JavaScript is disabled in your browser. Please enable JavaScript to view this website.
AB251059

Anti-KDM3A / JHDM2A antibody [EPR18875] - BSA and Azide free

Be the first to review this product! Submit a review

|

(2 Publications)

Rabbit Recombinant Monoclonal KDM3A / JHDM2A antibody. Carrier free. Suitable for IP, WB, IHC-P and reacts with Human samples. Cited in 2 publications.

View Alternative Names

JHDM2A, JMJD1, JMJD1A, KIAA0742, TSGA, KDM3A, Lysine-specific demethylase 3A, JmjC domain-containing histone demethylation protein 2A, Jumonji domain-containing protein 1A, [histone H3]-dimethyl-L-lysine(9) demethylase 3A

7 Images
Immunohistochemistry (Formalin/PFA-fixed paraffin-embedded sections) - Anti-KDM3A / JHDM2A antibody [EPR18875] - BSA and Azide free (AB251059)
  • IHC-P

Supplier Data

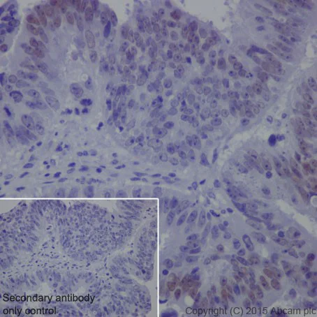
Immunohistochemistry (Formalin/PFA-fixed paraffin-embedded sections) - Anti-KDM3A / JHDM2A antibody [EPR18875] - BSA and Azide free (AB251059)

This data was developed using ab191389, the same antibody clone in a different buffer formulation.

Immunohistochemical analysis of paraffin-embedded human lung cancer tissue labeling KDM3A / JHDM2A with ab191389 at 1/1000 dilution, followed by Goat Anti-Rabbit IgG H&L (HRP) (ab97051) at 1/500 dilution.

Weak nuclear staining on cancer cells of human lung cancer is observed.

Counter stained with Hematoxylin.

Secondary antibody only control : Used PBS instead of primary antibody, secondary antibody is Goat Anti-Rabbit IgG H&L (HRP) (ab97051) at 1/500 dilution.

Perform heat mediated antigen retrieval with Tris/EDTA buffer pH 9.0 before commencing with IHC staining protocol.

Immunohistochemistry (Formalin/PFA-fixed paraffin-embedded sections) - Anti-KDM3A / JHDM2A antibody [EPR18875] - BSA and Azide free (AB251059)
  • IHC-P

Supplier Data

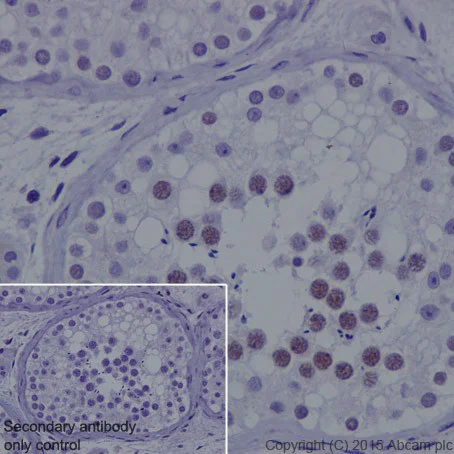
Immunohistochemistry (Formalin/PFA-fixed paraffin-embedded sections) - Anti-KDM3A / JHDM2A antibody [EPR18875] - BSA and Azide free (AB251059)

This data was developed using ab191389, the same antibody clone in a different buffer formulation.

Immunohistochemical analysis of paraffin-embedded human testis tissue labeling KDM3A / JHDM2A with ab191389 at 1/1000 dilution, followed by Goat Anti-Rabbit IgG H&L (HRP) (ab97051) at 1/500 dilution.

Nuclear staining on spermatogenic cells of human testis is observed.

Counter stained with Hematoxylin.

Secondary antibody only control : Used PBS instead of primary antibody, secondary antibody is Goat Anti-Rabbit IgG H&L (HRP) (ab97051) at 1/500 dilution.

Perform heat mediated antigen retrieval with Tris/EDTA buffer pH 9.0 before commencing with IHC staining protocol.

