JavaScript is disabled in your browser. Please enable JavaScript to view this website.
AB129195

Anti-KDM1/LSD1 antibody [EPR6825] - Nuclear Marker and ChIP Grade

  • KO Validated
  • RabMAb
  • Recombinant
  • Lab Essentials
  • 20ul selling size
  • Advanced Validation
  • What is this?

4

(5 Reviews)

|

(54 Publications)

Anti-KDM1/LSD1 antibody [EPR6825] - Nuclear Marker and ChIP Grade (ab129195) is a rabbit monoclonal antibody detecting KDM1/LSD1 in Western Blot, Flow Cytometry (Intra), Flow Cytometry, IP, IHC-P, ICC/IF, ChIP. Suitable for Human, Mouse, Rat.

- KO validated for confirmed specificity
- Biophysical QC for unrivalled batch-batch consistency
- Over 30 publications

View Alternative Names

AOF2, KDM1, KIAA0601, LSD1, KDM1A, Lysine-specific histone demethylase 1A, BRAF35-HDAC complex protein BHC110, Flavin-containing amine oxidase domain-containing protein 2, [histone H3]-dimethyl-L-lysine(4) FAD-dependent demethylase 1A

19 Images
Immunohistochemistry (Formalin/PFA-fixed paraffin-embedded sections) - Anti-KDM1/LSD1 antibody [EPR6825] - Nuclear Marker and ChIP Grade (AB129195)
  • IHC-P

Unknown

Immunohistochemistry (Formalin/PFA-fixed paraffin-embedded sections) - Anti-KDM1/LSD1 antibody [EPR6825] - Nuclear Marker and ChIP Grade (AB129195)

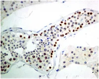
Unpurified ab129195, at 1/100, staining KDM1/LSD1 in paraffin embedded human testis tissue by Immunohistochemistry.

Perform heat mediated antigen retrieval before commencing with IHC staining protocol.

Immunocytochemistry/ Immunofluorescence - Anti-KDM1/LSD1 antibody [EPR6825] - Nuclear Marker and ChIP Grade (AB129195)
  • ICC/IF

Unknown

Immunocytochemistry/ Immunofluorescence - Anti-KDM1/LSD1 antibody [EPR6825] - Nuclear Marker and ChIP Grade (AB129195)

Immunofluorescence staining of HeLa cells with purified ab129195 at a working dilution of 1/100, counter-stained with DAPI. The secondary antibody was Alexa Fluor® 488 goat anti-rabbit (ab150077), used at a dilution of 1/1000. ab7291, a mouse anti-tubulin antibody (1/1000), was used to stain tubulin along with ab150120 (Alexa Fluor® 594 goat anti-mouse, 1/1000), shown in the top right hand panel. The cells were fixed in 4% PFA and permeabilized using 0.1% Triton X 100. The negative controls are shown in bottom middle and right hand panels - for negative control 1, purified ab129195 was used at a dilution of 1/500 followed by an Alexa Fluor® 594 goat anti-mouse antibody (ab150120) at a dilution of 1/500. For negative control 2, ab7291 (mouse anti-tubulin) was used at a dilution of 1/500 followed by an Alexa Fluor® 488 goat anti-rabbit antibody (ab150077) at a dilution of 1/400.

Immunohistochemistry (Formalin/PFA-fixed paraffin-embedded sections) - Anti-KDM1/LSD1 antibody [EPR6825] - Nuclear Marker and ChIP Grade (AB129195)
  • IHC-P

Unknown

Immunohistochemistry (Formalin/PFA-fixed paraffin-embedded sections) - Anti-KDM1/LSD1 antibody [EPR6825] - Nuclear Marker and ChIP Grade (AB129195)

Immunohistochemical staining of paraffin embedded human stomach carcinoma with purified ab129195 at a working dilution of 1/50. The secondary antibody used is ab97051, a goat anti-rabbit IgG (H&L) at a dilution of 1/500. The sample is counter-stained with hematoxylin. Antigen retrieval was perfomed using Tris-EDTA buffer, pH 9.0.

PBS was used instead of the primary antibody as the negative control, and is shown in the inset.

Immunocytochemistry/ Immunofluorescence - Anti-KDM1/LSD1 antibody [EPR6825] - Nuclear Marker and ChIP Grade (AB129195)
  • ICC/IF

AbReview42544****

Immunocytochemistry/ Immunofluorescence - Anti-KDM1/LSD1 antibody [EPR6825] - Nuclear Marker and ChIP Grade (AB129195)

Unpurified ab129195 staining KDM1/LSD1 in paraffin-embedded A549 lung cancer cells by ICC/IF (Immunocytochemistry/immunofluorescence). Cells were fixed using the HOPE technique and permeabilized with 0.05% Tween. Samples were incubated with primary antibody (1/100) for 45 minutes at 25°C. An Alexa Fluor®488-conjugated Donkey anti-mouse IgG polyclonal (1/200) was used as the secondary antibody.

