JavaScript is disabled in your browser. Please enable JavaScript to view this website.
AB238945

Anti-KDM2A antibody [EPR18602] - BSA and Azide free

Be the first to review this product! Submit a review

|

(2 Publications)

Rabbit Recombinant Monoclonal KDM2A antibody. Carrier free. Suitable for IP, WB, ICC/IF, IHC-P and reacts with Mouse, Human, Rat samples. Cited in 2 publications.

View Alternative Names

CXXC8, FBL11, FBL7, FBXL11, JHDM1A, KIAA1004, KDM2A, Lysine-specific demethylase 2A, CXXC-type zinc finger protein 8, F-box and leucine-rich repeat protein 11, F-box protein FBL7, F-box protein Lilina, F-box/LRR-repeat protein 11, JmjC domain-containing histone demethylation protein 1A, [Histone-H3]-lysine-36 demethylase 1A

7 Images
Immunocytochemistry/ Immunofluorescence - Anti-KDM2A antibody [EPR18602] - BSA and Azide free (AB238945)
  • ICC/IF

Supplier Data

Immunocytochemistry/ Immunofluorescence - Anti-KDM2A antibody [EPR18602] - BSA and Azide free (AB238945)

Immunofluorescent analysis of 4% paraformaldehyde-fixed, 0.1% Triton X-100 permeabilized HeLa (Human epithelial cell line from cervix adenocarcinoma) cells labeling KDM2A with ab191387 at 1/1000 dilution, followed by Goat Anti-Rabbit IgG H&L (Alexa Fluor® 488) (ab150077) secondary antibody at 1/1000 dilution (green). Confocal image showing nuclear staining on HeLa cell line. The nuclear counterstain is DAPI (blue).

Tubulin is detected with Anti-alpha Tubulin mouse MAb (ab7291) at 1/1000 dilution, followed by Goat Anti-Mouse IgG H&L (Alexa Fluor® 594) (ab150120) secondary antibody at 1/1000 dilution (red).

The negative controls are as follows : -
-ve control 1 : ab191387 at 1/1000 dilution, followed by Goat Anti-Mouse IgG H&L (Alexa Fluor® 594) (ab150120) secondary antibody at 1/1000 dilution.
-ve control 2 : Anti-alpha Tubulin mouse MAb (ab7291) at 1/1000 dilution, followed by Goat Anti-Rabbit IgG H&L (Alexa Fluor® 488) (ab150077) secondary antibody at 1/1000 dilution.

This data was developed using the same antibody clone in a different buffer formulation containing PBS, BSA, glycerol, and sodium azide (ab191387).

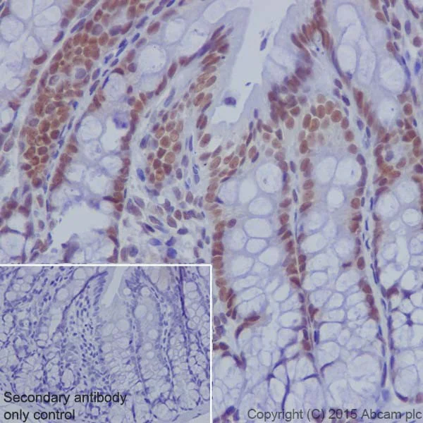
Immunohistochemistry (Formalin/PFA-fixed paraffin-embedded sections) - Anti-KDM2A antibody [EPR18602] - BSA and Azide free (AB238945)
  • IHC-P

Supplier Data

Immunohistochemistry (Formalin/PFA-fixed paraffin-embedded sections) - Anti-KDM2A antibody [EPR18602] - BSA and Azide free (AB238945)

Immunohistochemical analysis of paraffin-embedded human colon tissue labeling KDM2A with ab191387 at 1/250 dilution, followed by Goat Anti-Rabbit IgG H&L (HRP) (ab97051) at 1/500 dilution. Nuclear staining on epithelium cells of human colon is observed. Counter stained with Hematoxylin.

