMed : 15121871, PubMed : 15310756, PubMed : 16387653, PubMed : 19909775, PubMed : 25865756, PubMed : 27153538, PubMed : 29174981, PubMed : 29335245, PubMed : 32822602, PubMed : 33076429). Histone acetylation alters nucleosome-DNA interactions and promotes interaction of the modified histones with other proteins which positively regulate transcription (PubMed : 12776177, PubMed : 14966270, PubMed : 15042092, PubMed : 15121871, PubMed : 15310756). The NuA4 histone acetyltransferase complex is required for the activation of transcriptional programs associated with proto-oncogene mediated growth induction, tumor suppressor mediated growth arrest and replicative senescence, apoptosis, and DNA repair (PubMed : 17709392, PubMed : 19783983, PubMed : 32832608). The NuA4 complex plays a direct role in repair of DNA double-strand breaks (DSBs) by promoting homologous recombination (HR) : the complex inhibits TP53BP1 binding to chromatin via MBTD1, which recognizes and binds histone H4 trimethylated at 'Lys-20' (H4K20me), and KAT5 that catalyzes acetylation of 'Lys-15' of histone H2A (H2AK15ac), thereby blocking the ubiquitination mark required for TP53BP1 localization at DNA breaks (PubMed : 27153538, PubMed : 32832608). Also involved in DSB repair by mediating acetylation of 'Lys-5' of histone H2AX (H2AXK5ac), promoting NBN/NBS1 assembly at the sites of DNA damage (PubMed : 17709392, PubMed : 26438602). The NuA4 complex plays a key role in hematopoietic stem cell maintenance and is required to maintain acetylated H2A.Z/H2AZ1 at MYC target genes (By similarity). The NuA4 complex is also required for spermatid development by promoting acetylation of histones : histone hyperacetylation is required for histone replacement during the transition from round to elongating spermatids (By similarity). Component of a SWR1-like complex that specifically mediates the removal of histone H2A.Z/H2AZ1 from the nucleosome (PubMed : 24463511). Also acetylates non-histone proteins, such as BMAL1, ATM, AURKB, CHKA, CGAS, ERCC4/XPF, LPIN1, TP53/p53, NDC80/HEC1, NR1D2, RAN, SOX4, FOXP3, SQSTM1, ULK1 and RUBCNL/Pacer (PubMed : 16141325, PubMed : 17189187, PubMed : 17360565, PubMed : 17996965, PubMed : 24835996, PubMed : 26829474, PubMed : 29040603, PubMed : 30409912, PubMed : 30704899, PubMed : 31857589, PubMed : 32034146, PubMed : 32817552, PubMed : 34077757). Directly acetylates and activates ATM (PubMed : 16141325). Promotes nucleotide excision repair (NER) by mediating acetylation of ERCC4/XPF, thereby promoting formation of the ERCC4-ERCC1 complex (PubMed : 32034146). Relieves NR1D2-mediated inhibition of APOC3 expression by acetylating NR1D2 (PubMed : 17996965). Acts as a regulator of regulatory T-cells (Treg) by catalyzing FOXP3 acetylation, thereby promoting FOXP3 transcriptional repressor activity (PubMed : 17360565, PubMed : 24835996). Involved in skeletal myoblast differentiation by mediating acetylation of SOX4 (PubMed : 26291311). Catalyzes acetylation of APBB1/FE65, increasing its transcription activator activity (PubMed : 33938178). Promotes transcription elongation during the activation phase of the circadian cycle by catalyzing acetylation of BMAL1, promoting elongation of circadian transcripts (By similarity). Together with GSK3 (GSK3A or GSK3B), acts as a regulator of autophagy : phosphorylated at Ser-86 by GSK3 under starvation conditions, leading to activate acetyltransferase activity and promote acetylation of key autophagy regulators, such as ULK1 and RUBCNL/Pacer (PubMed : 30704899). Acts as a regulator of the cGAS-STING innate antiviral response by catalyzing acetylation the N-terminus of CGAS, thereby promoting CGAS DNA-binding and activation (PubMed : 32817552). Also regulates lipid metabolism by mediating acetylation of CHKA or LPIN1 (PubMed : 34077757). Promotes lipolysis of lipid droplets following glucose deprivation by mediating acetylation of isoform 1 of CHKA, thereby promoting monomerization of CHKA and its conversion into a tyrosine-protein kinase (PubMed : 34077757). Acts as a regulator of fatty-acid-induced triacylglycerol synthesis by catalyzing acetylation of LPIN1, thereby promoting the synthesis of diacylglycerol (PubMed : 29765047). In addition to protein acetyltransferase, can use different acyl-CoA substrates, such as (2E)-butenoyl-CoA (crotonyl-CoA), S-lactoyl-CoA (lactyl-CoA) and 2-hydroxyisobutanoyl-CoA (2-hydroxyisobutyryl-CoA), and is able to mediate protein crotonylation, lactylation and 2-hydroxyisobutyrylation, respectively (PubMed : 29192674, PubMed : 34608293, PubMed : 38961290). Acts as a key regulator of chromosome segregation and kinetochore-microtubule attachment during mitosis by mediating acetylation or crotonylation of target proteins (PubMed : 26829474, PubMed : 29040603, PubMed : 30409912, PubMed : 34608293). Catalyzes acetylation of AURKB at kinetochores, increasing AURKB activity and promoting accurate chromosome segregation in mitosis (PubMed : 26829474). Acetylates RAN during mitosis, promoting microtubule assembly at mitotic chromosomes (PubMed : 29040603). Acetylates NDC80/HEC1 during mitosis, promoting robust kinetochore-microtubule attachment (PubMed : 30409912). Catalyzes crotonylation of MAPRE1/EB1, thereby ensuring accurate spindle positioning in mitosis (PubMed : 34608293). Catalyzes lactylation of NBN/NBS1 in response to DNA damage, thereby promoting DNA double-strand breaks (DSBs) via homologous recombination (HR) (PubMed : 38961290).. (Microbial infection) Catalyzes the acetylation of flavivirus NS3 protein to modulate their RNA-binding and -unwinding activities leading to facilitate viral replication.
See full target information KAT5 phospho S90

Publications (1)

Recent publications for all applications. Explore the full list and refine your search

EMBO molecular medicine 15:e17836 PubMed37766669

2023

Propionate reinforces epithelial identity and reduces aggressiveness of lung carcinoma.

Applications

Unspecified application

Species

Unspecified reactive species

Vignesh Ramesh,Paradesi Naidu Gollavilli,Luisa Pinna,Mohammad Aarif Siddiqui,Adriana Martinez Turtos,Francesca Napoli,Yasmin Antonelli,Aldo Leal-Egaña,Jesper Foged Havelund,Simon Toftholm Jakobsen,Elisa Le Boiteux,Marco Volante,Nils Joakim Faergeman,Ole N Jensen,Rasmus Siersbaek,Kumar Somyajit,Paolo Ceppi
View all publications

Product promise

We are committed to supporting your work with high-quality reagents, and we're here for you every step of the way. In the unlikely event that one of our products does not perform as expected, you're protected by our Product Promise.
For full details, please see our Terms & Conditions

Please note: All products are 'FOR RESEARCH USE ONLY. NOT FOR USE IN DIAGNOSTIC OR THERAPEUTIC PROCEDURES'.

For licensing inquiries, please contact partnerships@abcam.com