JavaScript is disabled in your browser. Please enable JavaScript to view this website.
AB176333

Anti-KDEL antibody [EPR12668]

5

(3 Reviews)

|

(34 Publications)

Anti-KDEL antibody [EPR12668] (ab176333) is a rabbit monoclonal antibody detecting KDEL in Western Blot, Flow Cytometry (Intra), Flow Cytometry, IHC-P, ICC/IF. Suitable for Human, Mouse, Rat.

- Biophysical QC for unrivalled batch-batch consistency
- Over 20 publications

View Alternative Names

Lys Asp Glu Leu

8 Images
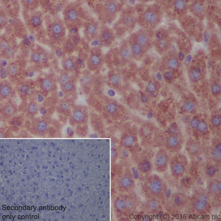
Immunohistochemistry (Formalin/PFA-fixed paraffin-embedded sections) - Anti-KDEL antibody [EPR12668] (AB176333)
  • IHC-P

Unknown

Immunohistochemistry (Formalin/PFA-fixed paraffin-embedded sections) - Anti-KDEL antibody [EPR12668] (AB176333)

Immunohistochemical analysis of paraffin-embedded human liver sections labelling KDEL with purified ab176333 at dilution of 1 : 350. The secondary antibody used was ab97051; a goat anti-rabbit IgG H&L (HRP) at dilution of 1/500. The sample was counterstained with hematoxylin. Antigen retrieval was performed using EDTA Buffer; pH 9.0. PBS was used instead of the primary antibody as the negative control and is shown in the inset.

Flow Cytometry (Intracellular) - Anti-KDEL antibody [EPR12668] (AB176333)
  • Flow Cyt (Intra)

Unknown

Flow Cytometry (Intracellular) - Anti-KDEL antibody [EPR12668] (AB176333)

Overlay histogram showing 4% paraformaldehyde fixed HeLa cells labelling KDEL (red) with purified ab176333 at dilution of 1/100. The secondary antibody used was Alexa Fluor® 488 goat-anti-rabbit IgG at dilution of 1/2000. A non-specific IgG antibody (rabbit monoclonal) was used as isotype control (black). The blue line shows cells without incubation with primary antibody and secondary antibody.

Immunocytochemistry/ Immunofluorescence - Anti-KDEL antibody [EPR12668] (AB176333)
  • ICC/IF

Unknown

Immunocytochemistry/ Immunofluorescence - Anti-KDEL antibody [EPR12668] (AB176333)

Immunocytochemistry/Immunofluorescence analysis of Jurkat cells labelling KDEL with purified ab176333 at 1/200. Cells were fixed with 4% Paraformaldehyde and permeabilized using 0.1% Triton X-100. ab150077, Alexa Fluor® 488-conjugated goat anti-rabbit IgG (1/1000) was used as the secondary antibody. Cells were co-stained with ab7291, a mouse anti-tubulin antibody (1/1000) using ab150120, an Alexa Fluor® 594-conjugated goat anti-mouse IgG (1/1000) as the secondary. Nuclei were counterstained with DAPI (blue).

For negative control 1, ab150120 (Rabbit primary antibody) and anti-mouse secondary antibody were used and for negative control 2, ab7291 (Mouse primary antibody) and ab150077 (anti-rabbit secondary antibody) were used.

Immunohistochemistry (Formalin/PFA-fixed paraffin-embedded sections) - Anti-KDEL antibody [EPR12668] (AB176333)
  • IHC-P

Unknown

Immunohistochemistry (Formalin/PFA-fixed paraffin-embedded sections) - Anti-KDEL antibody [EPR12668] (AB176333)

Immunohistochemical analysis of paraffin-embedded mouse liver sections labelling KDEL with purified ab176333 at dilution of 1 : 350. The secondary antibody used was ab97051; a goat anti-rabbit IgG H&L (HRP) at dilution of 1/500. The sample was counterstained with hematoxylin. Antigen retrieval was performed using EDTA Buffer; pH 9.0. PBS was used instead of the primary antibody as the negative control and is shown in the inset.