This image is courtesy of an anonymous Abreview

Immunocytochemistry/ Immunofluorescence - Anti-KDM1/LSD1 antibody [EPR6825] - Nuclear Marker and ChIP Grade (AB129195)
  • ICC/IF

Lab

Immunocytochemistry/ Immunofluorescence - Anti-KDM1/LSD1 antibody [EPR6825] - Nuclear Marker and ChIP Grade (AB129195)

ab129195 staining KDM1A/LSD1 in wild-type HAP1 cells (top panel) and KDM1A knockout HAP1 cells (bottom panel). The cells were fixed with 4% formaldehyde (10min), permeabilized with 0.1% Triton X-100 for 5 minutes and then blocked with 1% BSA/10% normal goat serum/0.3M glycine in 0.1% PBS-Tween for 1h. The cells were then incubated with ab129195 at 1μg/ml concentration and ab195889 at 1/250 dilution (shown in pseudo colour red) overnight at +4°C, followed by a further incubation at room temperature for 1h with a goat secondary antibody to Rabbit IgG (Alexa Fluor® 488) (ab150081) at 2 μg/ml (shown in green). Nuclear DNA was labelled in blue with DAPI.

Flow Cytometry (Intracellular) - Anti-KDM1/LSD1 antibody [EPR6825] - Nuclear Marker and ChIP Grade (AB129195)
  • Flow Cyt (Intra)

Lab

Flow Cytometry (Intracellular) - Anti-KDM1/LSD1 antibody [EPR6825] - Nuclear Marker and ChIP Grade (AB129195)

Intracellular Flow Cytometry analysis of HeLa (human cervix adenocarcinoma) cells labeling KDM1/LSD1 with purified ab129195 at 1/20 dilution (10ug/mL) (red). Cells were fixed with 4% paraformaldehyde and permeabilised with 90% methanol. A Goat anti rabbit IgG (Alexa Fluorr® 488) (1/2000 dilution) was used as the secondary antibody. Rabbit monoclonal IgG (Black) was used as the isotype control, cells without incubation with primary antibody and secondary antibody (Blue) were used as the unlabeled control.

Immunoprecipitation - Anti-KDM1/LSD1 antibody [EPR6825] - Nuclear Marker and ChIP Grade (AB129195)
  • IP

Unknown

Immunoprecipitation - Anti-KDM1/LSD1 antibody [EPR6825] - Nuclear Marker and ChIP Grade (AB129195)

ab129195 (purified) at 1/20 immunoprecipitating KDM1/LSD1 in 10 μg Jurkat cell lysate (Lanes 1 and 2, observed at 110 kDa). Lane 3 - Rabbit monoclonal IgG (ab172730).

For western blotting, VeriBlot for IP Detection Reagent (HRP) (ab131366), was used for detection at 1/10,000 dilution.

Blocking/Dilution buffer and concentration : 5% NFDM/TBST.

All lanes:

Immunoprecipitation - Anti-KDM1/LSD1 antibody [EPR6825] - Nuclear Marker and ChIP Grade (ab129195)

Predicted band size: 92 kDa

false

ChIP - Anti-KDM1/LSD1 antibody [EPR6825] - Nuclear Marker and ChIP Grade (AB129195)
  • ChIP

Supplier Data

ChIP - Anti-KDM1/LSD1 antibody [EPR6825] - Nuclear Marker and ChIP Grade (AB129195)

Chromatin was prepared from HCT 116 cells according to the Abcam X-ChIP protocol. Cells were fixed with 1% formaldehyde for 10 minutes. The ChIP was performed with 25μg of chromatin, 5μg of ab129195 (red), and 20μl of protein A/G sepharose beads slurry (10μl of sepharose A beads + 10μl of sepharose G beads). 5μg of rabbit normal IgG was added to the beads control (grey). The immunoprecipitated DNA was quantified by real time PCR (Sybr green approach).

Immunohistochemistry (Formalin/PFA-fixed paraffin-embedded sections) - Anti-KDM1/LSD1 antibody [EPR6825] - Nuclear Marker and ChIP Grade (AB129195)
  • IHC-P

Unknown

Immunohistochemistry (Formalin/PFA-fixed paraffin-embedded sections) - Anti-KDM1/LSD1 antibody [EPR6825] - Nuclear Marker and ChIP Grade (AB129195)

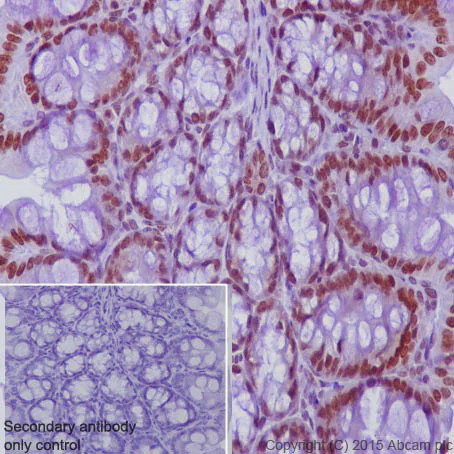
Immunohistochemical staining of paraffin embedded mouse colon with purified ab129195 at a working dilution of 1/50. The secondary antibody used is ab97051, a goat anti-rabbit IgG (H&L) at a dilution of 1/500. The sample is counter-stained with hematoxylin. Antigen retrieval was perfomed using Tris-EDTA buffer, pH 9.0.

