JavaScript is disabled in your browser. Please enable JavaScript to view this website.
AB190908

Anti-KAT7 / Hbo1 / MYST2 antibody [EPR18473]

  • RabMAb
  • Recombinant
  • Advanced Validation
  • 20ul selling size
  • What is this?

Be the first to review this product! Submit a review

|

(5 Publications)

Rabbit Recombinant Monoclonal KAT7 / Hbo1 / MYST2 antibody. Suitable for ChIC/CUT&RUN-seq, IP, WB, ICC/IF, IHC-P and reacts with Human, Rat, Mouse samples. Cited in 5 publications.

View Alternative Names

HBO1, HBOa, MYST2, KAT7, Histone acetyltransferase KAT7, Histone acetyltransferase binding to ORC1, Lysine acetyltransferase 7, MYST-2

11 Images
Western blot - Anti-KAT7 / Hbo1 / MYST2 antibody [EPR18473] (AB190908)
  • WB

Supplier Data

Western blot - Anti-KAT7 / Hbo1 / MYST2 antibody [EPR18473] (AB190908)

Blocking/Dilution buffer : 5% NFDM/TBST.

All lanes:

Western blot - Anti-KAT7 / Hbo1 / MYST2 antibody [EPR18473] (ab190908) at 1/5000 dilution

Lane 1:

HeLa (Human epithelial cells from cervix adenocarcinoma) cell lysate at 10 µg

Lane 2:

MCF7 (Human breast adenocarcinoma cell line) cell lysate at 10 µg

Lane 3:

NIH/3T3 (Mouse embryonic fibroblast cell line) cell lysate at 10 µg

Secondary

All lanes:

Western blot - Goat Anti-Rabbit IgG H&L (HRP) (<a href='/en-us/products/secondary-antibodies/goat-rabbit-igg-h-l-hrp-ab97051'>ab97051</a>) at 1/50000 dilution

Predicted band size: 71 kDa

Observed band size: 75 kDa

false

Exposure time: 3min

ChIC/CUT&RUN sequencing - Anti-KAT7 / Hbo1 / MYST2 antibody [EPR18473] (AB190908)
  • ChIC/CUT&RUN-seq

Lab

ChIC/CUT&RUN sequencing - Anti-KAT7 / Hbo1 / MYST2 antibody [EPR18473] (AB190908)

ChIC/CUT&RUN was performed using a pAG-MNase at a final concentration of 700 ng/mL, 2.5 x 10^5 HeLa (human cervix adenocarcinoma epithelial cell) cells and 5 µg of ab190908 [EPR18473]. The resulting DNA was sequenced on the Illumina NovaSeq 6000 to a depth of 10 million reads. The negative IgG control ab172730 is also shown.

The University of Geneva owns patents relevant to ChIC (Chromatin Immuno-Cleavage) methods.

ChIC/CUT&RUN sequencing - Anti-KAT7 / Hbo1 / MYST2 antibody [EPR18473] (AB190908)
  • ChIC/CUT&RUN-seq

Lab

ChIC/CUT&RUN sequencing - Anti-KAT7 / Hbo1 / MYST2 antibody [EPR18473] (AB190908)

ChIC/CUT&RUN was performed using a pAG-MNase at a final concentration of 700 ng/mL, 2.5 x 10^5 HeLa (human cervix adenocarcinoma epithelial cell) cells and 5 µg of ab190908 [EPR18473]. The resulting DNA was sequenced on the Illumina NovaSeq 6000 to a depth of 10 million reads. The negative IgG control ab172730 is also shown.

The University of Geneva owns patents relevant to ChIC (Chromatin Immuno-Cleavage) methods.

ChIC/CUT&RUN sequencing - Anti-KAT7 / Hbo1 / MYST2 antibody [EPR18473] (AB190908)
  • ChIC/CUT&RUN-seq

Lab

ChIC/CUT&RUN sequencing - Anti-KAT7 / Hbo1 / MYST2 antibody [EPR18473] (AB190908)

ChIC/CUT&RUN was performed using a pAG-MNase at a final concentration of 700 ng/mL, 2.5 x 10^5 HeLa (human cervix adenocarcinoma epithelial cell) cells and 5 µg of ab190908 [EPR18473]. The resulting DNA was sequenced on the Illumina NovaSeq 6000 to a depth of 10 million reads. The negative IgG control ab172730 is also shown.

