JavaScript is disabled in your browser. Please enable JavaScript to view this website.
AB200660

Anti-KAT8 / MYST1 / MOF antibody [EPR15803]

3

(3 Reviews)

|

(22 Publications)

Anti-KAT8 / MYST1 / MOF antibody [EPR15803] (ab200660) is a rabbit monoclonal antibody detecting KAT8 / MYST1 / MOF in Western Blot, Flow Cytometry (Intra), Flow Cytometry, IP, IHC-P, ICC/IF. Suitable for Human, Mouse, Rat.

- Biophysical QC for unrivalled batch-batch consistency
- Over 10 publications

View Alternative Names

MOF, MYST1, PP7073, KAT8, Histone acetyltransferase KAT8, Lysine acetyltransferase 8, Males-absent on the first protein homolog, Protein acetyltransferase KAT8, Protein propionyltransferase KAT8, MYST-1, hMOF

9 Images
Immunocytochemistry/ Immunofluorescence - Anti-KAT8 / MYST1 / MOF antibody [EPR15803] (AB200660)
  • ICC/IF

Supplier Data

Immunocytochemistry/ Immunofluorescence - Anti-KAT8 / MYST1 / MOF antibody [EPR15803] (AB200660)

Immunofluorescent analysis of 4% paraformaldehyde-fixed, 0.1% Triton X-100 permeabilized HeLa (Human epithelial cells from cervix adenocarcinoma) cells labeling KAT8 / MYST1 / MOF with ab200660 at 1/2000 dilution, followed by Goat Anti-Rabbit IgG (Alexa Fluor® 488) (ab150077) secondary antibody at 1/500 dilution (green). Confocal image showing nuclear staining on HeLa cell line. The nuclear counter stain is DAPI (blue).

Tubulin is detected with Anti-alpha Tubulin mouse MAb (ab7291) at 1/1000 dilution, followed by Goat Anti-Mouse IgG H&L (Alexa Fluor® 594) (ab150120) secondary antibody at 1/500 dilution (red).
The negative controls are as follows :
-ve control 1 : ab200660 at 1/2000 dilution, followed by Goat Anti-Mouse IgG H&L (Alexa Fluor® 594) (ab150120) secondary at 1/500 dilution.
-ve control 2 : Anti-alpha Tubulin mouse MAb (ab7291) at 1/1000 dilution, followed by Goat Anti-Rabbit IgG H&L (Alexa Fluor® 488) (ab150077) secondary at 1/500 dilution.

Immunohistochemistry (Formalin/PFA-fixed paraffin-embedded sections) - Anti-KAT8 / MYST1 / MOF antibody [EPR15803] (AB200660)
  • IHC-P

Supplier Data

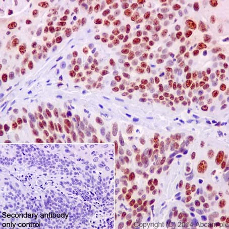
Immunohistochemistry (Formalin/PFA-fixed paraffin-embedded sections) - Anti-KAT8 / MYST1 / MOF antibody [EPR15803] (AB200660)

Immunohistochemical analysis of paraffin-embedded human cervix carcinoma tissue labeling KAT8 / MYST1 / MOF with ab200660 at 1/500 dilution, followed by Goat Anti-Rabbit IgG H&L (HRP) (ab97051) secondary antibody at 1/500 dilution.

Nuclear staining on human cervix carcinoma tissue is observed.

Counter stained with Hematoxylin.

Secondary antibody only control : Used PBS instead of primary antibody, secondary antibody is Goat Anti-Rabbit IgG H&L (HRP) (ab97051) at 1/500 dilution.

Perform heat mediated antigen retrieval with EDTA buffer pH 9 before commencing with IHC staining protocol.

Immunocytochemistry/ Immunofluorescence - Anti-KAT8 / MYST1 / MOF antibody [EPR15803] (AB200660)
  • ICC/IF

Supplier Data

Immunocytochemistry/ Immunofluorescence - Anti-KAT8 / MYST1 / MOF antibody [EPR15803] (AB200660)

Immunofluorescent analysis of 4% paraformaldehyde-fixed, 0.1% Triton X-100 permeabilized HepG2 (Human liver hepatocellular carcinoma) cells labeling KAT8 / MYST1 / MOF with ab200660 at 1/2000 dilution, followed by Goat Anti-Rabbit IgG (Alexa Fluor® 488) (ab150077) secondary antibody at 1/500 dilution (green). Confocal image showing nuclear staining on HepG2 cell line. The nuclear counter stain is DAPI (blue).

