JavaScript is disabled in your browser. Please enable JavaScript to view this website.
AB313624

Anti-KCNA antibody [EPR26383-85]

  • BOND RX™ Validated
  • 20ul selling size
  • Recombinant
  • Advanced Validation
  • RabMAb
  • What is this?

Be the first to review this product! Submit a review

|

(0 Publication)

Rabbit Recombinant Monoclonal Kv1.2 antibody. Suitable for mIHC, WB, IHC-P and reacts with Rat, Mouse, Human, Transfected cell lysate - Mouse, Recombinant fragment - Mouse samples.

View Alternative Names

Potassium voltage-gated channel subfamily A member 2, MK2, Voltage-gated potassium channel subunit Kv1.2, Kcna2

18 Images
Immunohistochemistry (Formalin/PFA-fixed paraffin-embedded sections) - Anti-KCNA antibody [EPR26383-85] (AB313624)
  • IHC-P

Supplier Data

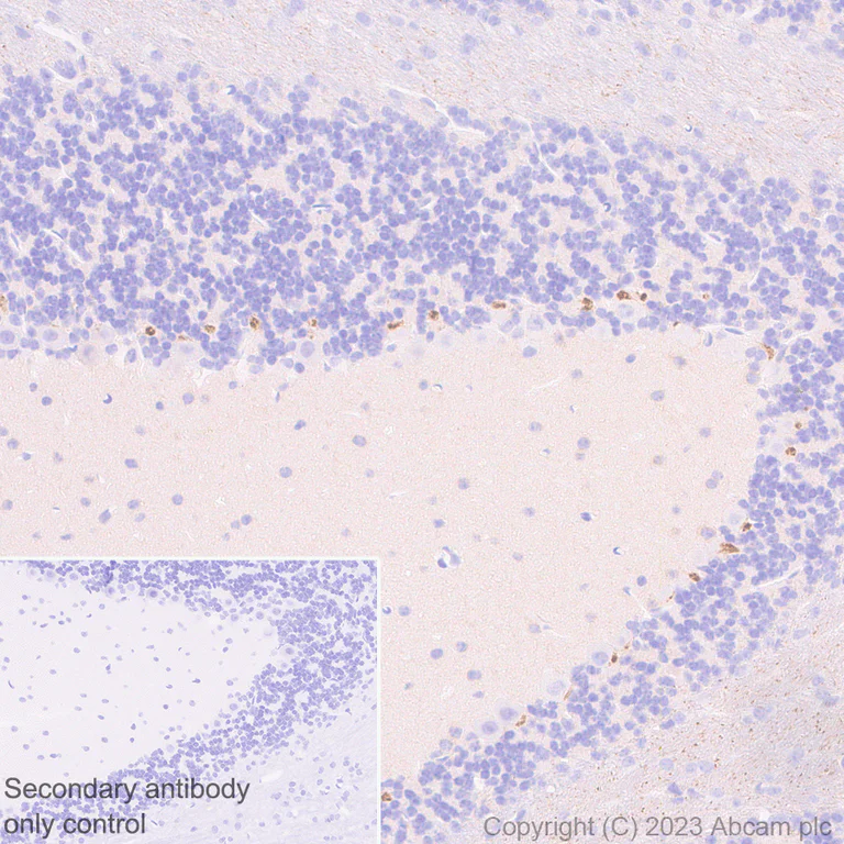
Immunohistochemistry (Formalin/PFA-fixed paraffin-embedded sections) - Anti-KCNA antibody [EPR26383-85] (AB313624)

Immunohistochemical analysis of paraffin-embedded Human cerebrum tissue labeling KCNA with ab313624 at 1/2000 (0.248 ug/ml) followed by a ready to use LeicaDS9800 (Bond™ Polymer Refine Detection). Positive staining on human cerebrum, enriched in neurons at the axon initial segment. (PMID : 16473933).The section was incubated with ab313624 for 30 mins at room temperature.The immunostaining was performed on a Leica Biosystems BOND® RX instrument Counterstained with Hematoxylin. Secondary antibody only control : Secondary antibody is a ready to use LeicaDS9800 (Bond™ Polymer Refine Detection). Heat mediated antigen retrieval was performed with Tris-EDTA buffer (pH 9.0, Epitope Retrieval Solution2) for 20 mins

Immunohistochemistry (Formalin/PFA-fixed paraffin-embedded sections) - Anti-KCNA antibody [EPR26383-85] (AB313624)
  • IHC-P

Supplier Data

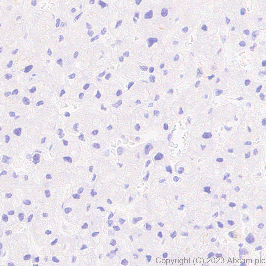
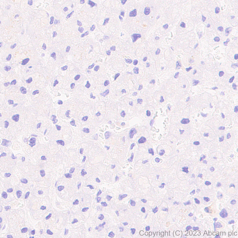
Immunohistochemistry (Formalin/PFA-fixed paraffin-embedded sections) - Anti-KCNA antibody [EPR26383-85] (AB313624)

Immunohistochemical analysis of paraffin-embedded Human liver tissue labeling KCNA with ab313624 at 1/2000 (0.248 ug/ml) followed by a ready to use LeicaDS9800 (Bond™ Polymer Refine Detection). Low expression : No staining on hepatocytes of human liver.The section was incubated with ab313624 for 30 mins at room temperature.The immunostaining was performed on a Leica Biosystems BOND® RX instrument Counterstained with Hematoxylin. Secondary antibody only control : Secondary antibody is a ready to use LeicaDS9800 (Bond™ Polymer Refine Detection). Heat mediated antigen retrieval was performed with Tris-EDTA buffer (pH 9.0, Epitope Retrieval Solution2) for 20 mins

