JavaScript is disabled in your browser. Please enable JavaScript to view this website.
AB174693

Anti-KDM2A antibody

Be the first to review this product! Submit a review

|

(3 Publications)

Goat Polyclonal KDM2A antibody. Suitable for WB, IHC-P and reacts with Human samples. Cited in 3 publications. Immunogen corresponding to Synthetic Peptide within Human KDM2A aa 400-500.

View Alternative Names

CXXC8, FBL11, FBL7, FBXL11, JHDM1A, KIAA1004, KDM2A, Lysine-specific demethylase 2A, CXXC-type zinc finger protein 8, F-box and leucine-rich repeat protein 11, F-box protein FBL7, F-box protein Lilina, F-box/LRR-repeat protein 11, JmjC domain-containing histone demethylation protein 1A, [Histone-H3]-lysine-36 demethylase 1A

2 Images
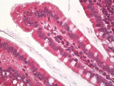
Immunohistochemistry (Formalin/PFA-fixed paraffin-embedded sections) - Anti-KDM2A antibody (AB174693)
  • IHC-P

Supplier Data

Immunohistochemistry (Formalin/PFA-fixed paraffin-embedded sections) - Anti-KDM2A antibody (AB174693)

Immunohistochemical analysis of formalin-fixed, paraffin-embedded Human small intestine tissue labeling KDM2A with ab174693 at 5 μg/ml.

Western blot - Anti-KDM2A antibody (AB174693)
  • WB

Supplier Data

Western blot - Anti-KDM2A antibody (AB174693)

Primary incubation was 1 hour.

All lanes:

Western blot - Anti-KDM2A antibody (ab174693) at 0.5 µg/mL

All lanes:

Human uterus lysate (in RIPA buffer) at 35 µg

Predicted band size: 133 kDa

Observed band size: 140 kDa

true

Key facts

Host species

Goat

Clonality

Polyclonal

Isotype

IgG

Carrier free

No

Reacts with

Human

Applications

WB, IHC-P

applications

Immunogen

Synthetic Peptide within Human KDM2A aa 400-500. The exact immunogen used to generate this antibody is proprietary information.

Q9Y2K7

Reactivity data

{ "title": "Reactivity Data", "filters": { "stats": ["", "Species", "Dilution Info", "Notes"], "tabs": { "all-applications": {"fullname" : "All Applications", "shortname": "All Applications"}, "WB" : {"fullname" : "Western blot", "shortname":"WB"}, "IHCP" : {"fullname" : "Immunohistochemistry (Formalin/PFA-fixed paraffin-embedded sections)", "shortname":"IHC-P"} }, "product-promise": { "all": "all", "testedAndGuaranteed": "tested", "guaranteed": "expected", "predicted": "predicted", "notRecommended": "not-recommended" } }, "values": { "Human": { "WB-species-checked": "testedAndGuaranteed", "WB-species-dilution-info": "0.5-2 µg/mL", "WB-species-notes": "<p></p>", "IHCP-species-checked": "testedAndGuaranteed", "IHCP-species-dilution-info": "5 µg/mL", "IHCP-species-notes": "<p></p>" }, "Mouse": { "WB-species-checked": "predicted", "WB-species-dilution-info": "", "WB-species-notes": "", "IHCP-species-checked": "predicted", "IHCP-species-dilution-info": "", "IHCP-species-notes": "" }, "Rat": { "WB-species-checked": "predicted", "WB-species-dilution-info": "", "WB-species-notes": "", "IHCP-species-checked": "predicted", "IHCP-species-dilution-info": "", "IHCP-species-notes": "" }, "Dog": { "WB-species-checked": "predicted", "WB-species-dilution-info": "", "WB-species-notes": "", "IHCP-species-checked": "predicted", "IHCP-species-dilution-info": "", "IHCP-species-notes": "" }, "Hamster": { "WB-species-checked": "predicted", "WB-species-dilution-info": "", "WB-species-notes": "", "IHCP-species-checked": "predicted", "IHCP-species-dilution-info": "", "IHCP-species-notes": "" }, "Horse": { "WB-species-checked": "predicted", "WB-species-dilution-info": "", "WB-species-notes": "", "IHCP-species-checked": "predicted", "IHCP-species-dilution-info": "", "IHCP-species-notes": "" }, "Monkey": { "WB-species-checked": "predicted", "WB-species-dilution-info": "", "WB-species-notes": "", "IHCP-species-checked": "predicted", "IHCP-species-dilution-info": "", "IHCP-species-notes": "" }, "Pig": { "WB-species-checked": "predicted", "WB-species-dilution-info": "", "WB-species-notes": "", "IHCP-species-checked": "predicted", "IHCP-species-dilution-info": "", "IHCP-species-notes": "" }, "Rabbit": { "WB-species-checked": "predicted", "WB-species-dilution-info": "", "WB-species-notes": "", "IHCP-species-checked": "predicted", "IHCP-species-dilution-info": "", "IHCP-species-notes": "" } } }