Tubulin is detected with Anti-alpha Tubulin mouse MAb (ab7291) at 1/1000 dilution, followed by Goat Anti-Mouse IgG H&L (Alexa Fluor® 594) (ab150120) secondary antibody at 1/500 dilution (red).
The negative controls are as follows :
-ve control 1 : ab200660 at 1/2000 dilution, followed by Goat Anti-Mouse IgG H&L (Alexa Fluor® 594) (ab150120) secondary at 1/500 dilution.
-ve control 2 : Anti-alpha Tubulin mouse MAb (ab7291) at 1/1000 dilution, followed by Goat Anti-Rabbit IgG H&L (Alexa Fluor® 488) (ab150077) secondary at 1/500 dilution.

Flow Cytometry (Intracellular) - Anti-KAT8 / MYST1 / MOF antibody [EPR15803] (AB200660)
  • Flow Cyt (Intra)

Lab

Flow Cytometry (Intracellular) - Anti-KAT8 / MYST1 / MOF antibody [EPR15803] (AB200660)

ab200660 staining KAT8in the human cell line HepG2 (human hepatocellular carcinoma)by intracellular flow cytometry. Cells were fixed with 4% paraformaldehyde and the sample was incubated with the primary antibody at a dilution of 1/200. A goat anti rabbit IgG (Alexa Fluor® 488) at a dilution of 1/2000 was used as the secondary antibody.

Isoytype control : Rabbit monoclonal IgG (Black)

Unlabelled control : Cell without incubation with primary antibody and secondary antibody (Blue)

Immunoprecipitation - Anti-KAT8 / MYST1 / MOF antibody [EPR15803] (AB200660)
  • IP

Supplier Data

Immunoprecipitation - Anti-KAT8 / MYST1 / MOF antibody [EPR15803] (AB200660)

KAT8 / MYST1 / MOF was immunoprecipitated from 1mg of HeLa (Human epithelial cells from cervix adenocarcinoma) whole cell lysate with ab200660 at 1/170 dilution.

Western blot was performed from the immunoprecipitate using ab200660 at 1/1000 dilution.

Anti-Rabbit IgG (HRP), specific to the non-reduced form of IgG, was used as secondary antibody at 1/1500 dilution.

Lane 1 : HeLa whole cell lysate 10 μg (Input).

Lane 2 : ab200660 IP in HeLa whole cell lysate.

Lane 3 : Rabbit monoclonal IgG (ab172730) instead of ab200660 in HeLa whole cell extract.

Blocking and dilution buffer and concentration : 5% NFDM/TBST.

All lanes:

Immunoprecipitation - Anti-KAT8 / MYST1 / MOF antibody [EPR15803] (ab200660)

Predicted band size: 52 kDa

false

Immunohistochemistry (Formalin/PFA-fixed paraffin-embedded sections) - Anti-KAT8 / MYST1 / MOF antibody [EPR15803] (AB200660)
  • IHC-P

Supplier Data

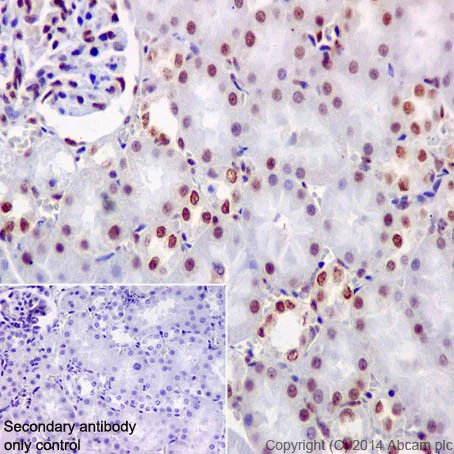
Immunohistochemistry (Formalin/PFA-fixed paraffin-embedded sections) - Anti-KAT8 / MYST1 / MOF antibody [EPR15803] (AB200660)

Immunohistochemical analysis of paraffin-embedded rat kidney tissue labeling KAT8 / MYST1 / MOF with ab200660 at 1/500 dilution, followed by Goat Anti-Rabbit IgG H&L (HRP) (ab97051) secondary antibody at 1/500 dilution.

