JavaScript is disabled in your browser. Please enable JavaScript to view this website.
AB167027

Anti-KCNT1/SLACK antibody

Be the first to review this product! Submit a review

|

(1 Publication)

Rabbit Polyclonal KCNT1/SLACK antibody. Suitable for IHC-P and reacts with Human samples. Cited in 1 publication. Immunogen corresponding to Synthetic Peptide within Human KCNT1.

View Alternative Names

KIAA1422, KCNT1, Potassium channel subfamily T member 1, KCa4.1

1 Images
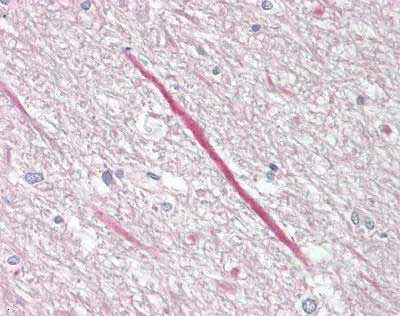
Immunohistochemistry (Formalin/PFA-fixed paraffin-embedded sections) - Anti-KCNT1/SLACK antibody (AB167027)
  • IHC-P

Unknown

Immunohistochemistry (Formalin/PFA-fixed paraffin-embedded sections) - Anti-KCNT1/SLACK antibody (AB167027)

Immunohistochemical analysis of formlin-fixed, paraffin-embedded Human brain cortex, cell processes labeling KCNT1/SLACK with ab167027 at 5 μg/ml.

Key facts

Host species

Rabbit

Clonality

Polyclonal

Isotype

IgG

Carrier free

No

Reacts with

Human

Applications

IHC-P

applications

Immunogen

Synthetic Peptide within Human KCNT1. The exact immunogen used to generate this antibody is proprietary information.

Q5JUK3

Reactivity data

{ "title": "Reactivity Data", "filters": { "stats": ["", "Species", "Dilution Info", "Notes"], "tabs": { "all-applications": {"fullname" : "All Applications", "shortname": "All Applications"}, "IHCP" : {"fullname" : "Immunohistochemistry (Formalin/PFA-fixed paraffin-embedded sections)", "shortname":"IHC-P"} }, "product-promise": { "all": "all", "testedAndGuaranteed": "tested", "guaranteed": "expected", "predicted": "predicted", "notRecommended": "not-recommended" } }, "values": { "Human": { "IHCP-species-checked": "testedAndGuaranteed", "IHCP-species-dilution-info": "5 µg/mL", "IHCP-species-notes": "<p></p>" } } }

Properties and storage information

Form
Liquid
Purification technique
Affinity purification Immunogen
Storage buffer
pH: 7.4 Preservative: 0.02% Sodium azide Constituents: PBS, 50% Glycerol (glycerin, glycerine), 0.88% Sodium chloride
Shipped at conditions
Blue Ice
Appropriate short-term storage conditions
+4°C
Appropriate long-term storage conditions
-20°C

Product protocols

For this product, it's our understanding that no specific protocols are required. You can visit:

Target data

Outwardly rectifying potassium channel subunit that may coassemble with other Slo-type channel subunits. Activated by high intracellular sodium or chloride levels. Activated upon stimulation of G-protein coupled receptors, such as CHRM1 and GRIA1. May be regulated by calcium in the absence of sodium ions (in vitro) (By similarity).
See full target information KCNT1

Publications (1)

Recent publications for all applications. Explore the full list and refine your search

BMC medicine 22:502 PubMed39482663

2024

TM9SF1 expression correlates with autoimmune disease activity and regulates antibody production through mTOR-dependent autophagy.

Applications

Unspecified application

Species

Unspecified reactive species

Juan Xiao,Zhenwang Zhao,Fengqiao Zhou,Jinsong Xiong,Zean Yang,Baoxian Gong,Lei Xiang,Mingming Liu,Fengsheng Cao,Hong Xiao,Huabo Chen,Anbing Zhang,Ke Wang
View all publications

Product promise

We are committed to supporting your work with high-quality reagents, and we're here for you every step of the way. In the unlikely event that one of our products does not perform as expected, you're protected by our Product Promise.
For full details, please see our Terms & Conditions

Please note: All products are 'FOR RESEARCH USE ONLY. NOT FOR USE IN DIAGNOSTIC OR THERAPEUTIC PROCEDURES'.

For licensing inquiries, please contact partnerships@abcam.com