PBS was used instead of the primary antibody as the negative control, and is shown in the inset.

Immunohistochemistry (Formalin/PFA-fixed paraffin-embedded sections) - Anti-KDM1/LSD1 antibody [EPR6825] - Nuclear Marker and ChIP Grade (AB129195)
  • IHC-P

Unknown

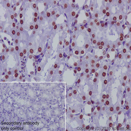
Immunohistochemistry (Formalin/PFA-fixed paraffin-embedded sections) - Anti-KDM1/LSD1 antibody [EPR6825] - Nuclear Marker and ChIP Grade (AB129195)

Immunohistochemical staining of paraffin embedded rat kidney with purified ab129195 at a working dilution of 1/50. The secondary antibody used is ab97051, a goat anti-rabbit IgG (H&L) at a dilution of 1/500. The sample is counter-stained with hematoxylin. Antigen retrieval was perfomed using Tris-EDTA buffer, pH 9.0.

PBS was used instead of the primary antibody as the negative control, and is shown in the inset.

Western blot - Anti-KDM1/LSD1 antibody [EPR6825] - Nuclear Marker and ChIP Grade (AB129195)
  • WB

Lab

Western blot - Anti-KDM1/LSD1 antibody [EPR6825] - Nuclear Marker and ChIP Grade (AB129195)

Blocking/Dilution buffer : 5% NFDM/TBST.

All lanes:

Western blot - Anti-KDM1/LSD1 antibody [EPR6825] - Nuclear Marker and ChIP Grade (ab129195) at 1/10000 dilution

Lane 1:

HEK293 whole cell lysate at 10 µg

Lane 2:

HeLa whole cell lysate at 10 µg

Lane 3:

Jurkat whole cell lysate at 10 µg

Secondary

All lanes:

Western blot - Goat Anti-Rabbit IgG H&L (HRP) (<a href='/en-us/products/secondary-antibodies/goat-rabbit-igg-h-l-hrp-ab97051'>ab97051</a>) at 1/20000 dilution

Predicted band size: 92 kDa

Observed band size: 110 kDa

false

Western blot - Anti-KDM1/LSD1 antibody [EPR6825] - Nuclear Marker and ChIP Grade (AB129195)
  • WB

Lab

Western blot - Anti-KDM1/LSD1 antibody [EPR6825] - Nuclear Marker and ChIP Grade (AB129195)

Lanes 1- 2 : Merged signal (red and green). Green - ab129195 observed at 110 kDa. Red - Anti-GAPDH antibody [6C5] - Loading Control (ab8245) observed at 37 kDa.

ab129195 was shown to react with KDM1/LSD1 in wild-type HeLa cells in western blot. Loss of signal was observed when knockout cell line ab265790 (knockout cell lysate ab256965) was used. Wild-type HeLa and KDM1A knockout HeLa cell lysates were subjected to SDS-PAGE. Membrane was blocked for 1 hour at room temperature in 0.1% TBST with 3% non-fat dried milk. ab129195 and Anti-GAPDH antibody [6C5] - Loading Control (ab8245) overnight at 4°C at a 1 in 1000 dilution and a 1 in 20000 dilution respectively. Blots were developed with Goat anti-Rabbit IgG H&L (IRDye®800CW) preadsorbed (ab216773) and Goat anti-Mouse IgG H&L (IRDye®680RD) preadsorbed (ab216776) secondary antibodies at 1 in 20000 dilution for 1 hour at room temperature before imaging.

All lanes:

Western blot - Anti-KDM1/LSD1 antibody [EPR6825] - Nuclear Marker and ChIP Grade (ab129195) at 1/1000 dilution

Lane 1:

Wild-type HeLa cell lysate at 20 µg

Lane 2:

KDM1A knockout HeLa cell lysate at 20 µg

Lane 2:

Western blot - Human KDM1A (LSD1) knockout HeLa cell line (<a href='/en-us/products/cell-lines/human-kdm1a-lsd1-knockout-hela-cell-line-ab265790'>ab265790</a>)

Predicted band size: 155 kDa,92 kDa

Observed band size: 110 kDa,160 kDa

false

Western blot - Anti-KDM1/LSD1 antibody [EPR6825] - Nuclear Marker and ChIP Grade (AB129195)
  • WB

Lab

Western blot - Anti-KDM1/LSD1 antibody [EPR6825] - Nuclear Marker and ChIP Grade (AB129195)