Nuclear staining on rat kidney tissue is observed.

Counter stained with Hematoxylin.

Secondary antibody only control : Used PBS instead of primary antibody, secondary antibody is Goat Anti-Rabbit IgG H&L (HRP) (ab97051) at 1/500 dilution.

Perform heat mediated antigen retrieval with EDTA buffer pH 9 before commencing with IHC staining protocol.

Western blot - Anti-KAT8 / MYST1 / MOF antibody [EPR15803] (AB200660)
  • WB

Unknown

Western blot - Anti-KAT8 / MYST1 / MOF antibody [EPR15803] (AB200660)

Blocking/Dilution buffer : 5% NFDM/TBST.

All lanes:

Western blot - Anti-KAT8 / MYST1 / MOF antibody [EPR15803] (ab200660) at 1/1000 dilution

All lanes:

Human fetal kidney lysate at 10 µg

Secondary

All lanes:

Anti-Rabbit IgG (HRP), specific to the non-reduced form of IgG at 1/1000 dilution

Predicted band size: 52 kDa

Observed band size: 52 kDa

false

Exposure time: 3min

Western blot - Anti-KAT8 / MYST1 / MOF antibody [EPR15803] (AB200660)
  • WB

Supplier Data

Western blot - Anti-KAT8 / MYST1 / MOF antibody [EPR15803] (AB200660)

Blocking/Dilution buffer : 5% NFDM/TBST.

All lanes:

Western blot - Anti-KAT8 / MYST1 / MOF antibody [EPR15803] (ab200660) at 1/5000 dilution

Lane 1:

HepG2 (Human liver hepatocellular carcinoma) whole cell lysate at 20 µg

Lane 2:

HeLa (Human epithelial cells from cervix adenocarcinoma) whole cell lysate at 20 µg

Secondary

All lanes:

Goat Anti-Rabbit IgG, (H+L), Peroxidase conjugated at 1/1000 dilution

Predicted band size: 52 kDa

Observed band size: 52 kDa

false

Exposure time: 3min

Western blot - Anti-KAT8 / MYST1 / MOF antibody [EPR15803] (AB200660)
  • WB

Supplier Data

Western blot - Anti-KAT8 / MYST1 / MOF antibody [EPR15803] (AB200660)

Blocking/Dilution buffer : 5% NFDM/TBST.

All lanes:

Western blot - Anti-KAT8 / MYST1 / MOF antibody [EPR15803] (ab200660) at 1/1000 dilution

Lane 1:

RAW 264.7 (Mouse macrophage cells transformed with Abelson murine leukemia virus) whole cell lysate at 10 µg

Lane 2:

PC-12 (Rat adrenal gland pheochromocytoma) whole cell lysate at 10 µg

Secondary

All lanes:

Goat Anti-Rabbit IgG, (H+L), Peroxidase conjugated at 1/1000 dilution

Predicted band size: 52 kDa

Observed band size: 52 kDa

false

Exposure time: 1min

  • 617 Alexa Fluor® 594

    Alexa Fluor® 594 Anti-KAT8 / MYST1 / MOF antibody [EPR15803]

  • 519 Alexa Fluor® 488

    Alexa Fluor® 488 Anti-KAT8 / MYST1 / MOF antibody [EPR15803]

  • 665 Alexa Fluor® 647

    Alexa Fluor® 647 Anti-KAT8 / MYST1 / MOF antibody [EPR15803]

  • Carrier free

    Anti-KAT8 / MYST1 / MOF antibody [EPR15803] - BSA and Azide free

Key facts

Host species

Rabbit

Clonality

Monoclonal

Clone number

EPR15803

Isotype

IgG

Carrier free

No

Reacts with

Mouse, Rat, Human

Applications

Flow Cyt (Intra), WB, ICC/IF, IHC-P, IP

applications

Immunogen

The exact immunogen used to generate this antibody is proprietary information.

