JavaScript is disabled in your browser. Please enable JavaScript to view this website.
AB219074

Anti-KCNJ5 antibody [8D2]

Be the first to review this product! Submit a review

|

(0 Publication)

Mouse Monoclonal KCNJ5 antibody. Suitable for WB, IHC-P and reacts with Human samples. Immunogen corresponding to Recombinant Fragment Protein within Human KCNJ5 aa 300 to C-terminus.

View Alternative Names

GIRK4, KCNJ5, G protein-activated inward rectifier potassium channel 4, GIRK-4, Cardiac inward rectifier, Heart KATP channel, Inward rectifier K(+) channel Kir3.4, KATP-1, CIR, IRK-4

2 Images
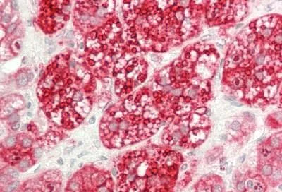
Immunohistochemistry (Formalin/PFA-fixed paraffin-embedded sections) - Anti-KCNJ5 antibody [8D2] (AB219074)
  • IHC-P

Supplier Data

Immunohistochemistry (Formalin/PFA-fixed paraffin-embedded sections) - Anti-KCNJ5 antibody [8D2] (AB219074)

Immunohistochemical analysis of formalin-fixed, paraffin-embedded Human adrenal tissue labeling KCNJ5 using ab219074 at 10 μg/ml.

Western blot - Anti-KCNJ5 antibody [8D2] (AB219074)
  • WB

Supplier Data

Western blot - Anti-KCNJ5 antibody [8D2] (AB219074)

All lanes:

Western blot - Anti-KCNJ5 antibody [8D2] (ab219074)

All lanes:

K562 cell lysate

Predicted band size: 48 kDa

false

Key facts

Host species

Mouse

Clonality

Monoclonal

Clone number

8D2

Isotype

IgG2a

Light chain type

kappa

Carrier free

No

Reacts with

Human

Applications

IHC-P, WB

applications

Immunogen

Recombinant Fragment Protein within Human KCNJ5 aa 300 to C-terminus. The exact immunogen used to generate this antibody is proprietary information.

P48544

Reactivity data

{ "title": "Reactivity Data", "filters": { "stats": ["", "Species", "Dilution Info", "Notes"], "tabs": { "all-applications": {"fullname" : "All Applications", "shortname": "All Applications"}, "WB" : {"fullname" : "Western blot", "shortname":"WB"}, "IHCP" : {"fullname" : "Immunohistochemistry (Formalin/PFA-fixed paraffin-embedded sections)", "shortname":"IHC-P"} }, "product-promise": { "all": "all", "testedAndGuaranteed": "tested", "guaranteed": "expected", "predicted": "predicted", "notRecommended": "not-recommended" } }, "values": { "Human": { "WB-species-checked": "testedAndGuaranteed", "WB-species-dilution-info": "", "WB-species-notes": "<p></p>", "IHCP-species-checked": "testedAndGuaranteed", "IHCP-species-dilution-info": "10 µg/mL", "IHCP-species-notes": "<p></p>" }, "Pig": { "WB-species-checked": "predicted", "WB-species-dilution-info": "", "WB-species-notes": "", "IHCP-species-checked": "predicted", "IHCP-species-dilution-info": "", "IHCP-species-notes": "" } } }

Properties and storage information

Form
Liquid
Purification technique
Affinity purification Protein A
Storage buffer
pH: 7.4 Constituents: 100% PBS
Shipped at conditions
Blue Ice
Appropriate short-term storage duration
1-2 weeks
Appropriate short-term storage conditions
+4°C
Appropriate long-term storage conditions
-20°C
Aliquoting information
Upon delivery aliquot
Storage information
Avoid freeze / thaw cycle

Product protocols

For this product, it's our understanding that no specific protocols are required. You can visit:

Target data

This potassium channel is controlled by G proteins. Inward rectifier potassium channels are characterized by a greater tendency to allow potassium to flow into the cell rather than out of it. Their voltage dependence is regulated by the concentration of extracellular potassium; as external potassium is raised, the voltage range of the channel opening shifts to more positive voltages. The inward rectification is mainly due to the blockage of outward current by internal magnesium. Can be blocked by external barium.
See full target information KCNJ5

Product promise

We are committed to supporting your work with high-quality reagents, and we're here for you every step of the way. In the unlikely event that one of our products does not perform as expected, you're protected by our Product Promise.
For full details, please see our Terms & Conditions

Please note: All products are 'FOR RESEARCH USE ONLY. NOT FOR USE IN DIAGNOSTIC OR THERAPEUTIC PROCEDURES'.

For licensing inquiries, please contact partnerships@abcam.com