Lanes 1 - 4 : Merged signal (red and green). Green - ab129195 observed at 110 kDa. Red - loading control, ab8245, observed at 37 kDa.

ab129195 was shown to specifically react with KMD1 / LSD1 in wild-type HAP1 cells. No band was observed when KMD1 / LSD1 knockout samples were used. Wild-type and KMD1 / LSD1 knockout samples were subjected to SDS-PAGE. ab129195 and ab8245 (loading control to GAPDH) were both diluted 1/10,000 and incubated overnight at 4°C. Blots were developed with Goat anti-Rabbit IgG H&L (IRDye® 800CW) preadsorbed (ab216773) and Goat anti-Mouse IgG H&L (IRDye® 680RD) preadsorbed (ab216776) secondary antibodies at 1/10,000 dilution for 1 hour at room temperature before imaging.

All lanes:

Western blot - Anti-KDM1/LSD1 antibody [EPR6825] - Nuclear Marker and ChIP Grade (ab129195) at 1/10000 dilution

Lane 1:

Wild-type HAP1 cell lysate at 20 µg

Lane 2:

KMD1 / LSD1 knockout HAP1 cell lysate at 20 µg

Lane 3:

HeLa cell lysate at 20 µg

Lane 4:

Jurkat cell lysate at 20 µg

Predicted band size: 92 kDa

false

Western blot - Anti-KDM1/LSD1 antibody [EPR6825] - Nuclear Marker and ChIP Grade (AB129195)
  • WB

Unknown

Western blot - Anti-KDM1/LSD1 antibody [EPR6825] - Nuclear Marker and ChIP Grade (AB129195)

Blocking/diluting buffer and concentration : 5% NFDM/TBST

Observed band : 110kd

All lanes:

ab129195 at 1/1000 dilution

Lane 1:

Jurkat (Human T cell leukemia T lymphocyte) whole cell lysates at 20 µg

Lane 2:

HCT 116 (Human colorectal carcinoma epithelial cell) whole cell lysates at 20 µg

Lane 3:

NIH/3T3 (Mouse embryonic fibroblast) whole cell lysates at 20 µg

Lane 4:

C2C12 (Mouse myoblasts myoblast) whole cell lysates at 20 µg

Lane 5:

Mouse skeletal muscle lysates at 20 µg

Lane 6:

C6 (Rat glial tumor glial cell) whole cell lysates at 20 µg

Secondary

All lanes:

Goat Anti-Rabbit IgG, (H+L), Peroxidase conjugated at 1/20000 dilution

Predicted band size: 92 kDa

false

Exposure time: 20s

ChIC/CUT&RUN sequencing - Anti-KDM1/LSD1 antibody [EPR6825] - Nuclear Marker and ChIP Grade (AB129195)
  • ChIC/CUT&RUN-seq

Supplier Data

ChIC/CUT&RUN sequencing - Anti-KDM1/LSD1 antibody [EPR6825] - Nuclear Marker and ChIP Grade (AB129195)

CUT&RUN was performed using the ChIC/CUT&RUN pAG-MNAse ab285373 2.5 x 10^5 HeLa cells and 5μg of ab129195 [EPR6825]. The resulting DNA was sequenced on the Illumina NovaSeq 6000 to a depth of 10 million reads. Additional screenshots of mapped reads can be downloaded here.

ChIC/CUT&RUN sequencing - Anti-KDM1/LSD1 antibody [EPR6825] - Nuclear Marker and ChIP Grade (AB129195)
  • ChIC/CUT&RUN-seq

Supplier Data

ChIC/CUT&RUN sequencing - Anti-KDM1/LSD1 antibody [EPR6825] - Nuclear Marker and ChIP Grade (AB129195)

ChIC/CUT&RUN was performed using a pAG-MNAse at a final concentration of 700 ng/mL. 2.5X10^5 of Human wild-type HeLa cell line (ab255928) or KDM1A (LSD1) knockout HeLa cell line (ab265790) were used along with 5µg of ab129195 [EPR6825]. Assay Quality Control was conducted using 5µg Anti-CTCF(ab188408) on the same cell lines. The resulting DNA was sequenced on the Illumina NovaSeq 6000 to a depth of 10 million reads. The negative IgG control ab172730 is also shown. Additional screenshots of mapped reads can be found in the Protocol booklet in the Product Protocol section. The University of Geneva owns patents relevant to ChIC (Chromatin Immuno-Cleavage) methods.

Western blot - Anti-KDM1/LSD1 antibody [EPR6825] - Nuclear Marker and ChIP Grade (AB129195)
  • WB

Lab

Western blot - Anti-KDM1/LSD1 antibody [EPR6825] - Nuclear Marker and ChIP Grade (AB129195)

Blocking/Dilution buffer : 5% NFDM/TBST.