Immunohistochemistry (Formalin/PFA-fixed paraffin-embedded sections) - Anti-KCNA antibody [EPR26383-85] (AB313624)
  • IHC-P

Supplier Data

Immunohistochemistry (Formalin/PFA-fixed paraffin-embedded sections) - Anti-KCNA antibody [EPR26383-85] (AB313624)

Immunohistochemical analysis of paraffin-embedded Rat cerebrum tissue labeling KCNA with ab313624 at 1/4000 (0.124 ug/ml) followed by a ready to use LeicaDS9800 (Bond™ Polymer Refine Detection). Positive staining on rat cerebrum, enriched in neurons at the axon initial segment.The section was incubated with ab313624 for 30 mins at room temperature.The immunostaining was performed on a Leica Biosystems BOND® RX instrumentIncubate slides with 3% Hydrogen Peroxide for 10 mins at room temperature after secondary antibody incubation to reduce the background. Counterstained with Hematoxylin. Secondary antibody only control : Secondary antibody is a ready to use LeicaDS9800 (Bond™ Polymer Refine Detection). Heat mediated antigen retrieval was performed with Tris-EDTA buffer (pH 9.0, Epitope Retrieval Solution2) for 20 mins

Immunohistochemistry (Formalin/PFA-fixed paraffin-embedded sections) - Anti-KCNA antibody [EPR26383-85] (AB313624)
  • IHC-P

Supplier Data

Immunohistochemistry (Formalin/PFA-fixed paraffin-embedded sections) - Anti-KCNA antibody [EPR26383-85] (AB313624)

Immunohistochemical analysis of paraffin-embedded Mouse cerebellum tissue labeling KCNA with ab313624 at 1/4000 (0.124 ug/ml) followed by a ready to use LeicaDS9800 (Bond™ Polymer Refine Detection). Positive staining on mouse cerebellum, enriched in the terminal regions around Purkinje cells.The section was incubated with ab313624 for 30 mins at room temperature.The immunostaining was performed on a Leica Biosystems BOND® RX instrumentIncubate slides with 3% Hydrogen Peroxide for 10 mins at room temperature after secondary antibody incubation to reduce the background. Counterstained with Hematoxylin. Secondary antibody only control : Secondary antibody is a ready to use LeicaDS9800 (Bond™ Polymer Refine Detection). Heat mediated antigen retrieval was performed with Tris-EDTA buffer (pH 9.0, Epitope Retrieval Solution2) for 20 mins

Immunohistochemistry (Formalin/PFA-fixed paraffin-embedded sections) - Anti-KCNA antibody [EPR26383-85] (AB313624)
  • IHC-P

Supplier Data

Immunohistochemistry (Formalin/PFA-fixed paraffin-embedded sections) - Anti-KCNA antibody [EPR26383-85] (AB313624)

Immunohistochemical analysis of paraffin-embedded Rat cerebellum tissue labeling KCNA with ab313624 at 1/4000 (0.124 ug/ml) followed by a ready to use LeicaDS9800 (Bond™ Polymer Refine Detection). Positive staining on rat cerebellum, enriched in the terminal regions around Purkinje cells (PMID : 11259775).The section was incubated with ab313624 for 30 mins at room temperature.The immunostaining was performed on a Leica Biosystems BOND® RX instrumentIncubate slides with 3% Hydrogen Peroxide for 10 mins at room temperature after secondary antibody incubation to reduce the background. Counterstained with Hematoxylin. Secondary antibody only control : Secondary antibody is a ready to use LeicaDS9800 (Bond™ Polymer Refine Detection). Heat mediated antigen retrieval was performed with Tris-EDTA buffer (pH 9.0, Epitope Retrieval Solution2) for 20 mins

Immunohistochemistry (Formalin/PFA-fixed paraffin-embedded sections) - Anti-KCNA antibody [EPR26383-85] (AB313624)
  • IHC-P

Supplier Data

Immunohistochemistry (Formalin/PFA-fixed paraffin-embedded sections) - Anti-KCNA antibody [EPR26383-85] (AB313624)

Immunohistochemical analysis of paraffin-embedded Mouse cerebrum tissue labeling KCNA with ab313624 at 1/4000 (0.124 ug/ml) followed by a ready to use LeicaDS9800 (Bond™ Polymer Refine Detection). Positive staining on mouse cerebrum, enriched in neurons at the axon initial segment.The section was incubated with ab313624 for 30 mins at room temperature.The immunostaining was performed on a Leica Biosystems BOND® RX instrumentIncubate slides with 3% Hydrogen Peroxide for 10 mins at room temperature after secondary antibody incubation to reduce the background. Counterstained with Hematoxylin. Secondary antibody only control : Secondary antibody is a ready to use LeicaDS9800 (Bond™ Polymer Refine Detection). Heat mediated antigen retrieval was performed with Tris-EDTA buffer (pH 9.0, Epitope Retrieval Solution2) for 20 mins

Immunohistochemistry (Formalin/PFA-fixed paraffin-embedded sections) - Anti-KCNA antibody [EPR26383-85] (AB313624)
  • IHC-P