The University of Geneva owns patents relevant to ChIC (Chromatin Immuno-Cleavage) methods.

Western blot - Anti-KAT7 / Hbo1 / MYST2 antibody [EPR18473] (AB190908)
  • WB

Supplier Data

Western blot - Anti-KAT7 / Hbo1 / MYST2 antibody [EPR18473] (AB190908)

Blocking/Dilution buffer : 5% NFDM/TBST.

All lanes:

Western blot - Anti-KAT7 / Hbo1 / MYST2 antibody [EPR18473] (ab190908) at 1/5000 dilution

Lane 1:

C6 (Rat glial tumor cells) cell lysate at 10 µg

Lane 2:

RAW 264.7 (Mouse macrophage cells transformed with Abelson murine leukemia virus) cell lysate at 10 µg

Secondary

All lanes:

Western blot - Goat Anti-Rabbit IgG H&L (HRP) (<a href='/en-us/products/secondary-antibodies/goat-rabbit-igg-h-l-hrp-ab97051'>ab97051</a>) at 1/50000 dilution

Predicted band size: 71 kDa

Observed band size: 75 kDa

false

Exposure time: 30s

Immunohistochemistry (Formalin/PFA-fixed paraffin-embedded sections) - Anti-KAT7 / Hbo1 / MYST2 antibody [EPR18473] (AB190908)
  • IHC-P

Supplier Data

Immunohistochemistry (Formalin/PFA-fixed paraffin-embedded sections) - Anti-KAT7 / Hbo1 / MYST2 antibody [EPR18473] (AB190908)

Immunohistochemical analysis of paraffin-embedded human testis tissue labeling KAT7 / Hbo1 / MYST2 with ab190908 at 1/250 dilution, followed by Goat Anti-Rabbit IgG H&L (HRP) (ab97051) at 1/500 dilution. Nuclear staining on human testis is observed. Counter stained with Hematoxylin.

Secondary antibody only control : Used PBS instead of primary antibody, secondary antibody is Goat Anti-Rabbit IgG H&L (HRP) (ab97051) at 1/500 dilution.

Perform heat mediated antigen retrieval with Tris/EDTA buffer pH 9.0 before commencing with IHC staining protocol.

Immunohistochemistry (Formalin/PFA-fixed paraffin-embedded sections) - Anti-KAT7 / Hbo1 / MYST2 antibody [EPR18473] (AB190908)
  • IHC-P

Supplier Data

Immunohistochemistry (Formalin/PFA-fixed paraffin-embedded sections) - Anti-KAT7 / Hbo1 / MYST2 antibody [EPR18473] (AB190908)

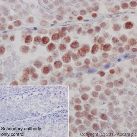
Immunohistochemical analysis of paraffin-embedded rat testis tissue labeling KAT7 / Hbo1 / MYST2 with ab190908 at 1/250 dilution, followed by Goat Anti-Rabbit IgG H&L (HRP) (ab97051) at 1/500 dilution. Nuclear staining on rat testis is observed. Counter stained with Hematoxylin.

Secondary antibody only control : Used PBS instead of primary antibody, secondary antibody is Goat Anti-Rabbit IgG H&L (HRP) (ab97051) at 1/500 dilution.

Perform heat mediated antigen retrieval with Tris/EDTA buffer pH 9.0 before commencing with IHC staining protocol.

Immunocytochemistry/ Immunofluorescence - Anti-KAT7 / Hbo1 / MYST2 antibody [EPR18473] (AB190908)
  • ICC/IF

Supplier Data

Immunocytochemistry/ Immunofluorescence - Anti-KAT7 / Hbo1 / MYST2 antibody [EPR18473] (AB190908)

Immunofluorescent analysis of 4% paraformaldehyde-fixed, 0.1% Triton X-100 permeabilized HEK-293 (Human epithelial cells from embryonic kidney) cells labeling KAT7 / Hbo1 / MYST2 with ab190908 at 1/2000 dilution, followed by Goat Anti-Rabbit IgG (Alexa Fluor® 488) (ab150077) secondary antibody at 1/500 dilution (green). Confocal image showing nuclear staining on HEK-293 cell line. The nuclear counter stain is DAPI (blue).