Reactivity data

{ "title": "Reactivity Data", "filters": { "stats": ["", "Species", "Dilution Info", "Notes"], "tabs": { "all-applications": {"fullname" : "All Applications", "shortname": "All Applications"}, "IP" : {"fullname" : "Immunoprecipitation", "shortname":"IP"}, "WB" : {"fullname" : "Western blot", "shortname":"WB"}, "ICCIF" : {"fullname" : "Immunocytochemistry/ Immunofluorescence", "shortname":"ICC/IF"}, "FlowCytIntra" : {"fullname" : "Flow Cytometry (Intracellular)", "shortname":"Flow Cyt (Intra)"}, "IHCP" : {"fullname" : "Immunohistochemistry (Formalin/PFA-fixed paraffin-embedded sections)", "shortname":"IHC-P"} }, "product-promise": { "all": "all", "testedAndGuaranteed": "tested", "guaranteed": "expected", "predicted": "predicted", "notRecommended": "not-recommended" } }, "values": { "Human": { "IP-species-checked": "testedAndGuaranteed", "IP-species-dilution-info": "1/170", "IP-species-notes": "<p></p>", "WB-species-checked": "testedAndGuaranteed", "WB-species-dilution-info": "1/1000", "WB-species-notes": "<p></p>", "ICCIF-species-checked": "testedAndGuaranteed", "ICCIF-species-dilution-info": "1/2000", "ICCIF-species-notes": "<p></p>", "FlowCytIntra-species-checked": "testedAndGuaranteed", "FlowCytIntra-species-dilution-info": "1/200", "FlowCytIntra-species-notes": "<p></p>", "IHCP-species-checked": "testedAndGuaranteed", "IHCP-species-dilution-info": "1/500", "IHCP-species-notes": "<p></p>" }, "Mouse": { "IP-species-checked": "guaranteed", "IP-species-dilution-info": "", "IP-species-notes": "", "WB-species-checked": "testedAndGuaranteed", "WB-species-dilution-info": "1/1000", "WB-species-notes": "<p></p>", "ICCIF-species-checked": "guaranteed", "ICCIF-species-dilution-info": "", "ICCIF-species-notes": "", "FlowCytIntra-species-checked": "guaranteed", "FlowCytIntra-species-dilution-info": "", "FlowCytIntra-species-notes": "", "IHCP-species-checked": "guaranteed", "IHCP-species-dilution-info": "", "IHCP-species-notes": "" }, "Rat": { "IP-species-checked": "guaranteed", "IP-species-dilution-info": "", "IP-species-notes": "", "WB-species-checked": "testedAndGuaranteed", "WB-species-dilution-info": "1/1000", "WB-species-notes": "<p></p>", "ICCIF-species-checked": "guaranteed", "ICCIF-species-dilution-info": "", "ICCIF-species-notes": "", "FlowCytIntra-species-checked": "guaranteed", "FlowCytIntra-species-dilution-info": "", "FlowCytIntra-species-notes": "", "IHCP-species-checked": "testedAndGuaranteed", "IHCP-species-dilution-info": "1/500", "IHCP-species-notes": "<p></p>" } } }

Product details

What is this antibody validated in?
Anti-KAT8 / MYST1 / MOF antibody [EPR15803] (ab200660) is a rabbit recombinant monoclonal antibody and is validated for use in Western Blot (WB), Flow Cytometry (Intra), Flow Cytometry (Flow Cyt), Immunoprecipitation (IP), Immunohistochemistry (IHC-P), Immunocytochemistry/immunofluorescence (ICC/IF) in Human, Mouse, Rat samples.

What is the molecular weight of KAT8 / MYST1 / MOF?
Anti-KAT8 / MYST1 / MOF [EPR15803] (ab200660) specifically detects a band for KAT8 / MYST1 / MOF (UniProt: Q9H7Z6) at a molecular weight of 52kDa.

Trusted by the scientific community
Anti-KAT8 / MYST1 / MOF [EPR15803] (ab200660) was first used in a scientific publication in 2015 and has been cited over 10 times in peer-reviewed journals.

Trial sizes available!
Test your antibody or perform pre-screening before committing to a larger quantity. Sold in 10µl. Discover our selection of trial-size antibodies.

Other related products
We have a range of other formats of antibody clone [EPR15803] also available for your convenience: ab200660, Alexa Fluor® 488 - ab208904, Alexa Fluor® 647 - ab208905, Alexa Fluor® 594 - ab217249, Carrier free - ab240355

Patented technology
Our RabMAb® technology is a patented hybridoma-based technology for making rabbit monoclonal antibodies. For details on our patents, please refer to RabMAb® patents.