Supplier Data

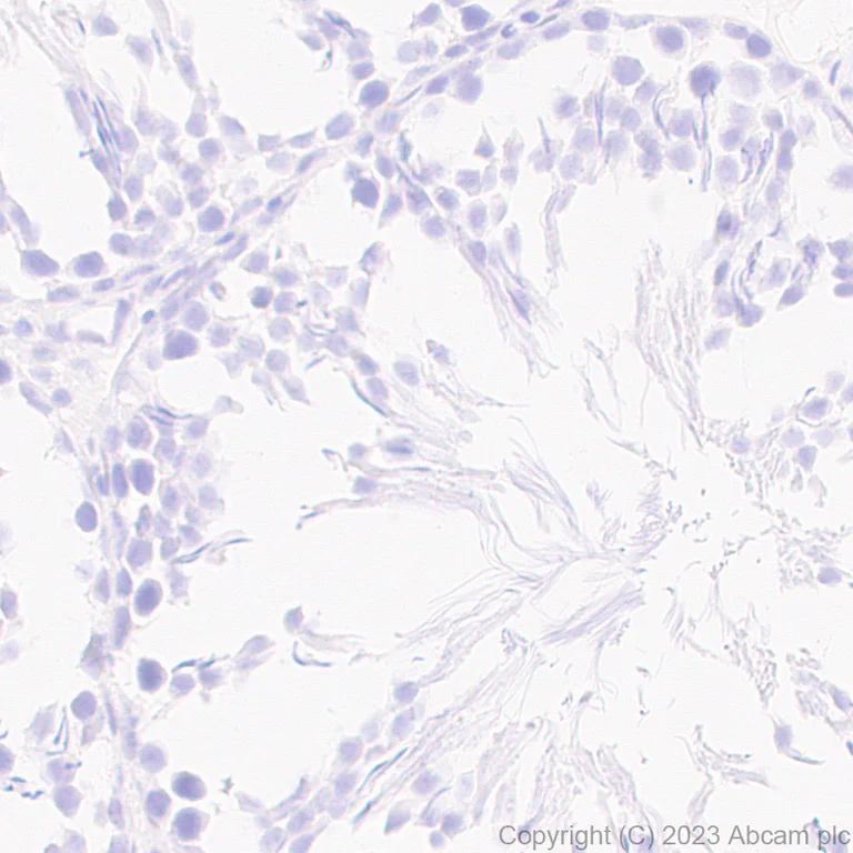
Immunohistochemistry (Formalin/PFA-fixed paraffin-embedded sections) - Anti-KCNA antibody [EPR26383-85] (AB313624)

Immunohistochemical analysis of paraffin-embedded Rat testis tissue labeling KCNA with ab313624 at 1/4000 (0.124 ug/ml) followed by a ready to use LeicaDS9800 (Bond™ Polymer Refine Detection). Negative control : No staining on rat testis.The section was incubated with ab313624 for 30 mins at room temperature.The immunostaining was performed on a Leica Biosystems BOND® RX instrumentIncubate slides with 3% Hydrogen Peroxide for 10 mins at room temperature after secondary antibody incubation to reduce the background. Counterstained with Hematoxylin. Secondary antibody only control : Secondary antibody is a ready to use LeicaDS9800 (Bond™ Polymer Refine Detection). Heat mediated antigen retrieval was performed with Tris-EDTA buffer (pH 9.0, Epitope Retrieval Solution2) for 20 mins

Immunohistochemistry (Formalin/PFA-fixed paraffin-embedded sections) - Anti-KCNA antibody [EPR26383-85] (AB313624)
  • IHC-P

Supplier Data

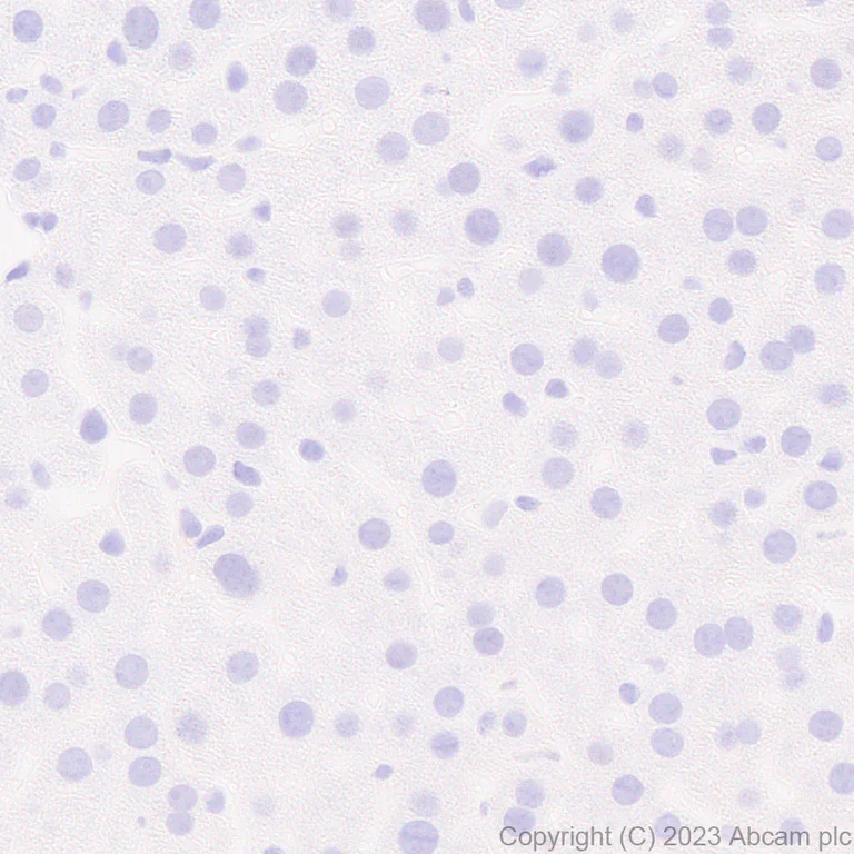
Immunohistochemistry (Formalin/PFA-fixed paraffin-embedded sections) - Anti-KCNA antibody [EPR26383-85] (AB313624)

Immunohistochemical analysis of paraffin-embedded Mouse liver tissue labeling KCNA with ab313624 at 1/4000 (0.124 ug/ml) followed by a ready to use LeicaDS9800 (Bond™ Polymer Refine Detection). Low expression : No staining on hepatocytes of mouse liver.The section was incubated with ab313624 for 30 mins at room temperature.The immunostaining was performed on a Leica Biosystems BOND® RX instrumentIncubate slides with 3% Hydrogen Peroxide for 10 mins at room temperature after secondary antibody incubation to reduce the background. Counterstained with Hematoxylin. Secondary antibody only control : Secondary antibody is a ready to use LeicaDS9800 (Bond™ Polymer Refine Detection). Heat mediated antigen retrieval was performed with Tris-EDTA buffer (pH 9.0, Epitope Retrieval Solution2) for 20 mins

Multiplex immunohistochemistry - Anti-KCNA antibody [EPR26383-85] (AB313624)
  • mIHC

Lab

Multiplex immunohistochemistry - Anti-KCNA antibody [EPR26383-85] (AB313624)

Fluorescence multiplex immunohistochemical analysis of mouse cerebellum (formalin-fixed paraffin-embedded section).