Tubulin is detected with Anti-alpha Tubulin mouse MAb (ab7291) at 1/1000 dilution, followed by Goat Anti-Mouse IgG H&L (Alexa Fluor® 594) (ab150120) secondary antibody at 1/500 dilution (red).
The negative controls are as follows :
-ve control 1 : ab190908 at 1/2000 dilution, followed by Goat Anti-Mouse IgG H&L (Alexa Fluor® 594) (ab150120) secondary at 1/500 dilution.
-ve control 2 : Anti-alpha Tubulin mouse MAb (ab7291) at 1/1000 dilution, followed by Goat Anti-Rabbit IgG H&L (Alexa Fluor® 488) (ab150077) secondary at 1/500 dilution.

Immunohistochemistry (Formalin/PFA-fixed paraffin-embedded sections) - Anti-KAT7 / Hbo1 / MYST2 antibody [EPR18473] (AB190908)
  • IHC-P

Supplier Data

Immunohistochemistry (Formalin/PFA-fixed paraffin-embedded sections) - Anti-KAT7 / Hbo1 / MYST2 antibody [EPR18473] (AB190908)

Immunohistochemical analysis of paraffin-embedded mouse colon tissue labeling KAT7 / Hbo1 / MYST2 with ab190908 at 1/250 dilution, followed by Goat Anti-Rabbit IgG H&L (HRP) (ab97051) at 1/500 dilution. Nuclear staining on mouse colon is observed. Counter stained with Hematoxylin.

Secondary antibody only control : Used PBS instead of primary antibody, secondary antibody is Goat Anti-Rabbit IgG H&L (HRP) (ab97051) at 1/500 dilution.

Perform heat mediated antigen retrieval with Tris/EDTA buffer pH 9.0 before commencing with IHC staining protocol.

Immunoprecipitation - Anti-KAT7 / Hbo1 / MYST2 antibody [EPR18473] (AB190908)
  • IP

Supplier Data

Immunoprecipitation - Anti-KAT7 / Hbo1 / MYST2 antibody [EPR18473] (AB190908)

KAT7 / Hbo1 / MYST2 was immunoprecipitated from 1mg of Jurkat (Human T cell leukemia cells from peripheral blood) whole cell lysate with ab190908 at 1/60 dilution. Western blot was performed from the immunoprecipitate using ab190908 at 1/1000 dilution. VeriBlot for IP Detection Reagent (HRP) (ab131366), was used for detection at 1/10000 dilution.

Lane 1 : Jurkat whole cell lysate 10ug (Input).

Lane 2 : ab190908 IP in Jurkat whole cell lysate.

Lane 3 : Rabbit monoclonal IgG (ab172730) instead of ab190908 in Jurkat whole cell lysate.

Blocking and dilution buffer and concentration : 5% NFDM/TBST.
Exposure time : 10 seconds.

All lanes:

Immunoprecipitation - Anti-KAT7 / Hbo1 / MYST2 antibody [EPR18473] (ab190908)

Predicted band size: 71 kDa

false

Western blot - Anti-KAT7 / Hbo1 / MYST2 antibody [EPR18473] (AB190908)
  • WB

Supplier Data

Western blot - Anti-KAT7 / Hbo1 / MYST2 antibody [EPR18473] (AB190908)

Blocking/Dilution buffer : 5% NFDM/TBST.

All lanes:

Western blot - Anti-KAT7 / Hbo1 / MYST2 antibody [EPR18473] (ab190908) at 1/1000 dilution

All lanes:

human breast cancer lysate at 40 µg

Secondary

All lanes:

Goat Anti-Rabbit IgG (HRP), specific to the non-reduced form of IgG at 1/50000 dilution

Predicted band size: 71 kDa

Observed band size: 75 kDa

false

Exposure time: 3min

Key facts

Host species

Rabbit

Clonality

Monoclonal

Clone number

EPR18473

Isotype

IgG

Carrier free

No

Reacts with

Mouse, Rat, Human

Applications

IHC-P, ChIC/CUT&RUN-seq, ICC/IF, WB, IP

applications

Immunogen

The exact immunogen used to generate this antibody is proprietary information.

