JavaScript is disabled in your browser. Please enable JavaScript to view this website.
AB240190

Anti-KDEL antibody [EPR12668] - BSA and Azide free

Be the first to review this product! Submit a review

|

(1 Publication)

Rabbit Recombinant Monoclonal KDEL antibody. Carrier free. Suitable for ICC/IF, Flow Cyt (Intra), IHC-P, WB and reacts with Human, Rat, Mouse samples. Cited in 1 publication.

View Alternative Names

Lys Asp Glu Leu

6 Images
Flow Cytometry (Intracellular) - Anti-KDEL antibody [EPR12668] - BSA and Azide free (AB240190)
  • Flow Cyt (Intra)

Unknown

Flow Cytometry (Intracellular) - Anti-KDEL antibody [EPR12668] - BSA and Azide free (AB240190)

Intracellular flow cytometric analysis of permeabilized HeLa cells labeling KDEL with ab176333 at 1/10 dilution (red) or a rabbit IgG (negative) (green).

This data was developed using the same antibody clone in a different buffer formulation containing PBS, BSA, glycerol, and sodium azide (ab176333).

Immunocytochemistry/ Immunofluorescence - Anti-KDEL antibody [EPR12668] - BSA and Azide free (AB240190)
  • ICC/IF

Unknown

Immunocytochemistry/ Immunofluorescence - Anti-KDEL antibody [EPR12668] - BSA and Azide free (AB240190)

Immunocytochemistry/Immunofluorescence analysis of Jurkat cells labelling KDEL with purified ab176333 at 1/200. Cells were fixed with 4% Paraformaldehyde and permeabilized using 0.1% Triton X-100. ab150077, Alexa Fluor® 488-conjugated goat anti-rabbit IgG (1/1000) was used as the secondary antibody. Cells were co-stained with ab7291, a mouse anti-tubulin antibody (1/1000) using ab150120, an Alexa Fluor® 594-conjugated goat anti-mouse IgG (1/1000) as the secondary. Nuclei were counterstained with DAPI (blue).

For negative control 1, ab150120 (Rabbit primary antibody) and anti-mouse secondary antibody were used and for negative control 2, ab7291 (Mouse primary antibody) and ab150077 (anti-rabbit secondary antibody) were used.

This data was developed using the same antibody clone in a different buffer formulation containing PBS, BSA, glycerol, and sodium azide (ab176333).

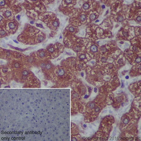
Immunohistochemistry (Formalin/PFA-fixed paraffin-embedded sections) - Anti-KDEL antibody [EPR12668] - BSA and Azide free (AB240190)
  • IHC-P

Unknown

Immunohistochemistry (Formalin/PFA-fixed paraffin-embedded sections) - Anti-KDEL antibody [EPR12668] - BSA and Azide free (AB240190)

Immunohistochemical analysis of paraffin-embedded human liver sections labelling KDEL with purified ab176333 at dilution of 1 : 350. The secondary antibody used was ab97051; a goat anti-rabbit IgG H&L (HRP) at dilution of 1/500. The sample was counterstained with hematoxylin. Antigen retrieval was performed using EDTA Buffer; pH 9.0. PBS was used instead of the primary antibody as the negative control and is shown in the inset.

This data was developed using the same antibody clone in a different buffer formulation containing PBS, BSA, glycerol, and sodium azide (ab176333).

Flow Cytometry (Intracellular) - Anti-KDEL antibody [EPR12668] - BSA and Azide free (AB240190)
  • Flow Cyt (Intra)

Unknown

Flow Cytometry (Intracellular) - Anti-KDEL antibody [EPR12668] - BSA and Azide free (AB240190)

Overlay histogram showing 4% paraformaldehyde fixed HeLa cells labelling KDEL (red) with purified ab176333 at dilution of 1/100. The secondary antibody used was Alexa Fluor® 488 goat-anti-rabbit IgG at dilution of 1/2000. A non-specific IgG antibody (rabbit monoclonal) was used as isotype control (black). The blue line shows cells without incubation with primary antibody and secondary antibody.

This data was developed using the same antibody clone in a different buffer formulation containing PBS, BSA, glycerol, and sodium azide (ab176333).