Panel A : merged staining of anti-GABRA6 (magenta; Opal™690), anti-KCNA (green; Opal™520) and anti-DGKZ (gray; Opal™570) on mouse cerebellum.
Panel B : anti-GABRA6 staining granule cells in mouse cerebellum.
Panel C : anti-KCNA staining basket cells in mouse cerebellum.
Panel D : anti-DGKZ staining Purkinje cells in mouse cerebellum.
Nuclear DNA was labeled with DAPI (shown in blue).

The section was incubated in three rounds of staining : in the order of ab300069 at a 1/500 dilution, ab313624 at a 1/5000 and ab239080 at a 1/5000 dilution for 30 mins at room temperature. Each round was followed by a separate fluorescent tyramide signal amplification system.

Heat mediated antigen retrieval was performed with Tris-EDTA buffer (pH 9.0, epitope retrieval solution2) for 20 mins.

The immunostaining was performed on a Leica Biosystems BOND® RX instrument with an Opal™ 4-color kit. Image acquisition was performed with Leica SP8 confocal microscope.

Multiplex immunohistochemistry - Anti-KCNA antibody [EPR26383-85] (AB313624)
  • mIHC

Supplier Data

Multiplex immunohistochemistry - Anti-KCNA antibody [EPR26383-85] (AB313624)

Multiplex immunohistochemistry analysis of formalin/PFA-fixed paraffin-embedded mouse cerebellum tissue staining Carbonic Anhydrase 8/CA8 with ab319156 at a 1 : 10000 (0.05 ug/ml) dilution, ab313624 anti-KCNA2 used at 1 : 4000 (0.124 ug/ml) dilution and ab307710 anti-KCND2 used at a 1 : 2000 (0.266 ug/ml) dilution.

Panel A : merged staining of anti-CA8 (magenta; Opal™690), anti-KCNA2 (green; Opal™520) and anti-KCND2 (gray; Opal™570) on mouse cerebellum.
Panel B : anti-CA8 staining the Purkinje cells in mouse cerebellum.
Panel C : anti-KCNA2 staining the basket cells in mouse cerebellum.
Panel D : anti-KCND2 staining the granule cell layer in mouse cerebellum.
Nuclear DNA was labeled with DAPI (shown in blue).

The section was incubated in three rounds of staining : in the order of ab319156, ab313624 and ab307710 for 30 mins at room temperature. Each round was followed by a separate fluorescent tyramide signal amplification system.

The immunostaining was performed on a Leica Biosystems BOND® RX instrument with an Opal™ 4-color kit. Image acquisition was performed with Leica SP8 confocal microscope.

Nuclear counter stain with DAPI.

Heat mediated antigen retrieval with Tris-EDTA buffer (pH 9.0, epitope retrieval solution2) for 20 mins.

Multiplex immunohistochemistry - Anti-KCNA antibody [EPR26383-85] (AB313624)
  • mIHC

Supplier Data

Multiplex immunohistochemistry - Anti-KCNA antibody [EPR26383-85] (AB313624)

Multiplex immunohistochemistry analysis of formalin/PFA-fixed paraffin-embedded rat cerebellum tissue staining Carbonic Anhydrase 8/CA8 with ab319156 at a 1 : 10000 (0.05 ug/ml) dilution, ab313624 anti-KCNA2 used at 1 : 4000 (0.124 ug/ml) dilution and ab307710 anti-KCND2 used at a 1 : 2000 (0.266 ug/ml) dilution.

Panel A : merged staining of anti-CA8 (magenta; Opal™690), anti-KCNA2 (green; Opal™520) and anti-KCND2 (gray; Opal™570) on rat cerebellum.
Panel B : anti-CA8 staining the Purkinje cells in rat cerebellum.
Panel C : anti-KCNA2 staining the basket cells in rat cerebellum.
Panel D : anti-KCND2 staining the granule cell layer in rat cerebellum.
Nuclear DNA was labeled with DAPI (shown in blue).

The section was incubated in three rounds of staining : in the order of ab319156, ab313624 and ab307710 for 30 mins at room temperature. Each round was followed by a separate fluorescent tyramide signal amplification system.

The immunostaining was performed on a Leica Biosystems BOND® RX instrument with an Opal™ 4-color kit. Image acquisition was performed with Leica SP8 confocal microscope.

Nuclear counter stain with DAPI.

Heat mediated antigen retrieval with Tris-EDTA buffer (pH 9.0, epitope retrieval solution2) for 20 mins.