Immunohistochemistry (Formalin/PFA-fixed paraffin-embedded sections) - Anti-KDM3A / JHDM2A antibody [EPR18875] - BSA and Azide free (AB251059)
  • IHC-P

Supplier Data

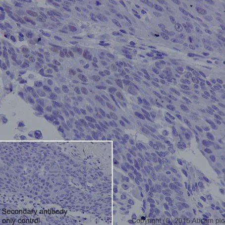
Immunohistochemistry (Formalin/PFA-fixed paraffin-embedded sections) - Anti-KDM3A / JHDM2A antibody [EPR18875] - BSA and Azide free (AB251059)

This data was developed using ab191389, the same antibody clone in a different buffer formulation.

Immunohistochemical analysis of paraffin-embedded human bladder cancer tissue labeling KDM3A / JHDM2A with ab191389 at 1/1000 dilution, followed by Goat Anti-Rabbit IgG H&L (HRP) (ab97051) at 1/500 dilution.

Weak nuclear staining on cancer cells of human bladder cancer is observed.

Counter stained with Hematoxylin.

Secondary antibody only control : Used PBS instead of primary antibody, secondary antibody is Goat Anti-Rabbit IgG H&L (HRP) (ab97051) at 1/500 dilution.

Perform heat mediated antigen retrieval with Tris/EDTA buffer pH 9.0 before commencing with IHC staining protocol.

Western blot - Anti-KDM3A / JHDM2A antibody [EPR18875] - BSA and Azide free (AB251059)
  • WB

Supplier Data

Western blot - Anti-KDM3A / JHDM2A antibody [EPR18875] - BSA and Azide free (AB251059)

This data was developed using ab191389, the same antibody clone in a different buffer formulation.

Blocking and dilution buffer : 5% NFDM/TBST.

Exposure times : Lanes 1 and 2 : 15 seconds; Lanes 3 and 4 : 30 seconds; Lanes 5 and 6 : 5 seconds.

All lanes:

Western blot - Anti-KDM3A / JHDM2A antibody [EPR18875] (<a href='/en-us/products/primary-antibodies/kdm3a-jhdm2a-antibody-epr18875-ab191389'>ab191389</a>) at 1/1000 dilution

Lane 1:

Untreated HEK-293 (Human epithelial cell line from embryonic kidney), whole cell lysate at 20 µg

Lane 2:

HEK-293 (Human epithelial cell line from embryonic kidney) treated with 100 μM CoCl2 for 24 hours, whole cell lysate at 20 µg

Lane 3:

Untreated HeLa (Human epithelial cell line from cervix adenocarcinoma), whole cell lysate at 20 µg

Lane 4:

HeLa (Human epithelial cell line from cervix adenocarcinoma) treated with 100 μM CoCl2 for 24 hours, whole cell lysate at 20 µg

Lane 5:

Untreated Jurkat (Human T cell leukemia cell line from peripheral blood), whole cell lysate at 20 µg

Lane 6:

Jurkat (Human T cell leukemia cell line from peripheral blood) treated with 100 μM CoCl2 for 24 hours, whole cell lysate at 20 µg

Secondary

All lanes:

Western blot - Goat Anti-Rabbit IgG H&L (HRP) (<a href='/en-us/products/secondary-antibodies/goat-rabbit-igg-h-l-hrp-ab97051'>ab97051</a>) at 1/100000 dilution

Predicted band size: 147 kDa,78 kDa

Observed band size: 100 kDa,147 kDa,75 kDa

false

Western blot - Anti-KDM3A / JHDM2A antibody [EPR18875] - BSA and Azide free (AB251059)
  • WB

Supplier Data

Western blot - Anti-KDM3A / JHDM2A antibody [EPR18875] - BSA and Azide free (AB251059)

This data was developed using ab191389, the same antibody clone in a different buffer formulation.

Blocking and dilution buffer : 5% NFDM/TBST.