All lanes:

Western blot - Anti-KDM1/LSD1 antibody [EPR6825] - Nuclear Marker and ChIP Grade (ab129195) at 1/10000 dilution

Lane 1:

C6 whole cell lysate at 10 µg

Lane 2:

Raw 264.7 whole cell lysate at 10 µg

Lane 3:

PC-12 whole cell lysate at 10 µg

Lane 4:

NIH/3T3 whole cell lysate at 10 µg

Secondary

All lanes:

Western blot - Goat Anti-Rabbit IgG H&L (HRP) (<a href='/en-us/products/secondary-antibodies/goat-rabbit-igg-h-l-hrp-ab97051'>ab97051</a>) at 1/20000 dilution

Predicted band size: 92 kDa

Observed band size: 110 kDa

false

Western blot - Anti-KDM1/LSD1 antibody [EPR6825] - Nuclear Marker and ChIP Grade (AB129195)
  • WB

Unknown

Western blot - Anti-KDM1/LSD1 antibody [EPR6825] - Nuclear Marker and ChIP Grade (AB129195)

Blocking/diluting buffer and concentration : 5% NFDM/TBST

All lanes:

ab129195 at 1/1000 dilution

Lane 1:

Mouse brain lysates at 20 µg

Lane 2:

Mouse heart lysates at 20 µg

Lane 3:

Mouse liver lysates at 20 µg

Lane 4:

Mouse spleen lysates at 20 µg

Secondary

All lanes:

Goat Anti-Rabbit IgG, (H+L), Peroxidase conjugated (<a href='/en-us/products/secondary-antibodies/goat-rabbit-igg-h-l-hrp-ab97051'>ab97051</a>) at 1/20000 dilution

Predicted band size: 92 kDa

Observed band size: 110 kDa

false

Exposure time: 180s

Western blot - Anti-KDM1/LSD1 antibody [EPR6825] - Nuclear Marker and ChIP Grade (AB129195)
  • WB

Unknown

Western blot - Anti-KDM1/LSD1 antibody [EPR6825] - Nuclear Marker and ChIP Grade (AB129195)

All lanes:

Western blot - Anti-KDM1/LSD1 antibody [EPR6825] - Nuclear Marker and ChIP Grade (ab129195) at 1/10000 dilution

Lane 1:

293T cell lysate at 10 µg

Lane 2:

HeLa cell lysate at 10 µg

Lane 3:

Jurkat cell lysate at 10 µg

Lane 4:

PC3 cell lysate at 10 µg

Lane 5:

C6 cell lysate at 10 µg

Lane 6:

RAW264.7 cell lysate at 10 µg

Lane 7:

PC12 cell lysate at 10 µg

Lane 8:

NIH 3T3 cell lysate at 10 µg

Secondary

All lanes:

Goat anti-Rabbit HRP at 1/2000 dilution

Predicted band size: 92 kDa

false

  • Carrier free

    Anti-KDM1/LSD1 antibody [EPR6825] - BSA and Azide free

  • HRP

    HRP Anti-KDM1/LSD1 antibody [EPR6825] - Nuclear Marker

  • 665 Alexa Fluor® 647

    Alexa Fluor® 647 Anti-KDM1/LSD1 antibody [EPR6825] - Nuclear Marker

  • 519 Alexa Fluor® 488

    Alexa Fluor® 488 Anti-KDM1/LSD1 antibody [EPR6825] - Nuclear Marker

Key facts

Host species

Rabbit

Clonality

Monoclonal

Clone number

EPR6825

Isotype

IgG

Carrier free

No

Reacts with

Mouse, Rat, Human

Applications

ICC/IF, ChIP, IP, Flow Cyt (Intra), IHC-P, ChIC/CUT&RUN-seq, WB

applications

Immunogen

The exact immunogen used to generate this antibody is proprietary information.