Multiplex immunohistochemistry - Anti-KCNA antibody [EPR26383-85] (AB313624)
  • mIHC

Lab

Multiplex immunohistochemistry - Anti-KCNA antibody [EPR26383-85] (AB313624)

Multiplex immunohistochemistry analysis of Formalin/PFA-fixed paraffin-embedded sections of Rat cerebellum tissue staining with ab317831 at 1/2000 dilution, ab313624 at 1/4000 dilution, ab307710 at 1/2000 dilution. Secondary used was Opal Polymer HRP Ms + Rb. Panel A : merged staining of anti-Ppp1r17 (magenta; Opal™690), anti-KCNA2 (green; Opal™520) and anti-KCND2 (gray; Opal™570) on rat cerebellum. Panel B : anti-Ppp1r17 staining the Purkinje cells in rat cerebellum. Panel C : anti-KCNA2 staining the basket cells in rat cerebellum. Panel D : anti-KCND2 staining the granule cell layer in rat cerebellum. Nuclear DNA was labeled with DAPI (shown in blue). The section was incubated in three rounds of staining : in the order of ab317831, ab313624 and ab307710 for 30 mins at room temperature. Each round was followed by a separate fluorescent tyramide signal amplification system. The immunostaining was performed on a Leica Biosystems BOND® RX instrument with an Opal™ 4-color kit. Image acquisition was performed with Leica SP8 confocal microscope.

Multiplex immunohistochemistry - Anti-KCNA antibody [EPR26383-85] (AB313624)
  • mIHC

Lab

Multiplex immunohistochemistry - Anti-KCNA antibody [EPR26383-85] (AB313624)

Multiplex immunohistochemistry analysis of formalin/PFA-fixed paraffin-embedded Mouse cerebellum tissue staining PKC gamma with ab317315 at a 1 : 5000 (0.1 µg/ml) dilution, KCNA2 with ab316324 at 1 : 4000 (0.124 µg/ml) dilution and KCND2 with ab307710 at a 1 : 2000 (0.266 µg/ml) dilution followed by secondary antibody Opal Polymer HRP Ms + Rb.

Panel A : merged staining of anti-PKC gamma (green; Opal520), anti-KCNA2 (magenta; Opal690) and anti-KCND2 (gray; Opal570) on mouse cerebellum.
Panel B : anti-PKC gamma staining the Purkinje cells and neuropil in mouse cerebellum.
Panel C : anti-KCNA2 staining the basket cells in mouse cerebellum.
Panel D : anti-KCND2 staining the granule cell layer in mouse cerebellum.
Nuclear DNA was labeled with DAPI (shown in blue).

The section was incubated in three rounds of staining : in the order of ab317315, ab313624 and ab307710 for 30 mins at room temperature. Each round was followed by a separate fluorescent tyramide signal amplification system.

The immunostaining was performed on a Leica Biosystems BOND® RX instrument with an Opal 4-color kit. Image acquisition was performed with Leica SP8 confocal microscope.

Heat mediated antigen retrieval with Tris-EDTA buffer (pH 9.0, epitope retrieval solution2) for 20 mins

Multiplex immunohistochemistry - Anti-KCNA antibody [EPR26383-85] (AB313624)
  • mIHC

Lab

Multiplex immunohistochemistry - Anti-KCNA antibody [EPR26383-85] (AB313624)

Multiplex immunohistochemistry analysis of Formalin/PFA-fixed paraffin-embedded sections of Mouse cerebellum tissue staining with ab317831 at 1/2000 dilution, ab313624 at 1/4000 dilution, ab307710 at 1/2000 dilution. Secondary used was Opal Polymer HRP Ms + Rb. Panel A : merged staining of anti-Ppp1r17 (magenta; Opal™690), anti-KCNA2 (green; Opal™520) and anti-KCND2 (gray; Opal™570) on mouse cerebellum. Panel B : anti-Ppp1r17 staining the Purkinje cells in mouse cerebellum. Panel C : anti-KCNA2 staining the basket cells in mouse cerebellum. Panel D : anti-KCND2 staining the granule cell layer in mouse cerebellum. Nuclear DNA was labeled with DAPI (shown in blue). The section was incubated in three rounds of staining : in the order of ab317831, ab313624 and ab307710 for 30 mins at room temperature. Each round was followed by a separate fluorescent tyramide signal amplification system. The immunostaining was performed on a Leica Biosystems BOND® RX instrument with an Opal™ 4-color kit. Image acquisition was performed with Leica SP8 confocal microscope.

Multiplex immunohistochemistry - Anti-KCNA antibody [EPR26383-85] (AB313624)
  • mIHC

Lab

Multiplex immunohistochemistry - Anti-KCNA antibody [EPR26383-85] (AB313624)

Multiplex immunohistochemistry analysis of formalin/PFA-fixed paraffin-embedded Rat cerebellum tissue staining PKC gamma with ab317315 at a 1 : 5000 (0.1 µg/ml) dilution, KCNA2 with ab316324 at 1 : 4000 (0.124 µg/ml) dilution and KCND2 with ab307710 at a 1 : 2000 (0.266 µg/ml) dilution followed by secondary antibody Opal Polymer HRP Ms + Rb.

Panel A : merged staining of anti-PKC gamma (green; Opal520), anti-KCNA2 (magenta; Opal690) and anti-KCND2 (gray; Opal570) on rat cerebellum.
Panel B : anti-PKC gamma staining the Purkinje cells and neuropil in rat cerebellum.
Panel C : anti-KCNA2 staining the basket cells in rat cerebellum.
Panel D : anti-KCND2 staining the granule cell layer in rat cerebellum.
Nuclear DNA was labeled with DAPI (shown in blue).

The section was incubated in three rounds of staining : in the order of ab317315, ab313624 and ab307710 for 30 mins at room temperature. Each round was followed by a separate fluorescent tyramide signal amplification system.

The immunostaining was performed on a Leica Biosystems BOND® RX instrument with an Opal 4-color kit. Image acquisition was performed with Leica SP8 confocal microscope.