What are the advantages of a recombinant monoclonal antibody?
This product is a recombinant monoclonal antibody, which offers several advantages including:

  • - High batch-to-batch consistency and reproducibility
  • - Improved sensitivity and specificity
  • - Long-term security of supply
  • - Animal-free batch production

For more information, read more on recombinant antibodies.

Properties and storage information

Form
Liquid
Purification technique
Affinity purification Protein A
Storage buffer
pH: 7.2 - 7.4 Preservative: 0.01% Sodium azide Constituents: PBS, 40% Glycerol (glycerin, glycerine), 0.05% BSA
Shipped at conditions
Blue Ice
Appropriate short-term storage duration
1-2 weeks
Appropriate short-term storage conditions
+4°C
Appropriate long-term storage conditions
-20°C
Aliquoting information
Upon delivery aliquot
Storage information
Avoid freeze / thaw cycle

Supplementary information

This supplementary information is collated from multiple sources and compiled automatically.

The KAT8 protein also known as MYST1 or MOF functions as a histone acetyltransferase. It acetylates histone H4 at lysine 16 which is critical for chromatin structure and gene expression regulation. The molecular mass of KAT8 is approximately 55 kDa. This protein shows high expression in testis and is also present in other tissues. KAT8 is part of the MYST family of acetyltransferases sharing similarities with other MYST family proteins such as MOF protein.
Biological function summary

KAT8 plays an essential role in gene transcription regulation by forming part of a complex known as the MSL (Male-Specific Lethal) complex. This complex ensures dosage compensation in Drosophila by adjusting gene expression levels. KAT8 is vital for the maintenance of chromatin structure influencing gene activation and silencing across various biological systems. It interacts with several co-factors during transcription regulation further highlighting its functional significance in the epigenetic landscape.

Pathways

KAT8 engages in processes linked to chromatin modification and gene expression. Specifically it plays a significant role in the pathways of chromatin organization and transcriptional regulation by RNA polymerase II. The protein ENL participates in related pathways and interacts with KAT8 during transcription elongation. These interactions highlight KAT8's role in epigenetic regulation affecting multiple genes' transcription states.

KAT8 is associated with cancers and neurodevelopmental disorders. Aberrant expression or mutations in KAT8 have been observed in certain cancers making it a potential target for therapeutic intervention. In neurodevelopmental disorders changes in KAT8 acetyltransferase activity affect neuronal gene expression implicating it in disorders linked to cognitive deficits. Another protein TIP60 shows functional overlap with KAT8 in these conditions suggesting interconnected roles in disease pathogenesis.

Product protocols

For this product, it's our understanding that no specific protocols are required. You can visit:

Target data

Histone acetyltransferase that catalyzes histone H4 acetylation at 'Lys-5'- and 'Lys-8' (H4K5ac and H4K8ac) or 'Lys-16' (H4K16ac), depending on the context (PubMed : 12397079, PubMed : 16227571, PubMed : 16543150, PubMed : 20018852, PubMed : 21217699, PubMed : 22020126, PubMed : 22547026, PubMed : 31794431, PubMed : 33837287). Catalytic component of the MSL histone acetyltransferase complex, a multiprotein complex that mediates the majority of histone H4 acetylation at 'Lys-16' (H4K16ac), an epigenetic mark that prevents chromatin compaction (PubMed : 12397079, PubMed : 16227571, PubMed : 16543150, PubMed : 21217699, PubMed : 22020126, PubMed : 22547026, PubMed : 33657400, PubMed : 33837287). H4K16ac constitutes the only acetylation mark intergenerationally transmitted and regulates key biological processes, such as oogenesis, embryonic stem cell pluripotency, hematopoiesis or glucose metabolism (By similarity). The MSL complex is required for chromosome stability and genome integrity by maintaining homeostatic levels of H4K16ac (PubMed : 33837287). The MSL complex is also involved in gene dosage by promoting up-regulation of genes expressed by the X chromosome (By similarity). X up-regulation is required to compensate for autosomal biallelic expression (By similarity). The MSL complex also participates in gene dosage compensation by promoting expression of Tsix non-coding RNA (By similarity). As part of the NSL histone acetyltransferase complex, catalyzes histone H4 acetylation at 'Lys-5'- and 'Lys-8' (H4K5ac and H4K8ac) at transcription start sites and promotes transcription initiation (PubMed : 20018852, PubMed : 22547026, PubMed : 33657400). The NSL complex also acts as a regulator of gene expression in mitochondria : KAT8 associates with mitochondrial DNA and controls expression of respiratory genes in an acetyltransferase-dependent mechanism (PubMed : 27768893). Also functions as an acetyltransferase for non-histone targets, such as ALKBH5, COX17, IRF3, KDM1A/LSD1, LMNA, PAX7 or TP53/p53 (PubMed : 17189187, PubMed : 19854137, PubMed : 37369679). Acts as an inhibitor of antiviral immunity by acetylating IRF3, preventing IRF3 recruitment to promoters (By similarity). Acts as a regulator of asymmetric division in muscle stem cells by mediating acetylation of PAX7 (By similarity). As part of the NSL complex, acetylates TP53/p53 at 'Lys-120' (PubMed : 17189187, PubMed : 19854137). Acts as a regulator of epithelial-to-mesenchymal transition as part of the NSL complex by mediating acetylation of KDM1A/LSD1 (PubMed : 27292636). The NSL complex is required for nuclear architecture maintenance by mediating acetylation of LMNA (By similarity). Promotes mitochondrial integrity by catalyzing acetylation of COX17 (By similarity). In addition to protein acetyltransferase activity, able to mediate protein propionylation (PubMed : 29321206).
See full target information KAT8