Reactivity data

{ "title": "Reactivity Data", "filters": { "stats": ["", "Species", "Dilution Info", "Notes"], "tabs": { "all-applications": {"fullname" : "All Applications", "shortname": "All Applications"}, "ChICCUTRUNseq" : {"fullname" : "ChIC/CUT&RUN sequencing", "shortname":"ChIC/CUT&RUN-seq"}, "IP" : {"fullname" : "Immunoprecipitation", "shortname":"IP"}, "WB" : {"fullname" : "Western blot", "shortname":"WB"}, "ICCIF" : {"fullname" : "Immunocytochemistry/ Immunofluorescence", "shortname":"ICC/IF"}, "IHCP" : {"fullname" : "Immunohistochemistry (Formalin/PFA-fixed paraffin-embedded sections)", "shortname":"IHC-P"} }, "product-promise": { "all": "all", "testedAndGuaranteed": "tested", "guaranteed": "expected", "predicted": "predicted", "notRecommended": "not-recommended" } }, "values": { "Human": { "ChICCUTRUNseq-species-checked": "testedAndGuaranteed", "ChICCUTRUNseq-species-dilution-info": "", "ChICCUTRUNseq-species-notes": "<p></p>", "IP-species-checked": "testedAndGuaranteed", "IP-species-dilution-info": "1/60", "IP-species-notes": "<p></p>", "WB-species-checked": "testedAndGuaranteed", "WB-species-dilution-info": "1/5000", "WB-species-notes": "<p></p>", "ICCIF-species-checked": "testedAndGuaranteed", "ICCIF-species-dilution-info": "1/2000", "ICCIF-species-notes": "<p></p>", "IHCP-species-checked": "testedAndGuaranteed", "IHCP-species-dilution-info": "1/250", "IHCP-species-notes": "<p></p> Perform heat-mediated antigen retrieval with Tris/EDTA buffer pH 9.0 before commencing with IHC staining protocol." }, "Mouse": { "ChICCUTRUNseq-species-checked": "guaranteed", "ChICCUTRUNseq-species-dilution-info": "", "ChICCUTRUNseq-species-notes": "", "IP-species-checked": "guaranteed", "IP-species-dilution-info": "", "IP-species-notes": "", "WB-species-checked": "guaranteed", "WB-species-dilution-info": "", "WB-species-notes": "", "ICCIF-species-checked": "guaranteed", "ICCIF-species-dilution-info": "", "ICCIF-species-notes": "", "IHCP-species-checked": "testedAndGuaranteed", "IHCP-species-dilution-info": "1/250", "IHCP-species-notes": "<p></p> Perform heat-mediated antigen retrieval with Tris/EDTA buffer pH 9.0 before commencing with IHC staining protocol." }, "Rat": { "ChICCUTRUNseq-species-checked": "guaranteed", "ChICCUTRUNseq-species-dilution-info": "", "ChICCUTRUNseq-species-notes": "", "IP-species-checked": "guaranteed", "IP-species-dilution-info": "", "IP-species-notes": "", "WB-species-checked": "testedAndGuaranteed", "WB-species-dilution-info": "1/5000", "WB-species-notes": "<p></p>", "ICCIF-species-checked": "guaranteed", "ICCIF-species-dilution-info": "", "ICCIF-species-notes": "", "IHCP-species-checked": "testedAndGuaranteed", "IHCP-species-dilution-info": "1/250", "IHCP-species-notes": "<p></p> Perform heat-mediated antigen retrieval with Tris/EDTA buffer pH 9.0 before commencing with IHC staining protocol." } } }

Product details

Patented technology
Our RabMAb® technology is a patented hybridoma-based technology for making rabbit monoclonal antibodies. For details on our patents, please refer to RabMAb® patents.