Secondary antibody only control : Used PBS instead of primary antibody, secondary antibody is Goat Anti-Rabbit IgG H&L (HRP) (ab97051) at 1/500 dilution.

This data was developed using the same antibody clone in a different buffer formulation containing PBS, BSA, glycerol, and sodium azide (ab191387).

Perform heat mediated antigen retrieval with Tris/EDTA buffer pH 9.0 before commencing with IHC staining protocol.

Immunocytochemistry/ Immunofluorescence - Anti-KDM2A antibody [EPR18602] - BSA and Azide free (AB238945)
  • ICC/IF

Supplier Data

Immunocytochemistry/ Immunofluorescence - Anti-KDM2A antibody [EPR18602] - BSA and Azide free (AB238945)

Immunofluorescent analysis of 4% paraformaldehyde-fixed, 0.1% Triton X-100 permeabilized Jurkat (Human T cell leukemia cell line from peripheral blood) cells labeling KDM2A with ab191387 at 1/1000 dilution, followed by Goat Anti-Rabbit IgG H&L (Alexa Fluor® 488) (ab150077) secondary antibody at 1/1000 dilution (green). Confocal image showing nuclear staining on Jurkat cell line. The nuclear counterstain is DAPI (blue).

Tubulin is detected with Anti-alpha Tubulin mouse MAb (ab7291) at 1/1000 dilution, followed by Goat Anti-Mouse IgG H&L (Alexa Fluor® 594) (ab150120) secondary antibody at 1/1000 dilution (red).

The negative controls are as follows : -
-ve control 1 : ab191387 at 1/1000 dilution, followed by Goat Anti-Mouse IgG H&L (Alexa Fluor® 594) (ab150120) secondary antibody at 1/1000 dilution.
-ve control 2 : Anti-alpha Tubulin mouse MAb (ab7291) at 1/1000 dilution, followed by Goat Anti-Rabbit IgG H&L (Alexa Fluor® 488) (ab150077) secondary antibody at 1/1000 dilution.

This data was developed using the same antibody clone in a different buffer formulation containing PBS, BSA, glycerol, and sodium azide (ab191387).

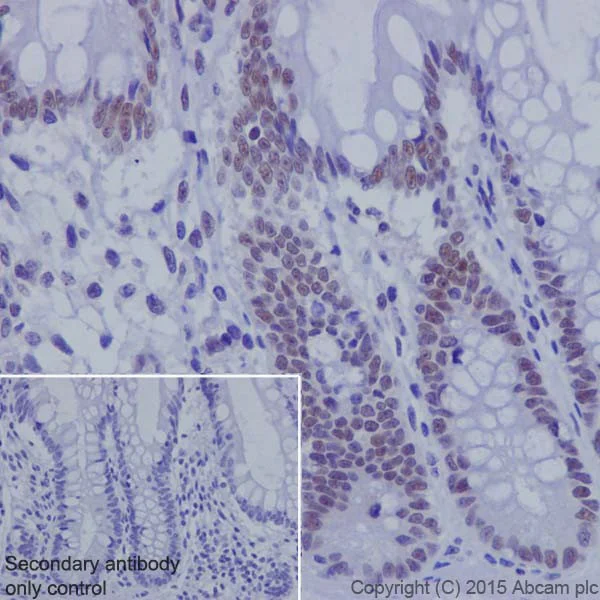
Immunohistochemistry (Formalin/PFA-fixed paraffin-embedded sections) - Anti-KDM2A antibody [EPR18602] - BSA and Azide free (AB238945)
  • IHC-P

Supplier Data

Immunohistochemistry (Formalin/PFA-fixed paraffin-embedded sections) - Anti-KDM2A antibody [EPR18602] - BSA and Azide free (AB238945)

Immunohistochemical analysis of paraffin-embedded rat colon tissue labeling KDM2A with ab191387 at 1/250 dilution, followed by Goat Anti-Rabbit IgG H&L (HRP) (ab97051) at 1/500 dilution. Nuclear staining on epithelium cells of rat colon is observed. Counter stained with Hematoxylin.

