JavaScript is disabled in your browser. Please enable JavaScript to view this website.
AB198043

Anti-KCNK17 antibody - N-terminal

Be the first to review this product! Submit a review

|

(2 Publications)

Rabbit Polyclonal KCNK17 antibody. N-terminal. Suitable for WB, IHC-P and reacts with Human samples. Cited in 2 publications. Immunogen corresponding to Recombinant Fragment Protein within Human KCNK17.

View Alternative Names

TALK2, TASK4, UNQ5816/PRO19634, KCNK17, Potassium channel subfamily K member 17, 2P domain potassium channel Talk-2, Acid-sensitive potassium channel protein TASK-4, TWIK-related acid-sensitive K(+) channel 4, TWIK-related alkaline pH-activated K(+) channel 2, TALK-2

2 Images
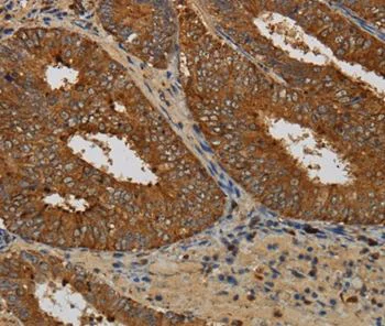
Immunohistochemistry (Formalin/PFA-fixed paraffin-embedded sections) - Anti-KCNK17 antibody - N-terminal (AB198043)
  • IHC-P

Supplier Data

Immunohistochemistry (Formalin/PFA-fixed paraffin-embedded sections) - Anti-KCNK17 antibody - N-terminal (AB198043)

Immunohistochemical analysis of paraffin-embedded Human colon cancer tissue labeling KCNK17 with ab198043 at 1/60 dilution.

Western blot - Anti-KCNK17 antibody - N-terminal (AB198043)
  • WB

Supplier Data

Western blot - Anti-KCNK17 antibody - N-terminal (AB198043)

8% SDS-PAGE

All lanes:

Western blot - Anti-KCNK17 antibody - N-terminal (ab198043) at 1/300 dilution

All lanes:

LO2 cell lysate at 40 µg

Predicted band size: 37 kDa

false

Exposure time: 10s

Key facts

Host species

Rabbit

Clonality

Polyclonal

Isotype

IgG

Carrier free

No

Reacts with

Human

Applications

IHC-P, WB

applications

Immunogen

Recombinant Fragment Protein within Human KCNK17. The exact immunogen used to generate this antibody is proprietary information.

Q96T54

Reactivity data

{ "title": "Reactivity Data", "filters": { "stats": ["", "Species", "Dilution Info", "Notes"], "tabs": { "all-applications": {"fullname" : "All Applications", "shortname": "All Applications"}, "WB" : {"fullname" : "Western blot", "shortname":"WB"}, "IHCP" : {"fullname" : "Immunohistochemistry (Formalin/PFA-fixed paraffin-embedded sections)", "shortname":"IHC-P"} }, "product-promise": { "all": "all", "testedAndGuaranteed": "tested", "guaranteed": "expected", "predicted": "predicted", "notRecommended": "not-recommended" } }, "values": { "Human": { "WB-species-checked": "testedAndGuaranteed", "WB-species-dilution-info": "1/300 - 1/2000", "WB-species-notes": "<p></p>", "IHCP-species-checked": "testedAndGuaranteed", "IHCP-species-dilution-info": "1/60 - 1/300", "IHCP-species-notes": "<p></p>" } } }

Properties and storage information

Form
Liquid
Purification technique
Affinity purification Immunogen
Storage buffer
pH: 7.4 Preservative: 0.05% Sodium azide Constituents: 50% Glycerol (glycerin, glycerine), 49% PBS
Shipped at conditions
Blue Ice
Appropriate short-term storage duration
1-2 weeks
Appropriate short-term storage conditions
+4°C
Appropriate long-term storage conditions
-20°C
Aliquoting information
Upon delivery aliquot
Storage information
Avoid freeze / thaw cycle

Product protocols

For this product, it's our understanding that no specific protocols are required. You can visit:

Target data

K(+) channel that conducts voltage-dependent outward rectifying currents upon membrane depolarization. Voltage sensing is coupled to K(+) electrochemical gradient in an 'ion flux gating' mode where outward but not inward ion flow opens the gate (PubMed : 11248242, PubMed : 11263999, PubMed : 26919430, PubMed : 36063992). Homo- and heterodimerizes to form functional channels with distinct regulatory and gating properties (PubMed : 36063992). Present in the cardiac conduction system where it may regulate action potential duration and beating frequency of cardiac myocytes (PubMed : 24972929). Permeable to other monovalent cations such as Rb(+) and Cs(+) (By similarity) (PubMed : 26919430).
See full target information KCNK17

Publications (2)

Recent publications for all applications. Explore the full list and refine your search

Molecular biology of the cell 30:1425-1436 PubMed30969900

2019

N-glycosylation-dependent regulation of hK17.1 currents.

Applications

Unspecified application

Species

Unspecified reactive species

Felix Wiedmann,Daniel Schlund,Niels Voigt,Antonius Ratte,Manuel Kraft,Hugo A Katus,Constanze Schmidt

Naunyn-Schmiedeberg's archives of pharmacology 391:1119-1131 PubMed30008082

2018

Cardiovascular pharmacology of K17.1 (TASK-4, TALK-2) two-pore-domain K channels.

Applications

Unspecified application

Species

Unspecified reactive species

Ingo Staudacher,Claudius Illg,Sam Chai,Isabelle Deschenes,Sebastian Seehausen,Dominik Gramlich,Mara Elena Müller,Teresa Wieder,Ann-Kathrin Rahm,Christina Mayer,Patrick A Schweizer,Hugo A Katus,Dierk Thomas
View all publications

Product promise

We are committed to supporting your work with high-quality reagents, and we're here for you every step of the way. In the unlikely event that one of our products does not perform as expected, you're protected by our Product Promise.
For full details, please see our Terms & Conditions

Please note: All products are 'FOR RESEARCH USE ONLY. NOT FOR USE IN DIAGNOSTIC OR THERAPEUTIC PROCEDURES'.

For licensing inquiries, please contact partnerships@abcam.com