Immunohistochemistry (Formalin/PFA-fixed paraffin-embedded sections) - Anti-KDEL antibody [EPR12668] (AB176333)
  • IHC-P

Unknown

Immunohistochemistry (Formalin/PFA-fixed paraffin-embedded sections) - Anti-KDEL antibody [EPR12668] (AB176333)

Immunohistochemical analysis of paraffin-embedded rat kidney sections labelling KDEL with purified ab176333 at dilution of 1 : 350. The secondary antibody used was ab97051; a goat anti-rabbit IgG H&L (HRP) at dilution of 1/500. The sample was counterstained with hematoxylin. Antigen retrieval was performed using EDTA Buffer; pH 9.0. PBS was used instead of the primary antibody as the negative control and is shown in the inset.

Western blot - Anti-KDEL antibody [EPR12668] (AB176333)
  • WB

Supplier Data

Western blot - Anti-KDEL antibody [EPR12668] (AB176333)

All lanes:

Western blot - Anti-KDEL antibody [EPR12668] (ab176333) at 1/1000 dilution

Lane 1:

293T cell lysate at 10 µg

Lane 2:

MCF7 cell lysate at 10 µg

Lane 3:

Raji cell lysate at 10 µg

Lane 4:

HepG2 cell lysate at 10 µg

Lane 5:

HeLa cell lysate at 10 µg

Lane 6:

Jurkat cell lysate at 10 µg

Lane 7:

K562 cell lysate at 10 µg

Predicted band size: 25 kDa

false

Western blot - Anti-KDEL antibody [EPR12668] (AB176333)
  • WB

Lab

Western blot - Anti-KDEL antibody [EPR12668] (AB176333)

ab176333 detected several bands which have similar MWs with some proteins containing carboxyl terminal KDEL motifs, including P4HB, GRP78 BiP, GRP94, PDIA6 and LEPRE1 (PMID : 25683117, PMID : 19741001, PMID : 22079671, PMID : 28648146, PMID : 22615817). It indicates that ab176333 might recognize these proteins.

Blocking and diluting buffer and concentration : 5% NFDM/TBST.

All lanes:

Western blot - Anti-KDEL antibody [EPR12668] (ab176333) at 1/5000 dilution

All lanes:

HepG2 (Human hepatocellular carcinoma epithelial cell) whole cell lysate at 20 µg

Secondary

All lanes:

Goat Anti-Rabbit IgG, (H+L), Peroxidase conjugated at 1/20000 dilution

Predicted band size: 25 kDa

false

Exposure time: 3min

Western blot - Anti-KDEL antibody [EPR12668] (AB176333)
  • WB

Unknown

Western blot - Anti-KDEL antibody [EPR12668] (AB176333)

Observed band size : 94,78,57,48

Blocking/Diluting buffer 5% NFDM/TBST

All lanes:

Western blot - Anti-KDEL antibody [EPR12668] (ab176333) at 1/10000 dilution

Lane 1:

Raw264.7 whole cell lysate at 20 µg

Lane 2:

C6 whole cell lysate at 20 µg

Secondary

All lanes:

Anti-Rabbit IgG (HRP), specific to the non-reduced form of IgG at 1/2000 dilution

Predicted band size: 25 kDa

false

Key facts

Host species

Rabbit

Clonality

Monoclonal

Clone number

EPR12668

Isotype

IgG

Carrier free

No

Reacts with

Human, Mouse, Rat

Applications

ICC/IF, IHC-P, WB, Flow Cyt (Intra)

applications

Immunogen

The exact immunogen used to generate this antibody is proprietary information.