Properties and storage information

Form
Liquid
Purification technique
Affinity purification Immunogen
Storage buffer
pH: 7.3 Preservative: 0.02% Sodium azide Constituents: 99% Tris buffered saline, 0.5% BSA
Shipped at conditions
Blue Ice
Appropriate short-term storage duration
1-2 weeks
Appropriate short-term storage conditions
+4°C
Appropriate long-term storage conditions
-20°C
Aliquoting information
Upon delivery aliquot
Storage information
Avoid freeze / thaw cycle

Product protocols

For this product, it's our understanding that no specific protocols are required. You can visit:

Target data

Histone demethylase that specifically demethylates 'Lys-36' of histone H3, thereby playing a central role in histone code. Preferentially demethylates dimethylated H3 'Lys-36' residue while it has weak or no activity for mono- and tri-methylated H3 'Lys-36'. May also recognize and bind to some phosphorylated proteins and promote their ubiquitination and degradation. Required to maintain the heterochromatic state. Associates with centromeres and represses transcription of small non-coding RNAs that are encoded by the clusters of satellite repeats at the centromere. Required to sustain centromeric integrity and genomic stability, particularly during mitosis. Regulates circadian gene expression by repressing the transcriptional activator activity of CLOCK-BMAL1 heterodimer and RORA in a catalytically-independent manner (PubMed : 26037310).
See full target information KDM2A

Publications (3)

Recent publications for all applications. Explore the full list and refine your search

Head & neck 45:225-236 PubMed36268878

2022

Knockdown of circGOLPH3 inhibits cell progression and glycolysis by targeting miR-145-5p/lysine demethylase 2A (KDM2A) axis in oral squamous cell carcinoma.

Applications

Unspecified application

Species

Unspecified reactive species

Tao Cheng,Feifei Huang,Yin Zhang,Zhen Zhou

Artificial cells, nanomedicine, and biotechnology 47:2891-2899 PubMed31307234

2019

p300 Acetylates JHDM1A to inhibit osteosarcoma carcinogenesis.

Applications

Unspecified application

Species

Unspecified reactive species

Yongkun Wang,Baozhen Sun,Qiao Zhang,Hang Dong,Jingzhe Zhang

OncoTargets and therapy 11:6383-6394 PubMed30323616

2018

LINC00460 modulates KDM2A to promote cell proliferation and migration by targeting miR-342-3p in gastric cancer.

Applications

Unspecified application

Species

Unspecified reactive species

Fang Wang,Shaobo Liang,Xiaowei Liu,Lei Han,Junye Wang,Qin Du
View all publications

Product promise

We are committed to supporting your work with high-quality reagents, and we're here for you every step of the way. In the unlikely event that one of our products does not perform as expected, you're protected by our Product Promise.
For full details, please see our Terms & Conditions

Please note: All products are 'FOR RESEARCH USE ONLY. NOT FOR USE IN DIAGNOSTIC OR THERAPEUTIC PROCEDURES'.

For licensing inquiries, please contact partnerships@abcam.com