Secondary antibody only control : Used PBS instead of primary antibody, secondary antibody is Goat Anti-Rabbit IgG H&L (HRP) (ab97051) at 1/500 dilution.

This data was developed using the same antibody clone in a different buffer formulation containing PBS, BSA, glycerol, and sodium azide (ab191387).

Perform heat mediated antigen retrieval with Tris/EDTA buffer pH 9.0 before commencing with IHC staining protocol.

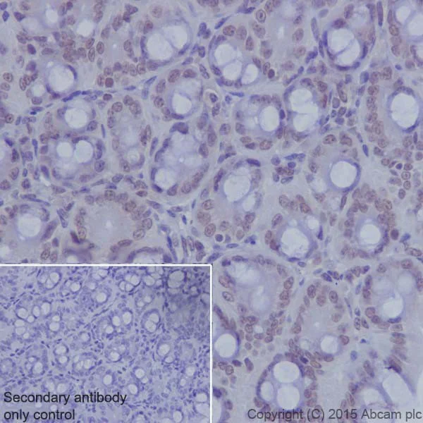
Immunohistochemistry (Formalin/PFA-fixed paraffin-embedded sections) - Anti-KDM2A antibody [EPR18602] - BSA and Azide free (AB238945)
  • IHC-P

Supplier Data

Immunohistochemistry (Formalin/PFA-fixed paraffin-embedded sections) - Anti-KDM2A antibody [EPR18602] - BSA and Azide free (AB238945)

Immunohistochemical analysis of paraffin-embedded mouse colon tissue labeling KDM2A with ab191387 at 1/250 dilution, followed by Goat Anti-Rabbit IgG H&L (HRP) (ab97051) at 1/500 dilution. Nuclear staining on epithelium cells of mouse colon is observed. Counter stained with Hematoxylin.

Secondary antibody only control : Used PBS instead of primary antibody, secondary antibody is Goat Anti-Rabbit IgG H&L (HRP) (ab97051) at 1/500 dilution.

This data was developed using the same antibody clone in a different buffer formulation containing PBS, BSA, glycerol, and sodium azide (ab191387).

Perform heat mediated antigen retrieval with Tris/EDTA buffer pH 9.0 before commencing with IHC staining protocol.

Immunoprecipitation - Anti-KDM2A antibody [EPR18602] - BSA and Azide free (AB238945)
  • IP

Supplier Data

Immunoprecipitation - Anti-KDM2A antibody [EPR18602] - BSA and Azide free (AB238945)

KDM2A was immunoprecipitated from 1mg of mouse brain whole cell lysate with ab191387 at 1/100 dilution. Western blot was performed from the immunoprecipitate using ab191387 at 1/1000 dilution. VeriBlot for IP Detection Reagent (HRP) (ab131366), was used for detection at 1/10000 dilution.

Lane 1 : Mouse brain whole cell lysate 10μg (Input).

Lane 2 : ab191387 IP in Mouse brain whole cell lysate.

Lane 3 : Rabbit monoclonal IgG (ab172730) instead of ab191387 in Mouse brain whole cell lysate.

Blocking and dilution buffer and concentration : 5% NFDM/TBST.

Exposure time : 30 seconds.

This data was developed using the same antibody clone in a different buffer formulation containing PBS, BSA, glycerol, and sodium azide (ab191387).

All lanes:

Immunoprecipitation - Anti-KDM2A antibody [EPR18602] (<a href='/en-us/products/primary-antibodies/kdm2a-antibody-epr18602-ab191387'>ab191387</a>)

Predicted band size: 133 kDa

false

Western blot - Anti-KDM2A antibody [EPR18602] - BSA and Azide free (AB238945)
  • WB

Supplier Data

Western blot - Anti-KDM2A antibody [EPR18602] - BSA and Azide free (AB238945)

Lane 1 : Wild-type HAP1 whole cell lysate (20 μg)
Lane 2 : KDM2A knockout HAP1 whole cell lysate (20 μg)
Lane 3 : Hela whole cell lysate (20 μg)
Lane 4 : Jurkat whole cell lysate (20 μg)

