JavaScript is disabled in your browser. Please enable JavaScript to view this website.
AB215433

Anti-KCTD19 antibody

Be the first to review this product! Submit a review

|

(1 Publication)

Rabbit Polyclonal KCTD19 antibody. Suitable for IHC-P and reacts with Mouse, Rat samples. Cited in 1 publication. Immunogen corresponding to Synthetic Peptide within Human KCTD19 aa 50-100 conjugated to Keyhole Limpet Haemocyanin.

View Alternative Names

BTB/POZ domain-containing protein KCTD19, Potassium channel tetramerization domain-containing protein 19, KCTD19

2 Images
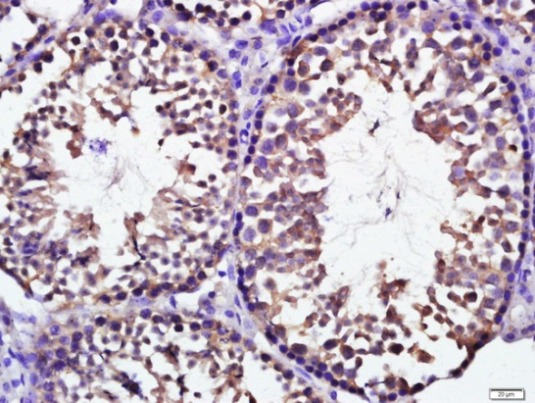
Immunohistochemistry (Formalin/PFA-fixed paraffin-embedded sections) - Anti-KCTD19 antibody (AB215433)
  • IHC-P

Supplier Data

Immunohistochemistry (Formalin/PFA-fixed paraffin-embedded sections) - Anti-KCTD19 antibody (AB215433)

Immunohistochemical analysis of formalin-fixed, paraffin-embedded Mouse testis tissue labeling KCTD19 with ab215433 at 1/200 dilution, followed by conjugation to the secondary antibody and DAB staining.

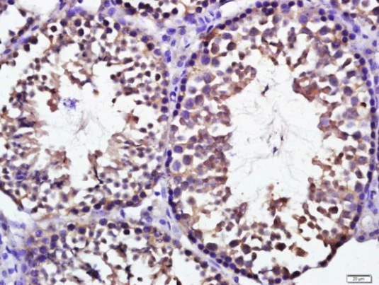
Immunohistochemistry (Formalin/PFA-fixed paraffin-embedded sections) - Anti-KCTD19 antibody (AB215433)
  • IHC-P

Supplier Data

Immunohistochemistry (Formalin/PFA-fixed paraffin-embedded sections) - Anti-KCTD19 antibody (AB215433)

Immunohistochemical analysis of formalin-fixed, paraffin-embedded Rat brain tissue labeling KCTD19 with ab215433 at 1/200 dilution, followed by conjugation to the secondary antibody and DAB staining.

Key facts

Host species

Rabbit

Clonality

Polyclonal

Isotype

IgG

Carrier free

No

Reacts with

Mouse, Rat

Applications

IHC-P

applications

Immunogen

Synthetic Peptide within Human KCTD19 aa 50-100 conjugated to Keyhole Limpet Haemocyanin. The exact immunogen used to generate this antibody is proprietary information.

Q17RG1

Reactivity data

{ "title": "Reactivity Data", "filters": { "stats": ["", "Species", "Dilution Info", "Notes"], "tabs": { "all-applications": {"fullname" : "All Applications", "shortname": "All Applications"}, "IHCP" : {"fullname" : "Immunohistochemistry (Formalin/PFA-fixed paraffin-embedded sections)", "shortname":"IHC-P"} }, "product-promise": { "all": "all", "testedAndGuaranteed": "tested", "guaranteed": "expected", "predicted": "predicted", "notRecommended": "not-recommended" } }, "values": { "Human": { "IHCP-species-checked": "predicted", "IHCP-species-dilution-info": "", "IHCP-species-notes": "" }, "Mouse": { "IHCP-species-checked": "testedAndGuaranteed", "IHCP-species-dilution-info": "1/100 - 1/500", "IHCP-species-notes": "<p></p>" }, "Rat": { "IHCP-species-checked": "testedAndGuaranteed", "IHCP-species-dilution-info": "1/100 - 1/500", "IHCP-species-notes": "<p></p>" } } }

Properties and storage information

Form
Liquid
Purification technique
Affinity purification Protein A
Storage buffer
pH: 7.4 Preservative: 0.02% Proclin 300 Constituents: 50% Glycerol (glycerin, glycerine), 48.98% TBS, 1X, 1% BSA
Shipped at conditions
Blue Ice
Appropriate short-term storage duration
1-2 weeks
Appropriate short-term storage conditions
+4°C
Appropriate long-term storage conditions
-20°C
Aliquoting information
Upon delivery aliquot
Storage information
Avoid freeze / thaw cycle

Product protocols

For this product, it's our understanding that no specific protocols are required. You can visit:

Target data

Transcription regulator which is essential for male fertility and for the completion of meiotic prophase in spermatocytes. Regulates progression of the pachytene stage of meiotic prophase and promotes the transcriptional activation activity ZNF541. Required for the organization of chromosomes during metaphase I.
See full target information KCTD19

Publications (1)

Recent publications for all applications. Explore the full list and refine your search

The Journal of biological chemistry 283:35283-94 PubMed18849567

2008

A novel germ cell-specific protein, SHIP1, forms a complex with chromatin remodeling activity during spermatogenesis.

Applications

Unspecified application

Species

Unspecified reactive species

Eunyoung Choi,Cecil Han,Inju Park,Boyeon Lee,Sora Jin,Heejin Choi,Do Han Kim,Zee Yong Park,Edward M Eddy,Chunghee Cho
View all publications

Product promise

We are committed to supporting your work with high-quality reagents, and we're here for you every step of the way. In the unlikely event that one of our products does not perform as expected, you're protected by our Product Promise.
For full details, please see our Terms & Conditions

Please note: All products are 'FOR RESEARCH USE ONLY. NOT FOR USE IN DIAGNOSTIC OR THERAPEUTIC PROCEDURES'.

For licensing inquiries, please contact partnerships@abcam.com