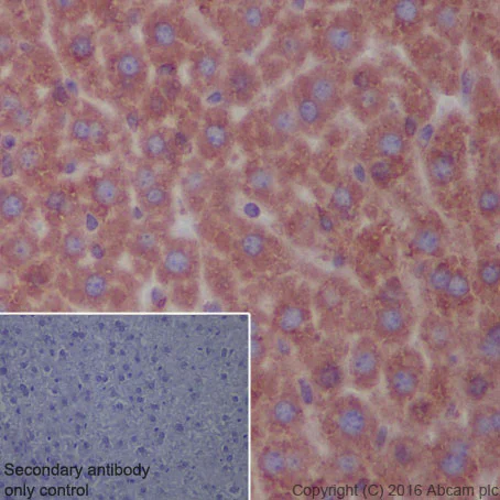
Immunohistochemistry (Formalin/PFA-fixed paraffin-embedded sections) - Anti-KDEL antibody [EPR12668] - BSA and Azide free (AB240190)
  • IHC-P

Unknown

Immunohistochemistry (Formalin/PFA-fixed paraffin-embedded sections) - Anti-KDEL antibody [EPR12668] - BSA and Azide free (AB240190)

Immunohistochemical analysis of paraffin-embedded mouse liver sections labelling KDEL with purified ab176333 at dilution of 1 : 350. The secondary antibody used was ab97051; a goat anti-rabbit IgG H&L (HRP) at dilution of 1/500. The sample was counterstained with hematoxylin. Antigen retrieval was performed using EDTA Buffer; pH 9.0. PBS was used instead of the primary antibody as the negative control and is shown in the inset.

This data was developed using the same antibody clone in a different buffer formulation containing PBS, BSA, glycerol, and sodium azide (ab176333).

Immunohistochemistry (Formalin/PFA-fixed paraffin-embedded sections) - Anti-KDEL antibody [EPR12668] - BSA and Azide free (AB240190)
  • IHC-P

Unknown

Immunohistochemistry (Formalin/PFA-fixed paraffin-embedded sections) - Anti-KDEL antibody [EPR12668] - BSA and Azide free (AB240190)

Immunohistochemical analysis of paraffin-embedded rat kidney sections labelling KDEL with purified ab176333 at dilution of 1 : 350. The secondary antibody used was ab97051; a goat anti-rabbit IgG H&L (HRP) at dilution of 1/500. The sample was counterstained with hematoxylin. Antigen retrieval was performed using EDTA Buffer; pH 9.0. PBS was used instead of the primary antibody as the negative control and is shown in the inset.

This data was developed using the same antibody clone in a different buffer formulation containing PBS, BSA, glycerol, and sodium azide (ab176333).

Key facts

Host species

Rabbit

Clonality

Monoclonal

Clone number

EPR12668

Isotype

IgG

Carrier free

Yes

Reacts with

Human, Rat, Mouse

Applications

WB, IHC-P, Flow Cyt (Intra), ICC/IF

applications

Immunogen

The exact immunogen used to generate this antibody is proprietary information.