Lanes 1 - 4 : Merged signal (red and green). Green - ab191387 observed at 133 kDa. Red - loading control, ab9484, observed at 37 kDa.

ab191387 was shown to specifically react with KDM2A in wild-type HAP1 cells. No band was observed when KDM2A knockout cells were examined. Wild-type and KDM2A knockout samples were subjected to SDS-PAGE. ab191387 and ab9484 (Mouse anti GAPDH loading control) were incubated overnight at 4°C at 1.313 ug/ml and 1/20,000 dilution respectively. Blots were developed with Goat anti-Rabbit IgG H&L (IRDye® 800CW) preabsorbed ab216773 and Goat anti-Mouse IgG H&L (IRDye® 680RD) preabsorbed ab216776 secondary antibodies at 1/20,000 dilution for 1 hour at room temperature before imaging.

This data was developed using the same antibody clone in a different buffer formulation containing PBS, BSA, glycerol, and sodium azide (ab191387).

All lanes:

Western blot - Anti-KDM2A antibody [EPR18602] - BSA and Azide free (ab238945)

Predicted band size: 133 kDa

false

Key facts

Host species

Rabbit

Clonality

Monoclonal

Clone number

EPR18602

Isotype

IgG

Carrier free

Yes

Reacts with

Mouse, Rat, Human

Applications

WB, ICC/IF, IHC-P, IP

applications

Immunogen

The exact immunogen used to generate this antibody is proprietary information.

Reactivity data

{ "title": "Reactivity Data", "filters": { "stats": ["", "Species", "Dilution Info", "Notes"], "tabs": { "all-applications": {"fullname" : "All Applications", "shortname": "All Applications"}, "IP" : {"fullname" : "Immunoprecipitation", "shortname":"IP"}, "WB" : {"fullname" : "Western blot", "shortname":"WB"}, "ICCIF" : {"fullname" : "Immunocytochemistry/ Immunofluorescence", "shortname":"ICC/IF"}, "IHCP" : {"fullname" : "Immunohistochemistry (Formalin/PFA-fixed paraffin-embedded sections)", "shortname":"IHC-P"} }, "product-promise": { "all": "all", "testedAndGuaranteed": "tested", "guaranteed": "expected", "predicted": "predicted", "notRecommended": "not-recommended" } }, "values": { "Human": { "IP-species-checked": "guaranteed", "IP-species-dilution-info": "", "IP-species-notes": "", "WB-species-checked": "testedAndGuaranteed", "WB-species-dilution-info": "", "WB-species-notes": "<p></p>", "ICCIF-species-checked": "testedAndGuaranteed", "ICCIF-species-dilution-info": "", "ICCIF-species-notes": "<p></p>", "IHCP-species-checked": "guaranteed", "IHCP-species-dilution-info": "", "IHCP-species-notes": "" }, "Mouse": { "IP-species-checked": "testedAndGuaranteed", "IP-species-dilution-info": "", "IP-species-notes": "<p></p>", "WB-species-checked": "guaranteed", "WB-species-dilution-info": "", "WB-species-notes": "", "ICCIF-species-checked": "guaranteed", "ICCIF-species-dilution-info": "", "ICCIF-species-notes": "", "IHCP-species-checked": "guaranteed", "IHCP-species-dilution-info": "", "IHCP-species-notes": "" }, "Rat": { "IP-species-checked": "guaranteed", "IP-species-dilution-info": "", "IP-species-notes": "", "WB-species-checked": "guaranteed", "WB-species-dilution-info": "", "WB-species-notes": "", "ICCIF-species-checked": "guaranteed", "ICCIF-species-dilution-info": "", "ICCIF-species-notes": "", "IHCP-species-checked": "testedAndGuaranteed", "IHCP-species-dilution-info": "", "IHCP-species-notes": "<p></p>" } } }

Product details

ab238945 is the carrier-free version of ab191387.