Publications (22)

Recent publications for all applications. Explore the full list and refine your search

MedComm 6:e70205 PubMed40636284

2025

Depletion of Fat Mass and Obesity-Associated Protein (FTO) Drives Heterochromatin Loss via Lysine Acetyltransferase 8 (KAT8)-Mediated Remodeling and Spacing Factor 1 (RSF1) Acetylation in Skin Aging.

Applications

Unspecified application

Species

Unspecified reactive species

Fan Wang,Lei Zhou,Yun Zhong,Yisheng Cai,Xin Meng,Mengting Chen,Rui Mao,Xin Xiao,Caitan Yi,Yi Guo,Hongfu Xie,Yiya Zhang,Ji Li

Nature 641:779-787 PubMed40240600

2025

Histone H1 deamidation facilitates chromatin relaxation for DNA repair.

Applications

Unspecified application

Species

Unspecified reactive species

Yuan Tian,Tingting Feng,Jun Zhang,Qingren Meng,Wenxin Zhan,Ming Tang,Chaohua Liu,Mengyan Li,Wenhui Tao,Yuxin Shu,Yu Zhang,Feng Chen,Shunichi Takeda,Qian Zhu,Xiaopeng Lu,Wei-Guo Zhu

Nature communications 16:2379 PubMed40064919

2025

Competitive antagonism of KAT7 crotonylation against acetylation affects procentriole formation and colorectal tumorigenesis.

Applications

Unspecified application

Species

Unspecified reactive species

Meng Wang,Guanqun Mu,Bingquan Qiu,Shuo Wang,Changyu Tao,Yutong Mao,Xinhui Zhao,Jiansong Liu,Keyu Chen,Ziyu Li,Weibin Wang,Ence Yang,Yang Yang

Cell & bioscience 15:24 PubMed39972392

2025

KAT8 catalyzes the acetylation of SEPP1 at lysine 247/249 and modulates the activity of CD8 T cells via LRP8 to promote anti-tumor immunity in pancreatic cancer.

Applications

Unspecified application

Species

Unspecified reactive species

Zhongfei Zhu,Gang Nie,Xiaobo Peng,Xianbao Zhan,Dan Ding

eLife 13: PubMed39495216

2024

Nuclear translocation of SIRT4 mediates deacetylation of U2AF2 to modulate renal fibrosis through alternative splicing-mediated upregulation of CCN2.

Applications

Unspecified application

Species

Unspecified reactive species

Guangyan Yang,Jiaqing Xiang,Xiaoxiao Yang,Xiaomai Liu,Yanchun Li,Lixing Li,Lin Kang,Zhen Liang,Shu Yang

Nature communications 15:5602 PubMed38961108

2024

KAT8-mediated H4K16ac is essential for sustaining trophoblast self-renewal and proliferation via regulating CDX2.