Reactivity data

{ "title": "Reactivity Data", "filters": { "stats": ["", "Species", "Dilution Info", "Notes"], "tabs": { "all-applications": {"fullname" : "All Applications", "shortname": "All Applications"}, "ICCIF" : {"fullname" : "Immunocytochemistry/ Immunofluorescence", "shortname":"ICC/IF"}, "FlowCytIntra" : {"fullname" : "Flow Cytometry (Intracellular)", "shortname":"Flow Cyt (Intra)"}, "IHCP" : {"fullname" : "Immunohistochemistry (Formalin/PFA-fixed paraffin-embedded sections)", "shortname":"IHC-P"}, "WB" : {"fullname" : "Western blot", "shortname":"WB"} }, "product-promise": { "all": "all", "testedAndGuaranteed": "tested", "guaranteed": "expected", "predicted": "predicted", "notRecommended": "not-recommended" } }, "values": { "Human": { "ICCIF-species-checked": "testedAndGuaranteed", "ICCIF-species-dilution-info": "", "ICCIF-species-notes": "<p></p>", "FlowCytIntra-species-checked": "testedAndGuaranteed", "FlowCytIntra-species-dilution-info": "", "FlowCytIntra-species-notes": "<p><a href='/en-us/products/primary-antibodies/rabbit-igg-monoclonal-epr25a-isotype-control-low-endotoxin-azide-free-ab199376'>ab199376</a> - Rabbit monoclonal IgG, is suitable for use as an isotype control with this antibody.</p>", "IHCP-species-checked": "testedAndGuaranteed", "IHCP-species-dilution-info": "", "IHCP-species-notes": "<p></p>", "WB-species-checked": "guaranteed", "WB-species-dilution-info": "", "WB-species-notes": "<p></p>" }, "Mouse": { "ICCIF-species-checked": "guaranteed", "ICCIF-species-dilution-info": "", "ICCIF-species-notes": "", "FlowCytIntra-species-checked": "guaranteed", "FlowCytIntra-species-dilution-info": "", "FlowCytIntra-species-notes": "", "IHCP-species-checked": "testedAndGuaranteed", "IHCP-species-dilution-info": "", "IHCP-species-notes": "<p></p>", "WB-species-checked": "guaranteed", "WB-species-dilution-info": "", "WB-species-notes": "<p></p>" }, "Rat": { "ICCIF-species-checked": "guaranteed", "ICCIF-species-dilution-info": "", "ICCIF-species-notes": "", "FlowCytIntra-species-checked": "guaranteed", "FlowCytIntra-species-dilution-info": "", "FlowCytIntra-species-notes": "", "IHCP-species-checked": "testedAndGuaranteed", "IHCP-species-dilution-info": "", "IHCP-species-notes": "<p></p>", "WB-species-checked": "guaranteed", "WB-species-dilution-info": "", "WB-species-notes": "<p></p>" } } }

Product details

ab240190 is the carrier-free version of ab176333.

Patented technology
Our RabMAb® technology is a patented hybridoma-based technology for making rabbit monoclonal antibodies. For details on our patents, please refer to RabMAb® patents.

What are the advantages of a recombinant monoclonal antibody?
This product is a recombinant monoclonal antibody, which offers several advantages including:

  • - High batch-to-batch consistency and reproducibility
  • - Improved sensitivity and specificity
  • - Long-term security of supply
  • - Animal-free batch production

For more information, read more on recombinant antibodies.

Conjugation ready
Our carrier-free antibodies are typically supplied in a PBS-only formulation, purified and free of BSA, sodium azide and glycerol. This conjugation-ready format is designed for use with fluorochromes, metal isotopes, oligonucleotides, and enzymes, which makes them ideal for antibody labelling, functional and cell-based assays, flow-based assays (e.g. mass cytometry) and Multiplex Imaging applications.

Use our conjugation kits for antibody conjugates that are ready-to-use in as little as 20 minutes with 1 minute hands-on-time and 100% antibody recovery: available for fluorescent dyes, HRP, biotin and gold.

Compatibility
This product is compatible with the Maxpar® Antibody Labeling Kit from Fluidigm, without the need for antibody preparation. Maxpar® is a trademark of Fluidigm Canada Inc.

Properties and storage information

Form
Liquid
Purification technique
Affinity purification Protein A
Storage buffer
pH: 7.2 - 7.4 Constituents: PBS
Shipped at conditions
Blue Ice
Appropriate short-term storage conditions
+4°C
Appropriate long-term storage conditions
+4°C
Storage information
Do Not Freeze

Product protocols

For this product, it's our understanding that no specific protocols are required. You can visit:

Publications (1)

Recent publications for all applications. Explore the full list and refine your search

Oncology reports 49: PubMed36734290

2023

LMP1 mediates tumorigenesis through persistent epigenetic modifications and PGC1β upregulation.

Applications

Unspecified application

Species

Unspecified reactive species

Siliang Chen,Ping Zhang,Jia Feng,Rui Li,Junhui Chen,Wei V Zheng,Hongyu Zhang,Paul Yao
View all publications

Product promise

We are committed to supporting your work with high-quality reagents, and we're here for you every step of the way. In the unlikely event that one of our products does not perform as expected, you're protected by our Product Promise.
For full details, please see our Terms & Conditions

Please note: All products are 'FOR RESEARCH USE ONLY. NOT FOR USE IN DIAGNOSTIC OR THERAPEUTIC PROCEDURES'.

For licensing inquiries, please contact partnerships@abcam.com