Heat mediated antigen retrieval with Tris-EDTA buffer (pH 9.0, epitope retrieval solution2) for 20 mins

Western blot - Anti-KCNA antibody [EPR26383-85] (AB313624)
  • WB

Supplier Data

Western blot - Anti-KCNA antibody [EPR26383-85] (AB313624)

Blocking and diluting buffer and concentration : 5% NFDM/TBST Negative control : testis Lysates were freshly made and used for Western blotting immediately to minimize protein degradation. The identity of the lower MW band at approximately 55kDa is unknown. Samples are non-boiled as boiling may cause protein aggregation. In Western blot, anti-GAPDH antibody (ab181602) loading control staining at 1/200000 dilution. Exposure time : 180 seconds

All lanes:

Western blot - Anti-KCNA antibody [EPR26383-85] (ab313624) at 1/1000 dilution

Lane 1:

Rat brain tissue lysate at 20 µg

Lane 2:

Rat testis tissue lysate at 20 µg

Secondary

All lanes:

Western blot - Goat Anti-Rabbit IgG H&L (HRP) (<a href='/en-us/products/secondary-antibodies/goat-rabbit-igg-h-l-hrp-ab97051'>ab97051</a>) at 1/100000 dilution

Observed band size: 75 kDa

false

Exposure time: 180s

Western blot - Anti-KCNA antibody [EPR26383-85] (AB313624)
  • WB

Supplier Data

Western blot - Anti-KCNA antibody [EPR26383-85] (AB313624)

Blocking and diluting buffer and concentration : 5% NFDM/TBST Negative control : liver Samples are non-boiled as boiling may cause protein aggregation. The identity of the top bands above 250 kDa is unknown. In Western blot, anti-GAPDH antibody (ab181602) loading control staining at 1/200000 dilution. Exposure time : 125 seconds

All lanes:

Western blot - Anti-KCNA antibody [EPR26383-85] (ab313624) at 1/1000 dilution

Lane 1:

Mouse cerebellum tissue lysate at 20 µg

Lane 2:

Mouse brain tissue lysate at 20 µg

Lane 3:

Mouse liver tissue lysate at 20 µg

Secondary

All lanes:

Western blot - Goat Anti-Rabbit IgG H&L (HRP) (<a href='/en-us/products/secondary-antibodies/goat-rabbit-igg-h-l-hrp-ab97051'>ab97051</a>) at 1/100000 dilution

Observed band size: 75 kDa

false

Exposure time: 125s

Western blot - Anti-KCNA antibody [EPR26383-85] (AB313624)
  • WB

Supplier Data

Western blot - Anti-KCNA antibody [EPR26383-85] (AB313624)

Blocking and diluting buffer and concentration : 5% NFDM/TBST.

This antibody reacts with all mouse KCNA subunits and weakly cross-reacts with recombinant mouse KCNA6 and KCNA7.

In Western blot, anti-His antibody (ab213204) staining at 1/5000 dilution.

In Western blot, anti-GAPDH antibody (ab181602) loading control staining at 1/200000 dilution.

All lanes:

Western blot - Anti-KCNA antibody [EPR26383-85] (ab313624) at 1/1000 dilution

Lane 1:

293T (human embryonic kidney epithelial cell) cells transfected with an empty vector containing a His-tag whole cell lysate at 20 µg

Lane 2:

293T cells transfected with a mouse KCNA1 expression vector containing a His-tag whole cell lysate at 20 µg

Lane 3:

His-tagged mouse KCNA2 recombinant protein at 10 ng

Lane 4:

293T cells transfected with a mouse KCNA3 expression vector containing a His-tag whole cell lysate at 20 µg

Lane 5:

293T cells transfected with a mouse KCNA4 expression vector containing a His-tag whole cell lysate at 20 µg

Lane 6:

293T cells transfected with a mouse KCNA5 expression vector containing a His-tag whole cell lysate at 20 µg

Lane 7:

293T cells transfected with a mouse KCNA6 expression vector containing a His-tag whole cell lysate at 20 µg

Lane 8:

293T cells transfected with a mouse KCNA7 expression vector containing a His-tag whole cell lysate at 20 µg

Secondary

All lanes:

Western blot - Goat Anti-Rabbit IgG H&L (HRP) (<a href='/en-us/products/secondary-antibodies/goat-rabbit-igg-h-l-hrp-ab97051'>ab97051</a>) at 1/100000 dilution

Observed band size: 56 kDa,23 kDa

false

Exposure time: 15s

  • Carrier free

    Anti-KCNA antibody [EPR26383-85] - BSA and Azide free

Key facts

Host species

Rabbit

Clonality

Monoclonal

Clone number

EPR26383-85

Isotype

IgG

Carrier free

No

Reacts with

Mouse, Rat, Human

Applications

mIHC, WB, IHC-P

applications

Immunogen

The exact immunogen used to generate this antibody is proprietary information.

Specificity

Human species is recommended based on IHC result. We do not guarantee western blot for human.