Applications

Unspecified application

Species

Unspecified reactive species

Shilei Bi,Lijun Huang,Yongjie Chen,Zhenhua Hu,Shanze Li,Yifan Wang,Baoying Huang,Lizi Zhang,Yuanyuan Huang,Beibei Dai,Lili Du,Zhaowei Tu,Yijing Wang,Dan Xu,Xiaotong Xu,Wen Sun,Julia Kzhyshkowska,Haibin Wang,Dunjin Chen,Fengchao Wang,Shuang Zhang

American journal of human genetics 111:1330-1351 PubMed38815585

2024

MSL2 variants lead to a neurodevelopmental syndrome with lack of coordination, epilepsy, specific dysmorphisms, and a distinct episignature.

Applications

Unspecified application

Species

Unspecified reactive species

Remzi Karayol,Maria Carla Borroto,Sadegheh Haghshenas,Anoja Namasivayam,Jack Reilly,Michael A Levy,Raissa Relator,Jennifer Kerkhof,Haley McConkey,Maria Shvedunova,Andrea K Petersen,Kari Magnussen,Christiane Zweier,Georgia Vasileiou,André Reis,Juliann M Savatt,Meghan R Mulligan,Louise S Bicknell,Gemma Poke,Aya Abu-El-Haija,Jessica Duis,Vickie Hannig,Siddharth Srivastava,Elizabeth Barkoudah,Natalie S Hauser,Myrthe van den Born,Uri Hamiel,Noa Henig,Hagit Baris Feldman,Shane McKee,Ingrid P C Krapels,Yunping Lei,Albena Todorova,Ralitsa Yordanova,Slavena Atemin,Mihael Rogac,Vivienne McConnell,Anna Chassevent,Kristin W Barañano,Vandana Shashi,Jennifer A Sullivan,Angela Peron,Maria Iascone,Maria P Canevini,Jennifer Friedman,Iris A Reyes,Janell Kierstein,Joseph J Shen,Faria N Ahmed,Xiao Mao,Berta Almoguera,Fiona Blanco-Kelly,Konrad Platzer,Ariana-Berenike Treu,Juliette Quilichini,Alexia Bourgois,Nicolas Chatron,Louis Januel,Christelle Rougeot,Deanna Alexis Carere,Kristin G Monaghan,Justine Rousseau,Kenneth A Myers,Bekim Sadikovic,Asifa Akhtar,Philippe M Campeau

Advanced science (Weinheim, Baden-Wurttemberg, Germany) 11:e2310146 PubMed38526153

2024

Targeting the KAT8/YEATS4 Axis Represses Tumor Growth and Increases Cisplatin Sensitivity in Bladder Cancer.

Applications

Unspecified application

Species

Unspecified reactive species

Miner Xie,Liwen Zhou,Ting Li,Yujie Lin,Ruhua Zhang,Xianchong Zheng,Cuiling Zeng,Lisi Zheng,Li Zhong,Xiaodan Huang,Yezi Zou,Tiebang Kang,Yuanzhong Wu

FASEB journal : official publication of the Federation of American Societies for Experimental Biology 38:e23435 PubMed38243686

2024

KAT8 functions in redox homeostasis and mitochondrial dynamics during mouse oocyte meiosis progression.

Applications

Unspecified application

Species

Unspecified reactive species

Xuan Wu,Shiwei Wang,Yajun Guo,Shuang Song,Shenming Zeng

iScience 26:108446 PubMed38034359

2023

Mof plays distinct roles in hepatic lipid metabolism under healthy or non-alcoholic fatty liver conditions.

Applications

Unspecified application

Species

Unspecified reactive species

Xinghong Guo,Kai Liang,Longqing Xia,Xu Zhang,Jinbo Liu,Chuan Wang,Jinquan Li,Xiangzhi Li,Xinguo Hou,Li Chen
View all publications

Product promise

We are committed to supporting your work with high-quality reagents, and we're here for you every step of the way. In the unlikely event that one of our products does not perform as expected, you're protected by our Product Promise.
For full details, please see our Terms & Conditions

Please note: All products are 'FOR RESEARCH USE ONLY. NOT FOR USE IN DIAGNOSTIC OR THERAPEUTIC PROCEDURES'.

For licensing inquiries, please contact partnerships@abcam.com