What are the advantages of a recombinant monoclonal antibody?
This product is a recombinant monoclonal antibody, which offers several advantages including:

  • - High batch-to-batch consistency and reproducibility
  • - Improved sensitivity and specificity
  • - Long-term security of supply
  • - Animal-free batch production

For more information, read more on recombinant antibodies.

Properties and storage information

Form
Liquid
Purification technique
Affinity purification Protein A
Storage buffer
pH: 7.2 - 7.4 Preservative: 0.01% Sodium azide Constituents: 59% PBS, 40% Glycerol (glycerin, glycerine), 0.05% BSA
Shipped at conditions
Blue Ice
Appropriate short-term storage duration
1-2 weeks
Appropriate short-term storage conditions
+4°C
Appropriate long-term storage conditions
-20°C
Aliquoting information
Upon delivery aliquot
Storage information
Avoid freeze / thaw cycle

Supplementary information

This supplementary information is collated from multiple sources and compiled automatically.

KAT7 also known as Hbo1 KAT-7 MYST2 KAT-7 and Katset functions as a histone acetyltransferase specifically modifying histone H4 at lysine 12 5 and 8. With a molecular mass typically around 63 kDa KAT7 is expressed in nucleus and localizes to chromatin. It associates with chromatin during DNA replication and is vital in histone H4 acetylation facilitating chromatin remodeling and gene expression.
Biological function summary

This protein plays a significant role in transcription regulation and DNA replication. KAT7 is a component of the HBO1 complex working together with other proteins like JADE1/2/3 BRPF1/2/3 and ING4/5 making it integral to cell cycle progression and transcriptional activation. This complex is essential for initiating DNA replication as it acetylates histones and regulates chromatin accessibility necessary for DNA synthesis.

Pathways

KAT7/Hbo1/MYST2 is actively engaged in the transcriptional regulatory network and DNA replication pathways. It influences gene expression through its interaction with the transcriptional machinery and by modifying the chromatin structure. Within these pathways it interacts with proteins like BRPF1 and ING5 enhancing transcription and replication. This positions KAT7 as an important component in ensuring cellular growth and division through its histone acetylation activities.

Research indicates a link between KAT7 function and cancer. Its dysregulation contributes to tumorigenesis related to its role in cell proliferation and gene expression. KAT7 affects the expression of oncogenes and interacts with proteins like p53. Altered KAT7 activity disrupts normal cellular processes and in cancer results in aberrant cell cycle regulation and uncontrolled cell proliferation highlighting its potential as a therapeutic target in oncology.

Product protocols

For this product, it's our understanding that no specific protocols are required. You can visit:

Target data

Catalytic subunit of histone acetyltransferase HBO1 complexes, which specifically mediate acetylation of histone H3 at 'Lys-14' (H3K14ac), thereby regulating various processes, such as gene transcription, protein ubiquitination, immune regulation, stem cell pluripotent and self-renewal maintenance and embryonic development (PubMed : 16387653, PubMed : 21753189, PubMed : 24065767, PubMed : 26620551, PubMed : 31767635, PubMed : 31827282). Some complexes also catalyze acetylation of histone H4 at 'Lys-5', 'Lys-8' and 'Lys-12' (H4K5ac, H4K8ac and H4K12ac, respectively), regulating DNA replication initiation, regulating DNA replication initiation (PubMed : 10438470, PubMed : 19187766, PubMed : 20129055, PubMed : 24065767). Specificity of the HBO1 complexes is determined by the scaffold subunit : complexes containing BRPF scaffold (BRPF1, BRD1/BRPF2 or BRPF3) direct KAT7/HBO1 specificity towards H3K14ac, while complexes containing JADE (JADE1, JADE2 and JADE3) scaffold direct KAT7/HBO1 specificity towards histone H4 (PubMed : 19187766, PubMed : 20129055, PubMed : 24065767, PubMed : 26620551). H3K14ac promotes transcriptional elongation by facilitating the processivity of RNA polymerase II (PubMed : 31827282). Acts as a key regulator of hematopoiesis by forming a complex with BRD1/BRPF2, directing KAT7/HBO1 specificity towards H3K14ac and promoting erythroid differentiation (PubMed : 21753189). H3K14ac is also required for T-cell development (By similarity). KAT7/HBO1-mediated acetylation facilitates two consecutive steps, licensing and activation, in DNA replication initiation : H3K14ac facilitates the activation of replication origins, and histone H4 acetylation (H4K5ac, H4K8ac and H4K12ac) facilitates chromatin loading of MCM complexes, promoting DNA replication licensing (PubMed : 10438470, PubMed : 11278932, PubMed : 18832067, PubMed : 19187766, PubMed : 20129055, PubMed : 21856198, PubMed : 24065767, PubMed : 26620551). Acts as a positive regulator of centromeric CENPA assembly : recruited to centromeres and mediates histone acetylation, thereby preventing centromere inactivation mediated by SUV39H1, possibly by increasing histone turnover/exchange (PubMed : 27270040). Involved in nucleotide excision repair : phosphorylation by ATR in response to ultraviolet irradiation promotes its localization to DNA damage sites, where it mediates histone acetylation to facilitate recruitment of XPC at the damaged DNA sites (PubMed : 28719581). Acts as an inhibitor of NF-kappa-B independently of its histone acetyltransferase activity (PubMed : 16997280).. Plays a central role in the maintenance of leukemia stem cells in acute myeloid leukemia (AML) (PubMed : 31827282). Acts by mediating acetylation of histone H3 at 'Lys-14' (H3K14ac), thereby facilitating the processivity of RNA polymerase II to maintain the high expression of key genes, such as HOXA9 and HOXA10 that help to sustain the functional properties of leukemia stem cells (PubMed : 31827282).
See full target information KAT7