All lanes:

Western blot - Anti-KDM3A / JHDM2A antibody [EPR18875] (<a href='/en-us/products/primary-antibodies/kdm3a-jhdm2a-antibody-epr18875-ab191389'>ab191389</a>) at 1/1000 dilution

All lanes:

Ramos (Human Burkitt's lymphoma cell line) whole cell lysate

Secondary

All lanes:

Western blot - Goat Anti-Rabbit IgG H&L (HRP) (<a href='/en-us/products/secondary-antibodies/goat-rabbit-igg-h-l-hrp-ab97051'>ab97051</a>) at 1/100000 dilution

Predicted band size: 147 kDa

Observed band size: 147 kDa

false

Exposure time: 3min

Immunoprecipitation - Anti-KDM3A / JHDM2A antibody [EPR18875] - BSA and Azide free (AB251059)
  • IP

Supplier Data

Immunoprecipitation - Anti-KDM3A / JHDM2A antibody [EPR18875] - BSA and Azide free (AB251059)

This data was developed using ab191389, the same antibody clone in a different buffer formulation.

KDM3A / JHDM2A was immunoprecipitated from 1mg of Ramos (Human Burkitt's lymphoma cell line) whole cell lysate with ab191389 at 1/30 dilution.

Western blot was performed from the immunoprecipitate using ab191389 at 1/1000 dilution.

VeriBlot for IP Detection Reagent (HRP) (ab131366), was used for detection at 1/10000 dilution.

Lane 1 : Ramos whole cell lysate 10μg (Input).
Lane 2 : ab191389 IP in Ramos whole cell lysate.
Lane 3 : Rabbit monoclonal IgG (ab172730) instead of ab191389 in Ramos whole cell lysate.

Blocking and dilution buffer and concentration : 5% NFDM/TBST.

Exposure time : 10 seconds.

All lanes:

Immunoprecipitation - Anti-KDM3A / JHDM2A antibody [EPR18875] (<a href='/en-us/products/primary-antibodies/kdm3a-jhdm2a-antibody-epr18875-ab191389'>ab191389</a>)

Predicted band size: 147 kDa

false

Western blot - Anti-KDM3A / JHDM2A antibody [EPR18875] - BSA and Azide free (AB251059)
  • WB

Lab

Western blot - Anti-KDM3A / JHDM2A antibody [EPR18875] - BSA and Azide free (AB251059)

This data was developed using ab191389, the same antibody clone in a different buffer formulation.

Lane 1 : Wild type HAP1 whole cell lysate (40 μg)

Lane 2 : KDM3A knockout HAP1 whole cell lysate (40 μg)

Lane 3 : HeLa whole cell lysate (40 μg)

Lane 4 : Hek293 whole cell lysate (40 μg)

Lanes 1 - 4 : Merged signal (red and green). Green - ab191389 observed at 150 kDa. Red - loading control, ab18058, observed at 130 kDa.

ab191389 was shown to specifically react with KDM3A when KDM3A knockout samples were used. Wild-type and KDM3A knockout samples were subjected to SDS-PAGE. ab191389 and ab18058 (Mouse anti Vinculin loading control) were incubated overnight at 4°C at 500 dilution and 1/10000 dilution respectively. Blots were developed with 800CW Goat anti Rabbit and 680CW Goat anti Mouse secondary antibodies at 1/10000 dilution for 1 hour at room temperature before imaging.

All lanes:

Western blot - Anti-KDM3A / JHDM2A antibody [EPR18875] (<a href='/en-us/products/primary-antibodies/kdm3a-jhdm2a-antibody-epr18875-ab191389'>ab191389</a>)

Predicted band size: 147 kDa

false

Key facts

Host species

Rabbit

Clonality

Monoclonal

Clone number

EPR18875

Isotype

IgG

Carrier free

Yes

Reacts with

Human

Applications

IHC-P, IP, WB

applications

Immunogen

The exact immunogen used to generate this antibody is proprietary information.

Reactivity data

{ "title": "Reactivity Data", "filters": { "stats": ["", "Species", "Dilution Info", "Notes"], "tabs": { "all-applications": {"fullname" : "All Applications", "shortname": "All Applications"}, "IP" : {"fullname" : "Immunoprecipitation", "shortname":"IP"}, "WB" : {"fullname" : "Western blot", "shortname":"WB"}, "IHCP" : {"fullname" : "Immunohistochemistry (Formalin/PFA-fixed paraffin-embedded sections)", "shortname":"IHC-P"} }, "product-promise": { "all": "all", "testedAndGuaranteed": "tested", "guaranteed": "expected", "predicted": "predicted", "notRecommended": "not-recommended" } }, "values": { "Human": { "IP-species-checked": "testedAndGuaranteed", "IP-species-dilution-info": "", "IP-species-notes": "<p></p>", "WB-species-checked": "testedAndGuaranteed", "WB-species-dilution-info": "", "WB-species-notes": "<p></p>", "IHCP-species-checked": "testedAndGuaranteed", "IHCP-species-dilution-info": "", "IHCP-species-notes": "<p></p>" } } }

Product details

ab251059 is the carrier-free version of ab191389.