Reactivity data

{ "title": "Reactivity Data", "filters": { "stats": ["", "Species", "Dilution Info", "Notes"], "tabs": { "all-applications": {"fullname" : "All Applications", "shortname": "All Applications"}, "ICCIF" : {"fullname" : "Immunocytochemistry/ Immunofluorescence", "shortname":"ICC/IF"}, "WB" : {"fullname" : "Western blot", "shortname":"WB"}, "IHCP" : {"fullname" : "Immunohistochemistry (Formalin/PFA-fixed paraffin-embedded sections)", "shortname":"IHC-P"}, "FlowCytIntra" : {"fullname" : "Flow Cytometry (Intracellular)", "shortname":"Flow Cyt (Intra)"} }, "product-promise": { "all": "all", "testedAndGuaranteed": "tested", "guaranteed": "expected", "predicted": "predicted", "notRecommended": "not-recommended" } }, "values": { "Human": { "ICCIF-species-checked": "testedAndGuaranteed", "ICCIF-species-dilution-info": "1/100 - 1/250", "ICCIF-species-notes": "<p></p>", "WB-species-checked": "testedAndGuaranteed", "WB-species-dilution-info": "1/1000 - 1/10000", "WB-species-notes": "<p></p>", "IHCP-species-checked": "testedAndGuaranteed", "IHCP-species-dilution-info": "1/50 - 1/350", "IHCP-species-notes": "<p></p> Perform heat-mediated antigen retrieval with Tris/EDTA buffer pH 9.0 before commencing with IHC staining protocol.", "FlowCytIntra-species-checked": "testedAndGuaranteed", "FlowCytIntra-species-dilution-info": "1/10 - 1/100", "FlowCytIntra-species-notes": "<p><a href='/en-us/products/primary-antibodies/rabbit-igg-monoclonal-epr25a-isotype-control-ab172730'>ab172730</a> - Rabbit monoclonal IgG, is suitable for use as an isotype control with this antibody.</p>" }, "Mouse": { "ICCIF-species-checked": "guaranteed", "ICCIF-species-dilution-info": "1/100 - 1/250", "ICCIF-species-notes": "<p></p>", "WB-species-checked": "testedAndGuaranteed", "WB-species-dilution-info": "1/1000 - 1/10000", "WB-species-notes": "<p></p>", "IHCP-species-checked": "testedAndGuaranteed", "IHCP-species-dilution-info": "1/50 - 1/350", "IHCP-species-notes": "<p></p> Perform heat-mediated antigen retrieval with Tris/EDTA buffer pH 9.0 before commencing with IHC staining protocol.", "FlowCytIntra-species-checked": "guaranteed", "FlowCytIntra-species-dilution-info": "1/10 - 1/100", "FlowCytIntra-species-notes": "<p><a href='/en-us/products/primary-antibodies/rabbit-igg-monoclonal-epr25a-isotype-control-ab172730'>ab172730</a> - Rabbit monoclonal IgG, is suitable for use as an isotype control with this antibody.</p>" }, "Rat": { "ICCIF-species-checked": "guaranteed", "ICCIF-species-dilution-info": "1/100 - 1/250", "ICCIF-species-notes": "<p></p>", "WB-species-checked": "testedAndGuaranteed", "WB-species-dilution-info": "1/1000 - 1/10000", "WB-species-notes": "<p></p>", "IHCP-species-checked": "testedAndGuaranteed", "IHCP-species-dilution-info": "1/50 - 1/350", "IHCP-species-notes": "<p></p> Perform heat-mediated antigen retrieval with Tris/EDTA buffer pH 9.0 before commencing with IHC staining protocol.", "FlowCytIntra-species-checked": "guaranteed", "FlowCytIntra-species-dilution-info": "1/10 - 1/100", "FlowCytIntra-species-notes": "<p><a href='/en-us/products/primary-antibodies/rabbit-igg-monoclonal-epr25a-isotype-control-ab172730'>ab172730</a> - Rabbit monoclonal IgG, is suitable for use as an isotype control with this antibody.</p>" } } }

Product details

What is this antibody validated in?
Anti-KDEL antibody [EPR12668] (ab176333) is a rabbit recombinant monoclonal antibody and is validated for use in Western Blot (WB), Flow Cytometry (Intra), Flow Cytometry (Flow Cyt), Immunohistochemistry (IHC-P), Immunocytochemistry/immunofluorescence (ICC/IF) in Human, Mouse, Rat samples.