Reactivity data

{ "title": "Reactivity Data", "filters": { "stats": ["", "Species", "Dilution Info", "Notes"], "tabs": { "all-applications": {"fullname" : "All Applications", "shortname": "All Applications"}, "ChICCUTRUNseq" : {"fullname" : "ChIC/CUT&RUN sequencing", "shortname":"ChIC/CUT&RUN-seq"}, "IHCP" : {"fullname" : "Immunohistochemistry (Formalin/PFA-fixed paraffin-embedded sections)", "shortname":"IHC-P"}, "IP" : {"fullname" : "Immunoprecipitation", "shortname":"IP"}, "ChIP" : {"fullname" : "ChIP", "shortname":"ChIP"}, "WB" : {"fullname" : "Western blot", "shortname":"WB"}, "ICCIF" : {"fullname" : "Immunocytochemistry/ Immunofluorescence", "shortname":"ICC/IF"}, "FlowCytIntra" : {"fullname" : "Flow Cytometry (Intracellular)", "shortname":"Flow Cyt (Intra)"} }, "product-promise": { "all": "all", "testedAndGuaranteed": "tested", "guaranteed": "expected", "predicted": "predicted", "notRecommended": "not-recommended" } }, "values": { "Human": { "ChICCUTRUNseq-species-checked": "testedAndGuaranteed", "ChICCUTRUNseq-species-dilution-info": "5 µg", "ChICCUTRUNseq-species-notes": "<p></p>", "IHCP-species-checked": "testedAndGuaranteed", "IHCP-species-dilution-info": "1/50 - 1/250", "IHCP-species-notes": "<p></p> Perform heat-mediated antigen retrieval before commencing with IHC staining protocol.", "IP-species-checked": "testedAndGuaranteed", "IP-species-dilution-info": "1/10 - 1/100", "IP-species-notes": "<p></p>", "ChIP-species-checked": "testedAndGuaranteed", "ChIP-species-dilution-info": "5 µg for 25 µg chromatin", "ChIP-species-notes": "<p></p>", "WB-species-checked": "testedAndGuaranteed", "WB-species-dilution-info": "1/10000 - 1/50000", "WB-species-notes": "<p></p>", "ICCIF-species-checked": "testedAndGuaranteed", "ICCIF-species-dilution-info": "1 µg/mL", "ICCIF-species-notes": "<p></p>", "FlowCytIntra-species-checked": "testedAndGuaranteed", "FlowCytIntra-species-dilution-info": "1/20", "FlowCytIntra-species-notes": "<p><a href='/en-us/products/primary-antibodies/rabbit-igg-monoclonal-epr25a-isotype-control-ab172730'>ab172730</a> - Rabbit monoclonal IgG, is suitable for use as an isotype control with this antibody.</p>" }, "Mouse": { "ChICCUTRUNseq-species-checked": "testedAndGuaranteed", "ChICCUTRUNseq-species-dilution-info": "5 µg", "ChICCUTRUNseq-species-notes": "<p></p>", "IHCP-species-checked": "testedAndGuaranteed", "IHCP-species-dilution-info": "1/50 - 1/250", "IHCP-species-notes": "<p></p> Perform heat-mediated antigen retrieval before commencing with IHC staining protocol.", "IP-species-checked": "guaranteed", "IP-species-dilution-info": "", "IP-species-notes": "", "ChIP-species-checked": "guaranteed", "ChIP-species-dilution-info": "", "ChIP-species-notes": "", "WB-species-checked": "testedAndGuaranteed", "WB-species-dilution-info": "1/10000 - 1/50000", "WB-species-notes": "<p></p>", "ICCIF-species-checked": "guaranteed", "ICCIF-species-dilution-info": "", "ICCIF-species-notes": "", "FlowCytIntra-species-checked": "guaranteed", "FlowCytIntra-species-dilution-info": "", "FlowCytIntra-species-notes": "" }, "Rat": { "ChICCUTRUNseq-species-checked": "testedAndGuaranteed", "ChICCUTRUNseq-species-dilution-info": "5 µg", "ChICCUTRUNseq-species-notes": "<p></p>", "IHCP-species-checked": "testedAndGuaranteed", "IHCP-species-dilution-info": "1/50 - 1/250", "IHCP-species-notes": "<p></p> Perform heat-mediated antigen retrieval before commencing with IHC staining protocol.", "IP-species-checked": "guaranteed", "IP-species-dilution-info": "", "IP-species-notes": "", "ChIP-species-checked": "guaranteed", "ChIP-species-dilution-info": "", "ChIP-species-notes": "", "WB-species-checked": "testedAndGuaranteed", "WB-species-dilution-info": "1/10000 - 1/50000", "WB-species-notes": "<p></p>", "ICCIF-species-checked": "guaranteed", "ICCIF-species-dilution-info": "", "ICCIF-species-notes": "", "FlowCytIntra-species-checked": "guaranteed", "FlowCytIntra-species-dilution-info": "", "FlowCytIntra-species-notes": "" } } }

Product details

What is this antibody validated in?
Anti-KDM1/LSD1 antibody [EPR6825] - Nuclear Marker and ChIP Grade (ab129195) is a rabbit recombinant monoclonal antibody and is validated for use in Western Blot (WB), Flow Cytometry (Intra), Flow Cytometry (Flow Cyt), Immunoprecipitation (IP), Immunohistochemistry (IHC-P), Immunocytochemistry/immunofluorescence (ICC/IF), ChIP in Human, Mouse, Rat samples.

What is the molecular weight of KDM1/LSD1?
Anti-KDM1/LSD1 [EPR6825] - Nuclear Marker and ChIP Grade (ab129195) specifically detects a band for KDM1/LSD1 (UniProt: O60341) at a molecular weight of 92kDa.

Trusted by the scientific community
Anti-KDM1/LSD1 [EPR6825] - Nuclear Marker and ChIP Grade (ab129195) was first used in a scientific publication in 2012 and has been cited over 30 times in peer-reviewed journals.

Reviewed by scientists
Anti-KDM1/LSD1 [EPR6825] - Nuclear Marker and ChIP Grade (ab129195) has over 5 independent reviews from customers.