Patented technology
Our RabMAb® technology is a patented hybridoma-based technology for making rabbit monoclonal antibodies. For details on our patents, please refer to RabMAb® patents.

What are the advantages of a recombinant monoclonal antibody?
This product is a recombinant monoclonal antibody, which offers several advantages including:

  • - High batch-to-batch consistency and reproducibility
  • - Improved sensitivity and specificity
  • - Long-term security of supply
  • - Animal-free batch production

For more information, read more on recombinant antibodies.

Conjugation ready
Our carrier-free antibodies are typically supplied in a PBS-only formulation, purified and free of BSA, sodium azide and glycerol. This conjugation-ready format is designed for use with fluorochromes, metal isotopes, oligonucleotides, and enzymes, which makes them ideal for antibody labelling, functional and cell-based assays, flow-based assays (e.g. mass cytometry) and Multiplex Imaging applications.

Use our conjugation kits for antibody conjugates that are ready-to-use in as little as 20 minutes with 1 minute hands-on-time and 100% antibody recovery: available for fluorescent dyes, HRP, biotin and gold.

Compatibility
This product is compatible with the Maxpar® Antibody Labeling Kit from Fluidigm, without the need for antibody preparation. Maxpar® is a trademark of Fluidigm Canada Inc.

Properties and storage information

Form
Liquid
Purification technique
Affinity purification Protein A
Storage buffer
pH: 7.2 - 7.4 Constituents: PBS
Shipped at conditions
Blue Ice
Appropriate short-term storage conditions
+4°C
Appropriate long-term storage conditions
+4°C
Storage information
Do Not Freeze

Product protocols

For this product, it's our understanding that no specific protocols are required. You can visit:

Target data

Histone demethylase that specifically demethylates 'Lys-9' of histone H3, thereby playing a central role in histone code. Preferentially demethylates mono- and dimethylated H3 'Lys-9' residue, with a preference for dimethylated residue, while it has weak or no activity on trimethylated H3 'Lys-9'. Demethylation of Lys residue generates formaldehyde and succinate. Involved in hormone-dependent transcriptional activation, by participating in recruitment to androgen-receptor target genes, resulting in H3 'Lys-9' demethylation and transcriptional activation. Involved in spermatogenesis by regulating expression of target genes such as PRM1 and TNP1 which are required for packaging and condensation of sperm chromatin. Involved in obesity resistance through regulation of metabolic genes such as PPARA and UCP1.
See full target information KDM3A

Publications (2)

Recent publications for all applications. Explore the full list and refine your search

Journal of cellular and molecular medicine 25:8127-8139 PubMed34350711

2021

Overexpression of let-7d explains down-regulated KDM3A and ENO2 in the pathogenesis of preeclampsia.

Applications

Unspecified application

Species

Unspecified reactive species

Qian Xu,Yonghui Song,Lili Lu

Molecular medicine reports 21:454-462 PubMed31746378

2019

Blueberry anthocyanin‑enriched extract ameliorates transverse aortic constriction‑induced myocardial dysfunction via the DDAH1/ADMA/NO signaling pathway in mice.

Applications

Unspecified application

Species

Unspecified reactive species

Weiqing Hu,Wenyue Wang,Qing Ma,Tao Liu,Jiefeng Zhang,Jicun Zhang
View all publications

Product promise

We are committed to supporting your work with high-quality reagents, and we're here for you every step of the way. In the unlikely event that one of our products does not perform as expected, you're protected by our Product Promise.
For full details, please see our Terms & Conditions

Please note: All products are 'FOR RESEARCH USE ONLY. NOT FOR USE IN DIAGNOSTIC OR THERAPEUTIC PROCEDURES'.

For licensing inquiries, please contact partnerships@abcam.com