What is the molecular weight of KDEL?
Anti-KDEL [EPR12668] (ab176333) specifically detects a band for KDEL (UniProt: P24390) at a molecular weight of 25kDa.

Trusted by the scientific community
Anti-KDEL [EPR12668] (ab176333) was first used in a scientific publication in 2013 and has been cited over 20 times in peer-reviewed journals.

Trial sizes available!
Test your antibody or perform pre-screening before committing to a larger quantity. Sold in 10µl. Discover our selection of trial-size antibodies.

Other related products
We have a range of other formats of antibody clone [EPR12668] also available for your convenience: ab176333, Alexa Fluor® 488 - ab184819, Alexa Fluor® 594 - ab203411, Alexa Fluor® 555 - ab203420, Alexa Fluor® 647 - ab214714, Carrier free - ab240190

Patented technology
Our RabMAb® technology is a patented hybridoma-based technology for making rabbit monoclonal antibodies. For details on our patents, please refer to RabMAb® patents.

What are the advantages of a recombinant monoclonal antibody?
This product is a recombinant monoclonal antibody, which offers several advantages including:

  • - High batch-to-batch consistency and reproducibility
  • - Improved sensitivity and specificity
  • - Long-term security of supply
  • - Animal-free batch production

For more information, read more on recombinant antibodies.

Properties and storage information

Form
Liquid
Purification technique
Affinity purification Protein A
Storage buffer
pH: 7.2 - 7.4 Preservative: 0.01% Sodium azide Constituents: PBS, 40% Glycerol (glycerin, glycerine), 0.06% BSA
Shipped at conditions
Blue Ice
Appropriate short-term storage duration
1-2 weeks
Appropriate short-term storage conditions
+4°C
Appropriate long-term storage conditions
-20°C
Aliquoting information
Upon delivery aliquot
Storage information
Avoid freeze / thaw cycle

Product protocols

For this product, it's our understanding that no specific protocols are required. You can visit:

Publications (34)

Recent publications for all applications. Explore the full list and refine your search

PLoS pathogens 21:e1013319 PubMed40668839

2025

The African swine fever virus p22 inhibits the JAK-STAT signaling pathway by promoting the TAX1BP1-mediated degradation of the type I interferon receptor.

Applications

Unspecified application

Species

Unspecified reactive species

Haojie Ren,Yanjin Wang,Lian-Feng Li,Lan-Fang Shi,Yu-He Ma,Jun-Hao Fan,Xiao-Ya Pan,Han-Cheng Shao,Yuhang Zhang,Shichong Han,Bo Wan,Hua-Ji Qiu,Gai-Ping Zhang,Su Li,Wen-Rui He

Cell reports 44:115694 PubMed40349346

2025

IRE1α promotes phagosomal calcium flux to enhance macrophage fungicidal activity.

Applications

Unspecified application

Species

Unspecified reactive species

Michael J McFadden,Mack B Reynolds,Britton C Michmerhuizen,Einar B Ólafsson,Sofia M Marshall,Faith Anderson Davis,Tracey L Schultz,Takao Iwawaki,Jonathan Z Sexton,Mary X D O'Riordan,Teresa R O'Meara

Communications biology 8:89 PubMed39833422

2025

Positively charged cytoplasmic residues in corin prevent signal peptidase cleavage and endoplasmic reticulum retention.

Applications

Unspecified application

Species

Unspecified reactive species

Hui Li,Shijin Sun,Wenjun Guo,Lina Wang,Zihao Zhang,Yue Zhang,Ce Zhang,Meng Liu,Shengnan Zhang,Yayan Niu,Ningzheng Dong,Qingyu Wu

Cells 13: PubMed39195203

2024

RILP Induces Cholesterol Accumulation in Lysosomes by Inhibiting Endoplasmic Reticulum-Endolysosome Interactions.

