JavaScript is disabled in your browser. Please enable JavaScript to view this website.
AB106411

Anti-KCNK18/TRESK antibody

Be the first to review this product! Submit a review

|

(1 Publication)

Rabbit Polyclonal KCNK18/TRESK antibody. Suitable for WB, IHC-P, ICC/IF and reacts with Rat samples. Cited in 1 publication. Immunogen corresponding to Synthetic Peptide within Human KCNK18.

View Alternative Names

TRESK, TRIK, KCNK18, Potassium channel subfamily K member 18, TWIK-related individual potassium channel, TWIK-related spinal cord potassium channel

3 Images
Immunocytochemistry/ Immunofluorescence - Anti-KCNK18/TRESK antibody (AB106411)
  • ICC/IF

Supplier Data

Immunocytochemistry/ Immunofluorescence - Anti-KCNK18/TRESK antibody (AB106411)

Immunofluorescence of TRESK in Rat Brain cells using ab106411 at 20 ug/ml.

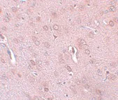
Immunohistochemistry (Formalin/PFA-fixed paraffin-embedded sections) - Anti-KCNK18/TRESK antibody (AB106411)
  • IHC-P

Unknown

Immunohistochemistry (Formalin/PFA-fixed paraffin-embedded sections) - Anti-KCNK18/TRESK antibody (AB106411)

ab106411, at 5 µg/ml, staining KCNK18/TRESK in paraffin embedded Rat brain tissue.

Western blot - Anti-KCNK18/TRESK antibody (AB106411)
  • WB

Unknown

Western blot - Anti-KCNK18/TRESK antibody (AB106411)

Lane 1:

Western blot - Anti-KCNK18/TRESK antibody (ab106411) at 1 µg/mL

Lane 2:

Western blot - Anti-KCNK18/TRESK antibody (ab106411) at 2 µg/mL

All lanes:

Rat brain tissue lysate at 15 µg

Predicted band size: 43 kDa

false

Key facts

Host species

Rabbit

Clonality

Polyclonal

Isotype

IgG

Carrier free

No

Reacts with

Rat

Applications

IHC-P, ICC/IF, WB

applications

Immunogen

Synthetic Peptide within Human KCNK18. The exact immunogen used to generate this antibody is proprietary information.

Q7Z418

Reactivity data

{ "title": "Reactivity Data", "filters": { "stats": ["", "Species", "Dilution Info", "Notes"], "tabs": { "all-applications": {"fullname" : "All Applications", "shortname": "All Applications"}, "WB" : {"fullname" : "Western blot", "shortname":"WB"}, "IHCP" : {"fullname" : "Immunohistochemistry (Formalin/PFA-fixed paraffin-embedded sections)", "shortname":"IHC-P"}, "ICCIF" : {"fullname" : "Immunocytochemistry/ Immunofluorescence", "shortname":"ICC/IF"} }, "product-promise": { "all": "all", "testedAndGuaranteed": "tested", "guaranteed": "expected", "predicted": "predicted", "notRecommended": "not-recommended" } }, "values": { "Rat": { "WB-species-checked": "testedAndGuaranteed", "WB-species-dilution-info": "1-2 µg/mL", "WB-species-notes": "<p></p>", "IHCP-species-checked": "testedAndGuaranteed", "IHCP-species-dilution-info": "5 µg/mL", "IHCP-species-notes": "<p></p>", "ICCIF-species-checked": "testedAndGuaranteed", "ICCIF-species-dilution-info": "", "ICCIF-species-notes": "<p></p>" } } }

Properties and storage information

Form
Liquid
Purification technique
Affinity purification Immunogen
Storage buffer
pH: 7.2 Preservative: 0.02% Sodium azide Constituents: PBS
Shipped at conditions
Blue Ice
Appropriate short-term storage duration
Up to 12 months
Appropriate short-term storage conditions
+4°C
Appropriate long-term storage conditions
-20°C

Product protocols

For this product, it's our understanding that no specific protocols are required. You can visit:

Target data

K(+) channel that conducts outward and inward rectifying currents at depolarized and hyperpolarized membrane potentials, respectively. The outward rectifying currents are voltage-dependent, coupled to K(+) electrochemical gradient across the membrane, whereas the inward currents can be induced in response to activation of Ca(2+)-mobilizing receptors (PubMed : 12754259, PubMed : 15562060, PubMed : 20871611, PubMed : 22355750, PubMed : 26919430, PubMed : 30573346). Homo- and heterodimerizes to form functional channels with distinct regulatory and gating properties. In trigeminal ganglia sensory neurons, the heterodimers of KCNK18/TRESK and KCNK2/TREK-1 or KCNK10/TREK-2 inhibit neuronal firing and neurogenic inflammation by stabilizing the resting membrane potential at K(+) equilibrium potential as well as by regulating the threshold of action potentials and the spike frequency (By similarity). In thymocytes, conducts K(+) currents upon T cell receptor (TCR) signaling leading to sustained Ca(2+) influx and NF-kappa-B activation, FOXP3 transcription and positive selection of regulatory T cell (Treg) progenitor subsets (PubMed : 34702947). Appears to mediate the analgesics effects of hydroxy-alpha-sanshool, a metabolite naturally present in Schezuan pepper and other Xanthoxylum plants (By similarity).
See full target information KCNK18

Publications (1)

Recent publications for all applications. Explore the full list and refine your search

FASEB journal : official publication of the Federation of American Societies for Experimental Biology 39:e70886 PubMed40787784

2025

The TBLR1/TBL1 Co-Factor Complex Acts as a Transcriptional Checkpoint in the Brown Adipose Tissue Response to Prolonged Cold Exposure.

Applications

Unspecified application

Species

Unspecified reactive species

Sahika Cingir Köker,Foivos-Filippos Tsokanos,Rabih El-Merahbi,Ankush Kumar Jha,Karin Cicatelli,Peter Weber,Amit Mhamane,Doris Kaltenecker,Pauline Morigny,Anne Loft,Katarina Klepac,Adriano Maida,Claudia-Eveline Molocea,Daniela Hass,Elena Sophie Vogl,Ana Jimena Alfaro,Wenfei Sun,Horst Zitzelsberger,Kristian Unger,Julia Szendrödi,Yongguo Li,Mauricio Berriel Diaz,Christian Wolfrum,Alexander Bartelt,Stephan Herzig,Anastasia Georgiadi
View all publications

Product promise

We are committed to supporting your work with high-quality reagents, and we're here for you every step of the way. In the unlikely event that one of our products does not perform as expected, you're protected by our Product Promise.
For full details, please see our Terms & Conditions

Please note: All products are 'FOR RESEARCH USE ONLY. NOT FOR USE IN DIAGNOSTIC OR THERAPEUTIC PROCEDURES'.

For licensing inquiries, please contact partnerships@abcam.com