Reactivity data

{ "title": "Reactivity Data", "filters": { "stats": ["", "Species", "Dilution Info", "Notes"], "tabs": { "all-applications": {"fullname" : "All Applications", "shortname": "All Applications"}, "mIHC" : {"fullname" : "Multiplex immunohistochemistry", "shortname":"mIHC"}, "WB" : {"fullname" : "Western blot", "shortname":"WB"}, "IHCP" : {"fullname" : "Immunohistochemistry (Formalin/PFA-fixed paraffin-embedded sections)", "shortname":"IHC-P"}, "ICCIF" : {"fullname" : "Immunocytochemistry/ Immunofluorescence", "shortname":"ICC/IF"}, "IP" : {"fullname" : "Immunoprecipitation", "shortname":"IP"}, "FlowCytIntra" : {"fullname" : "Flow Cytometry (Intracellular)", "shortname":"Flow Cyt (Intra)"}, "IHCFr" : {"fullname" : "Immunohistochemistry (Frozen sections)", "shortname":"IHC-Fr"} }, "product-promise": { "all": "all", "testedAndGuaranteed": "tested", "guaranteed": "expected", "predicted": "predicted", "notRecommended": "not-recommended" } }, "values": { "Human": { "mIHC-species-checked": "guaranteed", "mIHC-species-dilution-info": "", "mIHC-species-notes": "", "WB-species-checked": "notRecommended", "WB-species-dilution-info": "", "WB-species-notes": "<p></p>", "IHCP-species-checked": "testedAndGuaranteed", "IHCP-species-dilution-info": "1/2000", "IHCP-species-notes": "<p></p> Perform heat-mediated antigen retrieval with Tris/EDTA buffer pH 9.0 before commencing with IHC staining protocol.", "ICCIF-species-checked": "notRecommended", "ICCIF-species-dilution-info": "", "ICCIF-species-notes": "", "IP-species-checked": "notRecommended", "IP-species-dilution-info": "", "IP-species-notes": "", "FlowCytIntra-species-checked": "notRecommended", "FlowCytIntra-species-dilution-info": "", "FlowCytIntra-species-notes": "", "IHCFr-species-checked": "notRecommended", "IHCFr-species-dilution-info": "", "IHCFr-species-notes": "" }, "Mouse": { "mIHC-species-checked": "testedAndGuaranteed", "mIHC-species-dilution-info": "1/5000", "mIHC-species-notes": "<p></p>", "WB-species-checked": "testedAndGuaranteed", "WB-species-dilution-info": "1/1000", "WB-species-notes": "<p></p>", "IHCP-species-checked": "testedAndGuaranteed", "IHCP-species-dilution-info": "1/2000", "IHCP-species-notes": "<p></p> Perform heat-mediated antigen retrieval with Tris/EDTA buffer pH 9.0 before commencing with IHC staining protocol.", "ICCIF-species-checked": "notRecommended", "ICCIF-species-dilution-info": "", "ICCIF-species-notes": "<p></p>", "IP-species-checked": "notRecommended", "IP-species-dilution-info": "", "IP-species-notes": "<p></p>", "FlowCytIntra-species-checked": "notRecommended", "FlowCytIntra-species-dilution-info": "", "FlowCytIntra-species-notes": "<p></p>", "IHCFr-species-checked": "notRecommended", "IHCFr-species-dilution-info": "", "IHCFr-species-notes": "<p></p>" }, "Rat": { "mIHC-species-checked": "testedAndGuaranteed", "mIHC-species-dilution-info": "1/5000", "mIHC-species-notes": "<p></p>", "WB-species-checked": "testedAndGuaranteed", "WB-species-dilution-info": "1/1000", "WB-species-notes": "<p></p>", "IHCP-species-checked": "testedAndGuaranteed", "IHCP-species-dilution-info": "1/2000", "IHCP-species-notes": "<p></p> Perform heat-mediated antigen retrieval with Tris/EDTA buffer pH 9.0 before commencing with IHC staining protocol.", "ICCIF-species-checked": "notRecommended", "ICCIF-species-dilution-info": "", "ICCIF-species-notes": "<p></p>", "IP-species-checked": "notRecommended", "IP-species-dilution-info": "", "IP-species-notes": "<p></p>", "FlowCytIntra-species-checked": "notRecommended", "FlowCytIntra-species-dilution-info": "", "FlowCytIntra-species-notes": "", "IHCFr-species-checked": "notRecommended", "IHCFr-species-dilution-info": "", "IHCFr-species-notes": "<p></p>" }, "Recombinant fragment - Mouse": { "mIHC-species-checked": "notRecommended", "mIHC-species-dilution-info": "", "mIHC-species-notes": "", "WB-species-checked": "testedAndGuaranteed", "WB-species-dilution-info": "1/1000", "WB-species-notes": "<p></p>", "IHCP-species-checked": "notRecommended", "IHCP-species-dilution-info": "", "IHCP-species-notes": "", "ICCIF-species-checked": "notRecommended", "ICCIF-species-dilution-info": "", "ICCIF-species-notes": "", "IP-species-checked": "notRecommended", "IP-species-dilution-info": "", "IP-species-notes": "", "FlowCytIntra-species-checked": "notRecommended", "FlowCytIntra-species-dilution-info": "", "FlowCytIntra-species-notes": "", "IHCFr-species-checked": "notRecommended", "IHCFr-species-dilution-info": "", "IHCFr-species-notes": "" }, "Transfected cell lysate - Mouse": { "mIHC-species-checked": "notRecommended", "mIHC-species-dilution-info": "", "mIHC-species-notes": "", "WB-species-checked": "testedAndGuaranteed", "WB-species-dilution-info": "1/1000", "WB-species-notes": "<p></p>", "IHCP-species-checked": "notRecommended", "IHCP-species-dilution-info": "", "IHCP-species-notes": "", "ICCIF-species-checked": "notRecommended", "ICCIF-species-dilution-info": "", "ICCIF-species-notes": "", "IP-species-checked": "notRecommended", "IP-species-dilution-info": "", "IP-species-notes": "", "FlowCytIntra-species-checked": "notRecommended", "FlowCytIntra-species-dilution-info": "", "FlowCytIntra-species-notes": "", "IHCFr-species-checked": "notRecommended", "IHCFr-species-dilution-info": "", "IHCFr-species-notes": "" } } }

Product details

Patented technology
Our RabMAb® technology is a patented hybridoma-based technology for making rabbit monoclonal antibodies. For details on our patents, please refer to RabMAb® patents.

What are the advantages of a recombinant monoclonal antibody?
This product is a recombinant monoclonal antibody, which offers several advantages including:

  • - High batch-to-batch consistency and reproducibility
  • - Improved sensitivity and specificity
  • - Long-term security of supply
  • - Animal-free batch production

For more information, read more on recombinant antibodies.