Trial sizes available!
Test your antibody or perform pre-screening before committing to a larger quantity. Sold in 10µl. Discover our selection of trial-size antibodies.

Specificity confirmed
The specificity of Anti-KDM1/LSD1 antibody [EPR6825] - Nuclear Marker and ChIP Grade (ab129195) has been confirmed by Western blot testing in KDM1A Knockout HAP1 cell line, ab265790.

Other related products
We have a range of other formats of antibody clone [EPR6825] also available for your convenience: ab129195, Alexa Fluor® 488 - ab184811, Alexa Fluor® 647 - ab195305, HRP - ab195897, Carrier free - ab224270

Patented technology
Our RabMAb® technology is a patented hybridoma-based technology for making rabbit monoclonal antibodies. For details on our patents, please refer to RabMAb® patents.

What are the advantages of a recombinant monoclonal antibody?
This product is a recombinant monoclonal antibody, which offers several advantages including:

  • - High batch-to-batch consistency and reproducibility
  • - Improved sensitivity and specificity
  • - Long-term security of supply
  • - Animal-free batch production

For more information, read more on recombinant antibodies.

Properties and storage information

Form
Liquid
Purification technique
Affinity purification Protein A
Storage buffer
pH: 7.2 - 7.4 Preservative: 0.01% Sodium azide Constituents: PBS, 40% Glycerol (glycerin, glycerine), 0.05% BSA
Shipped at conditions
Blue Ice
Appropriate short-term storage duration
1-2 weeks
Appropriate short-term storage conditions
+4°C
Appropriate long-term storage conditions
-20°C
Aliquoting information
Upon delivery aliquot
Storage information
Avoid freeze / thaw cycle

Product protocols

For this product, it's our understanding that no specific protocols are required. You can visit:

Target data

Histone demethylase that can demethylate both 'Lys-4' (H3K4me) and 'Lys-9' (H3K9me) of histone H3, thereby acting as a coactivator or a corepressor, depending on the context (PubMed : 15620353, PubMed : 15811342, PubMed : 16079794, PubMed : 16079795, PubMed : 16140033, PubMed : 16223729, PubMed : 27292636). Acts by oxidizing the substrate by FAD to generate the corresponding imine that is subsequently hydrolyzed (PubMed : 15620353, PubMed : 15811342, PubMed : 16079794, PubMed : 21300290). Acts as a corepressor by mediating demethylation of H3K4me, a specific tag for epigenetic transcriptional activation. Demethylates both mono- (H3K4me1) and di-methylated (H3K4me2) H3K4me (PubMed : 15620353, PubMed : 20389281, PubMed : 21300290, PubMed : 23721412). May play a role in the repression of neuronal genes. Alone, it is unable to demethylate H3K4me on nucleosomes and requires the presence of RCOR1/CoREST to achieve such activity (PubMed : 16079794, PubMed : 16140033, PubMed : 16885027, PubMed : 21300290, PubMed : 23721412). Also acts as a coactivator of androgen receptor (AR)-dependent transcription, by being recruited to AR target genes and mediating demethylation of H3K9me, a specific tag for epigenetic transcriptional repression. The presence of PRKCB in AR-containing complexes, which mediates phosphorylation of 'Thr-6' of histone H3 (H3T6ph), a specific tag that prevents demethylation H3K4me, prevents H3K4me demethylase activity of KDM1A (PubMed : 16079795). Demethylates di-methylated 'Lys-370' of p53/TP53 which prevents interaction of p53/TP53 with TP53BP1 and represses p53/TP53-mediated transcriptional activation. Demethylates and stabilizes the DNA methylase DNMT1 (PubMed : 29691401). Demethylates methylated 'Lys-42' and methylated 'Lys-117' of SOX2 (PubMed : 29358331). Required for gastrulation during embryogenesis. Component of a RCOR/GFI/KDM1A/HDAC complex that suppresses, via histone deacetylase (HDAC) recruitment, a number of genes implicated in multilineage blood cell development (PubMed : 16079794, PubMed : 16140033). Facilitates epithelial-to-mesenchymal transition by acting as an effector of SNAI1-mediated transcription repression of epithelial markers E-cadherin/CDH1, CDN7 and KRT8 (PubMed : 20562920, PubMed : 27292636). Required for the maintenance of the silenced state of the SNAI1 target genes E-cadherin/CDH1 and CDN7 (PubMed : 20389281).
See full target information KDM1A

Publications (54)

Recent publications for all applications. Explore the full list and refine your search

Scientific reports 15:24858 PubMed40640307

2025

KIAA1429 promotes non-small-cell lung cancer cell proliferation through the TRERNA1/HOXA6 axis.

Applications

Unspecified application

Species

Unspecified reactive species

Yunxia Li,Shiyao Tian,Biao Yang

PloS one 20:e0323279 PubMed40333790

2025

Zinc finger protein 184 prevents α-synuclein preformed fibril-mediated neurodegeneration through the interleukin enhancer binding factor 3-microRNA-7 pathway.