Publications (5)

Recent publications for all applications. Explore the full list and refine your search

BMC cancer 23:586 PubMed37365518

2023

Expression profiles and functional prediction of histone acetyltransferases of the MYST family in kidney renal clear cell carcinoma.

Applications

Unspecified application

Species

Unspecified reactive species

Fan Liang,Xiangke Li,Xiaoman Shen,Runlei Yang,Chuan Chen

Biomedical research (Tokyo, Japan) 44:105-115 PubMed37258203

2023

The lncRNA ADAMTS9-AS1/miR-185-5p/KAT7 ceRNA network inhibits cardiomyocyte hypertrophy in hypertrophic obstructive cardiomyopathy.

Applications

Unspecified application

Species

Unspecified reactive species

Bangrong Song,Wei Li,Xiaoyu Xu,Haiming Dang,Ran Dong

Cell death discovery 6:89 PubMed33014433

2020

Protein kinase D1 phosphorylation of KAT7 enhances its protein stability and promotes replication licensing and cell proliferation.

Applications

Unspecified application

Species

Unspecified reactive species

Yao Liang,Yuanyuan Su,Chenzhong Xu,Na Zhang,Doudou Liu,Guodong Li,Tanjun Tong,Jun Chen

International journal of biological sciences 16:2340-2356 PubMed32760202

2020

KLF6 Acetylation Promotes Sublytic C5b-9-Induced Production of MCP-1 and RANTES in Experimental Mesangial Proliferative Glomerulonephritis.

Applications

Unspecified application

Species

Unspecified reactive species

Tianyi Yu,Yajuan Gong,Yu Liu,Lu Xia,Chenhui Zhao,Longfei Liu,Mengxiao Xie,Zhijiao Wu,Dan Zhao,Wen Qiu,Yingwei Wang,Jing Zhang,Mingde Ji

International journal of chronic obstructive pulmo 15:15-24 PubMed32021140

2020

The Protective Effect of HBO1 on Cigarette Smoke Extract-Induced Apoptosis in Airway Epithelial Cells.

Applications

Unspecified application

Species

Unspecified reactive species

Lin Chen,Lijuan Luo,Naixin Kang,Xue He,Tiao Li,Yan Chen
View all publications

Product promise

We are committed to supporting your work with high-quality reagents, and we're here for you every step of the way. In the unlikely event that one of our products does not perform as expected, you're protected by our Product Promise.
For full details, please see our Terms & Conditions

Please note: All products are 'FOR RESEARCH USE ONLY. NOT FOR USE IN DIAGNOSTIC OR THERAPEUTIC PROCEDURES'.

For licensing inquiries, please contact partnerships@abcam.com