Patented technology
Our RabMAb® technology is a patented hybridoma-based technology for making rabbit monoclonal antibodies. For details on our patents, please refer to RabMAb® patents.

What are the advantages of a recombinant monoclonal antibody?
This product is a recombinant monoclonal antibody, which offers several advantages including:

  • - High batch-to-batch consistency and reproducibility
  • - Improved sensitivity and specificity
  • - Long-term security of supply
  • - Animal-free batch production

For more information, read more on recombinant antibodies.

Conjugation ready
Our carrier-free antibodies are typically supplied in a PBS-only formulation, purified and free of BSA, sodium azide and glycerol. This conjugation-ready format is designed for use with fluorochromes, metal isotopes, oligonucleotides, and enzymes, which makes them ideal for antibody labelling, functional and cell-based assays, flow-based assays (e.g. mass cytometry) and Multiplex Imaging applications.

Use our conjugation kits for antibody conjugates that are ready-to-use in as little as 20 minutes with 1 minute hands-on-time and 100% antibody recovery: available for fluorescent dyes, HRP, biotin and gold.

Compatibility
This product is compatible with the Maxpar® Antibody Labeling Kit from Fluidigm, without the need for antibody preparation. Maxpar® is a trademark of Fluidigm Canada Inc.

Properties and storage information

Form
Liquid
Purification technique
Affinity purification Protein A
Storage buffer
pH: 7.2 - 7.4 Constituents: PBS
Shipped at conditions
Blue Ice
Appropriate short-term storage conditions
+4°C
Appropriate long-term storage conditions
+4°C
Storage information
Do Not Freeze

Product protocols

For this product, it's our understanding that no specific protocols are required. You can visit:

Target data

Histone demethylase that specifically demethylates 'Lys-36' of histone H3, thereby playing a central role in histone code. Preferentially demethylates dimethylated H3 'Lys-36' residue while it has weak or no activity for mono- and tri-methylated H3 'Lys-36'. May also recognize and bind to some phosphorylated proteins and promote their ubiquitination and degradation. Required to maintain the heterochromatic state. Associates with centromeres and represses transcription of small non-coding RNAs that are encoded by the clusters of satellite repeats at the centromere. Required to sustain centromeric integrity and genomic stability, particularly during mitosis. Regulates circadian gene expression by repressing the transcriptional activator activity of CLOCK-BMAL1 heterodimer and RORA in a catalytically-independent manner (PubMed : 26037310).
See full target information KDM2A

Publications (2)

Recent publications for all applications. Explore the full list and refine your search

Cell cycle (Georgetown, Tex.) 20:1935-1952 PubMed34424812

2021

Up-regulation of miR-663a inhibits the cancer stem cell-like properties of glioma via repressing the KDM2A-mediated TGF-β/SMAD signaling pathway.

Applications

Unspecified application

Species

Unspecified reactive species

Lei Wang,Bojuan Lang,Youdong Zhou,Jinyang Ma,Keqi Hu

Journal of biomedical science 28:44 PubMed34112167

2021

USP9X promotes apoptosis in cholangiocarcinoma by modulation expression of KIF1Bβ via deubiquitinating EGLN3.

Applications

Unspecified application

Species

Unspecified reactive species

Weiqian Chen,Jingjing Song,Siyu Liu,Bufu Tang,Lin Shen,Jinyu Zhu,Shiji Fang,Fazong Wu,Liyun Zheng,Rongfang Qiu,Chunmiao Chen,Yang Gao,Jianfei Tu,Zhongwei Zhao,Jiansong Ji
View all publications

Product promise

We are committed to supporting your work with high-quality reagents, and we're here for you every step of the way. In the unlikely event that one of our products does not perform as expected, you're protected by our Product Promise.
For full details, please see our Terms & Conditions

Please note: All products are 'FOR RESEARCH USE ONLY. NOT FOR USE IN DIAGNOSTIC OR THERAPEUTIC PROCEDURES'.

For licensing inquiries, please contact partnerships@abcam.com