Applications

Unspecified application

Species

Unspecified reactive species

Jihye Kim,Soojeong Park,Jee-Ho Lee,Ji-Yeong Lee,Joo-Ho Shin

Journal of cellular and molecular medicine 29:e70398 PubMed39900557

2025

GPX3 Overexpression Ameliorates Cardiac Injury Post Myocardial Infarction Through Activating LSD1/Hif1α Axis.

Applications

Unspecified application

Species

Unspecified reactive species

Qi-Qi Jiang,Chong Du,Ling-Ling Qian,Tian-Kai Shan,Yu-Lin Bao,Ling-Feng Gu,Si-Bo Wang,Tong-Tong Yang,Liu-Hua Zhou,Ze-Mu Wang,Ye He,Qi-Ming Wang,Hao Wang,Ru-Xing Wang,Lian-Sheng Wang

Nature communications 16:1241 PubMed39890808

2025

Copy number amplification of FLAD1 promotes the progression of triple-negative breast cancer through lipid metabolism.

Applications

Unspecified application

Species

Unspecified reactive species

Xiao-Qing Song,Tian-Jian Yu,Yang Ou-Yang,Jia-Han Ding,Yi-Zhou Jiang,Zhi-Ming Shao,Yi Xiao

Nature communications 15:10011 PubMed39562549

2024

Nuclear receptor-SINE B1 network modulates expanded pluripotency in blastoids and blastocysts.

Applications

Unspecified application

Species

Unspecified reactive species

Ka Wai Wong,Yingying Zeng,Edison Tay,Jia Hao Jackie Teo,Nadia Omega Cipta,Kiyofumi Hamashima,Yao Yi,Haijun Liu,Tushar Warrier,Minh T N Le,Soon Chye Ng,Qi-Jing Li,Hu Li,Yuin-Han Loh

Nature communications 15:7758 PubMed39237615

2024

The scaffolding function of LSD1 controls DNA methylation in mouse ESCs.

Applications

Unspecified application

Species

Unspecified reactive species

Sandhya Malla,Kanchan Kumari,Carlos A García-Prieto,Jonatan Caroli,Anna Nordin,Trinh T T Phan,Devi Prasad Bhattarai,Carlos Martinez-Gamero,Eshagh Dorafshan,Stephanie Stransky,Damiana Álvarez-Errico,Paulina Avovome Saiki,Weiyi Lai,Cong Lyu,Ludvig Lizana,Jonathan D Gilthorpe,Hailin Wang,Simone Sidoli,Andre Mateus,Dung-Fang Lee,Claudio Cantù,Manel Esteller,Andrea Mattevi,Angel-Carlos Roman,Francesca Aguilo

Nature communications 15:5631 PubMed38965210

2024

Transposable elements-mediated recruitment of KDM1A epigenetically silences HNF4A expression to promote hepatocellular carcinoma.

Applications

Unspecified application

Species

Unspecified reactive species

Tiantian Jing,Dianhui Wei,Xiaoli Xu,Chengsi Wu,Lili Yuan,Yiwen Huang,Yizhen Liu,Yanyi Jiang,Boshi Wang

Translational oncology 44:101684 PubMed38641372

2024

CREB3 facilitates Donafenib resistance in hepatocellular carcinoma cells via the LSD1/CoREST/p65 axis by transcriptionally activating long noncoding RNA ZFAS1.

Applications

Unspecified application

Species

Unspecified reactive species

Xunbo Hou,Qiannan Xu,Ruibao Liu

Frontiers in molecular neuroscience 16:1258615 PubMed38025260

2023

Impaired synaptic incorporation of AMPA receptors in a mouse model of fragile X syndrome.

Applications

Unspecified application

Species

Unspecified reactive species

Magdalena Chojnacka,Anna Beroun,Marta Magnowska,Aleksandra Stawikowska,Dominik Cysewski,Jacek Milek,Magdalena Dziembowska,Bozena Kuzniewska

Journal of translational medicine 21:752 PubMed37880710

2023

JMJD6-BRD4 complex stimulates lncRNA HOTAIR transcription by binding to the promoter region of HOTAIR and induces radioresistance in liver cancer stem cells.

Applications

Unspecified application

Species

Unspecified reactive species

Ruifeng Pei,Le Zhao,Yiren Ding,Zhan Su,Deqiang Li,Shuo Zhu,Lu Xu,Wei Zhao,Wuyuan Zhou
View all publications
chicCutRunSequencingBooklet
en

Product promise

We are committed to supporting your work with high-quality reagents, and we're here for you every step of the way. In the unlikely event that one of our products does not perform as expected, you're protected by our Product Promise.
For full details, please see our Terms & Conditions

Please note: All products are 'FOR RESEARCH USE ONLY. NOT FOR USE IN DIAGNOSTIC OR THERAPEUTIC PROCEDURES'.

For licensing inquiries, please contact partnerships@abcam.com