Properties and storage information

Form
Liquid
Purification technique
Affinity purification Protein A
Storage buffer
pH: 7.2 - 7.4 Preservative: 0.01% Sodium azide Constituents: PBS, 40% Glycerol (glycerin, glycerine), 0.05% BSA
Shipped at conditions
Blue Ice
Appropriate short-term storage duration
1-2 weeks
Appropriate short-term storage conditions
+4°C
Appropriate long-term storage conditions
-20°C
Aliquoting information
Upon delivery aliquot
Storage information
Avoid freeze / thaw cycle

Supplementary information

This supplementary information is collated from multiple sources and compiled automatically.

KCNA also known as Kv1.1 is a potassium voltage-gated channel. This protein plays an important role in setting the resting membrane potential and in shaping the action potentials in excitable tissues. Kv1.1 has a mass of around 56 kDa and it is mainly expressed in the central nervous system particularly in neurons. The channel belongs to the shaker-related subfamily and helps regulate the flow of K+ ions across the cell membrane contributing to neuronal excitability and signaling.
Biological function summary

Kv1.1 is critical in the regulation of electrical signaling within neurons. It forms part of heterotetrameric complexes with other voltage-gated potassium channels influencing the duration and frequency of action potentials. Its activity directly affects neurotransmission and synaptic plasticity. The proper functioning of Kv1.1 ensures balanced excitatory and inhibitory signals in the brain contributing to normal neuronal circuit operations.

Pathways

The activity of Kv1.1 impacts both the regulation of neurotransmitter release and neuronal excitability pathways. It interacts closely with other ion channels and signaling molecules such as Na+ channels to maintain cellular homeostasis. By modulating the action potential frequency Kv1.1 affects long-term potentiation (LTP) an important pathway associated with learning and memory. Its function integrates into complex signaling networks that involve interactions with proteins like the Nav1.1 sodium channel which influences excitatory signaling in neurons.

Mutations or dysfunctions in Kv1.1 have connections to episodic ataxia type 1 and neuromyotonia. These conditions result from improper ion channel function leading to unregulated neuronal activity. In episodic ataxia type 1 Kv1.1 mutations lead to coordination loss due to altered Purkinje cell activity while neuromyotonia involves hyperexcitability at the motor nerve terminals. Both disorders highlight the critical role of Kv1.1 in maintaining neuronal function and stability often involving other proteins like the KCNA2 and KCNA3 subunits that may also contribute to similar channelopathies.

Product protocols

For this product, it's our understanding that no specific protocols are required. You can visit:

Target data

Voltage-gated potassium channel that mediates transmembrane potassium transport in excitable membranes, primarily in the brain and the central nervous system, but also in the cardiovascular system. Prevents aberrant action potential firing and regulates neuronal output. Forms tetrameric potassium-selective channels through which potassium ions pass in accordance with their electrochemical gradient. The channel alternates between opened and closed conformations in response to the voltage difference across the membrane (PubMed : 12527813, PubMed : 21233214). Can form functional homotetrameric channels and heterotetrameric channels that contain variable proportions of KCNA1, KCNA2, KCNA4, KCNA5, KCNA6, KCNA7, and possibly other family members as well; channel properties depend on the type of alpha subunits that are part of the channel (PubMed : 20696761). Channel properties are modulated by cytoplasmic beta subunits that regulate the subcellular location of the alpha subunits and promote rapid inactivation of delayed rectifier potassium channels (By similarity). In vivo, membranes probably contain a mixture of heteromeric potassium channel complexes, making it difficult to assign currents observed in intact tissues to any particular potassium channel family member. Homotetrameric KCNA2 forms a delayed-rectifier potassium channel that opens in response to membrane depolarization, followed by slow spontaneous channel closure (PubMed : 23864368). In contrast, a heteromultimer formed by KCNA2 and KCNA4 shows rapid inactivation (PubMed : 23864368). Contributes to the regulation of action potentials in neurons (PubMed : 12527813, PubMed : 17925011). KCNA2-containing channels play a presynaptic role and prevent hyperexcitability and aberrant action potential firing (PubMed : 17634333, PubMed : 17925011). Response to toxins that are selective for KCNA1, respectively for KCNA2, suggests that heteromeric potassium channels composed of both KCNA1 and KCNA2 play a role in pacemaking and regulate the output of deep cerebellar nuclear neurons (By similarity). Response to toxins that are selective for KCNA2-containing potassium channels suggests that in Purkinje cells, dendritic subthreshold KCNA2-containing potassium channels prevent random spontaneous calcium spikes, suppressing dendritic hyperexcitability without hindering the generation of somatic action potentials, and thereby play an important role in motor coordination (By similarity). KCNA2-containing channels play a role in GABAergic transmission from basket cells to Purkinje cells in the cerebellum, and thereby play an import role in motor coordination (PubMed : 20696761). Plays a role in the induction of long-term potentiation of neuron excitability in the CA3 layer of the hippocampus (PubMed : 23981714). May function as down-stream effector for G protein-coupled receptors and inhibit GABAergic inputs to basolateral amygdala neurons (By similarity). May contribute to the regulation of neurotransmitter release, such as gamma-aminobutyric acid (GABA) (By similarity). Contributes to the regulation of the axonal release of the neurotransmitter dopamine (PubMed : 21233214). Reduced KCNA2 expression plays a role in the perception of neuropathic pain after peripheral nerve injury, but not acute pain (By similarity). Plays a role in the regulation of the time spent in non-rapid eye movement (NREM) sleep (PubMed : 17925011).
See full target information Kcna2

Additional targets

KCNA1,KCNA2,KCNA3,KCNA4,KCNA5,KCNA6,KCNA7

Product promise

We are committed to supporting your work with high-quality reagents, and we're here for you every step of the way. In the unlikely event that one of our products does not perform as expected, you're protected by our Product Promise.
For full details, please see our Terms & Conditions

Please note: All products are 'FOR RESEARCH USE ONLY. NOT FOR USE IN DIAGNOSTIC OR THERAPEUTIC PROCEDURES'.

For licensing inquiries, please contact partnerships@abcam.com