Applications

Unspecified application

Species

Unspecified reactive species

Yang Han,Xiaoqing Liu,Liju Xu,Ziheng Wei,Yueting Gu,Yandan Ren,Wenyi Hua,Yongtao Zhang,Xiaoxi Liu,Cong Jiang,Ruijuan Zhuang,Wanjin Hong,Tuanlao Wang

Molecular neurodegeneration 19:62 PubMed39183331

2024

Pathological characteristics of axons and alterations of proteomic and lipidomic profiles in midbrain dopaminergic neurodegeneration induced by WDR45-deficiency.

Applications

Unspecified application

Species

Unspecified reactive species

Panpan Wang,Yaping Shao,Murad Al-Nusaif,Jun Zhang,Huijia Yang,Yuting Yang,Kunhyok Kim,Song Li,Cong Liu,Huaibin Cai,Weidong Le

Nature metabolism 6:1347-1366 PubMed38961186

2024

PAQR4 regulates adipocyte function and systemic metabolic health by mediating ceramide levels.

Applications

Unspecified application

Species

Unspecified reactive species

Qingzhang Zhu,Shiuhwei Chen,Jan-Bernd Funcke,Leon G Straub,Qian Lin,Shangang Zhao,Chanmin Joung,Zhuzhen Zhang,Dae-Seok Kim,Na Li,Christy M Gliniak,Charlotte Lee,Alberto Cebrian-Serrano,Line Pedersen,Nils Halberg,Ruth Gordillo,Christine M Kusminski,Philipp E Scherer

Frontiers in physiology 15:1352766 PubMed38725570

2024

In the fed state, autophagy plays a crucial role in assisting the insect vector mobilize TAG reserves under forced flight activity.

Applications

Unspecified application

Species

Unspecified reactive species

Samara Santos-Araujo,Fabio Gomes,Luiz Fernando Carvalho-Kelly,José Roberto Meyer-Fernandes,Katia C Gondim,Isabela Ramos

Cell reports 43:114156 PubMed38687642

2024

ER-associated degradation adapter Sel1L is required for CD8 T cell function and memory formation following acute viral infection.

Applications

Unspecified application

Species

Unspecified reactive species

Luis O Correa-Medero,Shayna E Jankowski,Hanna S Hong,Nicholas D Armas,Aditi I Vijendra,Mack B Reynolds,Garrett M Fogo,Dominik Awad,Alexander T Dils,Kantaro A Inoki,Reid G Williams,Annabelle M Ye,Nadezhda Svezhova,Francisco Gomez-Rivera,Kathleen L Collins,Mary X O'Riordan,Thomas H Sanderson,Costas A Lyssiotis,Shannon A Carty

Molecular medicine reports 29: PubMed38488036

2024

Doxorubicin‑induced cardiomyopathy is mitigated by empagliflozin via the modulation of endoplasmic reticulum stress pathways.

Applications

Unspecified application

Species

Unspecified reactive species

Akshi Malik,Ashim K Bagchi,Davinder S Jassal,Pawan K Singal

Nature communications 14:7277 PubMed37949856

2023

Tau forms synaptic nano-biomolecular condensates controlling the dynamic clustering of recycling synaptic vesicles.

Applications

Unspecified application

Species

Unspecified reactive species

Shanley F Longfield,Mahdie Mollazade,Tristan P Wallis,Rachel S Gormal,Merja Joensuu,Jesse R Wark,Ashley J van Waardenberg,Christopher Small,Mark E Graham,Frédéric A Meunier,Ramón Martínez-Mármol
View all publications

Product promise

We are committed to supporting your work with high-quality reagents, and we're here for you every step of the way. In the unlikely event that one of our products does not perform as expected, you're protected by our Product Promise.
For full details, please see our Terms & Conditions

Please note: All products are 'FOR RESEARCH USE ONLY. NOT FOR USE IN DIAGNOSTIC OR THERAPEUTIC PROCEDURES'.

For licensing inquiries, please contact partnerships@abcam.com